SESN1 Antibody

Images

 
Western Blot: SESN1 Antibody [NBP2-20316] - Sample (30 ug of whole cell lysate) A: HepG2 7. 5% SDS PAGE gel, diluted at 1:1000.
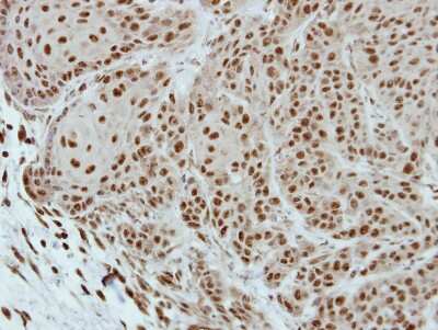
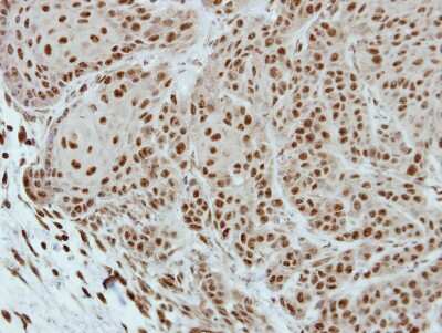
Immunohistochemistry-Paraffin: SESN1 Antibody [NBP2-20316] - Immunohistochemical analysis of paraffin-embedded Cal27 xenograft, using antibody at 1:500 dilution.

Product Details

Summary
Product Discontinued
View other related SESN1 Primary Antibodies

Order Details


    • Catalog Number
      NBP2-20316
    • Availability
      Product Discontinued

    Can't find what you are looking for? Use our Antibody Concierge Service & we will help you locate your antibody!

    Or feel free to contact us for alternative products.

SESN1 Antibody Summary

Immunogen
Recombinant protein encompassing a sequence within the center region of human SESN1. The exact sequence is proprietary.
Isotype
IgG
Clonality
Polyclonal
Host
Rabbit
Gene
SESN1
Purity
Immunogen affinity purified
Innovator's Reward
Test in a species/application not listed above to receive a full credit towards a future purchase.

Applications/Dilutions

Dilutions
  • Immunohistochemistry 10 - 1:500
  • Immunohistochemistry-Paraffin 1:100-1:1000
  • Western Blot 1:500-1:3000
Theoretical MW
54 kDa.
Disclaimer note: The observed molecular weight of the protein may vary from the listed predicted molecular weight due to post translational modifications, post translation cleavages, relative charges, and other experimental factors.

Reactivity Notes

Immunogen displays the following percentage of sequence identity for non-tested species: Xenopus laevis (81%).

Packaging, Storage & Formulations

Storage
Aliquot and store at -20C or -80C. Avoid freeze-thaw cycles.
Buffer
PBS (pH 7), 20% Glycerol, 1% BSA
Preservative
0.01% Thimerosal
Purity
Immunogen affinity purified

Alternate Names for SESN1 Antibody

  • MGC138241
  • MGC142129
  • p53-regulated protein PA26
  • PA26p53 activated gene 26
  • SEST1p53 regulated PA26 nuclear protein
  • sestrin 1
  • sestrin-1

Background

This gene encodes a member of the sestrin family. Sestrins are induced by the p53 tumor suppressor protein and play a role in the cellular response to DNA damage and oxidative stress. The encoded protein mediates p53 inhibition of cell growth by activating AMP-activated protein kinase, which results in the inhibition of the mammalian target of rapamycin protein. The encoded protein also plays a critical role in antioxidant defense by regenerating overoxidized peroxiredoxins, and the expression of this gene is a potential marker for exposure to radiation. Alternatively spliced transcript variants encoding multiple isoforms have been observed for this gene. [provided by RefSeq]

Limitations

This product is for research use only and is not approved for use in humans or in clinical diagnosis. Primary Antibodies are guaranteed for 1 year from date of receipt.

Customers Who Viewed This Item Also Viewed...

NB200-103
Species: Hu, Mu, Rt, Xp(-), Ye
Applications: CyTOF-ready, ELISA, Flow-IC, Flow, ICC/IF, IHC, IHC-Fr,  IHC-P, IP, WB
H00083667-M03
Species: Hu
Applications: ELISA, ICC/IF, IHC,  IHC-P, IP, S-ELISA, WB
NBP2-29463
Species: Pm, Hu, Pm, Mu
Applications: Flow, ICC/IF, IHC,  IHC-P, WB
AF6897
Species: Hu, Mu
Applications: IHC, Simple Western, WB
NBP1-31702
Species: Hu, Mu, Rt
Applications: ICC/IF, IHC,  IHC-P, WB
NBP2-38530
Species: Hu
Applications: ICC/IF, IHC,  IHC-P, WB
AF5510
Species: Hu
Applications: WB
NBP1-83121
Species: Hu
Applications: IHC,  IHC-P, Simple Western, WB
NB600-607
Species: Hu, Rt
Applications: ELISA, IHC,  IHC-P, WB
NBP2-92649
Species: Hu, Mu, Rt
Applications: ELISA, IHC,  IHC-P, WB
NB100-2736
Species: Hu, Mu, Rt
Applications: IHC, IHC-Fr,  IHC-P, IP, WB
NBP2-16521
Species: Hu, Mu, Rt, Sq, Xp
Applications: ChIP, ICC/IF, IHC,  IHC-P, IP, KD, WB
NB400-114
Species: Ch, Fe, Ha, Hu, Mu, Pl, Po, Pm, Rt
Applications: ICC/IF, IHC,  IHC-P, IP, KD, WB
NBP2-46085
Species: Hu
Applications: IHC,  IHC-P, WB
NB120-13550
Species: Hu, Mu, Rt
Applications: ICC/IF, IHC,  IHC-P, WB
NBP1-76639
Species: Hu, Rt
Applications: ELISA, ICC/IF, IHC,  IHC-P, WB
NBP2-20316
Species: Hu
Applications: WB, IHC
⚠ WARNING: This product can expose you to chemicals including mercury, which is known to the State of California to cause reproductive toxicity with developmental effects.  For more information go to www.P65Warnings.ca.gov.

Publications for SESN1 Antibody (NBP2-20316) (0)

There are no publications for SESN1 Antibody (NBP2-20316).
By submitting your publication information earn gift cards and discounts for future purchases.

Reviews for SESN1 Antibody (NBP2-20316) (0)

There are no reviews for SESN1 Antibody (NBP2-20316). By submitting a review you will receive an Amazon e-Gift Card or Novus Product Discount.
  • Review with no image -- $10/€7/£6/$10 CAD/¥70 Yuan/¥1110 Yen
  • Review with an image -- $25/€18/£15/$25 CAD/¥150 Yuan/¥2500 Yen

Product General Protocols

Find general support by application which include: protocols, troubleshooting, illustrated assays, videos and webinars.

Video Protocols

WB Video Protocol

FAQs for SESN1 Antibody (NBP2-20316) (0)

There are no specific FAQs related to this product. Read our general customer & technical service FAQs.

Secondary Antibodies

 

Isotype Controls

Additional SESN1 Products

Research Areas for SESN1 Antibody (NBP2-20316)

Find related products by research area.

Blogs on SESN1

There are no specific blogs for SESN1, but you can read our latest blog posts.

Contact Information

Product PDFs

Calculators

Concentration Calculator

The concentration calculator allows you to quickly calculate the volume, mass or concentration of your vial. Simply enter your mass, volume, or concentration values for your reagent and the calculator will determine the rest.

=
÷

Review this Product

Be the first to review our SESN1 Antibody and receive a gift card or discount.

Bioinformatics

Gene Symbol SESN1