PRDM6 Antibody - BSA Free

Images

 
Immunohistochemistry-Paraffin: PRDM6 Antibody [NBP1-91022] - Staining of human cerebral cortex shows strong nucleus-nucleus membranous positivity in neurons.
Immunohistochemistry-Paraffin: PRDM6 Antibody [NBP1-91022] - Staining of human cerebellum shows strong nucleus-nucleus membranous positivity in molecular layer.
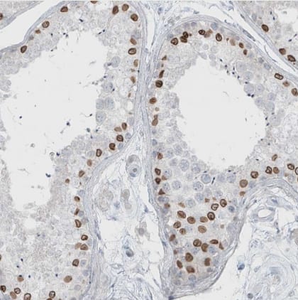
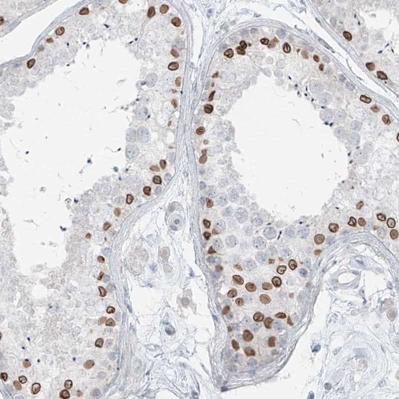
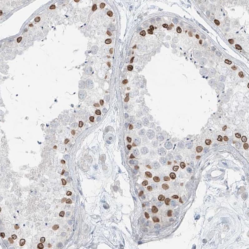
Immunohistochemistry-Paraffin: PRDM6 Antibody [NBP1-91022] -Staining of human testis shows strong nucleus-nucleus membranous positivity in subset of cells in seminiferous ducts.
Immunohistochemistry-Paraffin: PRDM6 Antibody [NBP1-91022] -Staining of human liver shows no positivity in hepatocytes as expected.
Staining of human liver shows no positivity in hepatocytes as expected.
Staining of human testis shows strong nucleus-nucleus membranous positivity in subset of cells in seminiferous ducts.
Staining of human cerebellum shows strong nucleus-nucleus membranous positivity in molecular layer.

Product Details

Summary
Reactivity Hu, Mu, RtSpecies Glossary
Applications IHC
Clonality
Polyclonal
Host
Rabbit
Conjugate
Unconjugated
Format
BSA Free

Order Details

View Available Formulations
Catalog# & Formulation Size Price

PRDM6 Antibody - BSA Free Summary

Description
Novus Biologicals Rabbit PRDM6 Antibody - BSA Free (NBP1-91022) is a polyclonal antibody validated for use in IHC. All Novus Biologicals antibodies are covered by our 100% guarantee.
Immunogen
This antibody was developed against Recombinant Protein corresponding to amino acids: RGTELLVWYNDSYTSFFGIPLQCIAQDENLNVPSTVMEAMCRQDALQPFNKSSKLAPTTQQRSVVFPQTPCSRNFSLLDKSG
Predicted Species
Mouse (96%), Rat (94%). Backed by our 100% Guarantee.
Isotype
IgG
Clonality
Polyclonal
Host
Rabbit
Gene
PRDM6
Purity
Affinity purified
Innovator's Reward
Test in a species/application not listed above to receive a full credit towards a future purchase.

Applications/Dilutions

Dilutions
  • Immunohistochemistry 1:20 - 1:50
  • Immunohistochemistry-Paraffin 1:20 - 1:50
Application Notes
IHC-P,HIER pH6 retrieval is recommended.
Control Peptide
PRDM6 Protein (NBP1-91022PEP)

Packaging, Storage & Formulations

Storage
Store at 4C short term. Aliquot and store at -20C long term. Avoid freeze-thaw cycles.
Buffer
PBS (pH 7.2) and 40% Glycerol
Preservative
0.02% Sodium Azide
Purity
Affinity purified

Alternate Names for PRDM6 Antibody - BSA Free

  • PRDM6 PR domain containing 6
  • putative histone-lysine N-methyltransferase PRDM6

Limitations

This product is for research use only and is not approved for use in humans or in clinical diagnosis. Primary Antibodies are guaranteed for 1 year from date of receipt.

Customers Who Viewed This Item Also Viewed...

NB600-235
Species: Hu, Mu, Po
Applications: ChIP, ELISA, Flow, ICC/IF, IHC, IHC-Fr,  IHC-P, IP, WB
NBP1-89644
Species: Hu
Applications: ChIP-EXO-SEQ, ICC/IF, IHC,  IHC-P
NBP1-47791
Species: Hu, Mu, Rt
Applications: ChIP, ICC/IF, IHC,  IHC-P, WB
AF1700
Species: Hu
Applications: ChIP, ICC, IHC, Simple Western, WB
NBP3-38209
Species: Hu, Rt
Applications: ELISA, ICC/IF, IHC,  IHC-P, IP, WB
NBP1-77096
Species: Hu, Mu
Applications: ELISA, IHC,  IHC-P, WB
NBP1-33646
Species: Hu
Applications: ICC/IF, WB
H00029107-M08
Species: Hu
Applications: ELISA, ICC/IF, KD, S-ELISA, WB
NBP2-45603
Species: Hu, Mu, Rt
Applications: Flow, IHC,  IHC-P, WB
NBP1-52105
Species: Hu, Rt
Applications: Flow, IHC,  IHC-P, PEP-ELISA, WB
NBP3-46613
Species: Hu, Mu, Rt, Ze
Applications: ELISA, ICC/IF, IHC, WB
NBP1-04266
Species: Hu
Applications: ELISA, ICC/IF, WB
NBP1-82454
Species: Hu, Mu
Applications: ICC/IF, IHC,  IHC-P, WB
NBP1-33736
Species: Hu, Mu, Rt
Applications: ICC/IF, IHC,  IHC-P, IP, WB
PP-A8620A-00
Species: Hu, Mu
Applications: DirELISA, IHC, IP, WB
NBP2-13754
Species: Hu, Mu, Rt
Applications: ICC/IF, IHC,  IHC-P, WB
NBP2-07996
Species: Hu
Applications: WB

Publications for PRDM6 Antibody (NBP1-91022) (0)

There are no publications for PRDM6 Antibody (NBP1-91022).
By submitting your publication information earn gift cards and discounts for future purchases.

Reviews for PRDM6 Antibody (NBP1-91022) (0)

There are no reviews for PRDM6 Antibody (NBP1-91022). By submitting a review you will receive an Amazon e-Gift Card or Novus Product Discount.
  • Review with no image -- $10/€7/£6/$10 CAD/¥70 Yuan/¥1110 Yen
  • Review with an image -- $25/€18/£15/$25 CAD/¥150 Yuan/¥2500 Yen

Product General Protocols

Find general support by application which include: protocols, troubleshooting, illustrated assays, videos and webinars.

FAQs for PRDM6 Antibody (NBP1-91022) (0)

There are no specific FAQs related to this product. Read our general customer & technical service FAQs.

Customers Who Bought This Also Bought

Contact Information

Product PDFs

Calculators

Concentration Calculator

The concentration calculator allows you to quickly calculate the volume, mass or concentration of your vial. Simply enter your mass, volume, or concentration values for your reagent and the calculator will determine the rest.

=
÷

Review this Product

Be the first to review our PRDM6 Antibody - BSA Free and receive a gift card or discount.

Bioinformatics

Gene Symbol PRDM6