RINL Antibody - BSA Free

Images

 
Immunohistochemistry-Paraffin: RINL Antibody [NBP1-93741] - Staining of human lymph node shows cytoplasmic positivity in germinal center cells and non-germinal center cells.
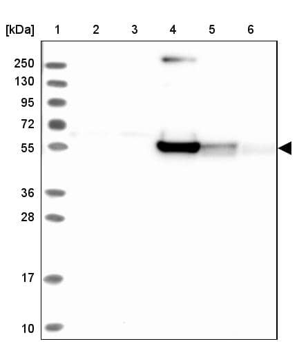
Lane 1: Marker [kDa] 250, 130, 95, 72, 55, 36, 28, 17, 10Lane 2: Human cell line RT-4Lane 3: Human cell line U-251MG spLane 4: Human plasma (IgG/HSA depleted)Lane 5: Human liver tissueLane 6: Human tonsil tissue

Product Details

Summary
Reactivity HuSpecies Glossary
Applications WB, IHC
Clonality
Polyclonal
Host
Rabbit
Conjugate
Unconjugated
Format
BSA Free

Order Details

View Available Formulations
Catalog# & Formulation Size Price

RINL Antibody - BSA Free Summary

Description
Novus Biologicals Rabbit RINL Antibody - BSA Free (NBP1-93741) is a polyclonal antibody validated for use in IHC and WB. All Novus Biologicals antibodies are covered by our 100% guarantee.
Immunogen
This antibody was developed against Recombinant Protein corresponding to amino acids: RDVLPRTLLLPPPTLGPRDEHTDPVQIGRVQQDTPGKVLSIVNQLYLETHRGWGREQTPQETEPEAAQRHDPAPRNPAPHGVSWVKGPLS
Isotype
IgG
Clonality
Polyclonal
Host
Rabbit
Gene
RINL
Purity
Immunogen affinity purified
Innovator's Reward
Test in a species/application not listed above to receive a full credit towards a future purchase.

Applications/Dilutions

Dilutions
  • Immunohistochemistry 1:200 - 1:500
  • Immunohistochemistry-Paraffin 1:200 - 1:500
  • Western Blot 0.04-0.4 ug/ml
Application Notes
For IHC-Paraffin, HIER pH 6 retrieval is recommended. Immunocytochemistry/Immunofluorescence Fixation Permeabilization: Use PFA/Triton X-100.
Control Peptide
RINL Protein (NBP1-93741PEP)

Packaging, Storage & Formulations

Storage
Store at 4C short term. Aliquot and store at -20C long term. Avoid freeze-thaw cycles.
Buffer
PBS (pH 7.2) and 40% Glycerol
Preservative
0.02% Sodium Azide
Purity
Immunogen affinity purified

Alternate Names for RINL Antibody - BSA Free

  • FLJ44131
  • FLJ45909
  • ras and Rab interactor-like protein
  • Ras and Rab interactor-like

Limitations

This product is for research use only and is not approved for use in humans or in clinical diagnosis. Primary Antibodies are guaranteed for 1 year from date of receipt.

Customers Who Viewed This Item Also Viewed...

NB120-13253
Species: Bv, Hu, Pm, Mu, Rt
Applications: ICC/IF, IHC-FrFl, IHC,  IHC-P, IP, WB
AF231
Species: Hu
Applications: CyTOF-ready, Dual ISH-IHC, ELISA(Cap), ELISA(Det), ELISA(Sta), Flow, ICC, IHC, IP, Simple Western, WB
AF6260
Species: Hu
Applications: WB
NB110-68800
Species: Hu, Mu, Pm
Applications: ICC/IF, WB
NBP1-85727
Species: Hu
Applications: ICC/IF, IHC,  IHC-P
NBP1-89077
Species: Hu
Applications: ICC/IF, IHC,  IHC-P
NBP2-21577
Species: Hu, Mu, Rt
Applications: ICC/IF, IHC, IHC-Fr,  IHC-P, IP, KD, WB
NBP2-03062
Species: Ca, Hu, Pm, Mu, Pm, Rt
Applications: Flow, IHC,  IHC-P, WB
236-EG
Species: Hu
Applications: BA
AF638
Species: Hu
Applications: CyTOF-ready, Flow, ICC, WB
AF562
Species: Rt
Applications: Neut, WB
AF454
Species: Mu
Applications: WB
NBP3-30941
Species: Hu, Rt
Applications: IHC, WB
H00056731-M02
Species: Hu
Applications: ELISA, ICC/IF, WB
NBP3-32885
Species: Hu, Mu, Rt
Applications: ICC/IF, WB
NBP1-91991
Species: Hu, Mu, Rt
Applications: ICC/IF, IHC,  IHC-P, WB
NBP1-85905
Species: Hu
Applications: IHC,  IHC-P, WB
NBP1-93741
Species: Hu
Applications: WB, IHC

Publications for RINL Antibody (NBP1-93741) (0)

There are no publications for RINL Antibody (NBP1-93741).
By submitting your publication information earn gift cards and discounts for future purchases.

Reviews for RINL Antibody (NBP1-93741) (0)

There are no reviews for RINL Antibody (NBP1-93741). By submitting a review you will receive an Amazon e-Gift Card or Novus Product Discount.
  • Review with no image -- $10/€7/£6/$10 CAD/¥70 Yuan/¥1110 Yen
  • Review with an image -- $25/€18/£15/$25 CAD/¥150 Yuan/¥2500 Yen

Product General Protocols

Find general support by application which include: protocols, troubleshooting, illustrated assays, videos and webinars.

Video Protocols

WB Video Protocol

FAQs for RINL Antibody (NBP1-93741) (0)

There are no specific FAQs related to this product. Read our general customer & technical service FAQs.

Customers Who Bought This Also Bought

Contact Information

Product PDFs

Calculators

Concentration Calculator

The concentration calculator allows you to quickly calculate the volume, mass or concentration of your vial. Simply enter your mass, volume, or concentration values for your reagent and the calculator will determine the rest.

=
÷

Review this Product

Be the first to review our RINL Antibody - BSA Free and receive a gift card or discount.

Bioinformatics

Gene Symbol RINL