Semaphorin 7A Antibody

Images

 
Western Blot: Semaphorin 7A Antibody [NBP1-32699] - Various whole cell extracts (30 ug) were separated by 7.5% SDS-PAGE, and the membrane was blotted with SEMA7A antibody [C1C3] diluted at 1:1000.
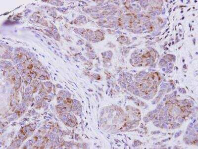
Immunohistochemistry-Paraffin: Semaphorin 7A Antibody [NBP1-32699] - Cal27 xenograft , using CD108 antibody at 1:100 dilution. Antigen Retrieval: Citrate buffer, pH 6.0, 15 min.
Western Blot: Semaphorin 7A Antibody [NBP1-32699] - Various tissue extracts (50 ug) were separated by 7.5% SDS-PAGE, and the membrane was blotted with SEMA7A antibody [C1C3] diluted at 1:1000.

Product Details

Summary
Product Discontinued
View other related Semaphorin 7A Primary Antibodies

Order Details


    • Catalog Number
      NBP1-32699
    • Availability
      Product Discontinued

    Can't find what you are looking for? Use our Antibody Concierge Service & we will help you locate your antibody!

    Or feel free to contact us for alternative products.

Semaphorin 7A Antibody Summary

Immunogen
Recombinant protein encompassing a sequence within the center region of human SEMA7A. The exact sequence is proprietary.
Localization
Cell membrane, Lipid-anchor, GPI-anchor
Predicted Species
Rhesus Macaque (97%). Backed by our 100% Guarantee.
Isotype
IgG
Clonality
Polyclonal
Host
Rabbit
Gene
SEMA7A
Purity
Immunogen affinity purified
Innovator's Reward
Test in a species/application not listed above to receive a full credit towards a future purchase.

Applications/Dilutions

Dilutions
  • Immunohistochemistry 1:100-1:1000
  • Immunohistochemistry-Frozen
  • Immunohistochemistry-Paraffin 1:100-1:1000
  • Western Blot 1:500-1:3000
Application Notes
IHC-Fr (Frozen sections) Assay dependent .
Theoretical MW
75 kDa.
Disclaimer note: The observed molecular weight of the protein may vary from the listed predicted molecular weight due to post translational modifications, post translation cleavages, relative charges, and other experimental factors.
Publications
Read Publication using
NBP1-32699 in the following applications:

  • WB
    1 publication

Reactivity Notes

Bovine (81%).

Packaging, Storage & Formulations

Storage
Aliquot and store at -20C or -80C. Avoid freeze-thaw cycles.
Buffer
0.1M Tris (pH 7), 0.1M Glycine, 10% Glycerol
Preservative
0.01% Thimerosal
Purity
Immunogen affinity purified

Alternate Names for Semaphorin 7A Antibody

  • CD108 antigen
  • CD108
  • CD108MGC126696
  • CDw108
  • H-SEMA-K1
  • H-Sema-L
  • JMH blood group antigen
  • JMH
  • John-Milton-Hargen human blood group Ag
  • MGC126692
  • sema domain, immunoglobulin domain (Ig), and GPI membrane anchor, (semaphorin)7A (JMH blood group)
  • sema domain, immunoglobulin domain (Ig), and GPI membrane anchor, (semaphorin)7A
  • sema domain, immunoglobulin domain (Ig), and GPI membrane anchor, 7A
  • Sema K1
  • Sema L
  • Sema7A
  • SEMAK1
  • SEMAL
  • SEMALJohn Milton Hagen blood group H-Sema K1
  • Semaphorin 7A
  • semaphorin 7A, GPI membrane anchor (John Milton Hagen blood group)
  • semaphorin K1
  • semaphorin L
  • semaphorin-7A
  • semaphorin-K1
  • semaphorin-L

Background

SEMA7A is a membrane-bound semaphorin that associates with cell surfaces via a glycosylphosphatidylinositol (GPI) linkage. SEMA7A is also known as the John-Milton-Hagen (JMH) blood group antigen, an 80-kD glycoprotein expressed on activated lymphocytes and erythrocytes.[supplied by OMIM]

Limitations

This product is for research use only and is not approved for use in humans or in clinical diagnosis. Primary Antibodies are guaranteed for 1 year from date of receipt.

Customers Who Viewed This Item Also Viewed...

NB100-524
Species: Hu, Mu
Applications: Flow-IC, Flow, ICC/IF, IHC, IHC-Fr,  IHC-P, IP, WB
NBP2-79843
Species: Hu
Applications: CyTOF-ready, ELISA, Flow, ICC/IF, IHC,  IHC-P, PA, WB
7268-CT
Species: Hu
Applications: BA
AF2009
Species: Hu
Applications: ICC, IHC
NBP2-24653
Species: Hu, Mu, Rt
Applications: IHC,  IHC-P, WB
NBP2-02541
Species: Hu, Pm, Mu, Pm, Rt
Applications: ICC/IF, IHC,  IHC-P, WB
AF5375
Species: Mu
Applications: CyTOF-ready, Flow, IHC, WB
AF5235
Species: Mu
Applications: CyTOF-ready, Flow, IHC, WB
AF1356
Species: Hu, Mu
Applications: CyTOF-ready, Dual ISH-IHC, Flow, IHC, Simple Western, WB
1250-S3
Species: Hu
Applications: BA, BA
MAB17781
Species: Hu
Applications: Block, CyTOF-ready, Flow, ICC, IP, KO
AF3749
Species: Hu
Applications: IHC, WB
AF4309
Species: Hu, Mu
Applications: ICC, IHC, WB
NB500-330
Species: Hu
Applications: B/N, CyTOF-ready, Flow, IHC, IHC-Fr,  IHC-P, IP
AF566
Species: Mu, Rt
Applications: Block, CyTOF-ready, Flow, IHC, WB
233-FB
Species: Hu
Applications: BA
AF7895
Species: Hu
Applications: IHC, WB
AF4075
Species: Mu, Rt
Applications: IHC, WB
NB100-2218
Species: Bv, Ca, Hu, Mu, Pm, Rt
Applications: ICC/IF, IHC,  IHC-P, Simple Western, WB
NBP1-32699
Species: Hu, Mu, Rt, RM
Applications: WB, IHC
⚠ WARNING: This product can expose you to chemicals including mercury, which is known to the State of California to cause reproductive toxicity with developmental effects.  For more information go to www.P65Warnings.ca.gov.

Publications for Semaphorin 7A Antibody (NBP1-32699)(1)

We have publications tested in 1 confirmed species: Human.

We have publications tested in 1 application: WB.


Filter By Application
WB
(1)
All Applications
Filter By Species
Human
(1)
All Species

Reviews for Semaphorin 7A Antibody (NBP1-32699) (0)

There are no reviews for Semaphorin 7A Antibody (NBP1-32699). By submitting a review you will receive an Amazon e-Gift Card or Novus Product Discount.
  • Review with no image -- $10/€7/£6/$10 CAD/¥70 Yuan/¥1110 Yen
  • Review with an image -- $25/€18/£15/$25 CAD/¥150 Yuan/¥2500 Yen

Product General Protocols

Find general support by application which include: protocols, troubleshooting, illustrated assays, videos and webinars.

Video Protocols

WB Video Protocol

FAQs for Semaphorin 7A Antibody (NBP1-32699) (0)

There are no specific FAQs related to this product. Read our general customer & technical service FAQs.

Secondary Antibodies

 

Isotype Controls

Additional Semaphorin 7A Products

Research Areas for Semaphorin 7A Antibody (NBP1-32699)

Find related products by research area.

Blogs on Semaphorin 7A

There are no specific blogs for Semaphorin 7A, but you can read our latest blog posts.

Contact Information

Product PDFs

Calculators

Concentration Calculator

The concentration calculator allows you to quickly calculate the volume, mass or concentration of your vial. Simply enter your mass, volume, or concentration values for your reagent and the calculator will determine the rest.

=
÷

Review this Product

Be the first to review our Semaphorin 7A Antibody and receive a gift card or discount.

Bioinformatics

Gene Symbol SEMA7A
Entrez
Uniprot