Skp1 Antibody (4E11)

Images

 
Western Blot: Skp1 Antibody (4E11) [NBP2-37539] - Western blot analysis using SKP1 mouse mAb against Hela (1), NIH/3T3 (2), A431 (3), RAJI (4), PC-12 (5), Cos7 (6), MCF-7 (7) and HepG2 (8) cell lysate.
Immunocytochemistry/ Immunofluorescence: Skp1 Antibody (4E11) [NBP2-37539] - Immunofluorescence analysis of Hela cells using SKP1 mouse mAb (green). Blue: DRAQ5 fluorescent DNA dye. Red: Actin filaments have been ...read more
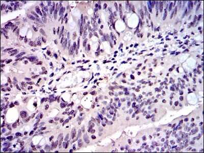
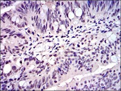
Immunohistochemistry: Skp1 Antibody (4E11) [NBP2-37539] - Immunohistochemical analysis of paraffin-embedded rectum cancer tissues using SKP1 mouse mAb with DAB staining.
Flow Cytometry: Skp1 Antibody (4E11) [NBP2-37539] - Flow cytometric analysis of NIH/3T3 cells using SKP1 mouse mAb (green) and negative control (red).
Western Blot: Skp1 Antibody (4E11) [NBP2-37539] - Western blot analysis using SKP1 mAb against human SKP1 (AA: 1-160) recombinant protein. (Expected MW is 43.5 kDa)
ELISA: Skp1 Antibody (4E11) [NBP2-37539] - Red: Control Antigen (100ng); Purple: Antigen (10ng); Green: Antigen (50ng); Blue: Antigen (100ng);

Product Details

Summary
Product Discontinued
View other related Skp1 Primary Antibodies

Order Details


    • Catalog Number
      NBP2-37539
    • Availability
      Product Discontinued

    Can't find what you are looking for? Use our Antibody Concierge Service & we will help you locate your antibody!

    Or feel free to contact us for alternative products.

Skp1 Antibody (4E11) Summary

Immunogen
Purified recombinant fragment of human SKP1 expressed in E. Coli.
Isotype
IgG1
Clonality
Monoclonal
Host
Mouse
Gene
SKP1
Purity
Unpurified
Innovator's Reward
Test in a species/application not listed above to receive a full credit towards a future purchase.

Applications/Dilutions

Dilutions
  • ELISA 1:10000
  • Flow Cytometry 1:200 - 1:400
  • Immunocytochemistry/ Immunofluorescence 1:200 - 1:1000
  • Immunohistochemistry 1:200 - 1:1000
  • Immunohistochemistry-Paraffin 1:200 - 1:1000
  • Western Blot 1:500 - 1:2000
Theoretical MW
19 kDa.
Disclaimer note: The observed molecular weight of the protein may vary from the listed predicted molecular weight due to post translational modifications, post translation cleavages, relative charges, and other experimental factors.
Publications
Read Publication using
NBP2-37539 in the following applications:

  • WB
    1 publication

Packaging, Storage & Formulations

Storage
Store at 4C short term. Aliquot and store at -20C long term. Avoid freeze-thaw cycles.
Buffer
Ascites
Preservative
0.03% Sodium Azide
Purity
Unpurified

Alternate Names for Skp1 Antibody (4E11)

  • Cyclin-A/CDK2-associated protein p19
  • EMC19p19skp1
  • MGC34403
  • OCP2
  • OCP2OCP-2
  • OCP-IIS-phase kinase-associated protein 1A (p19A)
  • Organ of Corti protein 2
  • Organ of Corti protein II
  • p19a
  • p19Acyclin A/CDK2-associated p19
  • p19Skp1
  • RNA polymerase II elongation factor-like protein OCP2
  • RNA polymerase II elongation factor-like protein
  • SKP1
  • SKP1A
  • SKP1Acyclin A/CDK2-associated protein p19
  • S-phase kinase-associated protein 1
  • TCEB1LSIII
  • Transcription elongation factor B

Background

Skp1 encodes a component of SCF complexes, which are composed of this protein, cullin 1, a ring-box protein, and one member of the F-box family of proteins. This protein binds directly to the F-box motif found in F-box proteins. SCF complexes are involved in the regulated ubiquitination of specific protein substrates, which targets them for degradation by the proteosome. Specific F-box proteins recognize different target protein(s), and many specific SCF substrates have been identified including regulators of cell cycle progression and development. Studies have also characterized the protein as an RNA polymerase II elongation factor. Alternative splicing of this gene results in two transcript variants. A related pseudogene has been identified on chromosome 7.

Limitations

This product is for research use only and is not approved for use in humans or in clinical diagnosis. Primary Antibodies are guaranteed for 1 year from date of receipt.

Customers Who Viewed This Item Also Viewed...

255-SC
Species: Hu
Applications: BA
NBP3-16092
Species: Hu, Mu, Rt
Applications: ELISA, ICC/IF, IHC,  IHC-P, WB
NBP1-31302
Species: Hu, Mu, Rt
Applications: ICC/IF, IHC,  IHC-P, KO, WB
NBP1-89150
Species: Hu
Applications: IHC,  IHC-P, WB
H00011026-M01
Species: Hu
Applications: ELISA, WB
H00143384-P01
Species: Hu
Applications: ELISA, AP, PA, PAGE, WB
NBP3-21835
Species: Hu, Mu, Rt
Applications: Flow, ICC/IF, IHC, IP, WB
NBP2-31361
Species: Hu
Applications: IHC,  IHC-P, WB
NBP1-81988
Species: Hu
Applications: IHC,  IHC-P
NBP2-21037
Species: Hu
Applications: IHC,  IHC-P, WB
NBP2-49142
Species: Hu
Applications: IHC,  IHC-P, KD, WB
NBP2-61712
Species: Hu
Applications: ELISA, Flow, IHC,  IHC-P, WB
NBP1-59631
Species: Hu, Mu
Applications: IHC,  IHC-P, WB
NBP2-44520
Species: Ca(-), Hu, Rt(-)
Applications: Flow-IC, Flow, ICC/IF, IF, IHC,  IHC-P, MI, WB
NBP1-87581
Species: Hu
Applications: IHC,  IHC-P, WB
NBP3-46336
Species: Hu, Mu, Rt
Applications: ELISA, IHC, WB
NB100-91662
Species: Hu, Mu, Rt
Applications: Flow, ICC/IF, IHC,  IHC-P, Simple Western, WB
NBP2-29463
Species: Pm, Hu, Pm, Mu
Applications: Flow, ICC/IF, IHC,  IHC-P, WB
NBP1-87104
Species: Hu, Mu, Rt
Applications: ICC/IF, IHC,  IHC-P, WB
NBP2-37539
Species: Hu
Applications: WB, ELISA, Flow, ICC/IF, IHC

Publications for Skp1 Antibody (NBP2-37539)(1)

We have publications tested in 1 confirmed species: Human.

We have publications tested in 1 application: WB.


Filter By Application
WB
(1)
All Applications
Filter By Species
Human
(1)
All Species

Reviews for Skp1 Antibody (NBP2-37539) (0)

There are no reviews for Skp1 Antibody (NBP2-37539). By submitting a review you will receive an Amazon e-Gift Card or Novus Product Discount.
  • Review with no image -- $10/€7/£6/$10 CAD/¥70 Yuan/¥1110 Yen
  • Review with an image -- $25/€18/£15/$25 CAD/¥150 Yuan/¥2500 Yen

Product General Protocols

Find general support by application which include: protocols, troubleshooting, illustrated assays, videos and webinars.

Video Protocols

WB Video Protocol
ICC/IF Video Protocol

FAQs for Skp1 Antibody (NBP2-37539) (0)

There are no specific FAQs related to this product. Read our general customer & technical service FAQs.

Secondary Antibodies

 

Isotype Controls

Additional Skp1 Products

Research Areas for Skp1 Antibody (NBP2-37539)

Find related products by research area.

Blogs on Skp1

There are no specific blogs for Skp1, but you can read our latest blog posts.

Contact Information

Product PDFs

Calculators

Concentration Calculator

The concentration calculator allows you to quickly calculate the volume, mass or concentration of your vial. Simply enter your mass, volume, or concentration values for your reagent and the calculator will determine the rest.

=
÷

Review this Product

Be the first to review our Skp1 Antibody (4E11) and receive a gift card or discount.

Bioinformatics

Gene Symbol SKP1