RASSF2 Antibody - BSA Free

Images

 
Western Blot: RASSF2 Antibody [NBP2-13206] - Lane 1: Marker [kDa] 250, 130, 95, 72, 55, 36, 28, 17, 10. Lane 2: Human cell line RT-4
Immunocytochemistry/ Immunofluorescence: RASSF2 Antibody [NBP2-13206] - Immunofluorescent staining of human cell line RT4 shows localization to nucleoplasm & cytosol.
Immunohistochemistry-Paraffin: RASSF2 Antibody [NBP2-13206] - Staining of human kidney shows strong cytoplasmic and membranous positivity in cells of tubules.
Analysis in human cell line NB4.
Staining of human lymph node shows strong cytoplasmic positivity in non-germinal center cells and germinal center cells.
Staining of human cerebral cortex shows moderate cytoplasmic positivity in neurons.
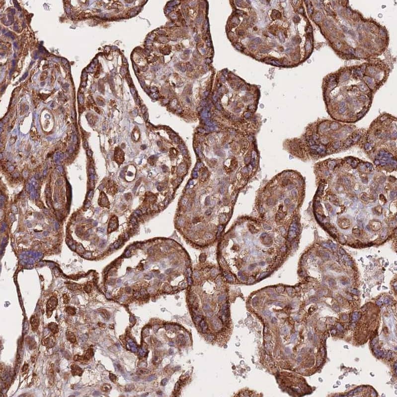
Staining of human placenta shows strong cytoplasmic-membranous positivity in trophoblastic cells.
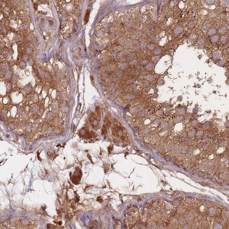
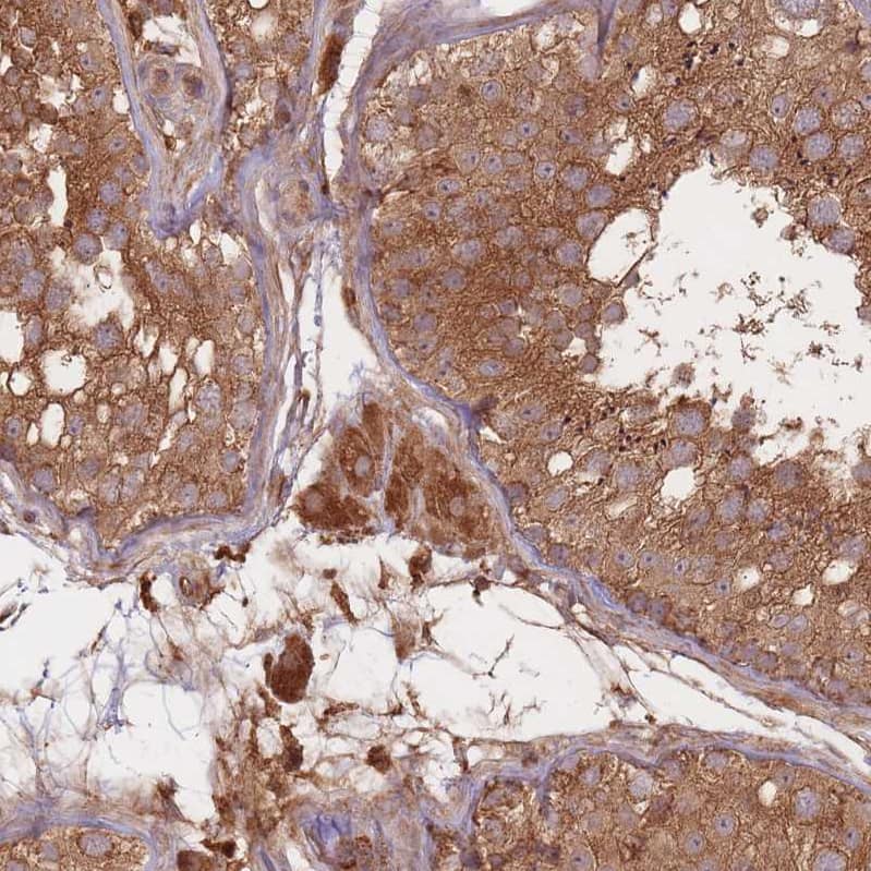
Staining of human testis shows strong cytoplasmic positivity in cells in seminiferous ducts and Leydig cells.

Product Details

Summary
Reactivity HuSpecies Glossary
Applications WB, ICC/IF, IHC
Clonality
Polyclonal
Host
Rabbit
Conjugate
Unconjugated
Format
BSA Free

Order Details

View Available Formulations
Catalog# & Formulation Size Price

RASSF2 Antibody - BSA Free Summary

Description
Novus Biologicals Rabbit RASSF2 Antibody - BSA Free (NBP2-13206) is a polyclonal antibody validated for use in IHC, WB and ICC/IF. All Novus Biologicals antibodies are covered by our 100% guarantee.
Immunogen
This antibody was developed against a recombinant protein corresponding to the amino acids: QMQDDNERIRPPPSSSSWHSGCNLGAQGTTLKPLTVPKVQISEVDAPPEGDQMPSSTDSRGLKPLQEDTPQLMRTRSDVGVRRRGNVRTPSDQRRIRRHR
Isotype
IgG
Clonality
Polyclonal
Host
Rabbit
Gene
RASSF2
Purity
Immunogen affinity purified
Innovator's Reward
Test in a species/application not listed above to receive a full credit towards a future purchase.

Applications/Dilutions

Dilutions
  • Immunocytochemistry/ Immunofluorescence 0.25-2 ug/ml
  • Immunohistochemistry 1:500 - 1:1000
  • Immunohistochemistry-Paraffin 1:500 - 1:1000
  • Western Blot 0.04-0.4 ug/ml
Application Notes
For IHC-Paraffin, HIER pH 6 retrieval is recommended. Immunocytochemistry/Immunofluorescence Fixation Permeabilization: Use PFA/Triton X-100.
Control Peptide
RASSF2 Protein (NBP2-13206PEP)

Reactivity Notes

Immunogen displays the following percentage of sequence identity for non-tested species: Mouse (88%), Rat (88%)

Packaging, Storage & Formulations

Storage
Store at 4C short term. Aliquot and store at -20C long term. Avoid freeze-thaw cycles.
Buffer
PBS (pH 7.2) and 40% Glycerol
Preservative
0.02% Sodium Azide
Purity
Immunogen affinity purified

Alternate Names for RASSF2 Antibody - BSA Free

  • KIAA0168DKFZp781O1747
  • Ras association (RalGDS/AF-6) domain family 2
  • Ras association (RalGDS/AF-6) domain family member 2
  • ras association domain-containing protein 2
  • RASFADIN
  • RASSF2

Background

The RASSF2 gene encodes a protein that contains a Ras association domain. Similar to its cattle and sheep counterparts, this gene is located near the prion gene. Two alternatively spliced transcripts encoding the same isoform have been reported. (provided by Re

Limitations

This product is for research use only and is not approved for use in humans or in clinical diagnosis. Primary Antibodies are guaranteed for 1 year from date of receipt.

Customers Who Viewed This Item Also Viewed...

NBP2-03644
Species: Hu, Mu, Rt
Applications: Flow, ICC/IF, IHC,  IHC-P, WB
NB500-248
Species: Hu, Mu, Rt
Applications: ICC/IF, IHC,  IHC-P, WB
NBP2-42864
Species: Hu, Mu, Rt
Applications: ICC/IF, IHC,  IHC-P, IP, WB
NB200-106
Species: Mu, Rt
Applications: ELISA, ICC/IF, IHC, IHC-Fr,  IHC-P, WB
NBP1-89425
Species: Hu
Applications: ICC/IF, IHC,  IHC-P, WB
NBP1-82865
Species: Hu, Mu, Rt
Applications: ICC/IF, IHC,  IHC-P, KD, WB
352-MS
Species: Hu
Applications: BA
NBP1-89249
Species: Hu
Applications: ICC/IF, IHC,  IHC-P, WB
NB100-168
Species: Hu, Mu(-)
Applications: CyTOF-ready, Flow-IC, Flow, ICC/IF, IHC,  IHC-P, Simple Western, WB
NBP2-67381
Species: Hu, Mu, Rt
Applications: Flow, ICC/IF, IHC,  IHC-P, IP, KO, WB
NBP1-80854
Species: Hu
Applications: ICC/IF, IHC,  IHC-P, WB
NBP1-47668
Species: Hu, Pm, Mu, Rt
Applications: Flow, ICC/IF, IHC,  IHC-P, IP, WB
NB100-56605
Species: Av, Bv, Sh
Applications: WB
AF4885
Species: Mu
Applications: IP, WB
NBP1-48017
Species: Ca, Hu, Pm, Mu, Rt
Applications: IHC,  IHC-P, WB
NB100-91662
Species: Hu, Mu, Rt
Applications: Flow, ICC/IF, IHC,  IHC-P, Simple Western, WB
H00003845-M01
Species: Hu, Mu
Applications: ELISA, ICC/IF, IP, WB
NBP3-21649
Species: Hu, Mu, Rt
Applications: ICC/IF, IHC, WB
NBP2-55145
Species: Hu
Applications: ICC/IF, IHC,  IHC-P
NBP2-13206
Species: Hu
Applications: WB, ICC/IF, IHC

Publications for RASSF2 Antibody (NBP2-13206) (0)

There are no publications for RASSF2 Antibody (NBP2-13206).
By submitting your publication information earn gift cards and discounts for future purchases.

Reviews for RASSF2 Antibody (NBP2-13206) (0)

There are no reviews for RASSF2 Antibody (NBP2-13206). By submitting a review you will receive an Amazon e-Gift Card or Novus Product Discount.
  • Review with no image -- $10/€7/£6/$10 CAD/¥70 Yuan/¥1110 Yen
  • Review with an image -- $25/€18/£15/$25 CAD/¥150 Yuan/¥2500 Yen

Product General Protocols

Find general support by application which include: protocols, troubleshooting, illustrated assays, videos and webinars.

Video Protocols

WB Video Protocol
ICC/IF Video Protocol

FAQs for RASSF2 Antibody (NBP2-13206) (0)

There are no specific FAQs related to this product. Read our general customer & technical service FAQs.

Secondary Antibodies

 

Isotype Controls

Additional RASSF2 Products

Research Areas for RASSF2 Antibody (NBP2-13206)

Find related products by research area.

Blogs on RASSF2

There are no specific blogs for RASSF2, but you can read our latest blog posts.

Customers Who Bought This Also Bought

Contact Information

Product PDFs

Calculators

Concentration Calculator

The concentration calculator allows you to quickly calculate the volume, mass or concentration of your vial. Simply enter your mass, volume, or concentration values for your reagent and the calculator will determine the rest.

=
÷

Review this Product

Be the first to review our RASSF2 Antibody - BSA Free and receive a gift card or discount.

Bioinformatics

Gene Symbol RASSF2