SEL1L Antibody - BSA Free

Images

 
Immunocytochemistry/ Immunofluorescence: SEL1L Antibody [NBP2-93746] - Analysis of L929 cells using SEL1L at dilution of 1:100. Blue: DAPI for nuclear staining.
Immunocytochemistry/ Immunofluorescence: SEL1L Antibody [NBP2-93746] - Analysis of C6 cells using SEL1L at dilution of 1:100. Blue: DAPI for nuclear staining.
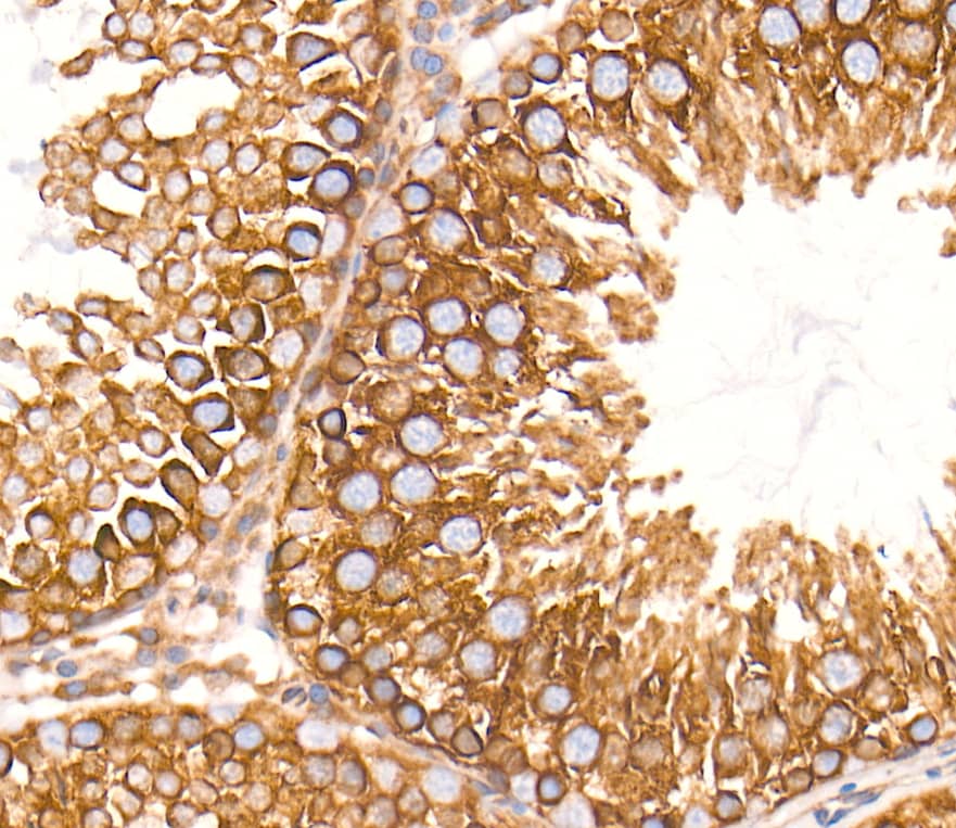
Analysis of paraffin-embedded rat testis tissue using SEL1L Rabbit pAb at a dilution of 1:600 (40x lens). High pressure antigen retrieval performed with 0.01M Tris-EDTA Buffer (pH 9.0) prior to IHC staining.
Analysis of various lysates using SEL1L Rabbit pAb at 1:2000 dilution incubated at room temperature for 1.5 hours.Secondary antibody: HRP-conjugated Goat anti-Rabbit IgG (H+L) at 1:10000 dilution.Lysates/proteins: 25 ...read more
Analysis of Mouse pancreas tissue using SEL1L Rabbit pAb at a dilution of 1:200 (40x lens). Secondary antibody: Cy3-conjugated Goat anti-Rabbit IgG (H+L) at 1:500 dilution. Blue: DAPI for nuclear staining. High pressure ...read more

Product Details

Summary
Reactivity Hu, Mu, RtSpecies Glossary
Applications WB, ELISA, ICC/IF, IHC
Clonality
Polyclonal
Host
Rabbit
Conjugate
Unconjugated
Format
BSA Free

Order Details

View Available Formulations
Catalog# & Formulation Size Price

SEL1L Antibody - BSA Free Summary

Immunogen
Recombinant fusion protein containing a sequence corresponding to amino acids 22-190 of human SEL1L (NP_005056.3). SSDEEGSQDESLDSKTTLTSDESVKDHTTAGRVVAGQIFLDSEESELESSIQEEEDSLKSQEGESVTEDISFLESPNPENKDYEEPKKVRKPALTAIEGTAHGEPCHFPFLFLDKEYDECTSDGREDGRLWCATTYDYKADEKWGFCETEEEAAKRRQMQEAEMMYQTG
Isotype
IgG
Clonality
Polyclonal
Host
Rabbit
Gene
SEL1L
Purity
Affinity purified
Innovator's Reward
Test in a species/application not listed above to receive a full credit towards a future purchase.

Applications/Dilutions

Dilutions
  • ELISA Recommended starting concentration is 1 μg/mL.
  • Immunocytochemistry/ Immunofluorescence 1:50-1:200
  • Immunohistochemistry 1:400 - 1:1600
  • Immunohistochemistry-Paraffin 1:400 - 1:1600
  • Western Blot 1:500-1:2000
Theoretical MW
89 kDa.
Disclaimer note: The observed molecular weight of the protein may vary from the listed predicted molecular weight due to post translational modifications, post translation cleavages, relative charges, and other experimental factors.
Publications
Read Publication using NBP2-93746.

Packaging, Storage & Formulations

Storage
Store at -20C. Avoid freeze-thaw cycles.
Buffer
PBS (pH 7.3), 50% glycerol
Preservative
0.02% Sodium Azide
Purity
Affinity purified

Alternate Names for SEL1L Antibody - BSA Free

  • IBD2
  • PRO1063
  • protein sel-1 homolog 1
  • sel-1 (suppressor of lin-12, C.elegans)-like
  • sel-1 suppressor of lin-12-like (C. elegans)
  • sel-1 suppressor of lin-12-like 1
  • sel-1L
  • SEL1L1
  • SEL1-LIKE
  • Suppressor of lin 12 (sel-1), C. elegans, homolog of
  • Suppressor of lin-12-like protein 1
  • TSA305

Background

SEL1L may play a role in Notch signaling . May be involved in the endoplasmic reticulum quality control (ERQC) system also called ER-associated degradation (ERAD) involved in ubiquitin-dependent degradation of misfolded endoplasmic reticulum proteins

Limitations

This product is for research use only and is not approved for use in humans or in clinical diagnosis. Primary Antibodies are guaranteed for 1 year from date of receipt.

Customers Who Viewed This Item Also Viewed...

NB100-2526
Species: Ha, Hu, Mu
Applications: ICC/IF, IHC,  IHC-P, IP, KO, WB
BC100-520
Species: Hu, Mu, Rt
Applications: ICC/IF, Simple Western, WB
NB100-448
Species: Ca, ChHa, Hu, Mu
Applications: ICC/IF, IHC,  IHC-P, WB
NBP1-86801
Species: Hu, Mu, Rt
Applications: IHC,  IHC-P, WB
H00009695-Q01
Species: Hu
Applications: ELISA, AP, PA, PAGE, WB
NBP2-21037
Species: Hu
Applications: IHC,  IHC-P, WB
NB100-78486
Species: Hu, Mu, Rt(-)
Applications: CyTOF-ready, Flow, ICC/IF, IHC,  IHC-P, IP, KO, WB
NBP2-31361
Species: Hu
Applications: IHC,  IHC-P, WB
NBP1-81988
Species: Hu
Applications: IHC,  IHC-P
NBP1-85785
Species: Hu, Mu, Rt
Applications: IHC,  IHC-P, WB
H00054431-M01
Species: Hu, Mu, Rt
Applications: ELISA, ICC/IF, IHC,  IHC-P, WB
NB100-1558
Species: Hu, Mu, Rt, Ze
Applications: ICC/IF, IHC, IHC-Fr, IP, WB
NB600-1335
Species: Hu, Mu, Pm, Rt
Applications: ChIP, ELISA, Flow, GS, ICC/IF, IHC,  IHC-P, IP, KD, Simple Western, WB
NB110-40591
Species: Hu
Applications: ICC/IF, IHC,  IHC-P, IP, WB
NBP1-80973
Species: Hu
Applications: IHC,  IHC-P, KD, WB
NBP2-93746
Species: Hu, Mu, Rt
Applications: WB, ELISA, ICC/IF, IHC
⚠ WARNING: This product can expose you to chemicals including Methotrexate, which is known to the State of California to cause reproductive toxicity with developmental effects. For more information, go to www.P65Warnings.ca.gov

Publications for SEL1L Antibody (NBP2-93746)(1)

Reviews for SEL1L Antibody (NBP2-93746) (0)

There are no reviews for SEL1L Antibody (NBP2-93746). By submitting a review you will receive an Amazon e-Gift Card or Novus Product Discount.
  • Review with no image -- $10/€7/£6/$10 CAD/¥70 Yuan/¥1110 Yen
  • Review with an image -- $25/€18/£15/$25 CAD/¥150 Yuan/¥2500 Yen

Product General Protocols

Find general support by application which include: protocols, troubleshooting, illustrated assays, videos and webinars.

Video Protocols

WB Video Protocol
ICC/IF Video Protocol

FAQs for SEL1L Antibody (NBP2-93746) (0)

There are no specific FAQs related to this product. Read our general customer & technical service FAQs.

Secondary Antibodies

 

Isotype Controls

Additional SEL1L Products

Array NBP2-93746

Research Areas for SEL1L Antibody (NBP2-93746)

Find related products by research area.

Blogs on SEL1L

There are no specific blogs for SEL1L, but you can read our latest blog posts.

Customers Who Bought This Also Bought

Contact Information

Product PDFs

Calculators

Concentration Calculator

The concentration calculator allows you to quickly calculate the volume, mass or concentration of your vial. Simply enter your mass, volume, or concentration values for your reagent and the calculator will determine the rest.

=
÷

Review this Product

Be the first to review our SEL1L Antibody - BSA Free and receive a gift card or discount.

Bioinformatics

Gene Symbol SEL1L