SLC47A2 Antibody

Images

 
Western Blot: SLC47A2 Antibody [NBP1-97763] - (0.3ug/ml) staining of Human Testis lysate (35ug protein in RIPA buffer). Primary incubation was 1 hour. Detected by chemiluminescence.
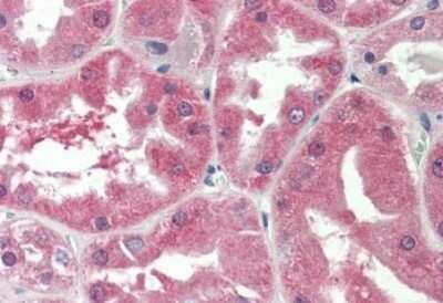
Immunohistochemistry-Paraffin: SLC47A2 Antibody [NBP1-97763] - 5ug/ml staining of paraffin embedded Human Kidney. Steamed antigen retrieval with citrate buffer pH 6, AP-staining.

Product Details

Summary
Reactivity HuSpecies Glossary
Applications WB, ELISA, IHC
Clonality
Polyclonal
Host
Goat
Conjugate
Unconjugated
Concentration
0.5 mg/ml

Order Details

SLC47A2 Antibody Summary

Description
Novus Biologicals Goat SLC47A2 Antibody (NBP1-97763) is a polyclonal antibody validated for use in IHC, WB and ELISA. Anti-SLC47A2 Antibody: Cited in 1 publication. All Novus Biologicals antibodies are covered by our 100% guarantee.
Immunogen
Peptide with sequence SECHVDFFRTPEEAH corresponding to internal region (near C-Terminus) according to NP_690872.2, NP_001093116.1.
Specificity
This antibody is expected to recognize both reported isoforms (NP_690872.2; NP_001093116.1).
Isotype
IgG
Clonality
Polyclonal
Host
Goat
Gene
SLC47A2
Purity
Immunogen affinity purified
Innovator's Reward
Test in a species/application not listed above to receive a full credit towards a future purchase.

Applications/Dilutions

Dilutions
  • Immunohistochemistry 0.1-1ug/ml
  • Immunohistochemistry-Paraffin
  • Peptide ELISA Detection limit 1:32000
  • Western Blot 0.1-1 ug/ml
Application Notes
Western blot: Approx 60kDa band observed in Human Testis lysates (calculated MW of 61.0kDa according to NP_001093116.1). Primary incubation was 1 hour
IHC: Paraffin embedded Human Kidney.
Publications
Read Publication using NBP1-97763.

Packaging, Storage & Formulations

Storage
Store at -20C. Avoid freeze-thaw cycles.
Buffer
Tris saline (20 mM Tris pH 7.3, 150 mM NaCl), 0.5% BSA
Preservative
0.02% Sodium Azide
Concentration
0.5 mg/ml
Purity
Immunogen affinity purified

Alternate Names for SLC47A2 Antibody

  • hMATE-2
  • MATE2
  • MATE-2
  • SLC47A2
  • solute carrier family 47, member 2

Limitations

This product is for research use only and is not approved for use in humans or in clinical diagnosis. Primary Antibodies are guaranteed for 1 year from date of receipt.

Customers Who Viewed This Item Also Viewed...

NBP1-87909
Species: Hu, Rt
Applications: IHC,  IHC-P
MAB6547
Species: Hu
Applications: Flow, IHC, mIF
NBP1-51684
Species: Hu, Mu
Applications: EM, ELISA, Flow, ICC/IF, IHC, WB
NBP2-75734
Species: Hu
Applications: ELISA, IHC,  IHC-P, PA, WB
NBP2-24677
Species: Ca, Eq, Hu, Pm
Applications: ICC/IF, IHC,  IHC-P, WB
NBP2-94796
Species: Hu, Mu, Rt
Applications: ELISA, ICC/IF, WB
NBP3-23849
Species: Hu
Applications: Flow, ICC/IF,  IHC-P
H00006583-A01
Species: Ca, Hu, Mu, Rt
Applications: ELISA, ICC/IF, IHC-WhMt, IHC, IHC-Fr, WB
NBP1-92396
Species: Hu
Applications: IHC,  IHC-P
NBP1-83976
Species: Hu
Applications: ICC/IF, IHC,  IHC-P
AF1759
Species: Hu, Mu
Applications: ChIP, ICC, IP, Simple Western, WB
NB100-1607
Species: Hu, Mu, Rt
Applications: ICC/IF, IHC, IP, WB
366-6C
Species: Hu
Applications: BA
NBP2-19388
Species: Hu
Applications: ICC/IF, IHC,  IHC-P, WB
NB100-55400
Species: Hu
Applications: IHC,  IHC-P, PEP-ELISA
NBP1-92005
Species: Hu
Applications: ICC/IF, IHC,  IHC-P
AF5486
Species: Hu, Mu, Rt
Applications: CyTOF-ready, Flow, ICC, Simple Western, WB
NBP1-68766
Species: Hu, Mu, Rt
Applications: IHC,  IHC-P, PEP-ELISA, WB
NBP1-81978
Species: Hu
Applications: ICC/IF, IHC,  IHC-P
NBP1-84298
Species: Hu, Mu
Applications: ICC/IF, IHC,  IHC-P, WB

Publications for SLC47A2 Antibody (NBP1-97763)(1)

Reviews for SLC47A2 Antibody (NBP1-97763) (0)

There are no reviews for SLC47A2 Antibody (NBP1-97763). By submitting a review you will receive an Amazon e-Gift Card or Novus Product Discount.
  • Review with no image -- $10/€7/£6/$10 CAD/¥70 Yuan/¥1110 Yen
  • Review with an image -- $25/€18/£15/$25 CAD/¥150 Yuan/¥2500 Yen

Product General Protocols

Find general support by application which include: protocols, troubleshooting, illustrated assays, videos and webinars.

Video Protocols

WB Video Protocol

FAQs for SLC47A2 Antibody (NBP1-97763) (0)

There are no specific FAQs related to this product. Read our general customer & technical service FAQs.

Customers Who Bought This Also Bought

Contact Information

Product PDFs

Calculators

Concentration Calculator

The concentration calculator allows you to quickly calculate the volume, mass or concentration of your vial. Simply enter your mass, volume, or concentration values for your reagent and the calculator will determine the rest.

=
÷

Review this Product

Be the first to review our SLC47A2 Antibody and receive a gift card or discount.

Bioinformatics

Gene Symbol SLC47A2
Entrez
Uniprot