Recombinant Human IL-1ra/IL-1F3 Protein, CF

Images

 
Recombinant Human IL-1ra/IL-1F3 (Catalog # 280-RA/CF) inhibits IL-1 alpha -dependent cell proliferation of the D10.G4.1 mouse helper T cell line. The ED50 for this effect is 5-40 ng/mL in the presence of 50 pg/mL of ...read more
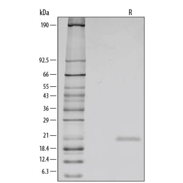
1 μg/lane of Recombinant Human IL-1ra/IL-1F3 was resolved with SDS-PAGE under reducing (R) conditions and visualized by silver staining, showing a single band at 20 kDa.

Product Details

Summary
Reactivity HuSpecies Glossary
Applications Bioactivity
Format
Carrier-Free

Order Details

View Available Formulations
Catalog# & Formulation Size Price

Recombinant Human IL-1ra/IL-1F3 Protein, CF Summary

Details of Functionality
Measured by its ability to inhibit IL-1 alpha -dependent proliferation in D10.G4.1 mouse helper T cells. Symons, J.A. et al. (1987) in Lymphokines and Interferons, a Practical Approach. Clemens, M.J. et al. (eds): IRL Press. 272. The ED50 for this effect is 5-40 ng/mL in the presence of 50 pg/mL of rhIL-1 alpha .
Source
E. coli-derived human IL-1ra/IL-1F3 protein
Accession #
Protein/Peptide Type
Recombinant Proteins
Gene
IL1RN
Purity
>97%, by SDS-PAGE under reducing conditions and visualized by silver stain
Endotoxin Note
<0.10 EU per 1 μg of the protein by the LAL method.

Applications/Dilutions

Dilutions
  • Bioactivity
Theoretical MW
17 kDa.
Disclaimer note: The observed molecular weight of the protein may vary from the listed predicted molecular weight due to post translational modifications, post translation cleavages, relative charges, and other experimental factors.
Publications
Read Publications using
280-RA/CF in the following applications:

Packaging, Storage & Formulations

Storage
Use a manual defrost freezer and avoid repeated freeze-thaw cycles.
  • 12 months from date of receipt, -20 to -70 °C as supplied.
  • 1 month, 2 to 8 °C under sterile conditions after reconstitution.
  • 3 months, -20 to -70 °C under sterile conditions after reconstitution.
Buffer
Lyophilized from a 0.2 μm filtered solution in PBS.
Purity
>97%, by SDS-PAGE under reducing conditions and visualized by silver stain
Reconstitution Instructions
Reconstitute at 100 μg/mL in sterile PBS.

Notes

This product is produced by and ships from R&D Systems, Inc., a Bio-Techne brand.

Alternate Names for Recombinant Human IL-1ra/IL-1F3 Protein, CF

  • DIRA
  • ICIL-1ra
  • IL1F3
  • IL-1F3
  • IL1ra
  • IL-1ra
  • IL-1ra3
  • IL1RN
  • IL-1RN
  • interleukin 1 receptor antagonist
  • IRAP
  • MVCD4

Background

IL-1ra was originally isolated from the urine of patients with monocytic leukemia and has also been purified from adherent monocytes. The naturally occurring, fully glycosylated form has an apparent molecular weight of about 25,000 Daltons. The protein shows 26% amino acid homology to IL-1 beta and 19% homology to IL-1 alpha . It will compete with either factor for receptor binding, but does not interact with either one. Human IL-1ra will bind to both types of IL-1 receptor (I and II) on human cells, but reportedly will not block binding to the type II receptor on murine pre-B cell lines. The recombinant, non-glycosylated form of IL-1ra blocks binding of IL-1 to its receptor equally as well as the naturally-occurring, glycosylated form. The IL-1ra has been shown to block the inflammatory responses induced by IL-1 both in vitro and in vivo. Currently, pre-clinical and clinical studies are underway to test possible therapeutic applications for IL-1ra in the treatment of sepsis, rheumatoid arthritis and chronic myelogenous leukemia.

Customers Who Viewed This Item Also Viewed...

M6000B
Species: Mu
Applications: ELISA
DY417
Species: Mu
Applications: ELISA
200-LA
Species: Hu
Applications: BA
6507-IL/CF
Species: Hu
Applications: BA
202-IL
Species: Hu
Applications: BA
MAB208
Species: Hu
Applications: CyTOF-ready, ELISA(Cap), ELISA(Det), ELISA(Sta), ICC, ICFlow, Neut, Simple Western, WB
DY1707
Species: Hu
Applications: ELISA
AF6386
Species: Hu
Applications: IP, WB
485-MI
Species: Mu
Applications: BA
DCP00
Species: Hu
Applications: ELISA
7268-CT
Species: Hu
Applications: BA
NB100-524
Species: Hu, Mu
Applications: Flow-IC, Flow, ICC/IF, IHC, IHC-Fr,  IHC-P, IP, WB
7954-GM/CF
Species: Hu
Applications: BA
7625
Species: Mu
Applications: ELISA

Publications for IL-1ra/IL-1F3/IL1RN (280-RA/CF)(55)

We have publications tested in 5 confirmed species: Human, Mouse, Rat, Bovine, N/A.

We have publications tested in 9 applications: Binding Assay, Bioassay, Cell Culture, ELISA (Control), ELISA (Standard), ELISA Standard, In Vivo, In vivo assay, Western Blot.


Filter By Application
Binding Assay
(1)
Bioassay
(43)
Cell Culture
(3)
ELISA (Control)
(1)
ELISA (Standard)
(3)
ELISA Standard
(1)
In Vivo
(2)
In vivo assay
(1)
Western Blot
(1)
All Applications
Filter By Species
Human
(40)
Mouse
(5)
Rat
(2)
Bovine
(3)
N/A
(1)
All Species
Showing Publications 1 - 10 of 55. Show All 55 Publications.
Publications using 280-RA/CF Applications Species
Fujita, D;Matsuoka, Y;Yamakita, S;Horii, Y;Ishikawa, D;Kushimoto, K;Amino, H;Amaya, F; Rapid cleavage of IL-1? in DRG neurons produces tissue injury-induced pain hypersensitivity Molecular pain 2024-09-05 [PMID: 39237258] (In vivo assay, Mouse) In vivo assay Mouse
VE Morrison, MG Houpert, JB Trapani, AA Brockman, PJ Kingsley, KA Katdare, HM Layden, G Nguena-Jon, AJ Trevisan, KA Maguire-Ze, LJ Marnett, GJ Bixa, RA Ihrie, BD Carter Jedi-1/MEGF12-mediated phagocytosis controls the pro-neurogenic properties of microglia in the ventricular-subventricular zone bioRxiv : the preprint server for biology, 2023-03-06;0(0):. 2023-03-06 [PMID: 36945622] (Bioassay, Mouse) Bioassay Mouse
MA Kolganova, EV Melnik, EN Fisher, VV Smirnov, AM Vlasov, VI Gegechkori, NA Shulga, IE Shokhin, GV Ramenskaya Affinity Capture Elution (ACE) ELISA Method Development and Validation for Novel RPH-104 Drug Immunogenicity Evaluation Biomedicines, 2022-10-29;10(11):. 2022-10-29 [PMID: 36359270] (ELISA (Control), N/A) ELISA (Control) N/A
NL Cluny, KD Nyuyki, W Almishri, L Griffin, BH Lee, SA Hirota, QJ Pittman, MG Swain, KA Sharkey Recruitment of alpha4beta7 monocytes and neutrophils to the brain in experimental colitis is associated with elevated cytokines and anxiety-like behavior Journal of Neuroinflammation, 2022-04-04;19(1):73. 2022-04-04 [PMID: 35379260] (Bioassay, Mouse) Bioassay Mouse
K Bernau, JP Leet, H Floerke, EM Bruhn, AL Noll, IS McDermott, S Esnault, NN Jarjour, N Sandbo Interleukin-1&amp;alpha Is a Critical Mediator of the Response of Human Bronchial Fibroblasts to Eosinophilic Inflammation Cells, 2021-03-02;10(3):. 2021-03-02 [PMID: 33801398] (Bioassay, Human) Bioassay Human
HC Dahl, M Kanchwala, SE Thomas-Jar, A Sandhu, P Kanumuri, AF Nawas, C Xing, C Lin, DE Frigo, NA Delk Chronic IL-1 exposure drives LNCaP cells to evolve androgen and AR independence PLoS ONE, 2020-12-16;15(12):e0242970. 2020-12-16 [PMID: 33326447] (Cell Culture, Human) Cell Culture Human
YC Fan, KD Lee, YC Tsai Roles of Interleukin-1 Receptor Antagonist in Prostate Cancer Progression Biomedicines, 2020-12-13;8(12):. 2020-12-13 [PMID: 33322099] (Cell Culture, Human) Cell Culture Human
F Namai, S Shigemori, T Ogita, T Sato, T Shimosato Microbial therapeutics for acute colitis based on genetically modified Lactococcus lactis hypersecreting IL-1Ra in mice Exp Mol Med, 2020-09-28;0(0):. 2020-09-28 [PMID: 32989233] (Bioassay, Mouse) Bioassay Mouse
IN Mohamed, N Sheibani, AB El-Remessy Deletion of Thioredoxin-Interacting Protein (TXNIP) Abrogates High Fat Diet-induced Retinal Leukostasis, Barrier Dysfunction and Microvascular Degeneration in a Mouse Obesity Model Int J Mol Sci, 2020-06-01;21(11):. 2020-06-01 [PMID: 32492941] (Bioassay, Human) Bioassay Human
Y Chen, Z Yang, B Deng, D Wu, Y Quan, Z Min Interleukin 1&amp;beta/1RA axis in colorectal cancer regulates tumor invasion, proliferation and apoptosis via autophagy Oncol. Rep., 2020-01-22;43(3):908-918. 2020-01-22 [PMID: 32020215] (Cell Culture, Human) Cell Culture Human
Show All 55 Publications.

Reviews for IL-1ra/IL-1F3/IL1RN (280-RA/CF) (0)

There are no reviews for IL-1ra/IL-1F3/IL1RN (280-RA/CF). By submitting a review you will receive an Amazon e-Gift Card or Novus Product Discount.
  • Review with no image -- $10/€7/£6/$10 CAD/¥70 Yuan/¥1110 Yen
  • Review with an image -- $25/€18/£15/$25 CAD/¥150 Yuan/¥2500 Yen

FAQs for IL-1ra/IL-1F3/IL1RN (280-RA/CF) (0)

There are no specific FAQs related to this product. Read our general customer & technical service FAQs.

Additional IL-1ra/IL-1F3/IL1RN Products

Blogs on IL-1ra/IL-1F3/IL1RN

There are no specific blogs for IL-1ra/IL-1F3/IL1RN, but you can read our latest blog posts.

Customers Who Bought This Also Bought

Contact Information

Product PDFs

Calculators

Concentration Calculator

The concentration calculator allows you to quickly calculate the volume, mass or concentration of your vial. Simply enter your mass, volume, or concentration values for your reagent and the calculator will determine the rest.

=
÷

Review this Product

Be the first to review our Recombinant Human IL-1ra/IL-1F3 Protein, CF and receive a gift card or discount.

Bioinformatics

Gene Symbol IL1RN
Uniprot