SAMD5 Antibody - BSA Free

Images

 
Immunocytochemistry/ Immunofluorescence: SAMD5 Antibody [NBP2-38110] - Staining of human cell line RH-30 shows localization to vesicles. Antibody staining is shown in green.
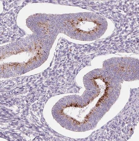
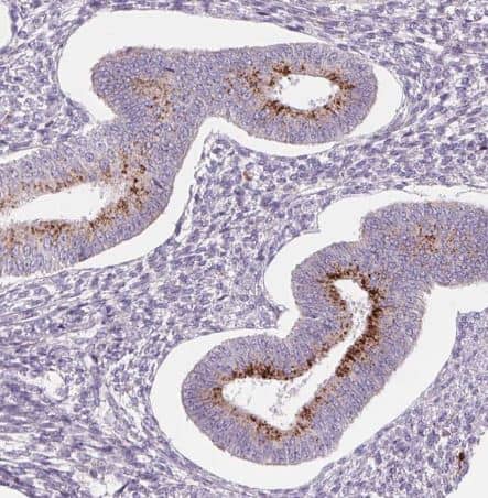
Staining of human endometrium shows strong granular pattern cytoplasmic positivity in glandular cells.
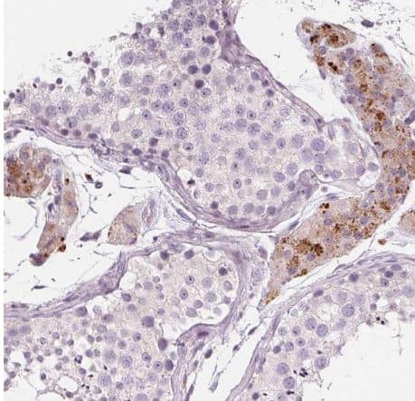
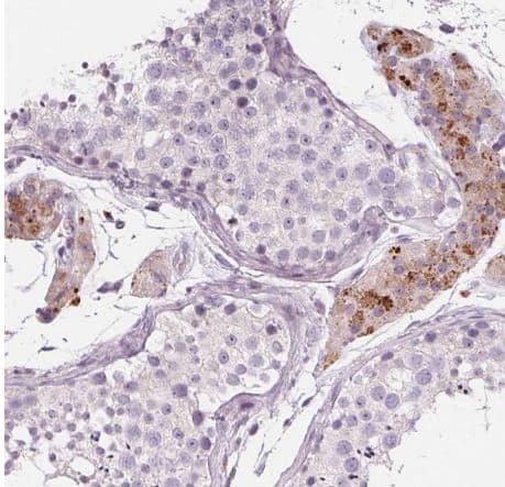
Staining of human testis shows moderate granular pattern in cytoplasmic positivity in Leydig cells.
Staining of human tonsil shows no cytoplasmic positivity in non-germinal center cells and germinal center cells as expected.
Staining of human skeletal muscle shows negative cytoplasmic positivity in myocytes as expected.

Product Details

Summary
Reactivity Hu, Mu, RtSpecies Glossary
Applications ICC/IF, IHC
Clonality
Polyclonal
Host
Rabbit
Conjugate
Unconjugated
Format
BSA Free

Order Details

View Available Formulations
Catalog# & Formulation Size Price

SAMD5 Antibody - BSA Free Summary

Description
Novus Biologicals Rabbit SAMD5 Antibody - BSA Free (NBP2-38110) is a polyclonal antibody validated for use in IHC and ICC/IF. All Novus Biologicals antibodies are covered by our 100% guarantee.
Immunogen
This antibody was developed against a recombinant protein corresponding to amino acids: MCTNIVYEWLKALQLPQYAESFVDNGYDDLEVCKQIGDPDLDAIGVLAPAHRRRIL
Predicted Species
Mouse (100%), Rat (100%). Backed by our 100% Guarantee.
Isotype
IgG
Clonality
Polyclonal
Host
Rabbit
Gene
SAMD5
Purity
Immunogen affinity purified
Innovator's Reward
Test in a species/application not listed above to receive a full credit towards a future purchase.

Applications/Dilutions

Dilutions
  • Immunocytochemistry/ Immunofluorescence 0.25-2 ug/ml
  • Immunohistochemistry 1:500 - 1:1000
  • Immunohistochemistry-Paraffin 1:500 - 1:1000
Application Notes
For IHC-Paraffin, HIER pH 6 retrieval is recommended. ICC/IF,Fixation Permeabilization: Use PFA/Triton X-100.
Control Peptide
SAMD5 Protein (NBP2-38110PEP)

Packaging, Storage & Formulations

Storage
Store at 4C short term. Aliquot and store at -20C long term. Avoid freeze-thaw cycles.
Buffer
PBS (pH 7.2) and 40% Glycerol
Preservative
0.02% Sodium Azide
Purity
Immunogen affinity purified

Alternate Names for SAMD5 Antibody - BSA Free

  • dJ875H10.1
  • SAM Domain Containing 1
  • SAM Domain-Containing Protein 5
  • SAMDC1
  • Sterile Alpha Motif Domain Containing 5
  • Sterile Alpha Motif Domain-Containing Protein 5

Limitations

This product is for research use only and is not approved for use in humans or in clinical diagnosis. Primary Antibodies are guaranteed for 1 year from date of receipt.

Customers Who Viewed This Item Also Viewed...

AF7388
Species: Hu
Applications: IHC
NBP1-90106
Species: Hu
Applications: IHC,  IHC-P, WB
AF7349
Species: Hu, Mu
Applications: ICC, WB
H00004212-M01
Species: Hu, Pm, Mu
Applications: ELISA, ICC/IF, IHC,  IHC-P, WB
AF5869
Species: Hu, Mu
Applications: ICC, IHC, IP, Simple Western, WB
MAB333
Species: Hu
Applications: ELISA(Cap), ELISA(Det), ELISA(Sta), Neut, WB
NBP1-87094
Species: Hu
Applications: ICC/IF, IHC,  IHC-P
NBP2-15447
Species: Hu
Applications: WB
NBP2-32887
Species: Hu, Mu, Rt
Applications: Flow, ICC/IF, IHC,  IHC-P, WB
NBP1-31528
Species: Hu, Mu
Applications: IHC,  IHC-P, WB
NBP2-47579
Species: Hu
Applications: IB, ICC/IF, IHC,  IHC-P, WB
AF1936
Species: Hu
Applications: IP, WB
NBP3-12215
Species: Hu, Mu, Rt
Applications: ELISA, ICC/IF, IHC,  IHC-P, WB
NBP2-36776
Species: Hu
Applications: ICC/IF, IHC,  IHC-P, KD, WB
NBP2-58463
Species: Hu
Applications: ICC/IF, WB
NBP2-38110
Species: Hu, Mu, Rt
Applications: ICC/IF, IHC

Publications for SAMD5 Antibody (NBP2-38110) (0)

There are no publications for SAMD5 Antibody (NBP2-38110).
By submitting your publication information earn gift cards and discounts for future purchases.

Reviews for SAMD5 Antibody (NBP2-38110) (0)

There are no reviews for SAMD5 Antibody (NBP2-38110). By submitting a review you will receive an Amazon e-Gift Card or Novus Product Discount.
  • Review with no image -- $10/€7/£6/$10 CAD/¥70 Yuan/¥1110 Yen
  • Review with an image -- $25/€18/£15/$25 CAD/¥150 Yuan/¥2500 Yen

Product General Protocols

Find general support by application which include: protocols, troubleshooting, illustrated assays, videos and webinars.

Video Protocols

ICC/IF Video Protocol

FAQs for SAMD5 Antibody (NBP2-38110) (0)

There are no specific FAQs related to this product. Read our general customer & technical service FAQs.

Customers Who Bought This Also Bought

Contact Information

Product PDFs

Calculators

Concentration Calculator

The concentration calculator allows you to quickly calculate the volume, mass or concentration of your vial. Simply enter your mass, volume, or concentration values for your reagent and the calculator will determine the rest.

=
÷

Review this Product

Be the first to review our SAMD5 Antibody - BSA Free and receive a gift card or discount.

Bioinformatics

Gene Symbol SAMD5
Uniprot