SMARCD3 Antibody

Images

 
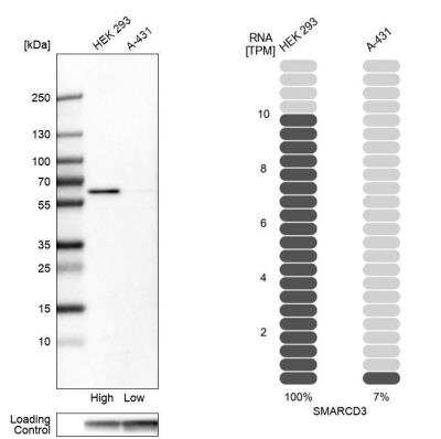
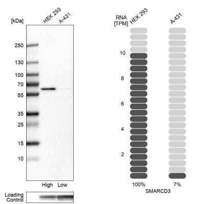
Orthogonal Strategies: Western Blot: SMARCD3 Antibody [NBP2-39013] - Analysis in human cell lines HEK293 and A-431. Corresponding RNA-seq data are presented for the same cell lines. Loading control: Anti-GAPDH.
Immunocytochemistry/ Immunofluorescence: SMARCD3 Antibody [NBP2-39013] - Immunofluorescent staining of human cell line SH-SY5Y shows localization to nucleoplasm.
Immunohistochemistry: SMARCD3 Antibody [NBP2-39013] - Staining of human heart muscle shows strong nuclear positivity in myocytes.

Product Details

Summary
Product Discontinued
View other related SMARCD3 Primary Antibodies
Validated by:
       

Orthogonal Strategies

 

Order Details


    • Catalog Number
      NBP2-39013
    • Availability
      Product Discontinued

    Can't find what you are looking for? Use our Antibody Concierge Service & we will help you locate your antibody!

    Or feel free to contact us for alternative products.

SMARCD3 Antibody Summary

Immunogen
This antibody was developed against a recombinant protein corresponding to amino acids: DEVAGGARKATKSKLFEFLVHGVRPGMPSGARMPHQGAPMGPPGSPYMGSPA
Predicted Species
Mouse (100%). Backed by our 100% Guarantee.
Isotype
IgG
Clonality
Polyclonal
Host
Rabbit
Gene
SMARCD3
Purity
Immunogen affinity purified
Innovator's Reward
Test in a species/application not listed above to receive a full credit towards a future purchase.

Applications/Dilutions

Dilutions
  • Immunocytochemistry/ Immunofluorescence 0.25-2 ug/ml
  • Immunohistochemistry 1:200 - 1:500
  • Immunohistochemistry-Paraffin
  • Western Blot 0.04-0.4 ug/ml
Application Notes
For IHC-Paraffin, HIER pH 6 retrieval is recommended. Immunocytochemistry/Immunofluorescence Fixation Permeabilization: Use PFA/Triton X-100.

Packaging, Storage & Formulations

Storage
Store at 4C short term. Aliquot and store at -20C long term. Avoid freeze-thaw cycles.
Buffer
PBS (pH 7.2) and 40% Glycerol
Preservative
0.02% Sodium Azide
Purity
Immunogen affinity purified

Alternate Names for SMARCD3 Antibody

  • 60 kDa BRG-1/Brm-associated factor subunit C
  • 60kDa BRG-1/Brm associated factor subunit c
  • BAF60Cchromatin remodeling complex BAF60C subunit
  • BRG1-associated factor 60C
  • CRACD3
  • mammalian chromatin remodeling complex BRG1-associated factor 60C
  • MGC111010
  • Rsc6p
  • subfamily d, member 3
  • SWI/SNF complex 60 kDa subunit C
  • SWI/SNF related, matrix associated, actin dependent regulator of chromatin
  • SWI/SNF-related matrix-associated actin-dependent regulator of chromatinsubfamily D member 3
  • Swp73-like protein

Background

SMARCD3 is encoded by this gene is a member of the SWI/SNF family of proteins, whose members display helicase and ATPase activities and which are thought to regulate transcription of certain genes by altering the chromatin structure around those genes. The encoded protein is part of the large ATP-dependent chromatin remodeling complex SNF/SWI and has sequence similarity to the yeast Swp73 protein. Multiple alternatively spliced transcript variants have been found for this gene, but the biological validity of some variants has not been determined.

Limitations

This product is for research use only and is not approved for use in humans or in clinical diagnosis. Primary Antibodies are guaranteed for 1 year from date of receipt.

Customers Who Viewed This Item Also Viewed...

AF5738
Species: Hu
Applications: ICC, KO, Simple Western, WB
NBP2-61879
Species: Hu, Mu
Applications: ELISA, Flow, IHC,  IHC-P, WB
NBP3-13283
Species: Hu, Mu, Rt
Applications: ICC/IF, IHC,  IHC-P, WB
AF2444
Species: Hu
Applications: IHC, WB
NBP2-76978
Species: Hu, Mu, Rt
Applications: Flow, ICC/IF, IHC,  IHC-P, WB
NBP2-24585
Species: Hu, Mu
Applications: IHC,  IHC-P, WB
NBP1-88719
Species: Hu, Mu, Rt
Applications: ChIP-EXO-SEQ, ICC/IF, IHC,  IHC-P, WB
H00006910-M01
Species: Fi, Hu, Pm, Mu
Applications: ELISA, ICC/IF, KD, WB
NBP2-20415
Species: Hu, Mu, Rt
Applications: ChIP, ICC/IF, IHC,  IHC-P, IP, WB
NBP3-13785
Species: Hu
Applications: ELISA, Flow, ICC/IF,  IHC-P, IP, PA, WB
H00006603-M02
Species: Hu, Mu, Rt
Applications: ELISA, ICC/IF, WB
NB200-310
Species: Hu, Pm, Mu, Rt
Applications: ChIP, IP, WB
NBP1-90017
Species: Hu
Applications: ICC/IF, IHC,  IHC-P
NBP1-33427
Species: Hu
Applications: ChIP, ICC/IF, WB
314-BP
Species: Hu
Applications: BA, BA
NB100-56511
Species: Hu, Mu
Applications: Flow, ICC/IF, IHC, IHC-Fr,  IHC-P, IP, KD, KO, WB
NBP1-90012
Species: Hu, Mu, Rt
Applications: ChIP-EXO-SEQ, ICC/IF, IHC,  IHC-P, WB
NBP2-46076
Species: Hu, Mu, Rt
Applications: IHC,  IHC-P, WB
3218-ND
Species: Hu
Applications: BA
NBP2-39013
Species: Hu, Mu
Applications: WB, ICC/IF, IHC

Publications for SMARCD3 Antibody (NBP2-39013) (0)

There are no publications for SMARCD3 Antibody (NBP2-39013).
By submitting your publication information earn gift cards and discounts for future purchases.

Reviews for SMARCD3 Antibody (NBP2-39013) (0)

There are no reviews for SMARCD3 Antibody (NBP2-39013). By submitting a review you will receive an Amazon e-Gift Card or Novus Product Discount.
  • Review with no image -- $10/€7/£6/$10 CAD/¥70 Yuan/¥1110 Yen
  • Review with an image -- $25/€18/£15/$25 CAD/¥150 Yuan/¥2500 Yen

Product General Protocols

Find general support by application which include: protocols, troubleshooting, illustrated assays, videos and webinars.

Video Protocols

WB Video Protocol
ICC/IF Video Protocol

FAQs for SMARCD3 Antibody (NBP2-39013) (0)

There are no specific FAQs related to this product. Read our general customer & technical service FAQs.

Contact Information

Product PDFs

Calculators

Concentration Calculator

The concentration calculator allows you to quickly calculate the volume, mass or concentration of your vial. Simply enter your mass, volume, or concentration values for your reagent and the calculator will determine the rest.

=
÷

Review this Product

Be the first to review our SMARCD3 Antibody and receive a gift card or discount.

Bioinformatics

Gene Symbol SMARCD3
Uniprot