S100A4 Antibody (CL0239) - Azide and BSA Free

Images

 
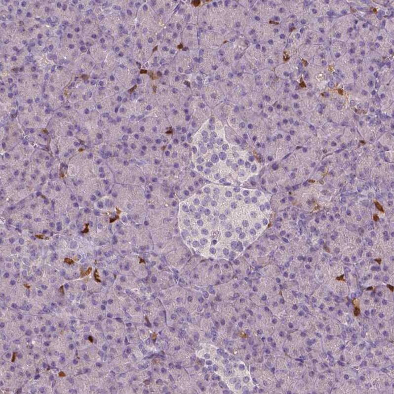
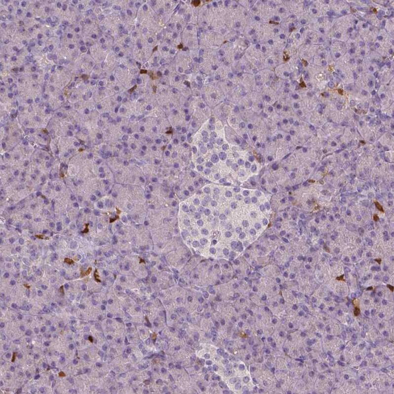
Orthogonal Strategies: Analysis in human tonsil and pancreas tissues using NBP3-43988 antibody. Corresponding S100A4 RNA-seq data are presented for the same tissues.
Lane 1: Marker [kDa]Lane 2: Negative control (vector only transfected HEK293T lysate) Lane 3: S100A4 Over-expression Lysate (Co-expressed with a C-terminal myc-DDK tag (~3.1 kDa) in mammalian HEK293T cells)
Staining of BJ cells using the anti-S100A4 monoclonal antibody) .
Staining of human endometrium shows strong cytoplasmic positivity in lymphoid cells.
Staining of human rectum shows strong cytoplasmic positivity in lymphoid cells.
Staining of human pancreas shows no positivity in either islets of Langerhans or exocrine glandular cells as expected.
Staining of human tonsil shows strong cytoplasmic positivity, mainly in non - germinal center cells.
Genetic Strategies: Analysis in A-549 cells transfected with control siRNA, target specific siRNA probe #1, using Anti-S100A4 antibody. Remaining relative intensity is presented. Loading control: Anti-GAPDH.

Product Details

Summary
Reactivity HuSpecies Glossary
Applications WB, ICC/IF, IHC
Clone
CL0239
Clonality
Monoclonal
Host
Mouse
Conjugate
Unconjugated
Format
Azide and BSA Free
Concentration
LYOPH

Order Details

S100A4 Antibody (CL0239) - Azide and BSA Free Summary

Description
Novus Biologicals Mouse S100A4 Antibody (CL0239) - Azide and BSA Free (NBP2-52891) is a monoclonal antibody validated for use in IHC, WB and ICC/IF. All Novus Biologicals antibodies are covered by our 100% guarantee.
Immunogen
This antibody was generated using a recombinant protein sequence of P26447, with the exact immunogen sequence remaining proprietary.
Isotype
IgG2b
Clonality
Monoclonal
Host
Mouse
Gene
S100A4
Purity
Protein A purified
Innovator's Reward
Test in a species/application not listed above to receive a full credit towards a future purchase.

Applications/Dilutions

Dilutions
  • Immunocytochemistry/ Immunofluorescence 2-10 ug/ml
  • Immunohistochemistry-Paraffin 1:2500 - 1:5000
  • Western Blot 1 ug/ml
Application Notes
For IHC-Paraffin, HIER pH 6 retrieval is recommended.

Packaging, Storage & Formulations

Storage
Store at 4C short term. Aliquot and store at -20C long term. Avoid freeze-thaw cycles.
Buffer
Lyophilized from a 0.2 um filtered solution in PBS with Trehalose
Preservative
No Preservative
Concentration
LYOPH
Purity
Protein A purified
Reconstitution Instructions
Centrifuge the vial of lyophilized antibody at 12,000 x g for 20 seconds. Reconstitute by adding sterile, distilled water to achieve a final antibody concentration of 1mg/ml.

Alternate Names for S100A4 Antibody (CL0239) - Azide and BSA Free

  • 18A2
  • 42A
  • Calvasculin
  • CAPL
  • CAPLS100 calcium binding protein A4 (calcium protein, calvasculin, metastasin
  • fibroblast-specific protein-1,42A
  • FSP1
  • leukemia multidrug resistance associated protein
  • malignant transformation suppression 1
  • Metastasin
  • MTS1
  • murine placental homolog)
  • P9KA
  • PEL98
  • Placental calcium-binding protein
  • Protein Mts1
  • protein S100-A4
  • S100 calcium binding protein A4
  • S100 calcium-binding protein A4 (calcium protein, calvasculin, metastasin, murine placental homolog)
  • S100 calcium-binding protein A4
  • S100A4

Background

S100A4 is encoded by this gene is a member of the S100 family of proteins containing 2 EF-hand calcium-binding motifs. S100 proteins are localized in the cytoplasm and/or nucleus of a wide range of cells, and involved in the regulation of a number of cellular processes such as cell cycle progression and differentiation. S100 genes include at least 13 members which are located as a cluster on chromosome 1q21. This protein may function in motility, invasion, and tubulin polymerization. Chromosomal rearrangements and altered expression of this gene have been implicated in tumor metastasis. Multiple alternatively spliced variants, encoding the same protein, have been identified.

Limitations

This product is for research use only and is not approved for use in humans or in clinical diagnosis. Primary Antibodies are guaranteed for 1 year from date of receipt.

Customers Who Viewed This Item Also Viewed...

NB200-106
Species: Mu, Rt
Applications: ELISA, ICC/IF, IHC, IHC-Fr,  IHC-P, WB
NBP2-45603
Species: Hu, Mu, Rt
Applications: Flow, IHC,  IHC-P, WB
NBP1-87103
Species: Hu, Mu
Applications: IHC,  IHC-P, WB
NBP1-87102
Species: Hu, Mu, Rt
Applications: ICC/IF, IHC,  IHC-P, WB
NBP2-00776
Species: Ca, Hu, Pm, Mu, Rt
Applications: Flow, ICC/IF, IHC,  IHC-P, WB
NB200-103
Species: Hu, Mu, Rt, Xp(-), Ye
Applications: CyTOF-ready, ELISA, Flow-IC, Flow, ICC/IF, IHC, IHC-Fr,  IHC-P, IP, WB
NBP1-31308
Species: Bv, Hu, Mu, Rt
Applications: ICC/IF, IHC,  IHC-P, Simple Western, WB
AF748
Species: Hu, Mu
Applications: CyTOF-ready, Dual ISH-IHC, Flow, ICC, IHC, Simple Western, WB
NBP1-83976
Species: Hu
Applications: ICC/IF, IHC,  IHC-P
NB100-807
Species: Hu
Applications: ICC/IF, PEP-ELISA, WB
NBP1-89388
Species: Hu, Mu, Rt
Applications: ICC/IF, IHC,  IHC-P, Simple Western, WB
NB300-223
Species: Bv, Ca, Ch, Eq, Hu, Mu, Po, Rt
Applications: ICC/IF, IHC, IHC-Fr,  IHC-P, WB
MAB6495
Species: Hu
Applications: ICC, Simple Western, WB
NBP1-82454
Species: Hu, Mu
Applications: ICC/IF, IHC,  IHC-P, WB
DMP900
Species: Hu
Applications: ELISA
NBP2-29463
Species: Pm, Hu, Pm, Mu
Applications: Flow, ICC/IF, IHC,  IHC-P, WB
MMP200
Species: Ca, Hu, Mu, Po, Rt
Applications: ELISA
NBP2-79899
Species: Hu
Applications: CyTOF-ready, Flow, ICC/IF, IHC,  IHC-P, PA, WB
H00029107-M08
Species: Hu
Applications: ELISA, ICC/IF, KD, S-ELISA, WB
NBP3-38209
Species: Hu, Rt
Applications: ELISA, ICC/IF, IHC,  IHC-P, IP, WB

Publications for S100A4 Antibody (NBP3-43988) (0)

There are no publications for S100A4 Antibody (NBP3-43988).
By submitting your publication information earn gift cards and discounts for future purchases.

Reviews for S100A4 Antibody (NBP3-43988) (0)

There are no reviews for S100A4 Antibody (NBP3-43988). By submitting a review you will receive an Amazon e-Gift Card or Novus Product Discount.
  • Review with no image -- $10/€7/£6/$10 CAD/¥70 Yuan/¥1110 Yen
  • Review with an image -- $25/€18/£15/$25 CAD/¥150 Yuan/¥2500 Yen

Product General Protocols

Find general support by application which include: protocols, troubleshooting, illustrated assays, videos and webinars.

Video Protocols

WB Video Protocol
ICC/IF Video Protocol

FAQs for S100A4 Antibody (NBP3-43988) (0)

There are no specific FAQs related to this product. Read our general customer & technical service FAQs.

Secondary Antibodies

 

Isotype Controls

Additional S100A4 Products

Research Areas for S100A4 Antibody (NBP3-43988)

Find related products by research area.

Blogs on S100A4.

Epithelial-Mesenchymal Transition (EMT) Markers
Epithelial-Mesenchymal Transition (EMT) is the trans-differentiation of stationary epithelial cells into motile mesenchymal cells. During EMT, epithelial cells lose their junctions and apical-basal polarity, reorganize their cytoskeleton, undergo a...  Read full blog post.

Customers Who Bought This Also Bought

Contact Information

Product PDFs

Calculators

Concentration Calculator

The concentration calculator allows you to quickly calculate the volume, mass or concentration of your vial. Simply enter your mass, volume, or concentration values for your reagent and the calculator will determine the rest.

=
÷

Review this Product

Be the first to review our S100A4 Antibody (CL0239) - Azide and BSA Free and receive a gift card or discount.

Bioinformatics

Gene Symbol S100A4