PRP19 Antibody (SC06-53)

Images

 
Western Blot: PRP19 Antibody (SC06-53) [NBP2-67597] - Analysis of PRP19 on Jurkat cells lysates using anti-PRP19 antibody at 1/1,000 dilution.
Immunocytochemistry/ Immunofluorescence: PRP19 Antibody (SC06-53) [NBP2-67597] - Staining PRP19 in B16-F1 cells (green). The nuclear counter stain is DAPI (blue). Cells were fixed in paraformaldehyde, permeabilised with ...read more
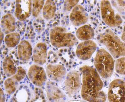
Immunohistochemistry-Paraffin: PRP19 Antibody (SC06-53) [NBP2-67597] - Analysis of paraffin-embedded mouse kidney tissue using anti-PRP19 antibody. Counter stained with hematoxylin.
Flow Cytometry: PRP19 Antibody (SC06-53) [NBP2-67597] - Analysis of Hela cells with PRP19 antibody at 1/50 dilution (red) compared with an unlabelled control (cells without incubation with primary antibody; black). ...read more
Immunocytochemistry/ Immunofluorescence: PRP19 Antibody (SC06-53) [NBP2-67597] - Staining PRP19 in Hela cells (green). The nuclear counter stain is DAPI (blue). Cells were fixed in paraformaldehyde, permeabilised with ...read more
Immunocytochemistry/ Immunofluorescence: PRP19 Antibody (SC06-53) [NBP2-67597] - Staining PRP19 in MCF-7 cells (green). The nuclear counter stain is DAPI (blue). Cells were fixed in paraformaldehyde, permeabilised with ...read more
Immunohistochemistry-Paraffin: PRP19 Antibody (SC06-53) [NBP2-67597] - Analysis of paraffin-embedded human breast carcinoma tissue using anti-PRP19 antibody. Counter stained with hematoxylin.
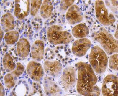
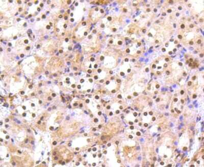
Immunohistochemistry-Paraffin: PRP19 Antibody (SC06-53) [NBP2-67597] - Analysis of paraffin-embedded human kidney tissue using anti-PRP19 antibody. Counter stained with hematoxylin.
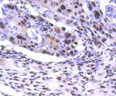
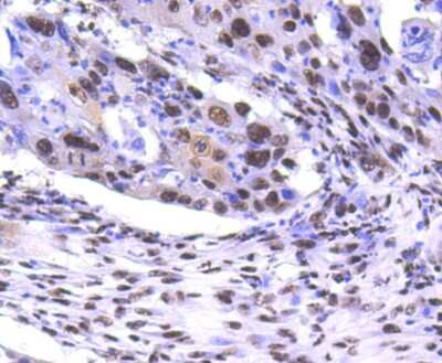
Immunohistochemistry-Paraffin: PRP19 Antibody (SC06-53) [NBP2-67597] - Analysis of paraffin-embedded human lung cancer tissue using anti-PRP19 antibody. Counter stained with hematoxylin.
Immunohistochemistry-Paraffin: PRP19 Antibody (SC06-53) [NBP2-67597] - Analysis of paraffin-embedded mouse brain tissue using anti-PRP19 antibody. Counter stained with hematoxylin.

Product Details

Summary
Product Discontinued
View other related PRP19 Primary Antibodies

Order Details


    • Catalog Number
      NBP2-67597
    • Availability
      Product Discontinued

    Can't find what you are looking for? Use our Antibody Concierge Service & we will help you locate your antibody!

    Or feel free to contact us for alternative products.

PRP19 Antibody (SC06-53) Summary

Additional Information
Recombinant Monoclonal Antibody.
Immunogen
recombinant protein within Human PRP19 aa 380-524 / 504. (SwissProt: Q9UMS4 Human; SwissProt: Q99KP6 Mouse; SwissProt: Q9JMJ4 Rat)
Localization
Nucleus, Cytoplasm, Lipid droplet.
Isotype
IgG
Clonality
Monoclonal
Host
Rabbit
Gene
PRPF19
Purity
Protein A purified
Innovator's Reward
Test in a species/application not listed above to receive a full credit towards a future purchase.

Applications/Dilutions

Dilutions
  • Flow Cytometry 1:50-1:100
  • Immunocytochemistry/ Immunofluorescence 1:50-1:200
  • Immunohistochemistry
  • Immunohistochemistry-Paraffin 1:50-1:200
  • Western Blot 1:1000-1:2000

Packaging, Storage & Formulations

Storage
Store at 4C short term. Aliquot and store at -20C long term. Avoid freeze-thaw cycles.
Buffer
TBS (pH7.4), 0.05% BSA, 40% Glycerol
Preservative
0.05% Sodium Azide
Concentration
1 mg/ml
Purity
Protein A purified

Alternate Names for PRP19 Antibody (SC06-53)

  • hPSO4
  • NMP200SNEV
  • Nuclear matrix protein 200
  • nuclear matrix protein NMP200 related to splicing factor PRP19
  • pre-mRNA-processing factor 19
  • PRP19/PSO4 pre-mRNA processing factor 19 homolog (S. cerevisiae)
  • PRP19PRP19/PSO4 homolog (S. cerevisiae)
  • PSO4PRP19/PSO4 homolog
  • Senescence evasion factor
  • UBOX4

Background

In S. cerevisiae, Pso4 has pleiotropic functions in DNA recombination and in error-prone nonhomologous end-joining DNA repair.[supplied by OMIM]

Limitations

This product is for research use only and is not approved for use in humans or in clinical diagnosis. Primary Antibodies are guaranteed for 1 year from date of receipt.

Customers Who Viewed This Item Also Viewed...

NBP1-85720
Species: Hu
Applications: ICC/IF, IHC,  IHC-P, WB
NB100-1142
Species: Hu
Applications: PEP-ELISA, WB
NBP1-06556
Species: Hu, Mu
Applications: ICC/IF, IHC,  IHC-P, IP, WB
NBP1-31302
Species: Hu, Mu, Rt
Applications: ICC/IF, IHC,  IHC-P, KO, WB
NBP1-89150
Species: Hu
Applications: IHC,  IHC-P, WB
NBP1-89663
Species: Hu
Applications: ICC/IF, IHC,  IHC-P
NBP2-13920
Species: Hu
Applications: ICC/IF, IHC,  IHC-P
H00011026-M01
Species: Hu
Applications: ELISA, WB
NBP1-88523
Species: Hu, Mu, Rt
Applications: ICC/IF, IHC,  IHC-P, WB
NB110-40681
Species: Hu, Mu
Applications: IHC,  IHC-P, IP, WB
NBP2-29463
Species: Pm, Hu, Pm, Mu
Applications: Flow, ICC/IF, IHC,  IHC-P, WB
NBP2-31368
Species: Hu
Applications: ICC/IF, IHC,  IHC-P, WB
NBP3-16440
Species: Hu, Mu, Rt
Applications: ELISA, ICC/IF, IHC,  IHC-P, WB
NBP1-85379
Species: Hu
Applications: ICC/IF, IHC,  IHC-P
NBP3-38160
Species: Hu, Mu, Rt
Applications: ELISA, ICC/IF, IHC,  IHC-P, IP, WB
NBP1-80876
Species: Hu
Applications: IHC,  IHC-P, WB
NB100-471
Species: Hu
Applications: ChIP, ICC/IF, IHC, IP, Simple Western, WB
NBP3-15920
Species: Hu, Mu, Rt
Applications: IHC,  IHC-P, WB
H00005980-Q01
Species: Hu
Applications: ELISA, AP, PA, WB
NBP1-85269
Species: Hu, Mu, Rt
Applications: ICC/IF, IHC,  IHC-P, WB

Publications for PRP19 Antibody (NBP2-67597) (0)

There are no publications for PRP19 Antibody (NBP2-67597).
By submitting your publication information earn gift cards and discounts for future purchases.

Reviews for PRP19 Antibody (NBP2-67597) (0)

There are no reviews for PRP19 Antibody (NBP2-67597). By submitting a review you will receive an Amazon e-Gift Card or Novus Product Discount.
  • Review with no image -- $10/€7/£6/$10 CAD/¥70 Yuan/¥1110 Yen
  • Review with an image -- $25/€18/£15/$25 CAD/¥150 Yuan/¥2500 Yen

Product General Protocols

Find general support by application which include: protocols, troubleshooting, illustrated assays, videos and webinars.

Video Protocols

WB Video Protocol
ICC/IF Video Protocol

FAQs for PRP19 Antibody (NBP2-67597) (0)

There are no specific FAQs related to this product. Read our general customer & technical service FAQs.

Secondary Antibodies

 

Isotype Controls

Additional PRP19 Products

Research Areas for PRP19 Antibody (NBP2-67597)

Find related products by research area.

Blogs on PRP19

There are no specific blogs for PRP19, but you can read our latest blog posts.

Contact Information

Product PDFs

Calculators

Concentration Calculator

The concentration calculator allows you to quickly calculate the volume, mass or concentration of your vial. Simply enter your mass, volume, or concentration values for your reagent and the calculator will determine the rest.

=
÷

Review this Product

Be the first to review our PRP19 Antibody (SC06-53) and receive a gift card or discount.

Bioinformatics

Gene Symbol PRPF19