PSMA1 Antibody (JU66-24)

Images

 
Western Blot: PSMA1 Antibody (JU66-24) [NBP2-75633] - Analysis of PSMA1 on different lysates using anti-PSMA1 antibody at 1/500 dilution.Positive control:Lane 1: PC-12 Lane 2: Mouse spleen tissueLane 3: Rat spleen ...read more
Immunocytochemistry/ Immunofluorescence: PSMA1 Antibody (JU66-24) [NBP2-75633] - Staining PSMA1 in MCF-7 cells (green). The nuclear counter stain is DAPI (blue). Cells were fixed in paraformaldehyde, permeabilised with ...read more
Immunohistochemistry-Paraffin: PSMA1 Antibody (JU66-24) [NBP2-75633] - Analysis of paraffin-embedded rat testis tissue using anti-PSMA1 antibody. Counter stained with hematoxylin.
Flow Cytometry: PSMA1 Antibody (JU66-24) [NBP2-75633] - Analysis of HepG2 cells with PSMA1 antibody at 1/100 dilution (red) compared with an unlabelled control (cells without incubation with primary antibody; black). ...read more
Western Blot: PSMA1 Antibody (JU66-24) [NBP2-75633] - Analysis of PSMA1 on different cell lysates using anti-PSMA1 antibody at 1/500 dilution.Positive control:Lane 1: Jurkat Lane 2: HelaLane 3: HepG2 Lane 4: 293
Immunocytochemistry/ Immunofluorescence: PSMA1 Antibody (JU66-24) [NBP2-75633] - Staining PSMA1 in HepG2 cells (green). The nuclear counter stain is DAPI (blue). Cells were fixed in paraformaldehyde, permeabilised with ...read more
Immunocytochemistry/ Immunofluorescence: PSMA1 Antibody (JU66-24) [NBP2-75633] - Staining PSMA1 in PC-3M cells (green). The nuclear counter stain is DAPI (blue). Cells were fixed in paraformaldehyde, permeabilised with ...read more
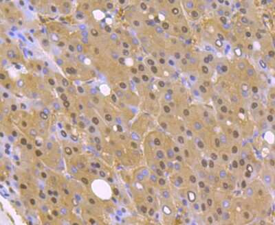
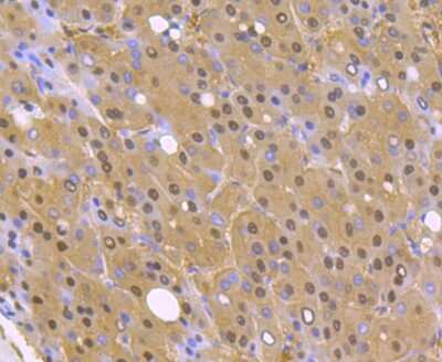
Immunohistochemistry-Paraffin: PSMA1 Antibody (JU66-24) [NBP2-75633] - Analysis of paraffin-embedded human liver cancer tissue using anti-PSMA1 antibody. Counter stained with hematoxylin.
Immunohistochemistry-Paraffin: PSMA1 Antibody (JU66-24) [NBP2-75633] - Analysis of paraffin-embedded human pancreas tissue using anti-PSMA1 antibody. Counter stained with hematoxylin.
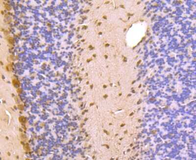
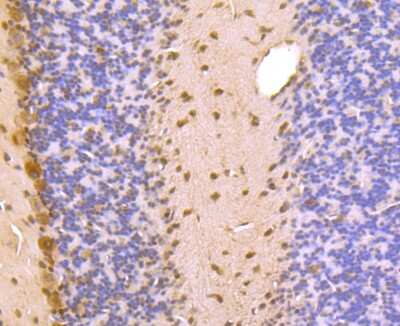
Immunohistochemistry-Paraffin: PSMA1 Antibody (JU66-24) [NBP2-75633] - Analysis of paraffin-embedded mouse cerebellum tissue using anti-PSMA1 antibody. Counter stained with hematoxylin.

Product Details

Summary
Product Discontinued
View other related PSMA1 Primary Antibodies

Order Details


    • Catalog Number
      NBP2-75633
    • Availability
      Product Discontinued

    Can't find what you are looking for? Use our Antibody Concierge Service & we will help you locate your antibody!

    Or feel free to contact us for alternative products.

PSMA1 Antibody (JU66-24) Summary

Additional Information
Recombinant Monoclonal Antibody.
Immunogen
Synthetic peptide within Human PSMA1 aa 214-263 / 263. (SwissProt: P25786 Human; SwissProt: Q9R1P4 Mouse; SwissProt: P18420 Rat)
Localization
Nucleus, Cytoplasm.
Isotype
IgG
Clonality
Monoclonal
Host
Rabbit
Gene
PSMA1
Purity
Protein A purified
Innovator's Reward
Test in a species/application not listed above to receive a full credit towards a future purchase.

Applications/Dilutions

Dilutions
  • Flow Cytometry 1:50-1:100
  • Immunocytochemistry/ Immunofluorescence 1:100-1:500
  • Immunohistochemistry
  • Immunohistochemistry-Paraffin 1:50-1:200
  • Immunoprecipitation
  • Western Blot 1:500-1:2000
Application Notes
IP: Use at an assay dependent concentration.
Theoretical MW
30 kDa.
Disclaimer note: The observed molecular weight of the protein may vary from the listed predicted molecular weight due to post translational modifications, post translation cleavages, relative charges, and other experimental factors.

Packaging, Storage & Formulations

Storage
Store at 4C short term. Aliquot and store at -20C long term. Avoid freeze-thaw cycles.
Buffer
TBS (pH7.4), 0.05% BSA, 40% Glycerol
Preservative
0.05% Sodium Azide
Concentration
1 mg/ml
Purity
Protein A purified

Alternate Names for PSMA1 Antibody (JU66-24)

  • HC2;HEL-S-275;NU;PROS30;Proteasome subunit alpha type;Proteasome subunit alpha type-1
  • Macropain Subunit C2
  • P30-33K
  • PROS30
  • Proteasome Component C2
  • Proteasome nu Chain
  • PSC2
  • PSMA1

Limitations

This product is for research use only and is not approved for use in humans or in clinical diagnosis. Primary Antibodies are guaranteed for 1 year from date of receipt.

Customers Who Viewed This Item Also Viewed...

202-IL
Species: Hu
Applications: BA
DVE00
Species: Hu
Applications: ELISA
NBP3-04411
Species: Hu, Mu, Rt
Applications: IHC,  IHC-P, WB
NBP2-24614
Species: Hu, Mu, Ma-Op, Pm, Rt
Applications: WB
NBP2-24763
Species: Hu, Pm
Applications: IHC,  IHC-P, WB
NBP1-87345
Species: Hu
Applications: ICC/IF, IHC,  IHC-P
NBP1-87343
Species: Hu, Rt
Applications: IHC,  IHC-P, WB
NBP2-48909
Species: Hu, Mu
Applications: ICC/IF, IHC,  IHC-P, KO
NBP3-20223
Species: Hu
Applications: ICC/IF, IP, WB
NBP1-19371
Species: Ca, Hu, Mu, Po, Rb, Rt
Applications: Dual ISH-IHC, Flow, ICC/IF, IHC, IHC-Fr,  IHC-P, Simple Western, WB
AF231
Species: Hu
Applications: CyTOF-ready, Dual ISH-IHC, ELISA(Cap), ELISA(Det), ELISA(Sta), Flow, ICC, IHC, IP, Simple Western, WB
AF2905
Species: Hu
Applications: ELISA, ICC, WB
NB200-106
Species: Mu, Rt
Applications: ELISA, ICC/IF, IHC, IHC-Fr,  IHC-P, WB
NBP1-87511
Species: Hu
Applications: ICC/IF, IHC,  IHC-P, WB
NBP1-49045
Species: Mu, Rt
Applications: Cell Depl, CyTOF-ready, Flow, ICC/IF, IHC, IHC-Fr,  IHC-P, IP, InhibTFunc
NB120-10109
Species: Hu
Applications: CyTOF-ready, IHC,  IHC-P, S-ELISA, WB

Publications for PSMA1 Antibody (NBP2-75633) (0)

There are no publications for PSMA1 Antibody (NBP2-75633).
By submitting your publication information earn gift cards and discounts for future purchases.

Reviews for PSMA1 Antibody (NBP2-75633) (0)

There are no reviews for PSMA1 Antibody (NBP2-75633). By submitting a review you will receive an Amazon e-Gift Card or Novus Product Discount.
  • Review with no image -- $10/€7/£6/$10 CAD/¥70 Yuan/¥1110 Yen
  • Review with an image -- $25/€18/£15/$25 CAD/¥150 Yuan/¥2500 Yen

Product General Protocols

Video Protocols

WB Video Protocol
ICC/IF Video Protocol

FAQs for PSMA1 Antibody (NBP2-75633) (0)

There are no specific FAQs related to this product. Read our general customer & technical service FAQs.

Secondary Antibodies

 

Isotype Controls

Additional PSMA1 Products

Research Areas for PSMA1 Antibody (NBP2-75633)

Find related products by research area.

Blogs on PSMA1

There are no specific blogs for PSMA1, but you can read our latest blog posts.

Contact Information

Product PDFs

Calculators

Concentration Calculator

The concentration calculator allows you to quickly calculate the volume, mass or concentration of your vial. Simply enter your mass, volume, or concentration values for your reagent and the calculator will determine the rest.

=
÷

Review this Product

Be the first to review our PSMA1 Antibody (JU66-24) and receive a gift card or discount.

Bioinformatics

Gene Symbol PSMA1