PON2 Antibody (JG35-80)

Images

 
Western Blot: PON2 Antibody (JG35-80) [NBP2-75625] - Western blot analysis of PON2 on different lysates. Proteins were transferred to a PVDF membrane and blocked with 5% BSA in PBS for 1 hour at room temperature. The ...read more
Immunohistochemistry-Paraffin: PON2 Antibody (JG35-80) [NBP2-75625] - Analysis of paraffin-embedded mouse testis tissue using anti-PON2 antibody. Counter stained with hematoxylin.
Western Blot: PON2 Antibody (JG35-80) [NBP2-75625] - Analysis of PON2 on A549 cell lysate using anti-PON2 antibody at 1/1,000 dilution.
Immunohistochemistry-Paraffin: PON2 Antibody (JG35-80) [NBP2-75625] - Analysis of paraffin-embedded human colon cancer tissue using anti-PON2 antibody. Counter stained with hematoxylin.
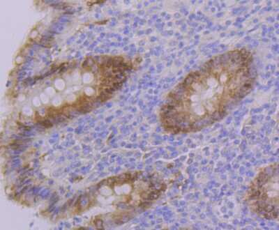
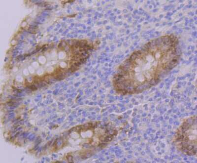
Immunohistochemistry-Paraffin: PON2 Antibody (JG35-80) [NBP2-75625] - Analysis of paraffin-embedded human appendix tissue using anti-PON2 antibody. Counter stained with hematoxylin.
Immunohistochemistry-Paraffin: PON2 Antibody (JG35-80) [NBP2-75625] - Analysis of paraffin-embedded human kidney tissue using anti-PON2 antibody. Counter stained with hematoxylin.

Product Details

Summary
Product Discontinued
View other related PON2 Primary Antibodies

Order Details


    • Catalog Number
      NBP2-75625
    • Availability
      Product Discontinued

    Can't find what you are looking for? Use our Antibody Concierge Service & we will help you locate your antibody!

    Or feel free to contact us for alternative products.

PON2 Antibody (JG35-80) Summary

Additional Information
Recombinant Monoclonal Antibody.
Immunogen
Recombinant protein within C-terminal Human PON2 aa 160-354 / 354. (SwissProt: Q15165 Human; SwissProt: Q62086 Mouse; SwissProt: Q6AXM8 Rat)
Localization
Membrane.
Isotype
IgG
Clonality
Monoclonal
Host
Rabbit
Gene
PON2
Purity
Protein A purified
Innovator's Reward
Test in a species/application not listed above to receive a full credit towards a future purchase.

Applications/Dilutions

Dilutions
  • Immunohistochemistry
  • Immunohistochemistry-Paraffin 1:50-1:200
  • Immunoprecipitation 1:10-1:50
  • Western Blot 1:500-1:2000
Theoretical MW
39 kDa.
Disclaimer note: The observed molecular weight of the protein may vary from the listed predicted molecular weight due to post translational modifications, post translation cleavages, relative charges, and other experimental factors.

Packaging, Storage & Formulations

Storage
Store at 4C short term. Aliquot and store at -20C long term. Avoid freeze-thaw cycles.
Buffer
TBS (pH7.4), 0.05% BSA, 40% Glycerol
Preservative
0.05% Sodium Azide
Concentration
1 mg/ml
Purity
Protein A purified

Alternate Names for PON2 Antibody (JG35-80)

  • A-esterase 2
  • Aromatic esterase 2
  • EC 3.1.1.2
  • EC 3.1.1.81
  • paraoxonase 2
  • paraoxonase nirs
  • PON 2
  • PON2
  • Serum Aryldialkylphosphatase 2
  • serum paraoxonase/arylesterase 2

Background

PON2 encodes a member of the paraoxonase gene family, which includes three known members located adjacent to each other on the long arm of chromosome 7. The encoded protein is ubiquitously expressed in human tissues, membrane-bound, and may act as a cellular antioxidant, protecting cells from oxidative stress. Hydrolytic activity against acylhomoserine lactones, important bacterial quorum-sensing mediators, suggests the encoded protein may also play a role in defense responses to pathogenic bacteria. Mutations in this gene may be associated with vascular disease and a number of quantitative phenotypes related to diabetes. Alternatively spliced transcript variants encoding different isoforms have been described.

Limitations

This product is for research use only and is not approved for use in humans or in clinical diagnosis. Primary Antibodies are guaranteed for 1 year from date of receipt.

Customers Who Viewed This Item Also Viewed...

NBP2-80919
Species: Hu
Applications: CyTOF-ready, Flow, ICC/IF (-), IHC,  IHC-P, WB
AF4345
Species: Hu, Mu, Rt
Applications: WB
NBP2-24915
Species: Bv, Hu, Mu, Rt
Applications: IHC,  IHC-P, WB
NB110-60531
Species: Hu, Mu, Rt(-)
Applications: CyTOF-ready, ELISA, Flow-IC, Flow, ICC/IF, IHC,  IHC-P, IP, WB
NBP2-67471
Species: Hu, Mu, Rt
Applications: ICC/IF, IHC,  IHC-P, WB
AF7197
Species: Hu, Mu
Applications: ICC, IHC, WB
NB100-790
Species: Ba, Hu, Mu, Po
Applications: Flow, ICC/IF, IHC,  IHC-P, IP, PEP-ELISA, WB
1310-SE
Species: Hu
Applications: EnzAct
AF3398
Species: Hu, Mu, Rt
Applications: ICC, KO, Simple Western, WB
AF2255
Species: Mu
Applications: Block, CyTOF-ready, Flow, IHC, WB
AF1436
Species: Mu
Applications: WB
DCP00
Species: Hu
Applications: ELISA
NBP2-22106
Species: Hu, Mu, Rt
Applications: IHC,  IHC-P, IP, WB
NB100-1992
Species: Bv, Ca, Ch, Dr, Gt, Gp, Ha, Hu, Pm, Mu, Po, Rb, Rt, Sh, Sq, Xp
Applications: ELISA, ICC/IF, IHC,  IHC-P, IP, Simple Western, WB
NBP3-17040
Species: Hu
Applications: IHC,  IHC-P, WB
MME00
Species: Mu
Applications: ELISA
DUP00
Species: Hu
Applications: ELISA
NBP1-85367
Species: Hu, Mu, Rt
Applications: ICC/IF, IHC,  IHC-P, WB
NBP2-75625
Species: Hu, Mu, Rt
Applications: WB, IHC, IP

Publications for PON2 Antibody (NBP2-75625) (0)

There are no publications for PON2 Antibody (NBP2-75625).
By submitting your publication information earn gift cards and discounts for future purchases.

Reviews for PON2 Antibody (NBP2-75625) (0)

There are no reviews for PON2 Antibody (NBP2-75625). By submitting a review you will receive an Amazon e-Gift Card or Novus Product Discount.
  • Review with no image -- $10/€7/£6/$10 CAD/¥70 Yuan/¥1110 Yen
  • Review with an image -- $25/€18/£15/$25 CAD/¥150 Yuan/¥2500 Yen

Product General Protocols

Find general support by application which include: protocols, troubleshooting, illustrated assays, videos and webinars.

Video Protocols

WB Video Protocol

FAQs for PON2 Antibody (NBP2-75625) (0)

There are no specific FAQs related to this product. Read our general customer & technical service FAQs.

Contact Information

Product PDFs

Calculators

Concentration Calculator

The concentration calculator allows you to quickly calculate the volume, mass or concentration of your vial. Simply enter your mass, volume, or concentration values for your reagent and the calculator will determine the rest.

=
÷

Review this Product

Be the first to review our PON2 Antibody (JG35-80) and receive a gift card or discount.

Bioinformatics

Gene Symbol PON2