RPL6 Antibody

Images

 
Western Blot: RPL6 Antibody [NBP2-20216] - Sample (30 ug of whole cell lysate) A: A549 B: H1299 C: HCT116 D: MCF-7 12% SDS PAGE gel, diluted at 1:1000.
Immunohistochemistry-Paraffin: RPL6 Antibody [NBP2-20216] - Rat fore brain. RPL6 antibody dilution: 1:500. Antigen Retrieval: Trilogy™ (EDTA based, pH 8.0) buffer, 15min.
RPL6 antibody detects RPL6 protein at cytosol on mouse stomach by immunohistochemical analysis. Sample: Paraffin-embedded mouse stomach. RPL6 antibody (NBP2-20216) dilution: 1:500. br>Antigen Retrieval: Trilogy(TM) ...read more
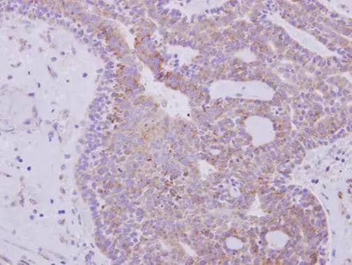
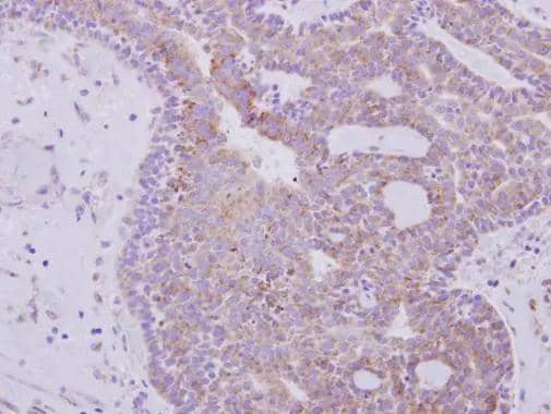
RPL6 antibody detects RPL6 protein at cytoplasm on human lung carcinoma by immunohistochemical analysis. Sample: Paraffin-embedded lung carcinoma. RPL6 antibody (NBP2-20216) dilution: 1:500. br>Antigen Retrieval: ...read more

Product Details

Summary
Reactivity Hu, Mu, Rt, Po, Bv, Pm, RMSpecies Glossary
Applications WB, ICC/IF, IHC
Clonality
Polyclonal
Host
Rabbit
Conjugate
Unconjugated

Order Details

RPL6 Antibody Summary

Description
Novus Biologicals Rabbit RPL6 Antibody (NBP2-20216) is a polyclonal antibody validated for use in IHC, WB and ICC/IF. All Novus Biologicals antibodies are covered by our 100% guarantee.
Immunogen
Recombinant protein encompassing a sequence within the center region of human RPL6. The exact sequence is proprietary.
Predicted Species
Porcine (94%), Chimpanzee (100%), Bovine (95%), Rhesus Macaque (99%). Backed by our 100% Guarantee.
Isotype
IgG
Clonality
Polyclonal
Host
Rabbit
Gene
RPL6
Purity
Antigen Affinity-purified
Innovator's Reward
Test in a species/application not listed above to receive a full credit towards a future purchase.

Applications/Dilutions

Dilutions
  • Immunocytochemistry/ Immunofluorescence 1:100-1:1000
  • Immunohistochemistry 1:100-1:1000
  • Immunohistochemistry-Frozen
  • Immunohistochemistry-Paraffin 1:100-1:1000
  • Western Blot 1:500-1:3000
Application Notes
IHC-Fr (Frozen sections) Assay dependent.
Theoretical MW
33 kDa.
Disclaimer note: The observed molecular weight of the protein may vary from the listed predicted molecular weight due to post translational modifications, post translation cleavages, relative charges, and other experimental factors.
Publications
Read Publication using NBP2-20216.

Reactivity Notes

Xenopus laevis (81%), Chicken (83%).

Packaging, Storage & Formulations

Storage
Aliquot and store at -20C or -80C. Avoid freeze-thaw cycles.
Buffer
PBS, 1% BSA, 20% Glycerol
Preservative
0.01% Thimerosal
Purity
Antigen Affinity-purified

Alternate Names for RPL6 Antibody

  • DNA-binding protein TAXREB107
  • Neoplasm-related protein C140
  • ribosomal protein L6,60S ribosomal protein L6
  • RPL6
  • SHUJUN-2
  • TaxREB107
  • Tax-responsive enhancer element-binding protein 107
  • TXREB1

Background

Ribosomes, the organelles that catalyze protein synthesis, consist of a small 40S subunit and a large 60S subunit. Together these subunits are composed of 4 RNA species and approximately 80 structurally distinct proteins. This gene encodes a ribosomal protein that is a component of the 60S subunit. The protein belongs to the L6E family of ribosomal proteins. It is located in the cytoplasm. The protein can bind specifically to domain C of the tax-responsive enhancer element of human T-cell leukemia virus type 1, and it has been suggested that the protein may participate in tax-mediated transactivation of transcription. As is typical for genes encoding ribosomal proteins, there are multiple processed pseudogenes of this gene dispersed through the genome. Two alternatively spliced transcript variants encoding the same protein have been found for this gene. [provided by RefSeq]

Limitations

This product is for research use only and is not approved for use in humans or in clinical diagnosis. Primary Antibodies are guaranteed for 1 year from date of receipt.

Customers Who Viewed This Item Also Viewed...

MAB1417
Species: Bv, Hu, Mu
Applications: ICC, IHC
NBP1-31413
Species: Hu, Mu, Rt
Applications: ICC/IF, IHC,  IHC-P, KD, WB
NBP1-49533
Species: Hu, Mu, Pl, Rt
Applications: Flow-IC, Flow, ICC/IF, IHC,  IHC-P, KD, WB
AF887
Species: Hu, Mu, Rt
Applications: CyTOF-ready, IHC, ICFlow, Simple Western, WB
H00006124-M01
Species: Hu, Mu, Rt
Applications: ELISA, ICC/IF, S-ELISA, WB
H00058516-B02P
Species: Hu
Applications: ICC/IF, IHC,  IHC-P, KD, WB
291-G1
Species: Hu
Applications: BA
NBP2-38323
Species: Hu
Applications: ICC/IF, IHC,  IHC-P, WB
NB110-39113
Species: Hu, Mu, Rb, Rt
Applications: ChIP, ChIP, Flow-IC, Flow, ICC/IF, IHC, IHC-Fr,  IHC-P, In vitro, Simple Western, WB
NB100-82001
Species: Hu, Mu, Po, Rt
Applications: ICC/IF, IHC,  IHC-P, Simple Western, WB
NBP2-20214
Species: Hu, Mu
Applications: ICC/IF, IHC,  IHC-P, WB
NBP1-83192
Species: Hu
Applications: ICC/IF, IHC,  IHC-P, WB
H00029956-M01A
Species: Hu, Mu
Applications: ELISA, IHC, WB
NBP1-80104
Species: Hu
Applications: WB
NB100-2269
Species: Hu, Mu
Applications: IHC,  IHC-P, IP, KD, WB
NBP3-05567
Species: Hu, Mu
Applications: ICC/IF, WB
NBP2-12793
Species: Hu, Mu
Applications: IHC,  IHC-P, IP, WB
NBP1-88582
Species: Hu
Applications: ICC/IF, IHC,  IHC-P, WB
⚠ WARNING: This product can expose you to chemicals including mercury, which is known to the State of California to cause reproductive toxicity with developmental effects.  For more information go to www.P65Warnings.ca.gov.

Publications for RPL6 Antibody (NBP2-20216)(1)

Reviews for RPL6 Antibody (NBP2-20216) (0)

There are no reviews for RPL6 Antibody (NBP2-20216). By submitting a review you will receive an Amazon e-Gift Card or Novus Product Discount.
  • Review with no image -- $10/€7/£6/$10 CAD/¥70 Yuan/¥1110 Yen
  • Review with an image -- $25/€18/£15/$25 CAD/¥150 Yuan/¥2500 Yen

Product General Protocols

Find general support by application which include: protocols, troubleshooting, illustrated assays, videos and webinars.

Video Protocols

WB Video Protocol
ICC/IF Video Protocol

FAQs for RPL6 Antibody (NBP2-20216) (0)

There are no specific FAQs related to this product. Read our general customer & technical service FAQs.

Customers Who Bought This Also Bought

Contact Information

Product PDFs

Calculators

Concentration Calculator

The concentration calculator allows you to quickly calculate the volume, mass or concentration of your vial. Simply enter your mass, volume, or concentration values for your reagent and the calculator will determine the rest.

=
÷

Review this Product

Be the first to review our RPL6 Antibody and receive a gift card or discount.

Bioinformatics

Gene Symbol RPL6
Uniprot