SDHB Antibody (JU02-33)

Images

 
Western Blot: SDHB Antibody (JU02-33) [NBP2-75658] - Analysis of SDHB on different lysates using anti-SDHB antibody at 1/500 dilution.Positive control:Lane 1: Human liver Lane 2: Rat spleenLane 3: Rat liver Lane ...read more
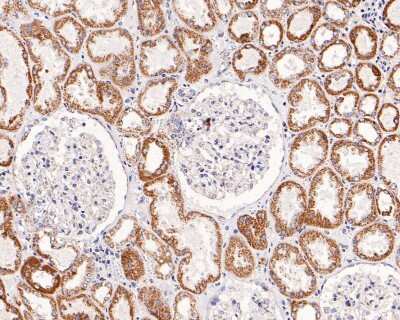
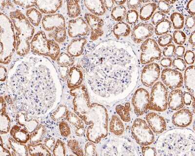
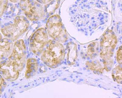
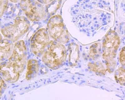
Immunohistochemistry-Paraffin: SDHB Antibody (JU02-33) [NBP2-75658] - Analysis of paraffin-embedded human kidney tissue with Rabbit anti-SDHB antibody washed with ddH2O and PBS, and then probed with the primary antibody ...read more
Flow Cytometry: SDHB Antibody (JU02-33) [NBP2-75658] - Analysis of Jurkat cells with SDHB antibody at 1/100 dilution (red) compared with an unlabelled control (cells without incubation with primary antibody; black). ...read more
Immunohistochemistry-Paraffin: SDHB Antibody (JU02-33) [NBP2-75658] - Analysis of paraffin-embedded human liver tissue using anti-SDHB antibody. Counter stained with hematoxylin.
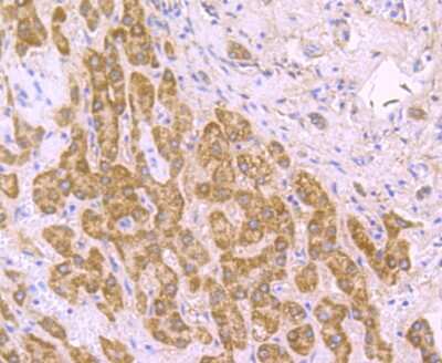
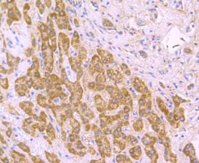
Immunohistochemistry-Paraffin: SDHB Antibody (JU02-33) [NBP2-75658] - Analysis of paraffin-embedded human colon cancer tissue using anti-SDHB antibody. Counter stained with hematoxylin.
Immunohistochemistry-Paraffin: SDHB Antibody (JU02-33) [NBP2-75658] - Analysis of paraffin-embedded human kidney tissue using anti-SDHB antibody. Counter stained with hematoxylin.
Immunohistochemistry-Paraffin: SDHB Antibody (JU02-33) [NBP2-75658] - Analysis of paraffin-embedded mouse heart tissue using anti-SDHB antibody. Counter stained with hematoxylin.
Immunohistochemistry-Paraffin: SDHB Antibody (JU02-33) [NBP2-75658] - Analysis of paraffin-embedded rat esophagus tissue using anti-SDHB antibody. Counter stained with hematoxylin.

Product Details

Summary
Product Discontinued
View other related SDHB Primary Antibodies

Order Details


    • Catalog Number
      NBP2-75658
    • Availability
      Product Discontinued

    Can't find what you are looking for? Use our Antibody Concierge Service & we will help you locate your antibody!

    Or feel free to contact us for alternative products.

SDHB Antibody (JU02-33) Summary

Additional Information
Recombinant Monoclonal Antibody.
Immunogen
Synthetic peptide within Human SDHB aa 201-250 / 280. (SwissProt: P21912 Human; SwissProt: Q9CQA3 Mouse; SwissProt: P21913 Rat)
Localization
Mitochondrion. Mitochondrion inner membrane.
Isotype
IgG
Clonality
Monoclonal
Host
Rabbit
Gene
SDHB
Purity
Protein A purified
Innovator's Reward
Test in a species/application not listed above to receive a full credit towards a future purchase.

Applications/Dilutions

Dilutions
  • Flow Cytometry 1:50-1:100
  • Immunohistochemistry-Paraffin 1:50-1:200
  • Immunoprecipitation 1:10-1:50
  • Western Blot 1:500-1:2000
Theoretical MW
32 kDa.
Disclaimer note: The observed molecular weight of the protein may vary from the listed predicted molecular weight due to post translational modifications, post translation cleavages, relative charges, and other experimental factors.

Packaging, Storage & Formulations

Storage
Store at 4C short term. Aliquot and store at -20C long term. Avoid freeze-thaw cycles.
Buffer
TBS (pH7.4), 0.05% BSA, 40% Glycerol
Preservative
0.05% Sodium Azide
Concentration
1 mg/ml
Purity
Protein A purified

Alternate Names for SDHB Antibody (JU02-33)

  • EC 1.3.5.1
  • FLJ92337
  • IP
  • Iron-sulfur subunit of complex II
  • PGL4
  • SDH
  • SDH1
  • SDH2
  • SDHIP
  • succinate dehydrogenase [ubiquinone] iron-sulfur subunit, mitochondrial
  • succinate dehydrogenase complex, subunit B, iron sulfur (Ip)

Background

Complex II of the respiratory chain, which is specifically involved in the oxidation of succinate, carries electrons from FADH to CoQ. The complex is composed of four nuclear-encoded subunits and is localized in the mitochondrial inner membrane. The iron-sulfur subunit is highly conserved and contains three cysteine-rich clusters which may comprise the iron-sulfur centers of the enzyme. Sporadic and familial mutations in this gene result in paragangliomas and pheochromocytoma, and support a link between mitochondrial dysfunction and tumorigenesis. [provided by RefSeq]

Limitations

This product is for research use only and is not approved for use in humans or in clinical diagnosis. Primary Antibodies are guaranteed for 1 year from date of receipt.

Customers Who Viewed This Item Also Viewed...

NBP1-87416
Species: Hu
Applications: ICC/IF, IHC,  IHC-P, WB
NBP1-92372
Species: Hu
Applications: IHC,  IHC-P
NBP3-37905
Species: Hu, Mu, Rt
Applications: ELISA, ICC/IF, IHC,  IHC-P, WB
NBP2-45411
Species: Hu, Mu, Rt
Applications: IHC,  IHC-P, WB
NBP3-13522
Species: Hu, Mu, Rt
Applications: ICC/IF, IHC,  IHC-P, WB
NBP1-32259
Species: Hu, Mu, Rt
Applications: ICC/IF, IHC,  IHC-P, KO, WB
AF482
Species: Mu
Applications: IHC, WB
NBP1-91942
Species: Hu, Mu, Rt
Applications: IHC,  IHC-P, WB
NBP1-32398
Species: Hu, Mu, Rt
Applications: ICC/IF, IHC,  IHC-P, IP, KD, WB
NBP1-89559
Species: Hu
Applications: IHC,  IHC-P, WB
NBP3-05078
Species: Hu, Mu, Rt
Applications: ICC/IF, IHC,  IHC-P, WB
AF3398
Species: Hu, Mu, Rt
Applications: ICC, KO, Simple Western, WB
NBP2-43648
Species: Hu, Mu, Rt, Ze
Applications: ICC/IF, IHC,  IHC-P, WB
NB100-1519
Species: Hu, Mu, Rt
Applications: Flow, ICC/IF, IHC-FrFl, PEP-ELISA, WB
NBP1-89146
Species: Hu
Applications: ICC/IF, IHC,  IHC-P
NBP2-20383
Species: Hu, Mu
Applications: ICC/IF, IHC,  IHC-P, WB
NBP1-92259
Species: Hu
Applications: IHC,  IHC-P
NBP2-01506
Species: Hu
Applications: Flow, ICC/IF, IHC,  IHC-P, WB
NB100-236
Species: Hu, Mu
Applications: IB, IHC, IHC-Fr, WB
NBP1-31336
Species: Hu, Mu, Rt
Applications: ICC/IF, IHC,  IHC-P, KD, WB

Publications for SDHB Antibody (NBP2-75658) (0)

There are no publications for SDHB Antibody (NBP2-75658).
By submitting your publication information earn gift cards and discounts for future purchases.

Reviews for SDHB Antibody (NBP2-75658) (0)

There are no reviews for SDHB Antibody (NBP2-75658). By submitting a review you will receive an Amazon e-Gift Card or Novus Product Discount.
  • Review with no image -- $10/€7/£6/$10 CAD/¥70 Yuan/¥1110 Yen
  • Review with an image -- $25/€18/£15/$25 CAD/¥150 Yuan/¥2500 Yen

Product General Protocols

Find general support by application which include: protocols, troubleshooting, illustrated assays, videos and webinars.

Video Protocols

WB Video Protocol

FAQs for SDHB Antibody (NBP2-75658) (0)

There are no specific FAQs related to this product. Read our general customer & technical service FAQs.

Secondary Antibodies

 

Isotype Controls

Additional SDHB Products

Research Areas for SDHB Antibody (NBP2-75658)

Find related products by research area.

Blogs on SDHB.

HIF Antibodies: Beyond HIF-1 alpha
The hypoxia inducible factors are a family of heterodimeric transcription factors which are activated in response to lowered oxygen levels, or hypoxia. Although it may seem that HIF-1 alpha receives all the attention, other HIF antibodies, such as the...  Read full blog post.

Contact Information

Product PDFs

Calculators

Concentration Calculator

The concentration calculator allows you to quickly calculate the volume, mass or concentration of your vial. Simply enter your mass, volume, or concentration values for your reagent and the calculator will determine the rest.

=
÷

Review this Product

Be the first to review our SDHB Antibody (JU02-33) and receive a gift card or discount.

Bioinformatics

Gene Symbol SDHB