SFPQ Antibody (JU33-99)

Images

 
Western Blot: SFPQ Antibody (JU33-99) [NBP2-75664] - Analysis of SFPQ on different lysates using anti-SFPQ antibody at 1/1,000 dilution.Positive control:Lane 1: K562 Lane 2: DaudiLane 3: Mouse testis Lane 4: ...read more
Immunohistochemistry-Paraffin: SFPQ Antibody (JU33-99) [NBP2-75664] - Analysis of paraffin-embedded rat brain tissue using anti-SFPQ antibody. Counter stained with hematoxylin.
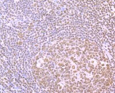
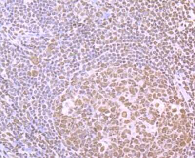
Immunohistochemistry-Paraffin: SFPQ Antibody (JU33-99) [NBP2-75664] - Analysis of paraffin-embedded human tonsil tissue using anti-SFPQ antibody. Counter stained with hematoxylin.
Immunohistochemistry-Paraffin: SFPQ Antibody (JU33-99) [NBP2-75664] - Analysis of paraffin-embedded human liver cancer tissue using anti-SFPQ antibody. Counter stained with hematoxylin.
Immunohistochemistry-Paraffin: SFPQ Antibody (JU33-99) [NBP2-75664] - Analysis of paraffin-embedded human kidney tissue using anti-SFPQ antibody. Counter stained with hematoxylin.
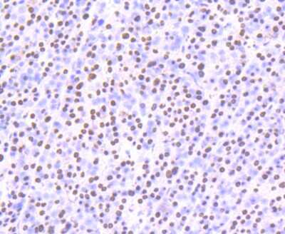
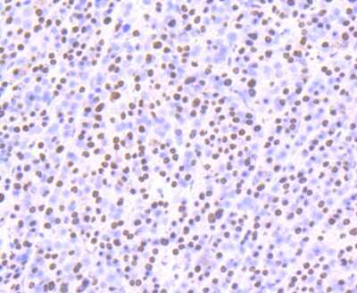
Immunohistochemistry-Paraffin: SFPQ Antibody (JU33-99) [NBP2-75664] - Analysis of paraffin-embedded mouse testis tissue using anti-SFPQ antibody. Counter stained with hematoxylin.

Product Details

Summary
Product Discontinued
View other related SFPQ Primary Antibodies

Order Details


    • Catalog Number
      NBP2-75664
    • Availability
      Product Discontinued

    Can't find what you are looking for? Use our Antibody Concierge Service & we will help you locate your antibody!

    Or feel free to contact us for alternative products.

SFPQ Antibody (JU33-99) Summary

Additional Information
Recombinant Monoclonal Antibody.
Immunogen
Synthetic peptide within Human SFPQ aa 658-707 / 707. (SwissProt: P23246 Human; SwissProt: Q8VIJ6 Mouse)
Localization
Nucleus. Cytoplasm.
Isotype
IgG
Clonality
Monoclonal
Host
Rabbit
Gene
SFPQ
Purity
Protein A purified
Innovator's Reward
Test in a species/application not listed above to receive a full credit towards a future purchase.

Applications/Dilutions

Dilutions
  • Immunocytochemistry/ Immunofluorescence 1:10-1:50
  • Immunohistochemistry
  • Immunohistochemistry-Paraffin 1:50-1:200
  • Western Blot 1:500-1:2000
Theoretical MW
100 kDa.
Disclaimer note: The observed molecular weight of the protein may vary from the listed predicted molecular weight due to post translational modifications, post translation cleavages, relative charges, and other experimental factors.

Packaging, Storage & Formulations

Storage
Store at 4C short term. Aliquot and store at -20C long term. Avoid freeze-thaw cycles.
Buffer
TBS (pH7.4), 0.05% BSA, 40% Glycerol
Preservative
0.05% Sodium Azide
Concentration
1 mg/ml
Purity
Protein A purified

Alternate Names for SFPQ Antibody (JU33-99)

  • 100 kDa DNA-pairing protein
  • DNA-binding p52/p100 complex, 100 kDa subunit
  • hPOMp100
  • polypyrimidine tract binding protein associated
  • polypyrimidine tract-binding protein-associated splicing factor
  • Polypyrimidine tract-binding protein-associated-splicing factor
  • PSFPOMP100
  • PTB-associated splicing factor
  • PTB-associated-splicing factor
  • splicing factor proline/glutamine rich (polypyrimidine tract binding proteinassociated)
  • splicing factor proline/glutamine rich (polypyrimidine tract-bindingprotein-associated)
  • splicing factor proline/glutamine-rich
  • splicing factor, proline- and glutamine-rich

Background

PSF/SFPQ is a multifunctional protein know to participate in a variety of nuclear processes and may function to link transcription and pre-mRNA processing. PSF/SFPQ bears an RNA recognition motif (RRM) further indicating its role in post-transcriptional processes. PSF has been shown to associate with p54nrb/NonO to modulate androgen receptor-mediated transcription. Additionally, it has recently been show to associate with XRN2 and p54nrb/NonO to facilitate pre-mRNA 3' processing and transcription termination. Alternate names for PSF/SFPQ include polypyrimidine tract-binding protein-associated-splicing factor, PTB-associated-splicing factor, splicing factor proline-and glutamine-rich, and POMP100.

Limitations

This product is for research use only and is not approved for use in humans or in clinical diagnosis. Primary Antibodies are guaranteed for 1 year from date of receipt.

Customers Who Viewed This Item Also Viewed...

NB100-1556
Species: Hu, Mu, Rt
Applications: ICC/IF, IHC,  IHC-P, IP, WB
AF4094
Species: Hu, Mu, Rt
Applications: IHC, KO, Simple Western, WB
AF7284
Species: Hu, Mu, Rt
Applications: IHC, WB
NBP1-31164
Species: Hu
Applications: ICC/IF, WB
NB200-191
Species: Ha, Hu, Mu
Applications: ICC/IF, IHC,  IHC-P, IP, WB
NBP1-87381
Species: Hu
Applications: ICC/IF, IHC,  IHC-P
NBP1-83801
Species: Hu, Mu, Rt
Applications: ICC/IF, IHC, IHC-Fr,  IHC-P, WB
NB100-56603
Species: Ca, Hu, Mu, Pm, Rt
Applications: IHC,  IHC-P, WB
664-LI
Species: Hu
Applications: BA
NB100-565
Species: Hu, Mu, Rt
Applications: ICC/IF, IHC,  IHC-P, IP, KO, WB
203-IL
Species: Hu
Applications: BA
291-G1
Species: Hu
Applications: BA
NBP2-20324
Species: Hu, Mu, Rt
Applications: ICC/IF, IHC,  IHC-P, WB
NBP2-19952
Species: Hu
Applications: ICC/IF, KD, WB
NBP3-41367
Species: Hu, Mu, Po, Rt
Applications: IHC,  IHC-P, WB
H00005725-M01
Species: Hu
Applications: ELISA, ICC/IF, IHC,  IHC-P, IP, Single-Cell Western, WB
NB100-56340
Species: Hu, Mu, Rt
Applications: IHC, IHC-Fr,  IHC-P, KO, Simple Western, WB
NBP3-16756
Species: Hu, Mu, Rt
Applications: ICC/IF, IHC,  IHC-P, WB
AF5415
Species: Hu
Applications: ICC, IHC, Simple Western, WB

Publications for SFPQ Antibody (NBP2-75664) (0)

There are no publications for SFPQ Antibody (NBP2-75664).
By submitting your publication information earn gift cards and discounts for future purchases.

Reviews for SFPQ Antibody (NBP2-75664) (0)

There are no reviews for SFPQ Antibody (NBP2-75664). By submitting a review you will receive an Amazon e-Gift Card or Novus Product Discount.
  • Review with no image -- $10/€7/£6/$10 CAD/¥70 Yuan/¥1110 Yen
  • Review with an image -- $25/€18/£15/$25 CAD/¥150 Yuan/¥2500 Yen

Product General Protocols

Find general support by application which include: protocols, troubleshooting, illustrated assays, videos and webinars.

Video Protocols

WB Video Protocol
ICC/IF Video Protocol

FAQs for SFPQ Antibody (NBP2-75664) (0)

There are no specific FAQs related to this product. Read our general customer & technical service FAQs.

Secondary Antibodies

 

Isotype Controls

Additional SFPQ Products

Research Areas for SFPQ Antibody (NBP2-75664)

Find related products by research area.

Blogs on SFPQ

There are no specific blogs for SFPQ, but you can read our latest blog posts.

Contact Information

Product PDFs

Calculators

Concentration Calculator

The concentration calculator allows you to quickly calculate the volume, mass or concentration of your vial. Simply enter your mass, volume, or concentration values for your reagent and the calculator will determine the rest.

=
÷

Review this Product

Be the first to review our SFPQ Antibody (JU33-99) and receive a gift card or discount.

Bioinformatics

Gene Symbol SFPQ