PP2C alpha/PPM1A Antibody - BSA Free

Images

 
Western Blot: PP2C alpha/PPM1A Antibody [NBP2-13796] - Lane 1: Marker [kDa] 230, 130, 95, 72, 56, 36, 28, 17, 11. Lane 2: Human cell line RT-441
Immunocytochemistry/ Immunofluorescence: PP2C alpha/PPM1A Antibody [NBP2-13796] - Staining of human cell line U-2 OS shows localization to cytosol.
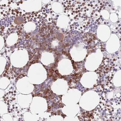
Immunohistochemistry-Paraffin: PP2C alpha/PPM1A Antibody [NBP2-13796] - Staining of human bone marrow shows strong cytoplasmic positivity in hematopoietic cells.

Product Details

Summary
Reactivity Hu, Mu, RtSpecies Glossary
Applications WB, ICC/IF, IHC
Clonality
Polyclonal
Host
Rabbit
Conjugate
Unconjugated
Format
BSA Free

Order Details

View Available Formulations
Catalog# & Formulation Size Price

PP2C alpha/PPM1A Antibody - BSA Free Summary

Description
Novus Biologicals Rabbit PP2C alpha/PPM1A Antibody - BSA Free (NBP2-13796) is a polyclonal antibody validated for use in IHC, WB and ICC/IF. All Novus Biologicals antibodies are covered by our 100% guarantee.
Immunogen
This antibody was developed against a recombinant protein corresponding to the amino acids: GQGNGLRYGLSSMQGWRVEMEDAHTAVIGLPSGLESWSFFAVYDGHAGSQVAKYCCEHLLDHITNNQDFKGSAGAPSVENVKNGIRTGFLEIDEHMRVMSEKKHGADRSGSTAVGVLISPQHTYFINCGDSRGLLCRNRKVHFFTQDHKPSGAPHR
Predicted Species
Mouse (96%), Rat (96%). Backed by our 100% Guarantee.
Isotype
IgG
Clonality
Polyclonal
Host
Rabbit
Gene
PPM1A
Purity
Affinity purified
Innovator's Reward
Test in a species/application not listed above to receive a full credit towards a future purchase.

Applications/Dilutions

Dilutions
  • Immunocytochemistry/ Immunofluorescence 0.25-2 ug/ml
  • Immunohistochemistry 1:50 - 1:200
  • Immunohistochemistry-Paraffin 1:50-1:200
  • Western Blot 0.04-0.4 ug/ml
Application Notes
For IHC-Paraffin, HIER pH 6 retrieval is recommended. Immunocytochemistry/Immunofluorescence Fixation Permeabilization: Use PFA/Triton X-100.
Control Peptide
PP2C alpha/PPM1A Protein (NBP2-13796PEP)

Packaging, Storage & Formulations

Storage
Store at 4C short term. Aliquot and store at -20C long term. Avoid freeze-thaw cycles.
Buffer
PBS (pH 7.2) and 40% Glycerol
Preservative
0.02% Sodium Azide
Purity
Affinity purified

Alternate Names for PP2C alpha/PPM1A Antibody - BSA Free

  • EC 3.1.3.16
  • FLJ42306
  • MGC9201
  • MMPa-2
  • MPPa-1
  • phosphatase 2C alpha
  • PP2C alpha
  • Pp2c1
  • PP2CA
  • PP2Calpha
  • PP2C-ALPHA
  • PPM1A
  • PPPM1A
  • protein phosphatase 1A (formerly 2C), magnesium-dependent, alpha isoform
  • protein phosphatase 1A
  • protein phosphatase 2C alpha isoform
  • Protein phosphatase 2C isoform alpha
  • Protein phosphatase IA
  • protein phosphatase, Mg2+/Mn2+ dependent, 1A

Background

Protein phosphatase 2C (PP2C) is a family of serine/threonine specific protein phosphatases. PP2C is a 42 kDa monomeric enzyme with broad substrate specificity and its activity is depended upon divalent cations (e.g. magnesium) (1). In mammals, three members of PP2C family are known; PP2C -alpha, -beta, and -gamma. PP2C

Limitations

This product is for research use only and is not approved for use in humans or in clinical diagnosis. Primary Antibodies are guaranteed for 1 year from date of receipt.

Customers Who Viewed This Item Also Viewed...

MAB41051
Species: Hu, Mu
Applications: WB
AF4396
Species: Hu, Mu, Rt
Applications: WB
NBP1-31348
Species: Hu, Mu, Rt
Applications: ICC/IF, IHC,  IHC-P, WB
AF8691
Species: Hu, Mu, Rt
Applications: IHC, KO, Simple Western, WB
AF3797
Species: Hu, Mu
Applications: ChIP, ICC, IHC, Simple Western, WB
NB100-56479
Species: Bv, Ca, Hu, Mu, Po, Pm, Rt
Applications: ICC/IF, IHC,  IHC-P, Simple Western, WB
AF1230
Species: Hu, Mu, Rt
Applications: IHC, KO, WB
NBP2-37568
Species: Hu
Applications: ELISA, Flow, ICC/IF, IHC,  IHC-P, WB
NBP2-00764
Species: Hu, Mu, Rt
Applications: Flow, IHC,  IHC-P, WB
NBP1-81575
Species: Hu, Mu, Rt
Applications: ICC/IF, IHC,  IHC-P, WB
NBP1-68874
Species: Hu, Mu, Rt
Applications: PEP-ELISA, WB
H00010598-M01
Species: Hu, Mu, Rt
Applications: ELISA, ICC/IF, S-ELISA, WB
NBP1-88207
Species: Hu
Applications: ICC/IF, IHC,  IHC-P, WB
NBP2-13304
Species: Hu
Applications: ICC/IF, IHC,  IHC-P, WB
NBP1-48284
Species: Hu, Mu, Rt
Applications: ICC/IF, IHC,  IHC-P, WB
NBP2-72710
Species: Ca, Hu, Mu, Rt
Applications: CyTOF-ready, Flow, ICC/IF, IHC,  IHC-P, IP, WB
MAB5929
Species: Hu, Mu, Rt
Applications: WB

Publications for PP2C alpha/PPM1A Antibody (NBP2-13796) (0)

There are no publications for PP2C alpha/PPM1A Antibody (NBP2-13796).
By submitting your publication information earn gift cards and discounts for future purchases.

Reviews for PP2C alpha/PPM1A Antibody (NBP2-13796) (0)

There are no reviews for PP2C alpha/PPM1A Antibody (NBP2-13796). By submitting a review you will receive an Amazon e-Gift Card or Novus Product Discount.
  • Review with no image -- $10/€7/£6/$10 CAD/¥70 Yuan/¥1110 Yen
  • Review with an image -- $25/€18/£15/$25 CAD/¥150 Yuan/¥2500 Yen

Product General Protocols

Find general support by application which include: protocols, troubleshooting, illustrated assays, videos and webinars.

Video Protocols

WB Video Protocol
ICC/IF Video Protocol

FAQs for PP2C alpha/PPM1A Antibody (NBP2-13796) (0)

There are no specific FAQs related to this product. Read our general customer & technical service FAQs.

Secondary Antibodies

 

Isotype Controls

Additional PP2C alpha/PPM1A Products

Research Areas for PP2C alpha/PPM1A Antibody (NBP2-13796)

Find related products by research area.

Blogs on PP2C alpha/PPM1A

There are no specific blogs for PP2C alpha/PPM1A, but you can read our latest blog posts.

Customers Who Bought This Also Bought

Contact Information

Product PDFs

Calculators

Concentration Calculator

The concentration calculator allows you to quickly calculate the volume, mass or concentration of your vial. Simply enter your mass, volume, or concentration values for your reagent and the calculator will determine the rest.

=
÷

Review this Product

Be the first to review our PP2C alpha/PPM1A Antibody - BSA Free and receive a gift card or discount.

Bioinformatics

Gene Symbol PPM1A