SF2 Antibody (JB40-76)

Images

 
Western Blot: SF2 Antibody (JB40-76) [NBP2-75663] - Analysis of SF2 on different lysates using anti-SF2 antibody at 1/500 dilution.Positive control:Lane 1: Mouse heart Lane 2: Mouse liverLane 3: K562
Immunocytochemistry/ Immunofluorescence: SF2 Antibody (JB40-76) [NBP2-75663] - Staining SF2 in A431 cells (green). The nuclear counter stain is DAPI (blue). Cells were fixed in paraformaldehyde, permeabilised with 0.25% ...read more
Immunohistochemistry-Paraffin: SF2 Antibody (JB40-76) [NBP2-75663] - Analysis of paraffin-embedded rat epididymis tissue using anti-SF2 antibody. Counter stained with hematoxylin.
Flow Cytometry: SF2 Antibody (JB40-76) [NBP2-75663] - Analysis of K562 cells with SF2 antibody at 1/100 dilution (red) compared with an unlabelled control (cells without incubation with primary antibody; black). Alexa ...read more
Immunohistochemistry-Paraffin: SF2 Antibody (JB40-76) [NBP2-75663] - Analysis of paraffin-embedded human lung cancer tissue using anti-SF2 antibody. Counter stained with hematoxylin.
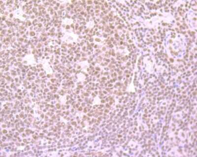
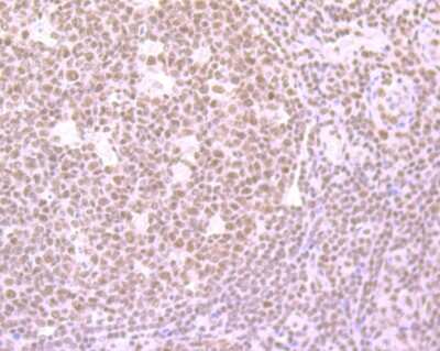
Immunohistochemistry-Paraffin: SF2 Antibody (JB40-76) [NBP2-75663] - Analysis of paraffin-embedded human tonsil tissue using anti-SF2 antibody. Counter stained with hematoxylin.
Immunohistochemistry-Paraffin: SF2 Antibody (JB40-76) [NBP2-75663] - Analysis of paraffin-embedded human breast tissue using anti-SF2 antibody. Counter stained with hematoxylin.
Immunohistochemistry-Paraffin: SF2 Antibody (JB40-76) [NBP2-75663] - Analysis of paraffin-embedded mouse colon tissue using anti-SF2 antibody. Counter stained with hematoxylin.

Product Details

Summary
Product Discontinued
View other related SF2 Primary Antibodies

Order Details


    • Catalog Number
      NBP2-75663
    • Availability
      Product Discontinued

    Can't find what you are looking for? Use our Antibody Concierge Service & we will help you locate your antibody!

    Or feel free to contact us for alternative products.

SF2 Antibody (JB40-76) Summary

Additional Information
Recombinant Monoclonal Antibody.
Immunogen
Synthetic peptide within Human SF2 aa 1-50 / 248. (SwissProt: Q07955 Human; SwissProt: Q6PDM2 Mouse; SwissProt: D4A9L2 Rat)
Localization
Cytoplasm, Nucleus, Spliceosome.
Isotype
IgG
Clonality
Monoclonal
Host
Rabbit
Gene
SRSF1
Purity
Protein A purified
Innovator's Reward
Test in a species/application not listed above to receive a full credit towards a future purchase.

Applications/Dilutions

Dilutions
  • Flow Cytometry 1:50-1:100
  • Immunocytochemistry/ Immunofluorescence 1:50
  • Immunohistochemistry
  • Immunohistochemistry-Paraffin 1:50-1:200
  • Western Blot 1:500-1:1000
Theoretical MW
28 kDa.
Disclaimer note: The observed molecular weight of the protein may vary from the listed predicted molecular weight due to post translational modifications, post translation cleavages, relative charges, and other experimental factors.

Packaging, Storage & Formulations

Storage
Store at 4C short term. Aliquot and store at -20C long term. Avoid freeze-thaw cycles.
Buffer
TBS (pH7.4), 0.05% BSA, 40% Glycerol
Preservative
0.05% Sodium Azide
Concentration
1 mg/ml
Purity
Protein A purified

Alternate Names for SF2 Antibody (JB40-76)

  • Alternative-splicing factor 1
  • ASFpre-mRNA-splicing factor SF2, P33 subunit
  • MGC5228
  • serine/arginine-rich splicing factor 1
  • SF2FLJ53078
  • SF2p33
  • SFRS1splicing factor 2
  • Splicing factor, arginine/serine-rich 1ASF-1
  • SR splicing factor 1
  • SRp30a

Background

SF2 encodes a member of the arginine/serine-rich splicing factor protein family, and functions in both constitutive and alternative pre-mRNA splicing. The protein binds to pre-mRNA transcripts and components of the spliceosome, and can either activate or repress splicing depending on the location of the pre-mRNA binding site. The protein's ability to activate splicing is regulated by phosphorylation and interactions with other splicing factor associated proteins. Multiple transcript variants encoding different isoforms have been found for this gene. [provided by RefSeq]

Limitations

This product is for research use only and is not approved for use in humans or in clinical diagnosis. Primary Antibodies are guaranteed for 1 year from date of receipt.

Customers Who Viewed This Item Also Viewed...

MAB5745
Species: Hu
Applications: IHC, WB
NBP1-86125
Species: Hu
Applications: IHC,  IHC-P
NBP2-47290
Species: Hu
Applications: ICC/IF, IHC,  IHC-P
H00010921-M05
Species: Hu, Mu, Rt
Applications: ELISA, IP, WB
NB100-672
Species: Bv, Ca, Hu, Mu
Applications: ELISA, ICC/IF, IHC, IP, KD, MiAr, WB
NBP2-04142
Species: Hu, Mu
Applications: ICC/IF, IHC,  IHC-P, IP, WB
H00006428-M08
Species: Hu, Mu, Rt
Applications: ELISA, ICC/IF, IP, WB
H00006732-M01
Species: Hu
Applications: ELISA, IHC,  IHC-P, S-ELISA, WB
H00006430-B01P
Species: Hu
Applications: ICC/IF, IHC,  IHC-P, WB
H00006607-M01
Species: Hu
Applications: ELISA, ICC/IF, IHC,  IHC-P, WB
H00007536-M01
Species: Hu, Mu
Applications: ELISA, ICC/IF, IHC,  IHC-P, IP, WB
NBP1-89790
Species: Hu, Mu, Rt
Applications: ICC/IF, IHC,  IHC-P, WB
NBP2-88921
Species: Hu
Applications: ICC/IF, IHC,  IHC-P, WB
NBP2-87194
Species: Hu
Applications: WB
NBP1-87102
Species: Hu, Mu, Rt
Applications: ICC/IF, IHC,  IHC-P, WB
NBP1-87103
Species: Hu, Mu
Applications: IHC,  IHC-P, WB
DVE00
Species: Hu
Applications: ELISA
NBP1-49045
Species: Mu, Rt
Applications: Cell Depl, CyTOF-ready, Flow, ICC/IF, IHC, IHC-Fr,  IHC-P, IP, InhibTFunc
NB100-1936
Species: Hu, Mu, Pm, Rt, Xp, Ze
Applications: ELISA, Flow, ICC/IF, IHC,  IHC-P, IP, WB
NBP2-75663
Species: Hu, Mu, Rt
Applications: WB, Flow, ICC/IF, IHC

Publications for SF2 Antibody (NBP2-75663) (0)

There are no publications for SF2 Antibody (NBP2-75663).
By submitting your publication information earn gift cards and discounts for future purchases.

Reviews for SF2 Antibody (NBP2-75663) (0)

There are no reviews for SF2 Antibody (NBP2-75663). By submitting a review you will receive an Amazon e-Gift Card or Novus Product Discount.
  • Review with no image -- $10/€7/£6/$10 CAD/¥70 Yuan/¥1110 Yen
  • Review with an image -- $25/€18/£15/$25 CAD/¥150 Yuan/¥2500 Yen

Product General Protocols

Find general support by application which include: protocols, troubleshooting, illustrated assays, videos and webinars.

Video Protocols

WB Video Protocol
ICC/IF Video Protocol

FAQs for SF2 Antibody (NBP2-75663) (0)

There are no specific FAQs related to this product. Read our general customer & technical service FAQs.

Secondary Antibodies

 

Isotype Controls

Additional SF2 Products

Research Areas for SF2 Antibody (NBP2-75663)

Find related products by research area.

Blogs on SF2

There are no specific blogs for SF2, but you can read our latest blog posts.

Contact Information

Product PDFs

Calculators

Concentration Calculator

The concentration calculator allows you to quickly calculate the volume, mass or concentration of your vial. Simply enter your mass, volume, or concentration values for your reagent and the calculator will determine the rest.

=
÷

Review this Product

Be the first to review our SF2 Antibody (JB40-76) and receive a gift card or discount.

Bioinformatics

Gene Symbol SRSF1