RASL11B Antibody - BSA Free

Images

 
Immunocytochemistry/ Immunofluorescence: RASL11B Antibody [NBP2-31695] - Staining of human cell line CACO-2 shows localization to nuclear bodies. Antibody staining is shown in green.
Immunohistochemistry-Paraffin: RASL11B Antibody [NBP2-31695] - Staining of human kidney shows strong cytoplasmic positivity in cells in tubules.
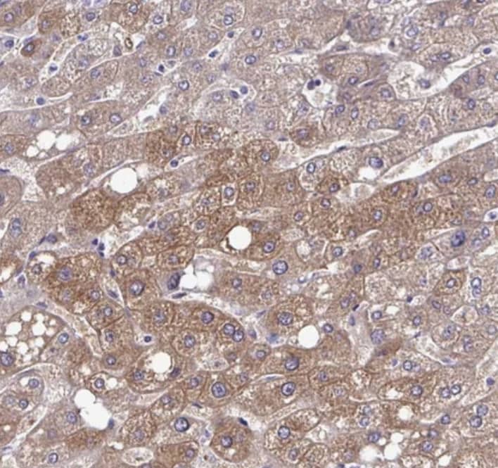
Staining of human liver shows weak cytoplasmic positivity in hepatocytes.
Staining of human testis shows weak cytoplasmic positivity in subset of cells in seminiferous ducts.
Staining of human skeletal muscle shows no positivity in myocytes as expected.

Product Details

Summary
Reactivity Hu, Mu, RtSpecies Glossary
Applications ICC/IF, IHC
Clonality
Polyclonal
Host
Rabbit
Conjugate
Unconjugated
Format
BSA Free

Order Details

View Available Formulations
Catalog# & Formulation Size Price

RASL11B Antibody - BSA Free Summary

Description
Novus Biologicals Rabbit RASL11B Antibody - BSA Free (NBP2-31695) is a polyclonal antibody validated for use in IHC and ICC/IF. All Novus Biologicals antibodies are covered by our 100% guarantee.
Immunogen
This antibody was developed against a recombinant protein corresponding to amino acids: YERNAGNLYTRQVQIEGETLALQVQDTPGIQVHENSLSCSEQLNRCIRWADAVVIVFSITDYKSYELISQ
Predicted Species
Mouse (93%), Rat (93%). Backed by our 100% Guarantee.
Isotype
IgG
Clonality
Polyclonal
Host
Rabbit
Gene
RASL11B
Purity
Immunogen affinity purified
Innovator's Reward
Test in a species/application not listed above to receive a full credit towards a future purchase.

Applications/Dilutions

Dilutions
  • Immunocytochemistry/ Immunofluorescence 0.25-2 ug/ml
  • Immunohistochemistry 1:200 - 1:500
  • Immunohistochemistry-Paraffin 1:200 - 1:500
Application Notes
For IHC-Paraffin, HIER pH 6 retrieval is recommended. ICC/IF, Fixation Permeabilization: Use PFA/Triton X-100.
Control Peptide
RASL11B Protein (NBP2-31695PEP)

Packaging, Storage & Formulations

Storage
Store at 4C short term. Aliquot and store at -20C long term. Avoid freeze-thaw cycles.
Buffer
PBS (pH 7.2) and 40% Glycerol
Preservative
0.02% Sodium Azide
Purity
Immunogen affinity purified

Alternate Names for RASL11B Antibody - BSA Free

  • MGC2827
  • MGC4499
  • ras-like protein family member 11B
  • RAS-like, family 11, member B

Background

RASL11B (RAS-Like, Family 11, Member B) belongs to the small GTPase protein family and may have a role in TGF-beta1-mediated developmental processes. RASL11B is known to have interactions with EWSR1 and has been studied in relation to prostatitis.

Limitations

This product is for research use only and is not approved for use in humans or in clinical diagnosis. Primary Antibodies are guaranteed for 1 year from date of receipt.

Customers Who Viewed This Item Also Viewed...

NBP1-32719
Species: Hu
Applications: ICC/IF, WB
NBP1-80518
Species: Hu
Applications: WB
NBP1-81925
Species: Hu
Applications: ICC/IF, IHC,  IHC-P
AF1062
Species: Mu
Applications: Flow, IHC, Neut, WB
NBP2-30368
Species: Hu
Applications: IHC,  IHC-P, WB
NB400-144
Species: Av, Bv, Hu, Mu, Po, Pm, Rb, Rt
Applications: ICC/IF, IHC, IHC-Fr,  IHC-P, WB
H00010265-M06
Species: Hu, Mu
Applications: ELISA, ICC/IF, WB
NBP1-85064
Species: Hu
Applications: ICC/IF, IHC,  IHC-P, WB
7754-BH/CF
Species: Hu
Applications: BA
AF1356
Species: Hu, Mu
Applications: CyTOF-ready, Dual ISH-IHC, Flow, IHC, Simple Western, WB
AF3797
Species: Hu, Mu
Applications: ChIP, ICC, IHC, Simple Western, WB
NBP1-82545
Species: Hu, Mu
Applications: ICC/IF, IHC,  IHC-P, KD, WB
NB600-232
Species: Hu, Mu
Applications: ChIP, IHC,  IHC-P, IP, WB
MAB8570
Species: Hu
Applications: CyTOF-ready, Flow
6835-IL
Species: Hu
Applications: BA
DPSG10
Species: Hu
Applications: ELISA
NBP2-31695
Species: Hu, Mu, Rt
Applications: ICC/IF, IHC

Publications for RASL11B Antibody (NBP2-31695) (0)

There are no publications for RASL11B Antibody (NBP2-31695).
By submitting your publication information earn gift cards and discounts for future purchases.

Reviews for RASL11B Antibody (NBP2-31695) (0)

There are no reviews for RASL11B Antibody (NBP2-31695). By submitting a review you will receive an Amazon e-Gift Card or Novus Product Discount.
  • Review with no image -- $10/€7/£6/$10 CAD/¥70 Yuan/¥1110 Yen
  • Review with an image -- $25/€18/£15/$25 CAD/¥150 Yuan/¥2500 Yen

Product General Protocols

Find general support by application which include: protocols, troubleshooting, illustrated assays, videos and webinars.

Video Protocols

ICC/IF Video Protocol

FAQs for RASL11B Antibody (NBP2-31695) (0)

There are no specific FAQs related to this product. Read our general customer & technical service FAQs.

Secondary Antibodies

 

Isotype Controls

Additional RASL11B Products

Research Areas for RASL11B Antibody (NBP2-31695)

Find related products by research area.

Blogs on RASL11B

There are no specific blogs for RASL11B, but you can read our latest blog posts.

Customers Who Bought This Also Bought

Contact Information

Product PDFs

Calculators

Concentration Calculator

The concentration calculator allows you to quickly calculate the volume, mass or concentration of your vial. Simply enter your mass, volume, or concentration values for your reagent and the calculator will determine the rest.

=
÷

Review this Product

Be the first to review our RASL11B Antibody - BSA Free and receive a gift card or discount.

Bioinformatics

Gene Symbol RASL11B
Uniprot