RPL13 Antibody - BSA Free

Images

 
Genetic Strategies: Western Blot: RPL13 Antibody [NBP2-13250] - Analysis in U2OS cells transfected with control siRNA, target specific siRNA probe #1 and #2. Remaining relative intensity is presented.
Immunocytochemistry/ Immunofluorescence: RPL13 Antibody [NBP2-13250] - Staining of human cell line MCF7 shows localization to nucleoli, cytosol & endoplasmic reticulum. Antibody staining is shown in green.
Immunohistochemistry-Paraffin: RPL13 Antibody [NBP2-13250] - Staining of human esophagus shows strong cytoplasmic positivity in squamous epithelial cells.
Staining of human cell line MCF7 shows localization to nucleoli, cytosol & endoplasmic reticulum.
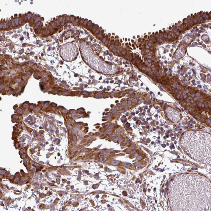
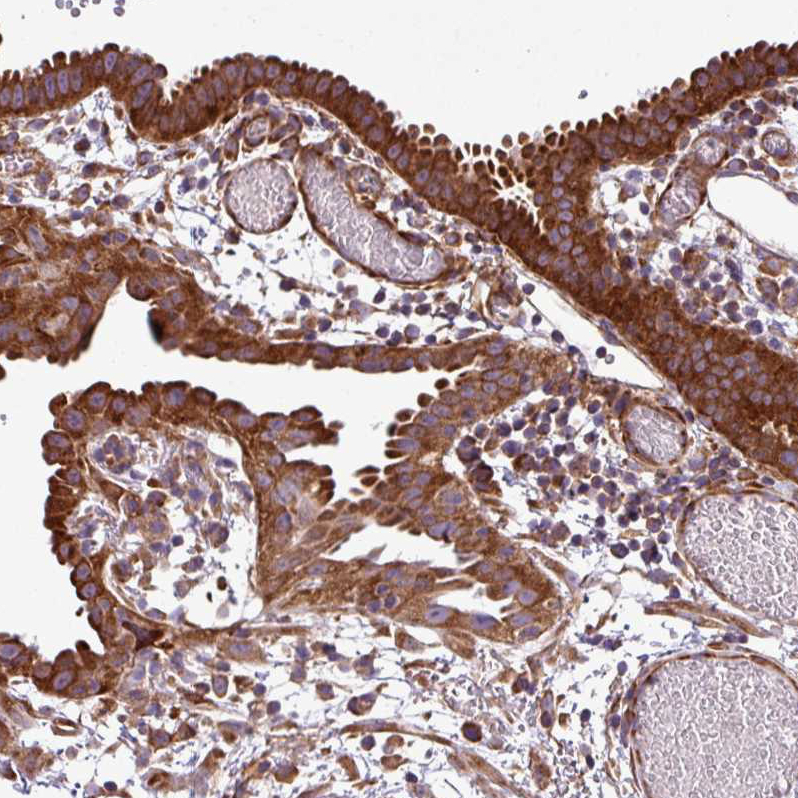
Staining of human fallopian tube shows strong cytoplasmic positivity in glandular cells.
Analysis in human cell line NB4.
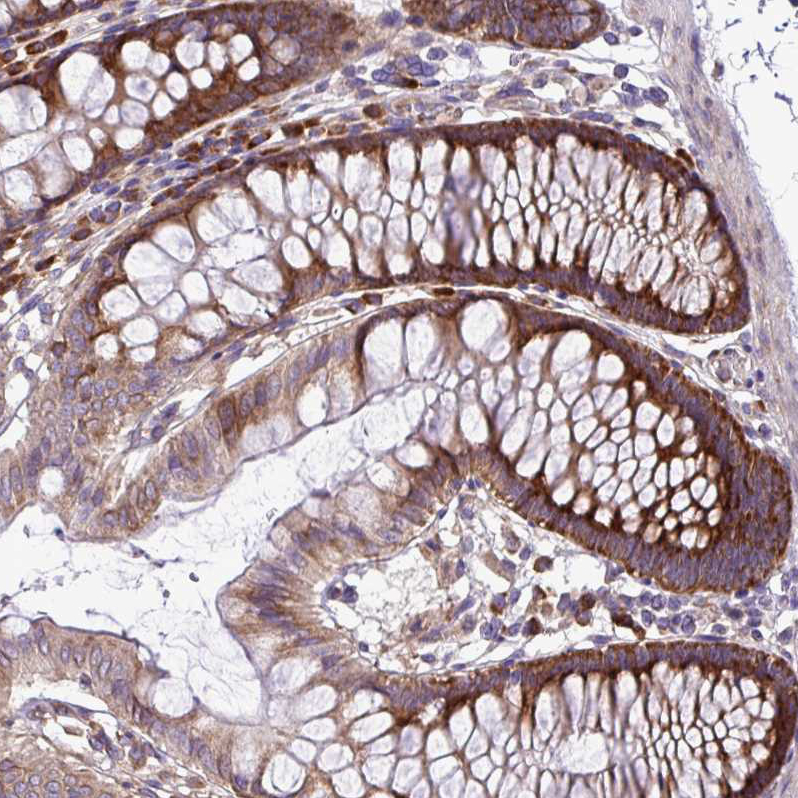
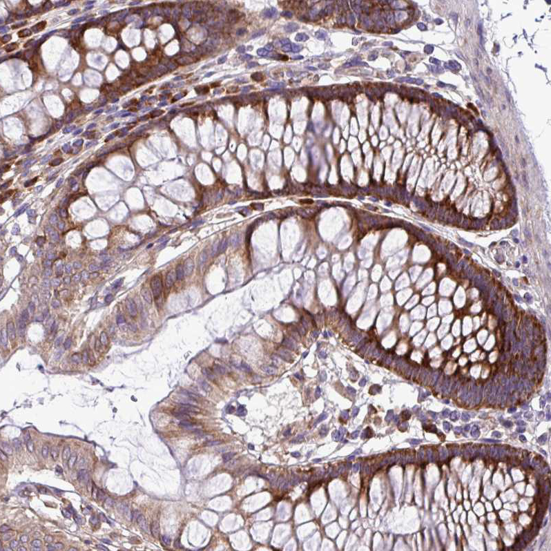
Staining of human colon shows moderate cytoplasmic positivity in glandular cells.
Staining of human skin shows strong cytoplasmic positivity in squamous epithelial cells.
Staining of human lymph node shows strong cytoplasmic positivity in subset of non-germinal center cells.

Product Details

Summary
Reactivity Hu, Mu, RtSpecies Glossary
Applications WB, ICC/IF, IHC, KD
Clonality
Polyclonal
Host
Rabbit
Conjugate
Unconjugated
Format
BSA Free
Validated by:
     

Genetic Strategies

   

Order Details

RPL13 Antibody - BSA Free Summary

Description
Novus Biologicals Rabbit RPL13 Antibody - BSA Free (NBP2-13250) is a polyclonal antibody validated for use in IHC, WB and ICC/IF. All Novus Biologicals antibodies are covered by our 100% guarantee.
Immunogen
This antibody was developed against a recombinant protein corresponding to the amino acids: PKKGDSSAEELKLATQLTGPVMPVRNVYKKEKARVITEEEKNFKAFASLRMARANARLFGIRAKRAKEAAEQD
Predicted Species
Mouse (99%), Rat (97%). Backed by our 100% Guarantee.
Isotype
IgG
Clonality
Polyclonal
Host
Rabbit
Gene
RPL13
Purity
Immunogen affinity purified
Innovator's Reward
Test in a species/application not listed above to receive a full credit towards a future purchase.

Applications/Dilutions

Dilutions
  • Immunocytochemistry/ Immunofluorescence 0.25-2 ug/ml
  • Immunohistochemistry 1:20 - 1:50
  • Immunohistochemistry-Paraffin 1:20 - 1:50
  • Knockdown Validated
  • Western Blot 0.04-0.4 ug/ml
Application Notes
For IHC-Paraffin, HIER pH 6 retrieval is recommended. ICC/IF Fixation Permeabilization: Use PFA/Triton X-100.
Control Peptide
RPL13 Protein (NBP2-13250PEP)

Packaging, Storage & Formulations

Storage
Store at 4C short term. Aliquot and store at -20C long term. Avoid freeze-thaw cycles.
Buffer
PBS (pH 7.2) and 40% Glycerol
Preservative
0.02% Sodium Azide
Purity
Immunogen affinity purified

Alternate Names for RPL13 Antibody - BSA Free

  • BBC1FLJ27454
  • Breast basic conserved protein 1
  • D16S444E
  • FLJ27453
  • MGC117342
  • MGC71373,60S ribosomal protein L13
  • OK/SW-cl.46
  • ribosomal protein L13

Background

RPL13, also known as 60S ribosomal protein L13, is a 24kDa 211 amino acid protein with a shorter 19kDA 164 isoform produced by alternative splicing. RPL13 belongs to the L13E family of ribosomal proteins and can be found in the cytoplasm. Current research is being conducted on RPL13 in relation to Smith-Magenis syndrome, Treacher Collins syndrome, breast carcinoma, carcinoma, skin atrophy, prostate cancer, prostatitis, schizophrenia and malaria. RPL13 has been linked to the reverse transcription, ribosome assembly, cell division, DNA protection and pigmentation pathways where it interacts with RPL4, RPL8, RPS3, SMN1 and RPL12.

Limitations

This product is for research use only and is not approved for use in humans or in clinical diagnosis. Primary Antibodies are guaranteed for 1 year from date of receipt.

Customers Who Viewed This Item Also Viewed...

H00029956-M01A
Species: Hu, Mu
Applications: ELISA, IHC, WB
NBP2-20214
Species: Hu, Mu
Applications: ICC/IF, IHC,  IHC-P, WB
H00006124-M01
Species: Hu, Mu, Rt
Applications: ELISA, ICC/IF, S-ELISA, WB
NBP2-13252
Species: Hu
Applications: ICC/IF, IHC,  IHC-P
NBP2-20216
Species: Hu, Mu, Rt
Applications: ICC/IF, IHC, IHC-Fr,  IHC-P, WB
H00058516-B02P
Species: Hu
Applications: ICC/IF, IHC,  IHC-P, KD, WB
NBP1-80104
Species: Hu
Applications: WB
NBP1-83192
Species: Hu
Applications: ICC/IF, IHC,  IHC-P, WB
NBP1-88582
Species: Hu
Applications: ICC/IF, IHC,  IHC-P, WB
NBP1-85385
Species: Hu
Applications: ICC/IF, IHC,  IHC-P, WB
NBP2-88192
Species: Hu
Applications: IHC,  IHC-P, WB
NBP1-87847
Species: Hu
Applications: ICC/IF, IHC,  IHC-P, WB
NB100-2269
Species: Hu, Mu
Applications: IHC,  IHC-P, IP, KD, WB
NBP1-81328
Species: Hu
Applications: ICC/IF, WB
MAB8164
Species: Hu
Applications: CyTOF-ready, Flow, ICC, IHC
NBP1-06069
Species: Hu, Mu
Applications: IHC,  IHC-P, PEP-ELISA, WB
NBP2-93788
Species: Hu, Mu, Rt
Applications: ICC/IF, IHC,  IHC-P, WB
NBP2-20210
Species: Hu, I, Mu, Ze
Applications: IHC-WhMt, IHC,  IHC-P, WB
NBP2-13251
Species: Hu
Applications: ICC/IF, IHC,  IHC-P, WB
NBP3-45266
Species: Hu, Mu, Rt
Applications: ELISA, IHC, WB

Publications for RPL13 Antibody (NBP2-13250) (0)

There are no publications for RPL13 Antibody (NBP2-13250).
By submitting your publication information earn gift cards and discounts for future purchases.

Reviews for RPL13 Antibody (NBP2-13250) (0)

There are no reviews for RPL13 Antibody (NBP2-13250). By submitting a review you will receive an Amazon e-Gift Card or Novus Product Discount.
  • Review with no image -- $10/€7/£6/$10 CAD/¥70 Yuan/¥1110 Yen
  • Review with an image -- $25/€18/£15/$25 CAD/¥150 Yuan/¥2500 Yen

Product General Protocols

Find general support by application which include: protocols, troubleshooting, illustrated assays, videos and webinars.

Video Protocols

WB Video Protocol
ICC/IF Video Protocol

FAQs for RPL13 Antibody (NBP2-13250) (0)

There are no specific FAQs related to this product. Read our general customer & technical service FAQs.

Secondary Antibodies

 

Isotype Controls

Additional RPL13 Products

Research Areas for RPL13 Antibody (NBP2-13250)

Find related products by research area.

Blogs on RPL13

There are no specific blogs for RPL13, but you can read our latest blog posts.

Customers Who Bought This Also Bought

Contact Information

Product PDFs

Calculators

Concentration Calculator

The concentration calculator allows you to quickly calculate the volume, mass or concentration of your vial. Simply enter your mass, volume, or concentration values for your reagent and the calculator will determine the rest.

=
÷

Review this Product

Be the first to review our RPL13 Antibody - BSA Free and receive a gift card or discount.

Bioinformatics

Gene Symbol RPL13