SMC5 Antibody

Images

 
Orthogonal Strategies: Immunohistochemistry-Paraffin: SMC5 Antibody [NBP2-47271] - Analysis in human testis and skeletal muscle tissues. Corresponding SMC5 RNA-seq data are presented for the same tissues.
Western Blot: SMC5 Antibody [NBP2-47271] - Analysis in human cell line MOLT-4.
Immunocytochemistry/ Immunofluorescence: SMC5 Antibody [NBP2-47271] - Staining of human cell line HeLa shows localization to nuclear speckles. Antibody staining is shown in green.
Immunohistochemistry-Paraffin: SMC5 Antibody [NBP2-47271] - Staining of human testis shows moderate nuclear speckles positivity in cells in seminiferous ducts.
Immunohistochemistry-Paraffin: SMC5 Antibody [NBP2-47271] - Staining of human endometrium shows weak nuclear speckles positivity in glandular cells.
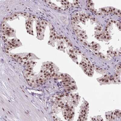
Immunohistochemistry-Paraffin: SMC5 Antibody [NBP2-47271] - Staining of human prostate shows moderate nuclear speckles positivity in glandular cells.
Immunohistochemistry-Paraffin: SMC5 Antibody [NBP2-47271] - Staining of human skeletal muscle shows low positivity in myocytes.

Product Details

Summary
Product Discontinued
View other related SMC5 Primary Antibodies
Validated by:
       

Orthogonal Strategies

 

Order Details


    • Catalog Number
      NBP2-47271
    • Availability
      Product Discontinued

    Can't find what you are looking for? Use our Antibody Concierge Service & we will help you locate your antibody!

    Or feel free to contact us for alternative products.

SMC5 Antibody Summary

Immunogen
This antibody was developed against a recombinant protein corresponding to amino acids: EVPSKRKNSAPQLPLLQSSGPFVEGSIVRISMENFLTYDICEVSPGPHLNMIVGANGTGKSSIVCAICLGLAGKPAFMGRADKVGFFVKRGCSRGMVEIELFRASGNLVITR
Isotype
IgG
Clonality
Polyclonal
Host
Rabbit
Gene
SMC5
Purity
Immunogen affinity purified
Innovator's Reward
Test in a species/application not listed above to receive a full credit towards a future purchase.

Applications/Dilutions

Dilutions
  • Immunocytochemistry/ Immunofluorescence 0.25-2 ug/ml
  • Immunohistochemistry 1:50 - 1:200
  • Immunohistochemistry-Paraffin 1:50 - 1:200
  • Western Blot 0.04-0.4 ug/ml
Application Notes
For IHC-Paraffin, HIER pH 6 retrieval is recommended. ICC/IF Fixation Permeabilization: Use PFA/Triton X-100.

Reactivity Notes

Immunogen displays the following percentage of sequence identity for non-tested species: Mouse (88%), Rat (87%)

Packaging, Storage & Formulations

Storage
Store at 4C short term. Aliquot and store at -20C long term. Avoid freeze-thaw cycles.
Buffer
PBS (pH 7.2) and 40% Glycerol
Preservative
0.02% Sodium Azide
Purity
Immunogen affinity purified

Alternate Names for SMC5 Antibody

  • hSMC5
  • KIAA0594SMC5 structural maintenance of chromosomes 5-like 1 (yeast)
  • SMC protein 5
  • SMC-5
  • SMC5L1SMC5 structural maintenance of chromosomes 5-like 1
  • structural maintenance of chromosomes 5
  • structural maintenance of chromosomes protein 5

Background

SMC (Structural maintenance of chromosomes) proteins are members of multisubunit complexes that play a critical role in chromosome organization, segregation, gene regulation, and DNA repair. Two of these complexes, cohesin and condensin consist of a core complex of an SMC1 and SMC3 heterodimer or an SMC2 and SMC4 heterodimer, respectively. A third complex includes a heterodimer of SMC5 and SMC6 whose function is not fully understood but is proposed to be related to DNA repair.

Limitations

This product is for research use only and is not approved for use in humans or in clinical diagnosis. Primary Antibodies are guaranteed for 1 year from date of receipt.

Customers Who Viewed This Item Also Viewed...

H00079677-M01
Species: Hu
Applications: ChIP, ELISA, IHC,  IHC-P, IP, WB
NBP1-76263
Species: Hu, Mu, Rt
Applications: ELISA, WB
H00056852-M01
Species: Hu, Mu, Rt
Applications: ELISA, ICC/IF, IHC,  IHC-P, IP, KD, WB
NBP2-71688
Species: Ca, Hu, Mu, Rt
Applications: CyTOF-ready, Flow, ICC/IF, IHC,  IHC-P, IP, WB
NBP2-14006
Species: Hu
Applications: ICC/IF, IHC,  IHC-P, WB
NBP1-92201
Species: Hu
Applications: ICC/IF, IHC,  IHC-P
H00056160-M02-100ug
Species: Hu
Applications: ELISA, WB
NB100-207
Species: Ce, Hu, Mu
Applications: IHC,  IHC-P, IP, WB
NB100-204
Species: Hu, Mu
Applications: ELISA, ICC/IF, IHC,  IHC-P, IP, Simple Western, WB
H00084901-M02
Species: Hu
Applications: ELISA, IP, S-ELISA, WB
NB100-373
Species: Hu
Applications: ICC/IF, IP, KD, WB
NBP2-13942
Species: Hu
Applications: IHC,  IHC-P
NBP2-03263
Species: Hu
Applications: Flow, ICC/IF, IHC,  IHC-P, WB
NBP1-31302
Species: Hu, Mu, Rt
Applications: ICC/IF, IHC,  IHC-P, KO, WB
NBP1-89150
Species: Hu
Applications: IHC,  IHC-P, WB
H00011026-M01
Species: Hu
Applications: ELISA, WB
NBP2-58116
Species: Hu
Applications: ICC/IF, KD, WB
NBP2-20053
Species: Hu, Mu, Rt
Applications: ChIP, ICC/IF, IHC,  IHC-P, IP, WB
NB100-98864
Species: Hu, Mu, Rt
Applications: IHC,  IHC-P, WB
NBP2-47271
Species: Hu
Applications: WB, ICC/IF, IHC

Publications for SMC5 Antibody (NBP2-47271) (0)

There are no publications for SMC5 Antibody (NBP2-47271).
By submitting your publication information earn gift cards and discounts for future purchases.

Reviews for SMC5 Antibody (NBP2-47271) (0)

There are no reviews for SMC5 Antibody (NBP2-47271). By submitting a review you will receive an Amazon e-Gift Card or Novus Product Discount.
  • Review with no image -- $10/€7/£6/$10 CAD/¥70 Yuan/¥1110 Yen
  • Review with an image -- $25/€18/£15/$25 CAD/¥150 Yuan/¥2500 Yen

Product General Protocols

Find general support by application which include: protocols, troubleshooting, illustrated assays, videos and webinars.

Video Protocols

WB Video Protocol
ICC/IF Video Protocol

FAQs for SMC5 Antibody (NBP2-47271) (0)

There are no specific FAQs related to this product. Read our general customer & technical service FAQs.

Secondary Antibodies

 

Isotype Controls

Additional SMC5 Products

Array NBP2-47271

Research Areas for SMC5 Antibody (NBP2-47271)

Find related products by research area.

Blogs on SMC5

There are no specific blogs for SMC5, but you can read our latest blog posts.

Contact Information

Product PDFs

Calculators

Concentration Calculator

The concentration calculator allows you to quickly calculate the volume, mass or concentration of your vial. Simply enter your mass, volume, or concentration values for your reagent and the calculator will determine the rest.

=
÷

Review this Product

Be the first to review our SMC5 Antibody and receive a gift card or discount.

Bioinformatics

Gene Symbol SMC5