POU3F3 Antibody (CL15308) - Azide and BSA Free

Images

 
Orthogonal Strategies: Analysis in human kidney and skeletal muscle tissues using NBP3-44292 antibody. Corresponding POU3F3 RNA-seq data are presented for the same tissues.
Staining in SH-SY5Y cell line with Anti-POU3F3 monoclonal antibody) .
Staining of human cerebellum shows strong nuclear positivity in granular layer and molecular layer cells.
Staining of human cerebral cortex shows strong nuclear positivity in neurons and glial cells.
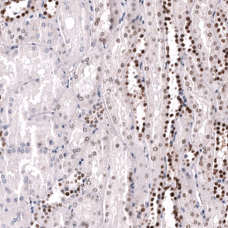
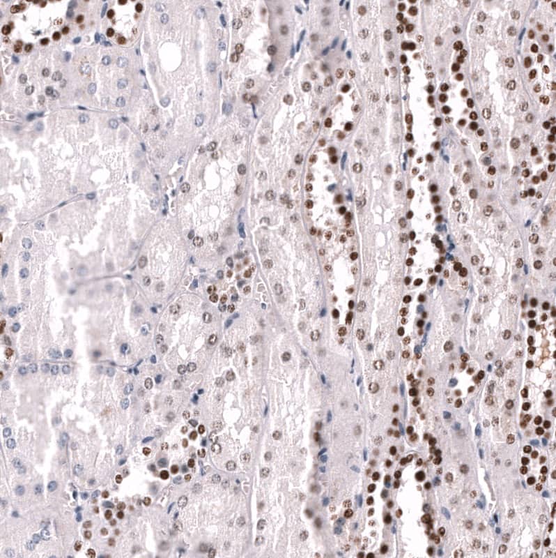
Staining of human kidney shows strong nuclear positivity in cells in tubules.
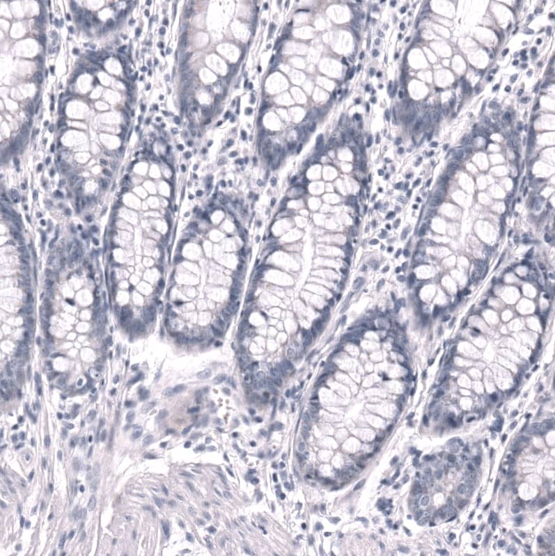
Staining of human rectum shows no positivity in glandular cells as expected.
Staining of human skeletal muscle shows no positivity in myocytes as expected.
Analysis in human cell line HEK 293.
Staining of mouse embryo, E14 shows strong nuclear positivity in neurons in developing cerebral cortex.

Product Details

Summary
Reactivity Hu, MuSpecies Glossary
Applications WB, ICC/IF, IHC
Clone
CL15308
Clonality
Monoclonal
Host
Mouse
Conjugate
Unconjugated
Format
Azide and BSA Free
Concentration
LYOPH
Validated by:
       

Orthogonal Strategies

 

Order Details

POU3F3 Antibody (CL15308) - Azide and BSA Free Summary

Description
Novus Biologicals Mouse POU3F3 Antibody (CL15308) - Azide and BSA Free (NBP3-43660) is a monoclonal antibody validated for use in IHC, WB and ICC/IF. All Novus Biologicals antibodies are covered by our 100% guarantee.
Immunogen
This antibody was generated using a synthetic peptide of P20264, with the exact immunogen sequence remaining proprietary.
Isotype
IgG2b
Clonality
Monoclonal
Host
Mouse
Gene
POU3F3
Purity
Protein A purified
Innovator's Reward
Test in a species/application not listed above to receive a full credit towards a future purchase.

Applications/Dilutions

Dilutions
  • Immunocytochemistry/ Immunofluorescence 2-10 ug/ml
  • Immunohistochemistry-Paraffin 1:1000-1:2500
  • Western Blot 1 ug/ml
Application Notes
For IHC-Paraffin, HIER pH 6 retrieval is recommended. Immunocytochemistry/ Immunofluorescence/IF Fixation Permeabilization: Use PFA/Triton X-100.

Packaging, Storage & Formulations

Storage
Store at 4C short term. Aliquot and store at -20C long term. Avoid freeze-thaw cycles.
Buffer
Lyophilized from a 0.2 um filtered solution in PBS with Trehalose
Preservative
No Preservative
Concentration
LYOPH
Purity
Protein A purified
Reconstitution Instructions
Centrifuge the vial of lyophilized antibody at 12,000 x g for 20 seconds. Reconstitute by adding sterile, distilled water to achieve a final antibody concentration of 1mg/ml.

Alternate Names for POU3F3 Antibody (CL15308) - Azide and BSA Free

  • brain-1
  • Brain-specific homeobox/POU domain protein 1
  • Brn-1
  • BRN1brn-1
  • Oct-8
  • Octamer-binding protein 8
  • Octamer-binding transcription factor 8
  • OTF-8
  • OTF8oct-8
  • POU class 3 homeobox 3
  • POU domain class 3, transcription factor 3
  • POU domain, class 3, transcription factor 3

Background

POU3F3, also known as POU Class 3 Homeobox 3, is a transcription factor that is primarily expressed in the brain and CNS. POU3F3 interacts with SOX4 and SOX11, and is implicated in the development of neurons. Current research surrounding POU3F3 has shown potential linkages with neuronitis and cerebritis. POU3F3 has also been shown to interact with POU3F4, CAV1, SOX10, and GADD34.

Limitations

This product is for research use only and is not approved for use in humans or in clinical diagnosis. Primary Antibodies are guaranteed for 1 year from date of receipt.

Customers Who Viewed This Item Also Viewed...

NBP2-21585
Species: Pm, Hu, Mu, Rt
Applications: ChIP, ICC/IF, IHC, IHC-Fr,  IHC-P, IP, WB
NBP2-68787
Species: Hu
Applications: ICC/IF, WB
NBP3-13349
Species: Hu, Mu, Rt
Applications: ICC/IF, IHC, IHC-Fr,  IHC-P, WB
NBP2-24677
Species: Ca, Eq, Hu, Pm
Applications: ICC/IF, IHC,  IHC-P, WB
423-F8
Species: Hu, Mu
Applications: BA
NBP2-75734
Species: Hu
Applications: ELISA, IHC,  IHC-P, PA, WB
AF2567
Species: Mu
Applications: IHC, WB
NB100-68209
Species: Hu
Applications: IP, KD, WB
NB100-55400
Species: Hu
Applications: IHC,  IHC-P, PEP-ELISA
NBP1-82991
Species: Hu, Mu
Applications: ChIP-EXO-SEQ, Flow, ICC/IF, IHC,  IHC-P, KD, WB
NBP1-05987
Species: Hu, Mu, Rt
Applications: ChIP, GS, ICC/IF, IHC,  IHC-P, IP, KD, MiAr, Simple Western, Single-Cell Western, WB
AF1759
Species: Hu, Mu
Applications: ChIP, ICC, IP, Simple Western, WB
NB200-106
Species: Mu, Rt
Applications: ELISA, ICC/IF, IHC, IHC-Fr,  IHC-P, WB
NBP2-31371
Species: Hu
Applications: ICC/IF, IHC,  IHC-P, WB
NBP2-03886
Species: Hu, Mu, Rt
Applications: Flow, IHC,  IHC-P, WB
NB100-464
Species: Hu, Mu
Applications: IHC,  IHC-P, IP, WB
NBP1-80993
Species: Hu
Applications: ICC/IF, IHC,  IHC-P, WB
NBP3-44292
Species: Hu, Mu
Applications: WB, ICC/IF, IHC

Publications for POU3F3 Antibody (NBP3-44292) (0)

There are no publications for POU3F3 Antibody (NBP3-44292).
By submitting your publication information earn gift cards and discounts for future purchases.

Reviews for POU3F3 Antibody (NBP3-44292) (0)

There are no reviews for POU3F3 Antibody (NBP3-44292). By submitting a review you will receive an Amazon e-Gift Card or Novus Product Discount.
  • Review with no image -- $10/€7/£6/$10 CAD/¥70 Yuan/¥1110 Yen
  • Review with an image -- $25/€18/£15/$25 CAD/¥150 Yuan/¥2500 Yen

Product General Protocols

Find general support by application which include: protocols, troubleshooting, illustrated assays, videos and webinars.

Video Protocols

WB Video Protocol
ICC/IF Video Protocol

FAQs for POU3F3 Antibody (NBP3-44292) (0)

There are no specific FAQs related to this product. Read our general customer & technical service FAQs.

Customers Who Bought This Also Bought

Contact Information

Product PDFs

Calculators

Concentration Calculator

The concentration calculator allows you to quickly calculate the volume, mass or concentration of your vial. Simply enter your mass, volume, or concentration values for your reagent and the calculator will determine the rest.

=
÷

Review this Product

Be the first to review our POU3F3 Antibody (CL15308) - Azide and BSA Free and receive a gift card or discount.

Bioinformatics

Gene Symbol POU3F3