RPL38 Antibody - BSA Free

Images

 
Immunocytochemistry/ Immunofluorescence: RPL38 Antibody [NBP2-30693] - Staining of human cell line HEK 293 shows positivity in cytoplasm.
Immunohistochemistry: RPL38 Antibody [NBP2-30693] - Staining of human cerebral cortex shows strong granular cytoplasmic positivity in neuronal cells.
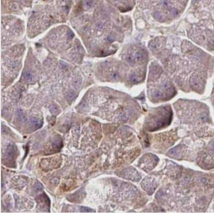
Immunohistochemistry-Paraffin: RPL38 Antibody [NBP2-30693] -Staining of human pancreas moderate cytoplasmic positivity in exocrine glandular cells.
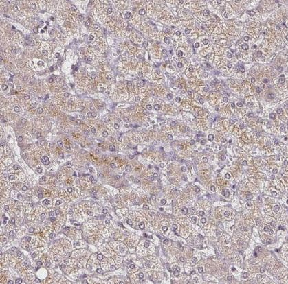
Immunohistochemistry-Paraffin: RPL38 Antibody [NBP2-30693] - Staining of human liver shows weak cytoplasmic positivity in hepatocytes.
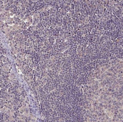
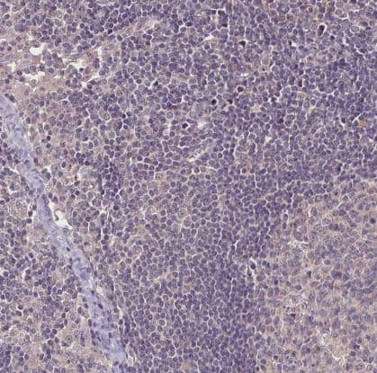
Immunohistochemistry-Paraffin: RPL38 Antibody [NBP2-30693] - Staining of human lymph node shows no cytoplasmic positivity in non-germinal center cells as expected.

Product Details

Summary
Reactivity Hu, Mu, RtSpecies Glossary
Applications ICC/IF, IHC
Clonality
Polyclonal
Host
Rabbit
Conjugate
Unconjugated
Format
BSA Free

Order Details

View Available Formulations
Catalog# & Formulation Size Price

RPL38 Antibody - BSA Free Summary

Description
Novus Biologicals Rabbit RPL38 Antibody - BSA Free (NBP2-30693) is a polyclonal antibody validated for use in IHC and ICC/IF. All Novus Biologicals antibodies are covered by our 100% guarantee.
Immunogen
This antibody was developed against a recombinant protein corresponding to amino acids: IEEIKDFLLTARRKDAKSVKIKKNKDNVKFKVRCSRYLYTLVITDKEKAEKLKQSLPPGLAVKEL
Predicted Species
Mouse (98%), Rat (100%). Backed by our 100% Guarantee.
Isotype
IgG
Clonality
Polyclonal
Host
Rabbit
Gene
RPL38
Purity
Immunogen affinity purified
Innovator's Reward
Test in a species/application not listed above to receive a full credit towards a future purchase.

Applications/Dilutions

Dilutions
  • Immunocytochemistry/ Immunofluorescence 0.25-2 ug/ml
  • Immunohistochemistry 1:20 - 1:50
  • Immunohistochemistry-Paraffin 1:20 - 1:50
Application Notes
For IHC-Paraffin, HIER pH 6 retrieval is recommended. ICC/IF,Fixation Permeabilization: Use PFA/Triton X-100.
Control Peptide
RPL38 Protein (NBP2-30693PEP)

Packaging, Storage & Formulations

Storage
Store at 4C short term. Aliquot and store at -20C long term. Avoid freeze-thaw cycles.
Buffer
PBS (pH 7.2) and 40% Glycerol
Preservative
0.02% Sodium Azide
Purity
Immunogen affinity purified

Alternate Names for RPL38 Antibody - BSA Free

  • ribosomal protein L38,60S ribosomal protein L38

Background

Ribosomes, the organelles that catalyze protein synthesis, consist of a small 40S subunit and a large 60S subunit. Together these subunits are composed of 4 RNA species and approximately 80 structurally distinct proteins. This gene encodes a ribosomal protein that is a component of the 60S subunit. The protein belongs to the L38E family of ribosomal proteins. It is located in the cytoplasm. Alternative splice variants have been identified, both encoding the same protein. As is typical for genes encoding ribosomal proteins, there are multiple processed pseudogenes of this gene dispersed through the genome, including one located in the promoter region of the type 1 angiotensin II receptor gene. (provided by RefSeq)

Limitations

This product is for research use only and is not approved for use in humans or in clinical diagnosis. Primary Antibodies are guaranteed for 1 year from date of receipt.

Customers Who Viewed This Item Also Viewed...

NBP1-06069
Species: Hu, Mu
Applications: IHC,  IHC-P, PEP-ELISA, WB
NBP1-47757
Species: Hu, Mu, Rt
Applications: IHC,  IHC-P, WB
NBP1-78028
Species: Hu
Applications: ELISA, ICC/IF, WB
NB100-2452
Species: Hu
Applications: IHC,  IHC-P, PEP-ELISA, WB
NBP1-82853
Species: Hu, Mu
Applications: ICC/IF, IHC,  IHC-P, WB
NBP2-20210
Species: Hu, I, Mu, Ze
Applications: IHC-WhMt, IHC,  IHC-P, WB
NBP1-31413
Species: Hu, Mu, Rt
Applications: ICC/IF, IHC,  IHC-P, KD, WB
NBP1-81293
Species: Hu
Applications: ICC/IF, IHC,  IHC-P, KD, WB
NBP2-38992
Species: Hu
Applications: ICC/IF, IHC,  IHC-P, WB
NBP1-88445
Species: Hu
Applications: ICC/IF, IHC,  IHC-P, WB
268-N4
Species: Hu
Applications: BA
NBP1-31336
Species: Hu, Mu, Rt
Applications: ICC/IF, IHC,  IHC-P, KD, WB
NBP1-78977
Species: Hu, Mu, Rt
Applications: Flow-IC, Flow, ICC/IF, IHC,  IHC-P, IM, IP, Simple Western, WB
H00022927-D01P
Species: Hu
Applications: ICC/IF, WB
NBP3-47048
Species: Hu, Pm, Mu, Rt
Applications: ELISA, IHC, IP, WB
H00006124-M01
Species: Hu, Mu, Rt
Applications: ELISA, ICC/IF, S-ELISA, WB
NBP3-38286
Species: Hu, Mu, Rt
Applications: ELISA, ICC/IF, IHC,  IHC-P, WB
291-G1
Species: Hu
Applications: BA
NBP1-84843
Species: Hu
Applications: ICC/IF, IHC,  IHC-P, WB
NBP2-30693
Species: Hu, Mu, Rt
Applications: ICC/IF, IHC

Publications for RPL38 Antibody (NBP2-30693) (0)

There are no publications for RPL38 Antibody (NBP2-30693).
By submitting your publication information earn gift cards and discounts for future purchases.

Reviews for RPL38 Antibody (NBP2-30693) (0)

There are no reviews for RPL38 Antibody (NBP2-30693). By submitting a review you will receive an Amazon e-Gift Card or Novus Product Discount.
  • Review with no image -- $10/€7/£6/$10 CAD/¥70 Yuan/¥1110 Yen
  • Review with an image -- $25/€18/£15/$25 CAD/¥150 Yuan/¥2500 Yen

Product General Protocols

Find general support by application which include: protocols, troubleshooting, illustrated assays, videos and webinars.

Video Protocols

ICC/IF Video Protocol

FAQs for RPL38 Antibody (NBP2-30693) (0)

There are no specific FAQs related to this product. Read our general customer & technical service FAQs.

Customers Who Bought This Also Bought

Contact Information

Product PDFs

Calculators

Concentration Calculator

The concentration calculator allows you to quickly calculate the volume, mass or concentration of your vial. Simply enter your mass, volume, or concentration values for your reagent and the calculator will determine the rest.

=
÷

Review this Product

Be the first to review our RPL38 Antibody - BSA Free and receive a gift card or discount.

Bioinformatics

Gene Symbol RPL38
Uniprot