SBNO2 Antibody

Images

 
Immunohistochemistry-Paraffin: SBNO2 Antibody [NBP2-14513] - Staining of human stomach shows moderate to strong nuclear and cytoplasmic positivity in glandular cells.
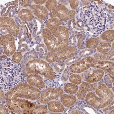
Immunohistochemistry-Paraffin: SBNO2 Antibody [NBP2-14513] - Staining of human kidney shows moderate cytoplasmic positivity in cells in tubules.
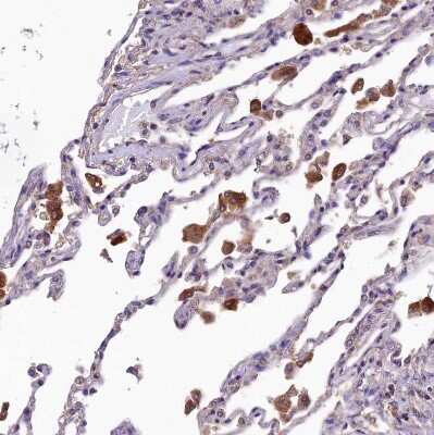
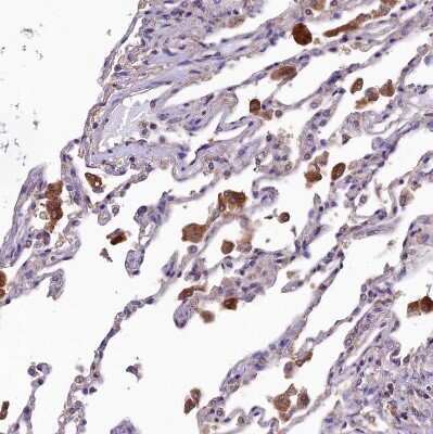
Immunohistochemistry-Paraffin: SBNO2 Antibody [NBP2-14513] - Staining of human lung shows strong cytoplasmic positivity in macrophages.
Immunohistochemistry-Paraffin: SBNO2 Antibody [NBP2-14513] - Staining of human lymph node shows moderate to strong nuclear positivity in a subset of non-germinal center cells.

Product Details

Summary
Product Discontinued
View other related SBNO2 Primary Antibodies

Order Details


    • Catalog Number
      NBP2-14513
    • Availability
      Product Discontinued

    Can't find what you are looking for? Use our Antibody Concierge Service & we will help you locate your antibody!

    Or feel free to contact us for alternative products.

SBNO2 Antibody Summary

Immunogen
This antibody was developed against a recombinant protein corresponding to the amino acids: LHCPYWNTFSLPPYPAFSSDSRPFMSSASFLGSQPCPDTSYAPVATASSLPPKTCDFAQDSSYFEDFSNISIFSSSVD
Isotype
IgG
Clonality
Polyclonal
Host
Rabbit
Gene
SBNO2
Purity
Immunogen affinity purified
Innovator's Reward
Test in a species/application not listed above to receive a full credit towards a future purchase.

Applications/Dilutions

Dilutions
  • Immunohistochemistry 1:50 - 1:200
  • Immunohistochemistry-Paraffin 1:50-1:200
Application Notes
For IHC-Paraffin, HIER pH 6 retrieval is recommended.

Packaging, Storage & Formulations

Storage
Store at 4C short term. Aliquot and store at -20C long term. Avoid freeze-thaw cycles.
Buffer
PBS (pH 7.2) and 40% Glycerol
Preservative
0.02% Sodium Azide
Purity
Immunogen affinity purified

Alternate Names for SBNO2 Antibody

  • KIAA0963
  • SBNO2 strawberry notch homolog 2 (Drosophila)
  • SNO
  • STNO

Limitations

This product is for research use only and is not approved for use in humans or in clinical diagnosis. Primary Antibodies are guaranteed for 1 year from date of receipt.

Customers Who Viewed This Item Also Viewed...

NBP1-77305
Species: Hu
Applications: ELISA, ICC/IF, WB
NBP1-77306
Species: Hu, Mu, Rt
Applications: ELISA, ICC/IF, IHC,  IHC-P, WB
NBP2-49350
Species: Hu
Applications: IHC,  IHC-P, Simple Western, WB
NBP2-67471
Species: Hu, Mu, Rt
Applications: ICC/IF, IHC,  IHC-P, WB
NB300-605
Species: Hu, Mu, Po, Rt
Applications: Flow, IB, ICC/IF, IHC, IHC-Fr,  IHC-P, In vitro, WB
NB300-269
Species: Bv, Ce, Ch, Dr, Eq, Hu, Mu, Pl, Po, Rt, Y, Ye
Applications: Flow, ICC/IF, IHC-WhMt, IHC, IHC-Fr,  IHC-P, KD, WB
NBP1-85156
Species: Hu
Applications: IHC,  IHC-P, WB
AF3797
Species: Hu, Mu
Applications: ChIP, ICC, IHC, Simple Western, WB
NB100-56479
Species: Bv, Ca, Hu, Mu, Po, Pm, Rt
Applications: ICC/IF, IHC,  IHC-P, Simple Western, WB
NBP2-81793
Species: Hu
Applications: ELISA, ICC/IF, WB
NB100-858
Species: Gp, Hu, Mu, Rt
Applications: Flow, ICC/IF, IHC-WhMt, IHC, IHC-Fr,  IHC-P, PEP-ELISA, WB
NBP2-57100
Species: Hu
Applications: ICC/IF
NBP2-50037
Species: Hu, Mu, Rt
Applications: ICC/IF, IHC, KO, WB
NBP2-14835
Species: Hu, Mu
Applications: ICC/IF, IHC,  IHC-P, WB
NBP1-28863
Species: Hu
Applications: ELISA, ICC/IF, IHC,  IHC-P, WB
NB300-500
Species: Am, Bv, Ca, Dr, Hu, Mu, Po, Rt, Sh
Applications: IHC, IHC-Fr,  IHC-P, WB
NBP2-14513
Species: Hu
Applications: IHC

Publications for SBNO2 Antibody (NBP2-14513) (0)

There are no publications for SBNO2 Antibody (NBP2-14513).
By submitting your publication information earn gift cards and discounts for future purchases.

Reviews for SBNO2 Antibody (NBP2-14513) (0)

There are no reviews for SBNO2 Antibody (NBP2-14513). By submitting a review you will receive an Amazon e-Gift Card or Novus Product Discount.
  • Review with no image -- $10/€7/£6/$10 CAD/¥70 Yuan/¥1110 Yen
  • Review with an image -- $25/€18/£15/$25 CAD/¥150 Yuan/¥2500 Yen

Product General Protocols

Find general support by application which include: protocols, troubleshooting, illustrated assays, videos and webinars.

FAQs for SBNO2 Antibody (NBP2-14513) (0)

There are no specific FAQs related to this product. Read our general customer & technical service FAQs.

Contact Information

Product PDFs

Calculators

Concentration Calculator

The concentration calculator allows you to quickly calculate the volume, mass or concentration of your vial. Simply enter your mass, volume, or concentration values for your reagent and the calculator will determine the rest.

=
÷

Review this Product

Be the first to review our SBNO2 Antibody and receive a gift card or discount.

Bioinformatics

Gene Symbol SBNO2