Serpin B5/Maspin Antibody (SERPINB5/4974) - Azide and BSA Free

Images

 
Analysis of Protein Array containing more than 19,000 full-length human proteins using SERPINB5 / Serpin B5/Maspin Antibody (SERPINB5/4974) - Azide and BSA Free.
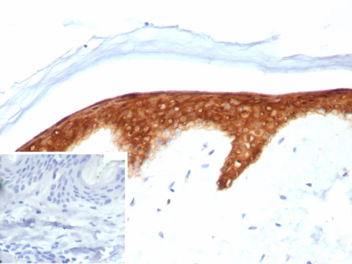
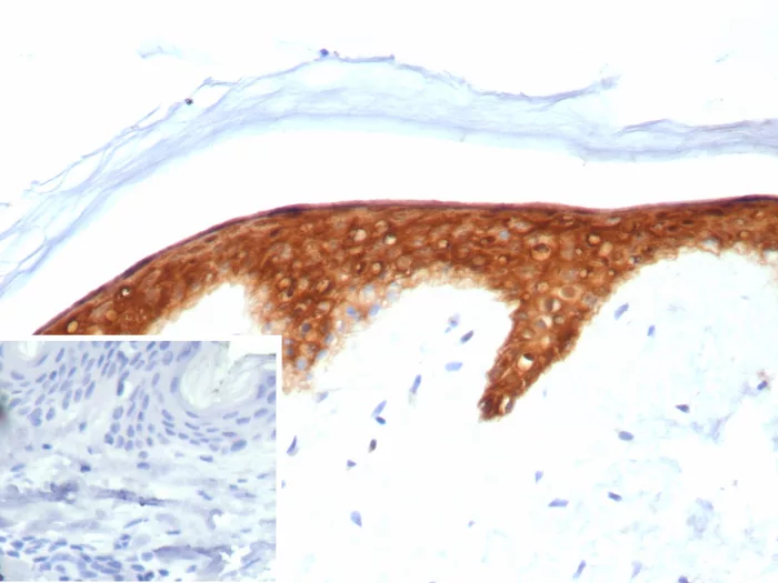
Formalin-fixed, paraffin-embedded human skin stained with Serpin B5/Maspin Antibody (SERPINB5/4974) - Azide and BSA Free. Inset: PBS instead of primary antibody; secondary only negative control.

Product Details

Summary
Reactivity HuSpecies Glossary
Applications IHC
Clone
SERPINB5/4974
Clonality
Monoclonal
Host
Mouse
Conjugate
Unconjugated
Format
Azide and BSA Free
Concentration
1 mg/ml

Order Details

Serpin B5/Maspin Antibody (SERPINB5/4974) - Azide and BSA Free Summary

Description
Antibody without azide - store at -20 to -80C. Non-hazardous. No MSDS required.
Immunogen
Recombinant fragment of human Serpin B5/Maspin protein (around aa1-200) (exact sequence is proprietary)
Localization
Secreted, Extracellular space
Isotype
IgG2b Kappa
Clonality
Monoclonal
Host
Mouse
Gene
SERPINB5
Purity
Protein A or G purified
Innovator's Reward
Test in a species/application not listed above to receive a full credit towards a future purchase.

Applications/Dilutions

Dilutions
  • Immunohistochemistry-Paraffin 1-2ug/ml for 30 minutes at RT
Application Notes
Immunohistochemistry-Paraffin 1-2ug/ml for 30 minutes at RT. Optimal dilution for a specific application should be determined.. Staining of formalin-fixed tissues requires heating tissue sections in 10mM Tris with 1mM EDTA, pH 9.0, for 45 min at 95C followed by cooling at RT for 20 minutes

Packaging, Storage & Formulations

Storage
Store at -20 to -80C. Avoid freeze-thaw cycles.
Buffer
10mM PBS
Preservative
No Preservative
Concentration
1 mg/ml
Purity
Protein A or G purified

Alternate Names for Serpin B5/Maspin Antibody (SERPINB5/4974) - Azide and BSA Free

  • Maspin
  • Peptidase inhibitor 5
  • PI5
  • PI-5
  • PI5protease inhibitor 5 (maspin)
  • serine (or cysteine) proteinase inhibitor, clade B (ovalbumin), member 5
  • Serpin B5
  • serpin peptidase inhibitor, clade B (ovalbumin), member 5

Background

Maspin is an extracellular matrix tumor supressor that blocks the growth, invasion, and metastatic properties of mammary and prostate tumors. Structurally Maspin is a serine protease inhibitor (Serpin), but it does not undergo the stressed to relaxed conformational transition characteristic of active serpins and exhibits no serine protease inhibitory activity. Maspin is also expressed by the corneal epithelium and regulates migration and adhesion of corneal stromal fibroblasts and myofibroblasts during corneal wound healing.

Limitations

This product is for research use only and is not approved for use in humans or in clinical diagnosis. Primary Antibodies are guaranteed for 1 year from date of receipt.

Customers Who Viewed This Item Also Viewed...

NB200-103
Species: Hu, Mu, Rt, Xp(-), Ye
Applications: CyTOF-ready, ELISA, Flow-IC, Flow, ICC/IF, IHC, IHC-Fr,  IHC-P, IP, WB
DVE00
Species: Hu
Applications: ELISA
1310-SE
Species: Hu
Applications: EnzAct
AF231
Species: Hu
Applications: CyTOF-ready, Dual ISH-IHC, ELISA(Cap), ELISA(Det), ELISA(Sta), Flow, ICC, IHC, IP, Simple Western, WB
AF1916
Species: Hu
Applications: ICC, IHC, WB
1129-ER
Species: Hu
Applications: BA
NBP2-29463
Species: Pm, Hu, Pm, Mu
Applications: Flow, ICC/IF, IHC,  IHC-P, WB
AF7355
Species: Hu
Applications: ICC, Simple Western, WB
NBP2-45788
Species: Ce, Hu
Applications: IHC,  IHC-P, WB
NBP1-33188
Species: Hu, Mu
Applications: ICC/IF, IHC,  IHC-P, IP, WB
NB600-922
Species: Ch, Mu
Applications: ELISA, IHC, Single-Cell Western, WB
NB300-560
Species: Av, Bv, Ma, Hu, Mu, Pm, Rt
Applications: IF, IHC, IHC-Fr,  IHC-P, WB
NBP2-03595
Species: Hu
Applications: IHC,  IHC-P, WB
NBP1-18885
Species: Hu
Applications: ICC/IF, IHC,  IHC-P, IP, KO, WB
NB100-355
Species: Bv, Ca, Ch, Hu, Mu, Po, Pm, Rt, Xp
Applications: CyTOF-ready, Flow, ICC/IF, IF, IHC, IHC-Fr,  IHC-P, IP, In vivo, KO, Simple Western, WB
NBP1-80633
Species: Hu
Applications: IHC,  IHC-P
NBP1-51671
Species: Hu
Applications: ELISA, Flow, ICC/IF, IHC,  IHC-P, WB
DUP00
Species: Hu
Applications: ELISA
NB100-56603
Species: Ca, Hu, Mu, Pm, Rt
Applications: IHC,  IHC-P, WB
DTSP10
Species: Hu
Applications: ELISA

Publications for Serpin B5/Maspin Antibody (NBP3-26988) (0)

There are no publications for Serpin B5/Maspin Antibody (NBP3-26988).
By submitting your publication information earn gift cards and discounts for future purchases.

Reviews for Serpin B5/Maspin Antibody (NBP3-26988) (0)

There are no reviews for Serpin B5/Maspin Antibody (NBP3-26988). By submitting a review you will receive an Amazon e-Gift Card or Novus Product Discount.
  • Review with no image -- $10/€7/£6/$10 CAD/¥70 Yuan/¥1110 Yen
  • Review with an image -- $25/€18/£15/$25 CAD/¥150 Yuan/¥2500 Yen

Product General Protocols

Find general support by application which include: protocols, troubleshooting, illustrated assays, videos and webinars.

FAQs for Serpin B5/Maspin Antibody (NBP3-26988) (0)

There are no specific FAQs related to this product. Read our general customer & technical service FAQs.

Secondary Antibodies

 

Isotype Controls

Additional Serpin B5/Maspin Products

Research Areas for Serpin B5/Maspin Antibody (NBP3-26988)

Find related products by research area.

Blogs on Serpin B5/Maspin

There are no specific blogs for Serpin B5/Maspin, but you can read our latest blog posts.

Customers Who Bought This Also Bought

Contact Information

Product PDFs

Calculators

Concentration Calculator

The concentration calculator allows you to quickly calculate the volume, mass or concentration of your vial. Simply enter your mass, volume, or concentration values for your reagent and the calculator will determine the rest.

=
÷

Review this Product

Be the first to review our Serpin B5/Maspin Antibody (SERPINB5/4974) - Azide and BSA Free and receive a gift card or discount.

Bioinformatics

Gene Symbol SERPINB5