SATB2 Antibody (SATB2/7111) - Azide and BSA Free

Images

 
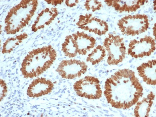
IHC analysis of formalin-fixed, paraffin-embedded human colon. Strong nuclear staining using SATB2 antibody (SATB2/7111) at 2ug/ml in PBS for 30min RT. HIER: Tris/EDTA, pH9.0, 45min. Secondary: HRP-polymer, 30min. DAB, ...read more
IHC analysis of formalin-fixed, paraffin-embedded human colon. Strong nuclear staining using SATB2 antibody (SATB2/7111) at 2ug/ml in PBS for 30min RT. HIER: Tris/EDTA, pH9.0, 45min. Secondary: HRP-polymer, 30min. DAB, ...read more
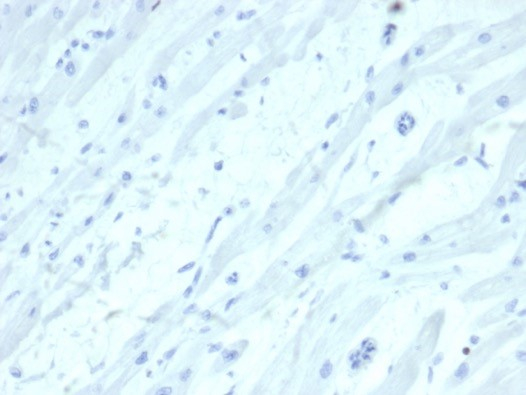
IHC analysis of formalin-fixed, paraffin-embedded human heart. Negative tissue control using SATB2 antibody (SATB2/7111) at 2ug/ml in PBS for 30min RT. HIER: Tris/EDTA, pH9.0, 45min. Secondary: HRP-polymer, 30min. DAB, ...read more

Product Details

Summary
Reactivity HuSpecies Glossary
Applications IHC
Clone
SATB2/7111
Clonality
Monoclonal
Host
Mouse
Conjugate
Unconjugated
Format
Azide and BSA Free
Concentration
1 mg/ml

Order Details

SATB2 Antibody (SATB2/7111) - Azide and BSA Free Summary

Description
Positive Controls: Human colon or cerebral cortex tissue.

Antibody with azide - store at 2 to 8C. Antibody without azide - store at -20 to -80C. Non-hazardous. No MSDS required.
Immunogen
Recombinant fragment (around aa150-350) of human SATB2 protein (exact sequence is proprietary)
Localization
Nucleus.
Isotype
IgG2b Kappa
Clonality
Monoclonal
Host
Mouse
Gene
SATB2
Purity
Protein A or G purified
Innovator's Reward
Test in a species/application not listed above to receive a full credit towards a future purchase.

Applications/Dilutions

Dilutions
  • Immunohistochemistry-Paraffin 1-2 ug/ml
Application Notes
Immunohistochemistry (Formalin-fixed): 1-2ug/ml for 30 minutes. at RT. Staining of formalin-fixed tissues requires heating tissue sections in 10mM Tris with 1mM EDTA, pH 9.0, for 45 min at 95C followed by cooling at RT for 20 minutes.

Optimal dilution for a specific application should be determined.

Packaging, Storage & Formulations

Storage
Store at -20 to -70C. Avoid freeze-thaw cycles.
Buffer
10mM PBS
Preservative
No Preservative
Concentration
1 mg/ml
Purity
Protein A or G purified

Alternate Names for SATB2 Antibody (SATB2/7111) - Azide and BSA Free

  • DNA-binding protein SATB2
  • FLJ32076
  • KIAA1034FLJ21474
  • MGC119474
  • MGC119477
  • SATB family member 2
  • SATB homeobox 2
  • Special AT-rich sequence-binding protein 2

Background

SATB2 binds to DNA, at nuclear matrix- or scaffold-associated regions. Thought to recognize the sugar-phosphate structure of double-stranded DNA. Transcription factor controlling nuclear gene expression, by binding to matrix attachment regions (MARs) of DNA and

Limitations

This product is for research use only and is not approved for use in humans or in clinical diagnosis. Primary Antibodies are guaranteed for 1 year from date of receipt.

Customers Who Viewed This Item Also Viewed...

NB100-2600
Species: Hu, Mu, Rt
Applications: ICC/IF, IHC, IHC-Fr,  IHC-P
NBP2-15108
Species: Hu, Mu, Rt
Applications: ChIP, IHC,  IHC-P, WB
NBP1-26612
Species: Hu
Applications: IP (-), WB
423-F8
Species: Hu, Mu
Applications: BA
NBP2-15133
Species: Mu, Rt
Applications: ICC/IF, IHC, IHC-Fr,  IHC-P, WB
NBP2-67309
Species: Hu, Rt
Applications: Flow, ICC/IF, IHC,  IHC-P, IP, WB
MAB1419
Species: Hu, Rt
Applications: CyTOF-ready, ICC, IHC, ICFlow
NBP2-83054
Species: Hu
Applications: WB
NBL1-10680
Species: Hu
Applications: WB
4014-SP
Species: Hu
Applications: BA
H00002263-M01
Species: Bv, Hu
Applications: ELISA, ICC/IF, IHC,  IHC-P, S-ELISA, WB
355-BM
Species: Hu, Mu, Rt
Applications: BA
NBP2-50465
Species: Hu
Applications: CyTOF-ready, Flow-CS, Flow, IHC,  IHC-P
AF3635
Species: Mu
Applications: IHC, WB
H00055907-M01
Species: Hu, Mu, Rt
Applications: ELISA, ICC/IF, IHC,  IHC-P, S-ELISA, WB

Publications for SATB2 Antibody (NBP3-21046) (0)

There are no publications for SATB2 Antibody (NBP3-21046).
By submitting your publication information earn gift cards and discounts for future purchases.

Reviews for SATB2 Antibody (NBP3-21046) (0)

There are no reviews for SATB2 Antibody (NBP3-21046). By submitting a review you will receive an Amazon e-Gift Card or Novus Product Discount.
  • Review with no image -- $10/€7/£6/$10 CAD/¥70 Yuan/¥1110 Yen
  • Review with an image -- $25/€18/£15/$25 CAD/¥150 Yuan/¥2500 Yen

Product General Protocols

Find general support by application which include: protocols, troubleshooting, illustrated assays, videos and webinars.

FAQs for SATB2 Antibody (NBP3-21046) (0)

There are no specific FAQs related to this product. Read our general customer & technical service FAQs.

Secondary Antibodies

 

Isotype Controls

Additional SATB2 Products

Array NBP3-21046

Research Areas for SATB2 Antibody (NBP3-21046)

Find related products by research area.

Blogs on SATB2

There are no specific blogs for SATB2, but you can read our latest blog posts.

Customers Who Bought This Also Bought

Contact Information

Product PDFs

Calculators

Concentration Calculator

The concentration calculator allows you to quickly calculate the volume, mass or concentration of your vial. Simply enter your mass, volume, or concentration values for your reagent and the calculator will determine the rest.

=
÷

Review this Product

Be the first to review our SATB2 Antibody (SATB2/7111) - Azide and BSA Free and receive a gift card or discount.

Bioinformatics

Gene Symbol SATB2