RNGTT Antibody

Images

 
Independent Antibodies: Western Blot: RNGTT Antibody [NBP1-49973] - Detection of Human and Mouse RNGTT by Western Blot (h&m) and Immunoprecipitation (h). Samples: Whole cell lysate from HeLa (5, 15 and 50 mcg ...read more
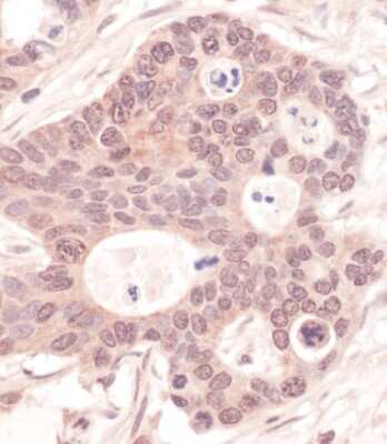
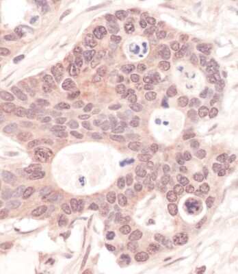
Immunohistochemistry-Paraffin: RNGTT Antibody [NBP1-49973] - Section of human ovarian carcinoma. Antibody: Affinity purified rabbit anti- RNGTT used at a dilution of 1:200 (1ug/ml). Detection: Vector Laboratories ...read more

Product Details

Summary
Product Discontinued
View other related RNGTT Primary Antibodies

Order Details


    • Catalog Number
      NBP1-49973
    • Availability
      Product Discontinued

    Can't find what you are looking for? Use our Antibody Concierge Service & we will help you locate your antibody!

    Or feel free to contact us for alternative products.

RNGTT Antibody Summary

Immunogen
The immunogen for this product maps to a region between residue 350 and 400 of human RNA Guanylyltransferase and 5'-Phosphatase using the numbering given in entry NP_003791.3 (GeneID 8732).
Isotype
IgG
Clonality
Polyclonal
Host
Rabbit
Gene
RNGTT
Purity
Immunogen affinity purified
Innovator's Reward
Test in a species/application not listed above to receive a full credit towards a future purchase.

Applications/Dilutions

Dilutions
  • Immunohistochemistry
  • Immunohistochemistry-Paraffin 1:200-1:1000
  • Immunoprecipitation 2-5 ug/mg lysate
  • Western Blot 1:2000-1:10000
Application Notes
Epitope retrieval with citrate buffer pH6.0 is recommended for FFPE tissue sections.
Reviewed Applications
Read 1 Review rated 5
using
NBP1-49973 in the following applications:

Publications
Read Publication using
NBP1-49973 in the following applications:

  • IP
    1 publication
  • WB
    1 publication

Packaging, Storage & Formulations

Storage
Store at 4C. Do not freeze.
Buffer
TBS and 0.1% BSA
Preservative
0.09% Sodium Azide
Concentration
0.2 mg/ml
Purity
Immunogen affinity purified

Alternate Names for RNGTT Antibody

  • CAP1AmRNA-capping enzyme
  • hCAP
  • HCE1DKFZp686J2031
  • HCEHCAP1
  • RNA guanylyltransferase and 5'-phosphatase

Background

Bifunctional mRNA-capping enzyme exhibiting RNA 5'-triphosphatase activity in the N-terminal part and mRNA guanylyltransferase activity in the C-terminal part. Catalyzes the first two steps of cap formation: by removing the gamma-phosphate from the 5'-triphosphate end of nascent mRNA to yield a diphosphate end, and by transferring the gmp moiety of GTP to the 5'-diphosphate terminus

Limitations

This product is for research use only and is not approved for use in humans or in clinical diagnosis. Primary Antibodies are guaranteed for 1 year from date of receipt.

Customers Who Viewed This Item Also Viewed...

M6000B
Species: Mu
Applications: ELISA
NBP1-86644
Species: Hu
Applications: ICC/IF, IHC,  IHC-P, WB
NBP2-76393
Species: Hu, Mu
Applications: CHIP-SEQ, Flow, ICC/IF, IHC,  IHC-P, IP, WB
NBP1-86641
Species: Hu
Applications: ICC/IF, IHC,  IHC-P, KD, WB
NBP1-85691
Species: Hu
Applications: IHC,  IHC-P, Simple Western, WB
NBL1-14964
Species: Hu
Applications: WB
NBP2-01650
Species: Hu, Pm, Mu
Applications: Flow, IHC,  IHC-P, WB
AF6386
Species: Hu
Applications: IP, WB
NB100-2593
Species: Hu, Mu
Applications: IHC,  IHC-P, IP, WB
NB100-56082
Species: Hu, Mu, Rt
Applications: IHC,  IHC-P, IP, WB
NB200-323
Species: Hu, Rt
Applications: WB
NBP1-88871
Species: Hu
Applications: ICC/IF, IHC,  IHC-P
MAB208
Species: Hu
Applications: CyTOF-ready, ELISA(Cap), ELISA(Det), ELISA(Sta), ICC, ICFlow, Neut, Simple Western, WB
NBP2-38877
Species: Hu
Applications: ICC/IF, IHC,  IHC-P
236-EG
Species: Hu
Applications: BA
485-MI
Species: Mu
Applications: BA
DMP900
Species: Hu
Applications: ELISA
H00004502-M01
Species: Hu, Mu
Applications: ELISA, ICC/IF, IHC, WB
NBP1-49973
Species: Hu, Mu
Applications: WB, IHC, IP

Publications for RNGTT Antibody (NBP1-49973)(1)

We have publications tested in 1 confirmed species: Human.

We have publications tested in 2 applications: IP, WB.


Filter By Application
IP
(1)
WB
(1)
All Applications
Filter By Species
Human
(1)
All Species

Review for RNGTT Antibody (NBP1-49973) (1) 51

Average Rating: 5
(Based on 1 review)
We have 1 review tested in 1 species: Human.

Reviews using NBP1-49973:
Filter by Applications
IP
(1)
All Applications
Filter by Species
Human
(1)
All Species
Images Ratings Applications Species Date Details
Immunoprecipitation RNGTT NBP1-49973
Enlarge
5
reviewed by:
Verified Customer
IP Human 07/22/2014
View

Summary

ApplicationImmunoprecipitation
Sample TestedCytoplasmic extract from 293 cell
SpeciesHuman
LotA1

Product General Protocols

Find general support by application which include: protocols, troubleshooting, illustrated assays, videos and webinars.

Video Protocols

WB Video Protocol

FAQs for RNGTT Antibody (NBP1-49973) (0)

There are no specific FAQs related to this product. Read our general customer & technical service FAQs.

Contact Information

Product PDFs

Calculators

Concentration Calculator

The concentration calculator allows you to quickly calculate the volume, mass or concentration of your vial. Simply enter your mass, volume, or concentration values for your reagent and the calculator will determine the rest.

=
÷

Recent Reviews

5
5
1
4
0
3
0
2
0
1
0

Verified Customer
07/22/2014
Application: IP
Species: Human

Bioinformatics

Gene Symbol RNGTT