RBM3 Antibody (CL0296) - Azide and BSA Free

Images

 
Orthogonal Strategies: Analysis in human tonsil and liver tissues using NBP3-43899 antibody. Corresponding RBM3 RNA-seq data are presented for the same tissues.
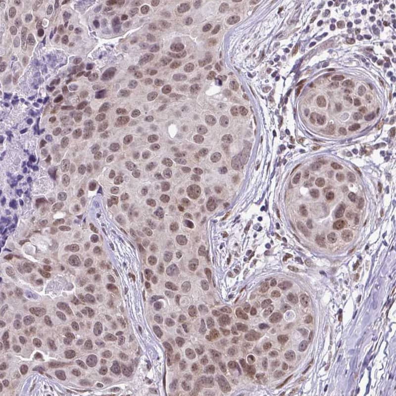
Staining of human breast cancer shows moderate nuclear positivity in tumor cells.
Lane 1: Marker [kDa]Lane 2: Human cell line RT-4
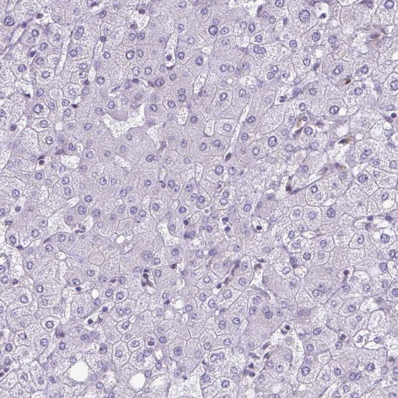
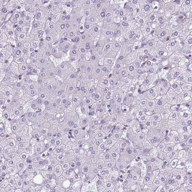
Staining of human liver shows no positivity in hepatocytes as expected.
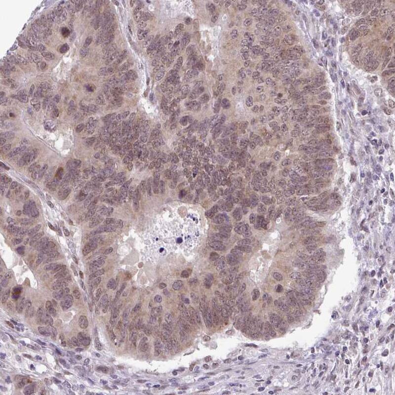
Staining of human colorectal cancer shows weak to moderate nuclear positivity in a subset of tumor cells.
Staining of human rectum shows moderate nuclear positivity in glandular cells.
Staining of human tonsil shows moderate nuclear positivity in lymphoid cells, mainly in germinal centra.
Staining of U-2 OS cells using the anti-RBM3 monoclonal antibody) .
Genetic Strategies: Analysis in U-251MG cells transfected with control siRNA, target specific siRNA probe #1 and #2, using Anti-RBM3 antibody. Remaining relative intensity is presented. Loading control: ...read more

Product Details

Summary
Reactivity HuSpecies Glossary
Applications WB, ICC/IF, IHC
Clone
CL0296
Clonality
Monoclonal
Host
Mouse
Conjugate
Unconjugated
Format
Azide and BSA Free
Concentration
LYOPH

Order Details

RBM3 Antibody (CL0296) - Azide and BSA Free Summary

Description
Novus Biologicals Mouse RBM3 Antibody (CL0296) - Azide and BSA Free (NBP2-52906) is a monoclonal antibody validated for use in IHC, WB and ICC/IF. All Novus Biologicals antibodies are covered by our 100% guarantee.
Immunogen
This antibody was generated using a recombinant protein sequence of P98179, with the exact immunogen sequence remaining proprietary.
Isotype
IgG1
Clonality
Monoclonal
Host
Mouse
Gene
RBM3
Purity
Protein A purified
Innovator's Reward
Test in a species/application not listed above to receive a full credit towards a future purchase.

Applications/Dilutions

Dilutions
  • Immunocytochemistry/ Immunofluorescence 2-10 ug/ml
  • Immunohistochemistry-Paraffin 1:500 - 1:1000
  • Western Blot 1 ug/ml
Application Notes
For IHC-Paraffin, HIER pH 6 retrieval is recommended. Immunocytochemistry/ Immunofluorescence/IF Fixation Permeabilization: Use PFA/Triton X-100.

Packaging, Storage & Formulations

Storage
Store at 4C short term. Aliquot and store at -20C long term. Avoid freeze-thaw cycles.
Buffer
Lyophilized from a 0.2 um filtered solution in PBS with Trehalose
Preservative
No Preservative
Concentration
LYOPH
Purity
Protein A purified
Reconstitution Instructions
Centrifuge the vial of lyophilized antibody at 12,000 x g for 20 seconds. Reconstitute by adding sterile, distilled water to achieve a final antibody concentration of 1mg/ml.

Alternate Names for RBM3 Antibody (CL0296) - Azide and BSA Free

  • IS1-RNPL
  • putative RNA-binding protein 3
  • RNA binding motif (RNP1, RRM) protein 3
  • RNA binding motif protein 3
  • RNA-binding motif protein 3
  • RNPL

Background

RBM3 is a member of the glycine-rich RNA-binding protein family and encodes a protein with one RNA recognition motif (RRM) domain. Expression of this gene is induced by cold shock and low oxygen tension. A pseudogene exists on chromosome 1. Multiple alternatively spliced transcript variants that are predicted to encode different isoforms have been characterized although some of these variants fit nonsense-mediated decay (NMD) criteria. [provided by RefSeq]

Limitations

This product is for research use only and is not approved for use in humans or in clinical diagnosis. Primary Antibodies are guaranteed for 1 year from date of receipt.

Customers Who Viewed This Item Also Viewed...

NBP3-38286
Species: Hu, Mu, Rt
Applications: ELISA, ICC/IF, IHC,  IHC-P, WB
DVE00
Species: Hu
Applications: ELISA
NBP3-15642
Species: Hu, Mu, Rt
Applications: ICC/IF, IHC,  IHC-P, WB
NB100-124
Species: Bv, Ma, Hu, Mu, Pm, Rt, Sh
Applications: ChIP, CHIP-SEQ, GS, IB, ICC/IF, IHC,  IHC-P, IP, WB
NB100-56098
Species: Ca, Hu, Mu, Rt
Applications: IHC,  IHC-P, IP, WB
NB100-105
Species: Bv, Ca, Fe, Ma, Hu, Pm, Mu, Po, Pm, Rb, Rt, Sh, Xp
Applications: ChIP, ChIP, ELISA, Flow, GS, IA, IB, ICC/IF, IHC-FrFl, IHC, IHC-Fr,  IHC-P, IP, In vitro, KD, KO, LA, PLA, Simple Western, TCS, WB
NB100-689
Species: Hu, Rt
Applications: IHC, IHC-Fr,  IHC-P, Simple Western, WB
NBP1-72042
Species: Hu, Mu, Rt
Applications: ICC/IF, IHC,  IHC-P, PEP-ELISA, WB
NBP1-84951
Species: Hu, Mu
Applications: ICC/IF, IHC,  IHC-P, KD, WB
NB200-103
Species: Hu, Mu, Rt, Xp(-), Ye
Applications: CyTOF-ready, ELISA, Flow-IC, Flow, ICC/IF, IHC, IHC-Fr,  IHC-P, IP, WB
NBP3-27724
Species: Hu
Applications: ICC/IF, IHC, WB
NB100-464
Species: Hu, Mu
Applications: IHC,  IHC-P, IP, WB
NBP1-88927
Species: Hu, Mu
Applications: ICC/IF, IHC,  IHC-P, WB
NBP1-28566
Species: Bv, Hu, Pm, Mu, Po, Rt
Applications: Func, IHC, IHC-Fr,  IHC-P, WB
NBP1-71691
Species: Hu, Mu
Applications: ICC/IF, IHC,  IHC-P, WB
NBP1-32887
Species: Hu
Applications: IHC,  IHC-P, WB
H00728695-B01P
Species: Hu
Applications: ICC/IF, IP, WB
NBP3-43899
Species: Hu
Applications: WB, ICC/IF, IHC

Publications for RBM3 Antibody (NBP3-43899) (0)

There are no publications for RBM3 Antibody (NBP3-43899).
By submitting your publication information earn gift cards and discounts for future purchases.

Reviews for RBM3 Antibody (NBP3-43899) (0)

There are no reviews for RBM3 Antibody (NBP3-43899). By submitting a review you will receive an Amazon e-Gift Card or Novus Product Discount.
  • Review with no image -- $10/€7/£6/$10 CAD/¥70 Yuan/¥1110 Yen
  • Review with an image -- $25/€18/£15/$25 CAD/¥150 Yuan/¥2500 Yen

Product General Protocols

Find general support by application which include: protocols, troubleshooting, illustrated assays, videos and webinars.

Video Protocols

WB Video Protocol
ICC/IF Video Protocol

FAQs for RBM3 Antibody (NBP3-43899) (0)

There are no specific FAQs related to this product. Read our general customer & technical service FAQs.

Customers Who Bought This Also Bought

Contact Information

Product PDFs

Calculators

Concentration Calculator

The concentration calculator allows you to quickly calculate the volume, mass or concentration of your vial. Simply enter your mass, volume, or concentration values for your reagent and the calculator will determine the rest.

=
÷

Review this Product

Be the first to review our RBM3 Antibody (CL0296) - Azide and BSA Free and receive a gift card or discount.

Bioinformatics

Gene Symbol RBM3