RelA/NFkB p65 NLS Antibody (SZ10-04)

Images

 
Western Blot: RelA/NFkB p65 NLS Antibody (SZ10-04) [NBP2-67352] - RelA/NFkB p65 NLS was immunoprecipitated from 0.5 mg Hela whole cell lysates with NBP2-67352 at 2 ug/mL. Western blot was performed from the ...read more
Immunocytochemistry/ Immunofluorescence: RelA/NFkB p65 NLS Antibody (SZ10-04) [NBP2-67352] - Staining NF-kB p65 in NIH/3T3 cells (green). The nuclear counter stain is DAPI (blue). Cells were fixed in paraformaldehyde, ...read more
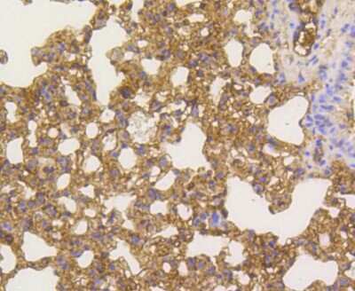
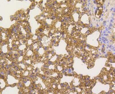
Immunohistochemistry-Paraffin: RelA/NFkB p65 NLS Antibody (SZ10-04) [NBP2-67352] - Analysis of paraffin-embedded human lung tissue with Rabbit anti-RelA/NFkB p65 antibody washed with ddH2O and PBS, and then probed with ...read more
Flow Cytometry: RelA/NFkB p65 NLS Antibody (SZ10-04) [NBP2-67352] - Analysis of Hela cells with NF-kB p65 antibody at 1/50 dilution (blue) compared with an unlabelled control (cells without incubation with primary ...read more
Western Blot: RelA/NFkB p65 NLS Antibody (SZ10-04) [NBP2-67352] - Analysis of NF-kB p65 on different lysates. Proteins were transferred to a PVDF membrane and blocked with 5% BSA in PBS for 1 hour at room temperature. ...read more
Western Blot: RelA/NFkB p65 NLS Antibody (SZ10-04) [NBP2-67352] - Analysis of NF-kB p65 on hybrid fish (crucian-carp) heart tissue lysate using anti-NF-kB p65 antibody at 1/500 dilution.
Western Blot: RelA/NFkB p65 NLS Antibody (SZ10-04) [NBP2-67352] - Western blot analysis of RelA/NFkB p65 NLS on normal (Hela Control) and RelA/NFkB p65 NLS knockout Hela lysates. Proteins were transferred to a PVDF ...read more
Western Blot: RelA/NFkB p65 NLS Antibody (SZ10-04) [NBP2-67352] - Analysis of RelA/NFkB p65 on NIH/3T3 cell lysates with Rabbit anti-RelA/NFkB p65 antibody at 1/500 dilution. Lysates/proteins at 10 ug/Lane. Predicted ...read more
Immunocytochemistry/ Immunofluorescence: RelA/NFkB p65 NLS Antibody (SZ10-04) [NBP2-67352] - Staining NF-kB p65 in A549 cells (green). The nuclear counter stain is DAPI (blue). Cells were fixed in paraformaldehyde, ...read more
Immunocytochemistry/ Immunofluorescence: RelA/NFkB p65 NLS Antibody (SZ10-04) [NBP2-67352] - Staining NF-kB p65 in Hela cells (green). The nuclear counter stain is DAPI (blue). Cells were fixed in paraformaldehyde, ...read more
Immunohistochemistry-Paraffin: RelA/NFkB p65 NLS Antibody (SZ10-04) [NBP2-67352] - Analysis of paraffin-embedded human breast carcinoma tissue using anti-NF-kB p65 antibody. Counter stained with hematoxylin.
Immunohistochemistry-Paraffin: RelA/NFkB p65 NLS Antibody (SZ10-04) [NBP2-67352] - Analysis of paraffin-embedded human lung cancer tissue using anti-NF-kB p65 antibody. Counter stained with hematoxylin.
Immunohistochemistry-Paraffin: RelA/NFkB p65 NLS Antibody (SZ10-04) [NBP2-67352] - Analysis of paraffin-embedded mouse lung tissue using anti-NF-kB p65 antibody. Counter stained with hematoxylin.
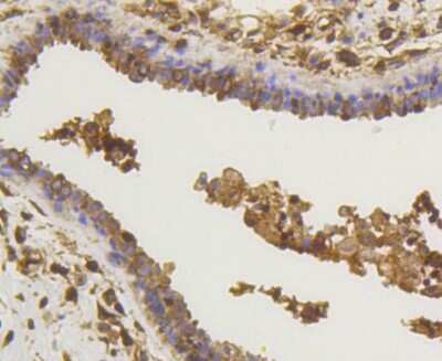
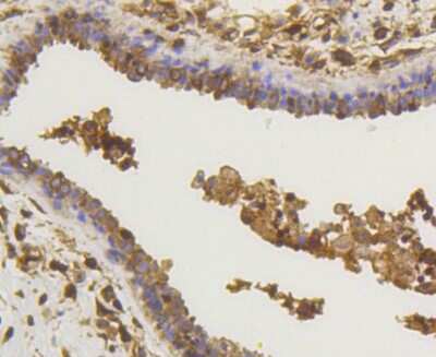
Immunohistochemistry-Paraffin: RelA/NFkB p65 NLS Antibody (SZ10-04) [NBP2-67352] - Analysis of paraffin-embedded human lung squamous cell carcinoma tissue with Rabbit anti-RelA/NFkB p65 antibody washed with ddH2O and ...read more

Product Details

Summary
Product Discontinued
View other related RelA/NFkB p65 NLS Primary Antibodies

Order Details


    • Catalog Number
      NBP2-67352
    • Availability
      Product Discontinued

    Can't find what you are looking for? Use our Antibody Concierge Service & we will help you locate your antibody!

    Or feel free to contact us for alternative products.

RelA/NFkB p65 NLS Antibody (SZ10-04) Summary

Additional Information
Recombinant Monoclonal Antibody.
Immunogen
Synthetic peptide within human RelA/NFkB p65 NLS aa 490-540. (SwissProt: Q04206 Human; SwissProt: Q04207 Mouse)
Localization
Nucleus, Cytoplasm.
Predicted Species
Zebrafish (100%). Backed by our 100% Guarantee.
Isotype
IgG
Clonality
Monoclonal
Host
Rabbit
Gene
RELA
Purity
Protein A purified
Innovator's Reward
Test in a species/application not listed above to receive a full credit towards a future purchase.

Applications/Dilutions

Dilutions
  • Flow Cytometry 1:50-1:100
  • Immunocytochemistry/ Immunofluorescence 1:50-1:200
  • Immunohistochemistry
  • Immunohistochemistry-Paraffin 1:50-1:200
  • Immunoprecipitation
  • Western Blot 1:500-1:2000
Application Notes
IP: Use at an assay dependent concentration.

Packaging, Storage & Formulations

Storage
Store at 4C short term. Aliquot and store at -20C long term. Avoid freeze-thaw cycles.
Buffer
TBS (pH7.4), 0.05% BSA, 40% Glycerol
Preservative
0.05% Sodium Azide
Concentration
1 mg/ml
Purity
Protein A purified

Alternate Names for RelA/NFkB p65 NLS Antibody (SZ10-04)

  • MGC131774
  • NFKB3v-rel avian reticuloendotheliosis viral oncogene homolog A (nuclear factor ofkappa light polypeptide gene enhancer in B-cells 3 (p65))
  • Nuclear factor NF-kappa-B p65 subunit
  • Nuclear factor of kappa light polypeptide gene enhancer in B-cells 3transcription factor p65
  • p65 NLS
  • p65 Nuclear Localization Sequence
  • p65-NLS
  • v-rel reticuloendotheliosis viral oncogene homolog A (avian)
  • v-rel reticuloendotheliosis viral oncogene homolog A, nuclear factor of kappalight polypeptide gene enhancer in B-cells 3, p65

Limitations

This product is for research use only and is not approved for use in humans or in clinical diagnosis. Primary Antibodies are guaranteed for 1 year from date of receipt.

Customers Who Viewed This Item Also Viewed...

NB100-56583
Species: Hu, Rb, Rt
Applications: Flow, IHC,  IHC-P, KO, Simple Western, WB
AF632
Species: Hu
Applications: AgAct, Simple Western, WB
NBP1-88650
Species: Hu
Applications: IHC,  IHC-P, KD, WB
NBP2-01345
Species: Hu, Mu, Rt
Applications: Flow, ICC/IF, IHC,  IHC-P, WB
M6000B
Species: Mu
Applications: ELISA
AF2699
Species: Mu
Applications: Simple Western, WB
NBP2-67471
Species: Hu, Mu, Rt
Applications: ICC/IF, IHC,  IHC-P, WB
NB100-56507
Species: Hu, Mu, Rt
Applications: CyTOF-ready, Flow, ICC/IF, IHC,  IHC-P, IP, KO, Simple Western, WB
NB300-605
Species: Hu, Mu, Po, Rt
Applications: Flow, IB, ICC/IF, IHC, IHC-Fr,  IHC-P, In vitro, WB
AF1230
Species: Hu, Mu, Rt
Applications: IHC, KO, WB
NB100-689
Species: Hu, Rt
Applications: IHC, IHC-Fr,  IHC-P, Simple Western, WB
NBP2-50037
Species: Hu, Mu, Rt
Applications: ICC/IF, IHC, KO, WB
AF3235
Species: Hu, Mu, Rt
Applications: IHC, WB
MAB208
Species: Hu
Applications: CyTOF-ready, ELISA(Cap), ELISA(Det), ELISA(Sta), ICC, ICFlow, Neut, Simple Western, WB
NBP1-87760
Species: Hu
Applications: ICC/IF, IHC,  IHC-P, KD, Simple Western, WB
NBP2-47415
Species: Hu
Applications: ICC/IF, IHC,  IHC-P, WB
AF887
Species: Hu, Mu, Rt
Applications: CyTOF-ready, IHC, ICFlow, Simple Western, WB
DYC1825-2
Species: Hu, Mu, Rt
Applications: ELISA
MAB17761
Species: Hu, Mu, Rt
Applications: ICC, WB

Publications for RelA/NFkB p65 NLS Antibody (NBP2-67352) (0)

There are no publications for RelA/NFkB p65 NLS Antibody (NBP2-67352).
By submitting your publication information earn gift cards and discounts for future purchases.

Reviews for RelA/NFkB p65 NLS Antibody (NBP2-67352) (0)

There are no reviews for RelA/NFkB p65 NLS Antibody (NBP2-67352). By submitting a review you will receive an Amazon e-Gift Card or Novus Product Discount.
  • Review with no image -- $10/€7/£6/$10 CAD/¥70 Yuan/¥1110 Yen
  • Review with an image -- $25/€18/£15/$25 CAD/¥150 Yuan/¥2500 Yen

Product General Protocols

Video Protocols

WB Video Protocol
ICC/IF Video Protocol

FAQs for RelA/NFkB p65 NLS Antibody (NBP2-67352) (0)

There are no specific FAQs related to this product. Read our general customer & technical service FAQs.

Contact Information

Product PDFs

Calculators

Concentration Calculator

The concentration calculator allows you to quickly calculate the volume, mass or concentration of your vial. Simply enter your mass, volume, or concentration values for your reagent and the calculator will determine the rest.

=
÷

Review this Product

Be the first to review our RelA/NFkB p65 NLS Antibody (SZ10-04) and receive a gift card or discount.

Bioinformatics

Gene Symbol RELA