Prolactin R Antibody (PRLR/742) - Azide and BSA Free

Images

 
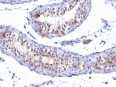
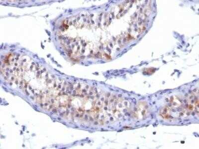
Immunohistochemistry-Paraffin: Prolactin R Antibody (PRLR/742) - Azide and BSA Free [NBP2-34712] - Formalin-fixed, paraffin-embedded human Testicular Carcinoma stained with Prolactin Receptor Monoclonal Antibody ...read more

Product Details

Summary
Reactivity HuSpecies Glossary
Applications IHC
Clone
PRLR/742
Clonality
Monoclonal
Host
Mouse
Conjugate
Unconjugated
Format
Azide and BSA Free
Concentration
1.0 mg/ml

Order Details

Prolactin R Antibody (PRLR/742) - Azide and BSA Free Summary

Description
1.0 mg/ml of antibody purified from Bioreactor Concentrate by Protein A/G. Prepared in 10mM PBS WITHOUT BSA. Also available at 200 ug/ml WITH BSA & azide (NBP2-32899).

Antibody with azide - store at 2 to 8C.
Immunogen
Recombinant human Prolactin R (Uniprot: P16471)
Localization
Cell surface and cytoplasmic
Isotype
IgG1 Kappa
Clonality
Monoclonal
Host
Mouse
Gene
PRLR
Purity
Protein A or G purified
Innovator's Reward
Test in a species/application not listed above to receive a full credit towards a future purchase.

Applications/Dilutions

Dilutions
  • Immunohistochemistry
  • Immunohistochemistry-Paraffin
Application Notes
Immunohistochemistry (Formalin-fixed): 1-2ug/ml for 30 minutes at RT. Staining of formalin-fixed tissues requires heating tissue sections in 10mM Tris with 1mM EDTA, pH 9.0, for 45 min at 95C followed by cooling at RT for 20 minutes. Optimal dilution for a specific application should be determined.
Theoretical MW
70 kDa.
Disclaimer note: The observed molecular weight of the protein may vary from the listed predicted molecular weight due to post translational modifications, post translation cleavages, relative charges, and other experimental factors.

Packaging, Storage & Formulations

Storage
Store at -20 to -80C. Avoid freeze-thaw cycles.
Buffer
10 mM PBS
Preservative
No Preservative
Concentration
1.0 mg/ml
Purity
Protein A or G purified

Alternate Names for Prolactin R Antibody (PRLR/742) - Azide and BSA Free

  • delta 4-delta 7/11 truncated prolactin receptor
  • delta 4-SF1b truncated prolactin receptor
  • hPRL receptor
  • hPRLrI
  • PRLR
  • PRL-R
  • Prolactin R
  • prolactin receptor delta 7/11
  • prolactin receptor
  • ProlactinR
  • secreted prolactin binding protein

Background

Prolactin (PRL) is a hormone involved in a variety of important functions including ion transport and osmoregulation, stimulation of milk, protein synthesis as well as the regulation of numerous reproductive functions. PRL exerts its influence on different cell types through a signal transduction pathway which begins with the binding of the hormone to a transmembrane PRL receptor. Immunoreactive PRL receptor, a member of the cytokine receptor family, varies in size (short and long forms) with tissue source and species, from ~40 kDa to 100 kDa. The PRL receptor consists of at least three separate domains: an extracellular region with 5 cysteines which contains the prolactin binding site, a single transmembrane domain and a cytoplasmic region, the length of which appears to influence ligand binding and regulate cellular function.

Limitations

This product is for research use only and is not approved for use in humans or in clinical diagnosis. Primary Antibodies are guaranteed for 1 year from date of receipt.

Customers Who Viewed This Item Also Viewed...

AF1445
Species: Mu, Rt
Applications: ELISA(Cap), ELISA(Det), ELISA(Sta), IHC, Neut, Simple Western, WB
H00005087-M01
Species: Hu, Pm, Mu
Applications: ChIP, ELISA, ICC/IF, IHC,  IHC-P, IP, S-ELISA, WB
NBP2-67429
Species: Hu, Mu, Rt
Applications: ICC/IF, IHC,  IHC-P, IP, WB
AF2168
Species: Hu, Mu
Applications: ChIP, Simple Western, WB
AF1360
Species: Mu
Applications: IHC, WB
AF1584
Species: Hu, Mu
Applications: CyTOF-ready, ICC, IP, ICFlow, KO, Simple Western, WB
AF1067
Species: Hu, Mu, Rt
Applications: ELISA, IHC, Neut, WB
AF1067
Species: Hu, Mu, Rt
Applications: ELISA, IHC, Neut, WB
NBP1-90927
Species: Hu
Applications: IHC,  IHC-P, WB
NBP2-46376
Species: Hu
Applications: IHC,  IHC-P, WB
NBP2-16019
Species: Hu
Applications: IHC,  IHC-P, WB
291-G1
Species: Hu
Applications: BA
NBP1-88188
Species: Hu
Applications: IHC,  IHC-P
AF5415
Species: Hu
Applications: ICC, IHC, Simple Western, WB
NB300-560
Species: Av, Bv, Ma, Hu, Mu, Pm, Rt
Applications: IF, IHC, IHC-Fr,  IHC-P, WB
AF3194
Species: Hu
Applications: ICC, Simple Western, WB
MAB1417
Species: Bv, Hu, Mu
Applications: ICC, IHC
NB100-781
Species: Hu, Mu
Applications: Flow, ICC/IF, IHC,  IHC-P, PEP-ELISA
AF1230
Species: Hu, Mu, Rt
Applications: IHC, KO, WB
NBP2-34712
Species: Hu
Applications: IHC

Publications for Prolactin R Antibody (NBP2-34712) (0)

There are no publications for Prolactin R Antibody (NBP2-34712).
By submitting your publication information earn gift cards and discounts for future purchases.

Reviews for Prolactin R Antibody (NBP2-34712) (0)

There are no reviews for Prolactin R Antibody (NBP2-34712). By submitting a review you will receive an Amazon e-Gift Card or Novus Product Discount.
  • Review with no image -- $10/€7/£6/$10 CAD/¥70 Yuan/¥1110 Yen
  • Review with an image -- $25/€18/£15/$25 CAD/¥150 Yuan/¥2500 Yen

Product General Protocols

Find general support by application which include: protocols, troubleshooting, illustrated assays, videos and webinars.

FAQs for Prolactin R Antibody (NBP2-34712) (0)

There are no specific FAQs related to this product. Read our general customer & technical service FAQs.

Secondary Antibodies

 

Isotype Controls

Additional Prolactin R Products

Research Areas for Prolactin R Antibody (NBP2-34712)

Find related products by research area.

Blogs on Prolactin R

There are no specific blogs for Prolactin R, but you can read our latest blog posts.

Customers Who Bought This Also Bought

Contact Information

Product PDFs

Calculators

Concentration Calculator

The concentration calculator allows you to quickly calculate the volume, mass or concentration of your vial. Simply enter your mass, volume, or concentration values for your reagent and the calculator will determine the rest.

=
÷

Review this Product

Be the first to review our Prolactin R Antibody (PRLR/742) - Azide and BSA Free and receive a gift card or discount.

Bioinformatics

Gene Symbol PRLR