PLC-gamma 1 Antibody (2C11)

Images

 
Immunocytochemistry/ Immunofluorescence: PLC-gamma 1 Antibody (2C11) [NB100-74517] - Staining of HeLa cells.
Immunohistochemistry-Paraffin: PLC-gamma 1 Antibody (2C11) [NB100-74517] - Normal biopsies of deparaffinized human tonsil tissue.
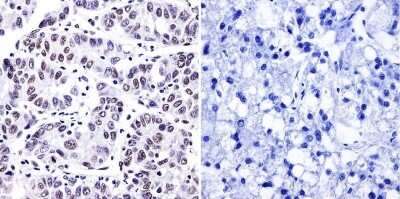
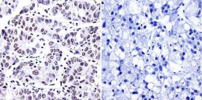
Immunohistochemistry-Paraffin: PLC-gamma 1 Antibody (2C11) [NB100-74517] - Cancer biopsies of deparaffinized human hepatocarcinoma.
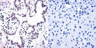
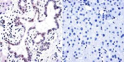
Immunohistochemistry-Paraffin: PLC-gamma 1 Antibody (2C11) [NB100-74517] - Normal biopsies of deparaffinized human liver tissue.

Product Details

Summary
Product Discontinued
View other related PLC-gamma 1 Primary Antibodies

Order Details


    • Catalog Number
      NB100-74517
    • Availability
      Product Discontinued

    Can't find what you are looking for? Use our Antibody Concierge Service & we will help you locate your antibody!

    Or feel free to contact us for alternative products.

PLC-gamma 1 Antibody (2C11) Summary

Immunogen
Liposomes (prepared in PBS with lipid A, phosphatidylcholine (PC) and cholesterol) containing synthetic di-palmitoyl PtdIns(4,5)P2.
Specificity
Prolactin-Induced Protein-1 (2C11)
Isotype
IgM
Clonality
Monoclonal
Host
Mouse
Gene
PLCG1
Purity
Unpurified
Innovator's Reward
Test in a species/application not listed above to receive a full credit towards a future purchase.

Applications/Dilutions

Dilutions
  • ELISA 1:100 - 1:2000
  • Immunocytochemistry/ Immunofluorescence 1:200
  • Immunohistochemistry 1:200
  • Immunohistochemistry-Paraffin 1:200
  • Immunoprecipitation 1:10 - 1:500
  • Western Blot 1:500
Application Notes
Useful in WB, IP, ELISA, IF. WB: Detects a 67 kDa protein representing NB100-74517.

Reactivity Notes

Mouse reactivity reported in scientific literature (PMID: 11559758). Please note that this antibody is reactive to Mouse and derived from the same host, Mouse. Additional Mouse on Mouse blocking steps may be required for IHC and ICC experiments. Please contact Technical Support for more information.

Packaging, Storage & Formulations

Storage
Store at -20C. Avoid freeze-thaw cycles.
Buffer
Ascites
Preservative
0.05% Sodium Azide
Purity
Unpurified

Alternate Names for PLC-gamma 1 Antibody (2C11)

  • EC 3.1.4.11
  • gamma 1 (formerly subtype 148)
  • monophosphatidylinositol phosphodiesterase
  • NCKAP3,1-phosphatidylinositol-4,5-bisphosphate phosphodiesterase gamma-1
  • phosphatidylinositol phospholipase C
  • phosphoinositidase C
  • phosphoinositide phospholipase C
  • Phosphoinositide phospholipase C-gamma-1
  • phospholipase C, gamma 1
  • phospholipase C-148
  • Phospholipase C-gamma-1
  • Phospholipase C-II
  • PLC11-phosphatidylinositol-4,5-bisphosphate phosphodiesterase gamma 1
  • PLC148
  • PLC-148
  • PLCG1
  • PLCgamma 1
  • PLC-gamma 1
  • PLC-gamma-1
  • PLC-II1-phosphatidyl-D-myo-inositol-4,5-bisphosphate
  • PPLCA
  • triphosphoinositide phosphodiesterase

Background

Phosphatidylinositol-4,5-bisphosphate or PIP2 is an important second messenger for a number of signaling processes. When certain extracellular signals are received Phosphilipase C cleaves phosphatidylinositol into DAG and PIP2. PIP2 has been shown to interact with actin structural proteins including profiling, gelsolin, and cofilin, and demonstrates regulatory function of actin polymerization. It has also been shown to regulate vesicular transport by interacting with proteins like ADP-ribosylation factor and phospholipase D. PIP2 has also been shown to significantly affect intracellular calcium concentrations, which also regulate a variety of activities.

Limitations

This product is for research use only and is not approved for use in humans or in clinical diagnosis. Primary Antibodies are guaranteed for 1 year from date of receipt.

Customers Who Viewed This Item Also Viewed...

NBP2-38220
Species: Hu
Applications: IHC,  IHC-P, WB
NBP1-84796
Species: Hu, Mu, Rt
Applications: ICC/IF, IHC,  IHC-P, KD, WB
AF5128
Species: Hu, Mu, Rt
Applications: WB
AF2364
Species: Hu
Applications: IHC, WB
NBP2-24653
Species: Hu, Mu, Rt
Applications: IHC,  IHC-P, WB
NBP2-02541
Species: Hu, Pm, Mu, Pm, Rt
Applications: ICC/IF, IHC,  IHC-P, WB
NBP2-22203
Species: Hu, Pm, Mu, Rt
Applications: ELISA, Flow, ICC/IF, IHC,  IHC-P, WB
236-EG
Species: Hu
Applications: BA
NBP1-32870
Species: Ch, Hu
Applications: IHC,  IHC-P, IP, KD, WB
NBP2-82026
Species: Hu, Mu, Rt
Applications: ELISA, ICC/IF, IHC,  IHC-P, WB
AF1230
Species: Hu, Mu, Rt
Applications: IHC, KO, WB
NBP3-39370
Species: Hu
Applications: ELISA
AF231
Species: Hu
Applications: CyTOF-ready, Dual ISH-IHC, ELISA(Cap), ELISA(Det), ELISA(Sta), Flow, ICC, IHC, IP, Simple Western, WB
AF2685
Species: Hu
Applications: IHC, Simple Western, WB
NB100-1519
Species: Hu, Mu, Rt
Applications: Flow, ICC/IF, IHC-FrFl, PEP-ELISA, WB
AF5866
Species: Hu
Applications: IHC, WB
AF6868
Species: Hu
Applications: IHC, KO, WB

Publications for PLC-gamma 1 Antibody (NB100-74517) (0)

There are no publications for PLC-gamma 1 Antibody (NB100-74517).
By submitting your publication information earn gift cards and discounts for future purchases.

Reviews for PLC-gamma 1 Antibody (NB100-74517) (0)

There are no reviews for PLC-gamma 1 Antibody (NB100-74517). By submitting a review you will receive an Amazon e-Gift Card or Novus Product Discount.
  • Review with no image -- $10/€7/£6/$10 CAD/¥70 Yuan/¥1110 Yen
  • Review with an image -- $25/€18/£15/$25 CAD/¥150 Yuan/¥2500 Yen

Product General Protocols

Find general support by application which include: protocols, troubleshooting, illustrated assays, videos and webinars.

Video Protocols

WB Video Protocol
ICC/IF Video Protocol

FAQs for PLC-gamma 1 Antibody (NB100-74517) (0)

There are no specific FAQs related to this product. Read our general customer & technical service FAQs.

Secondary Antibodies

 

Isotype Controls

Additional PLC-gamma 1 Products

Research Areas for PLC-gamma 1 Antibody (NB100-74517)

Find related products by research area.

Blogs on PLC-gamma 1

There are no specific blogs for PLC-gamma 1, but you can read our latest blog posts.

Contact Information

Product PDFs

Calculators

Concentration Calculator

The concentration calculator allows you to quickly calculate the volume, mass or concentration of your vial. Simply enter your mass, volume, or concentration values for your reagent and the calculator will determine the rest.

=
÷

Review this Product

Be the first to review our PLC-gamma 1 Antibody (2C11) and receive a gift card or discount.

Bioinformatics

Gene Symbol PLCG1
Entrez