PNMT Antibody (CL11434) - Azide and BSA Free

Images

 
Orthogonal Strategies: Analysis in human adrenal gland and kidney tissues using NBP3-44139 antibody. Corresponding PNMT RNA-seq data are presented for the same tissues.
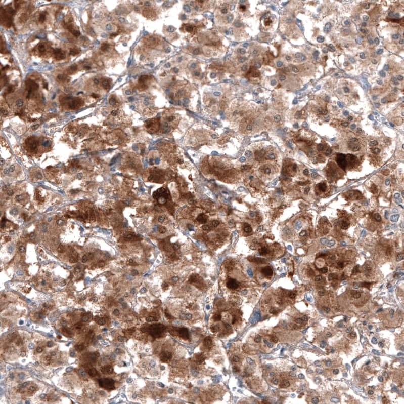
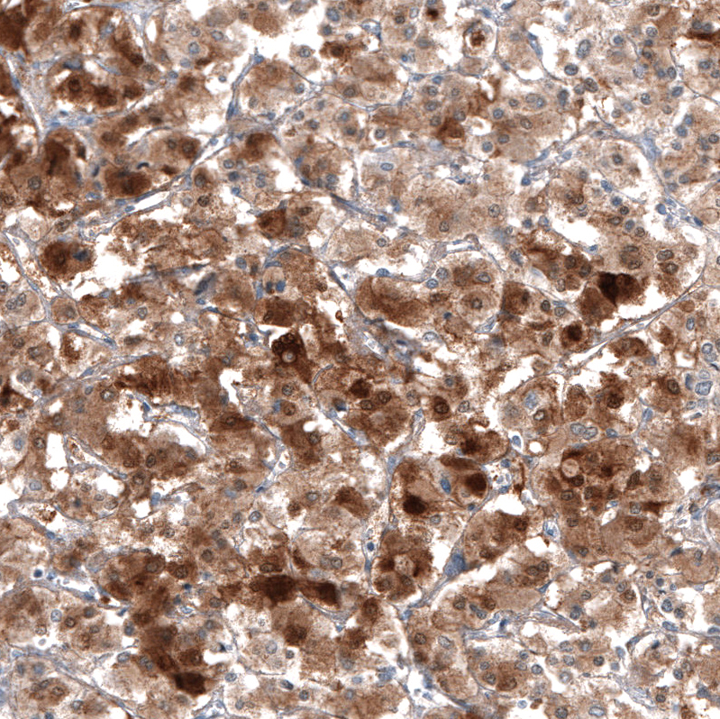
Staining of human Adrenal gland shows strong cytoplasmic positivity in neuroendocrine cells.
Staining of human Cerebral cortex shows very weak cytoplasmic positivity in neuronal cells.
Staining of human Duodenum shows no positivity in glandular cells as expected.
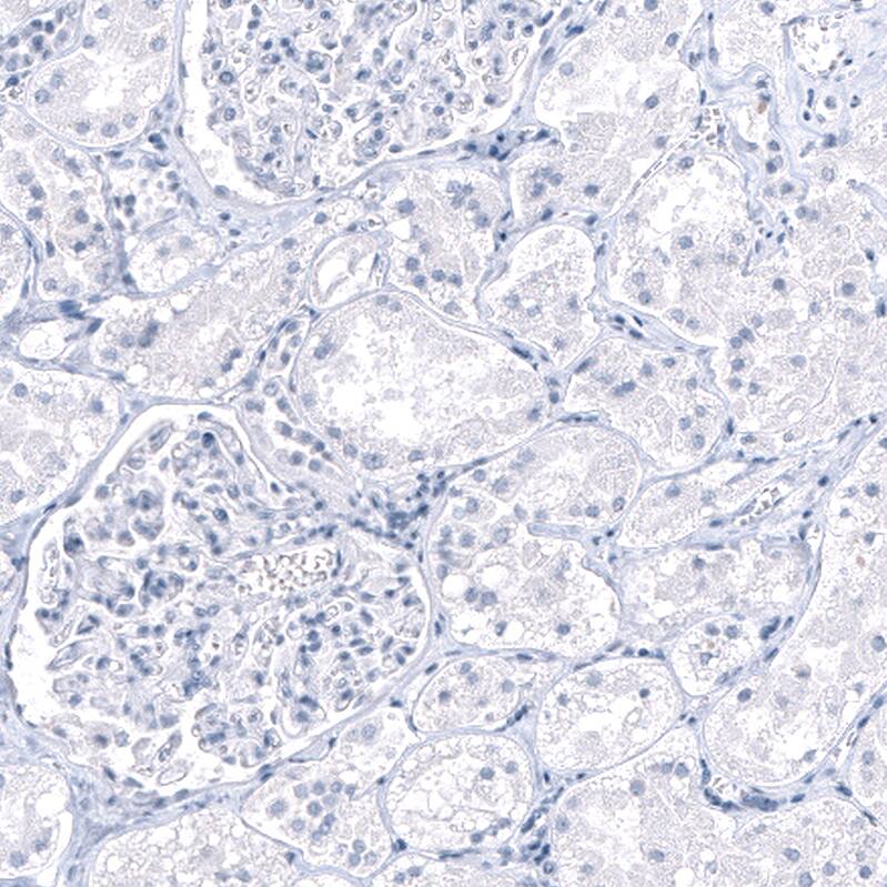
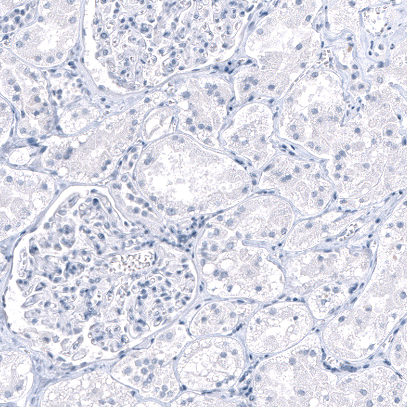
Staining of human Kidney shows no positivity in cells in seminiferous ducts as expected.

Product Details

Summary
Reactivity HuSpecies Glossary
Applications IHC
Clone
CL11434
Clonality
Monoclonal
Host
Mouse
Conjugate
Unconjugated
Format
Azide and BSA Free
Concentration
LYOPH
Validated by:
       

Orthogonal Strategies

 

Order Details

PNMT Antibody (CL11434) - Azide and BSA Free Summary

Description
Novus Biologicals Mouse PNMT Antibody (CL11434) - Azide and BSA Free (NBP3-21193) is a monoclonal antibody validated for use in IHC. All Novus Biologicals antibodies are covered by our 100% guarantee.
Immunogen
This antibody was generated using a recombinant protein sequence of P11086, with the exact immunogen sequence remaining proprietary.
Isotype
IgG1
Clonality
Monoclonal
Host
Mouse
Gene
PNMT
Purity
Protein A purified
Innovator's Reward
Test in a species/application not listed above to receive a full credit towards a future purchase.

Applications/Dilutions

Dilutions
  • Immunohistochemistry-Paraffin 1:200-1:500
Application Notes
For IHC-Paraffin, HIER pH 6 retrieval is recommended.

Packaging, Storage & Formulations

Storage
Store at 4C short term. Aliquot and store at -20C long term. Avoid freeze-thaw cycles.
Buffer
Lyophilized from a 0.2 um filtered solution in PBS with Trehalose
Preservative
No Preservative
Concentration
LYOPH
Purity
Protein A purified
Reconstitution Instructions
Centrifuge the vial of lyophilized antibody at 12,000 x g for 20 seconds. Reconstitute by adding sterile, distilled water to achieve a final antibody concentration of 1mg/ml.

Alternate Names for PNMT Antibody (CL11434) - Azide and BSA Free

  • EC 2.1.1
  • EC 2.1.1.28
  • Noradrenaline N-methyltransferase
  • PENT
  • PENTMGC34570
  • phenylethanolamine N-methylase
  • phenylethanolamine N-methyltransferase
  • PNMT
  • PNMTase

Background

The product of this gene catalyzes the last step of the catecholamine biosynthesis pathway, which methylates norepinephrine to form epinephrine (adrenaline). The enzyme also has beta-carboline 2N-methyltransferase activity. This gene is thought to play a key step in regulating epinephrine production.

Limitations

This product is for research use only and is not approved for use in humans or in clinical diagnosis. Primary Antibodies are guaranteed for 1 year from date of receipt.

Customers Who Viewed This Item Also Viewed...

NB300-109
Species: Ch, Dr, Hu, I, Ma, Mu, Rt
Applications: Dual ISH-IHC, ICC/IF, IHC-FrFl, IHC-WhMt, IHC, IHC-Fr,  IHC-P, KO, Simple Western, WB
NBP1-31386
Species: Hu, Mu, Rt
Applications: IHC,  IHC-P, WB
NBP2-36776
Species: Hu
Applications: ICC/IF, IHC,  IHC-P, KD, WB
NBP1-88527
Species: Hu, Mu, Rt
Applications: IHC,  IHC-P, WB
NBP2-93935
Species: Hu, Mu, Rt
Applications: ICC/IF, WB
NBP2-15954
Species: Hu, Rt
Applications: IHC,  IHC-P, KO, WB
NBP1-46535
Species: Hu, Mu, Rb, Rt, Xp
Applications: ICC/IF, IHC-FrFl, IHC, IHC-Fr,  IHC-P, WB
NB100-1533
Species: Hu, Mu, Po, Rt, Sh
Applications: Flow, ICC/IF, IHC,  IHC-P, PEP-ELISA, WB
AF2818
Species: Hu
Applications: ICC, WB
AF1936
Species: Hu
Applications: IP, WB
NBP1-89342
Species: Hu, Mu
Applications: ICC/IF, IHC,  IHC-P, IP, WB
NBP2-45570
Species: Hu, Mu, Rt
Applications: Flow, IHC,  IHC-P, WB
AF6457
Species: Hu
Applications: WB
NBP2-45946
Species: Ca, Hu, Pm, Mu, Rt
Applications: ICC/IF, IHC,  IHC-P, WB
NB300-731
Species: Gp, Hu, Mu, Rb, Rt, Sh, Ye
Applications: B/N, ChIP, Flow, GS, ICC/IF, IHC,  IHC-P, IP, WB
NBP2-50037
Species: Hu, Mu, Rt
Applications: ICC/IF, IHC, KO, WB
DY4517-05
Species: Mu
Applications: ELISA
NBP2-67150
Species: Hu, Mu, Rt
Applications: IHC, IHC-Fr,  IHC-P, IP, WB

Publications for PNMT Antibody (NBP3-44139) (0)

There are no publications for PNMT Antibody (NBP3-44139).
By submitting your publication information earn gift cards and discounts for future purchases.

Reviews for PNMT Antibody (NBP3-44139) (0)

There are no reviews for PNMT Antibody (NBP3-44139). By submitting a review you will receive an Amazon e-Gift Card or Novus Product Discount.
  • Review with no image -- $10/€7/£6/$10 CAD/¥70 Yuan/¥1110 Yen
  • Review with an image -- $25/€18/£15/$25 CAD/¥150 Yuan/¥2500 Yen

Product General Protocols

Find general support by application which include: protocols, troubleshooting, illustrated assays, videos and webinars.

FAQs for PNMT Antibody (NBP3-44139) (0)

There are no specific FAQs related to this product. Read our general customer & technical service FAQs.

Secondary Antibodies

 

Isotype Controls

Additional PNMT Products

Research Areas for PNMT Antibody (NBP3-44139)

Find related products by research area.

Blogs on PNMT

There are no specific blogs for PNMT, but you can read our latest blog posts.

Customers Who Bought This Also Bought

Contact Information

Product PDFs

Calculators

Concentration Calculator

The concentration calculator allows you to quickly calculate the volume, mass or concentration of your vial. Simply enter your mass, volume, or concentration values for your reagent and the calculator will determine the rest.

=
÷

Review this Product

Be the first to review our PNMT Antibody (CL11434) - Azide and BSA Free and receive a gift card or discount.

Bioinformatics

Gene Symbol PNMT