PLA2G12B Antibody - BSA Free

Images

 
Immunohistochemistry-Paraffin: PLA2G12B Antibody [NBP2-31685] - Staining of human skeletal muscle shows no positivity in myocytes as expected.
Immunohistochemistry-Paraffin: PLA2G12B Antibody [NBP2-31685] - Staining of human liver shows moderate cytoplasmic positivity in hepatocytes.
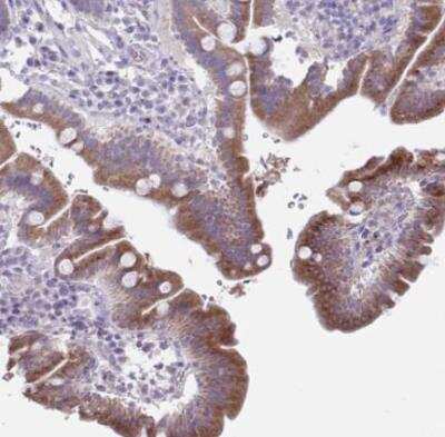
Immunohistochemistry-Paraffin: PLA2G12B Antibody [NBP2-31685] - Staining of human small intestine shows moderate cytoplasmic positivity in glandular cells.
Immunohistochemistry-Paraffin: PLA2G12B Antibody [NBP2-31685] - Staining of human kidney shows weak cytoplasmic positivity in cells in tubules.

Product Details

Summary
Reactivity Hu, RtSpecies Glossary
Applications IHC
Clonality
Polyclonal
Host
Rabbit
Conjugate
Unconjugated
Format
BSA Free

Order Details

View Available Formulations
Catalog# & Formulation Size Price

PLA2G12B Antibody - BSA Free Summary

Description
Novus Biologicals Rabbit PLA2G12B Antibody - BSA Free (NBP2-31685) is a polyclonal antibody validated for use in IHC. All Novus Biologicals antibodies are covered by our 100% guarantee.
Immunogen
This antibody was developed against a recombinant protein corresponding to amino acids: DTEESYSDWGLRHLRGSFESVNSYFDSFLELLGGKNGVCQYRCRYGKAPMPRPGYKPQEPNGCGSYFLGLKVPESM
Predicted Species
Rat (91%). Backed by our 100% Guarantee.
Isotype
IgG
Clonality
Polyclonal
Host
Rabbit
Gene
PLA2G12B
Purity
Affinity purified
Innovator's Reward
Test in a species/application not listed above to receive a full credit towards a future purchase.

Applications/Dilutions

Dilutions
  • Immunohistochemistry 1:50 - 1:200
  • Immunohistochemistry-Paraffin 1:50 - 1:200
Application Notes
For IHC-Paraffin, HIER pH 6 retrieval is recommended.
Control Peptide
PLA2G12B Protein (NBP2-31685PEP)

Reactivity Notes

Immunogen displays the following percentage of sequence identity for non-tested species: Mouse (88%)

Packaging, Storage & Formulations

Storage
Store at 4C short term. Aliquot and store at -20C long term. Avoid freeze-thaw cycles.
Buffer
PBS (pH 7.2) and 40% Glycerol
Preservative
0.02% Sodium Azide
Purity
Affinity purified

Alternate Names for PLA2G12B Antibody - BSA Free

  • group XIIB secretory phospholipase A2-like protein
  • group XIII secreted phospholipase A2
  • Group XIII secretory phospholipase A2-like protein
  • GXIIBMGC138151
  • GXIII sPLA2-like
  • GXIIIsPLA2
  • phospholipase A2, group XIIB
  • phospholipase A2, group XIII
  • PLA2G13
  • sPLA2-GXIIB

Background

Phospholipase A2 (PLA2) enzymes catalyze hydrolysis of glycolipids to release free fatty acids and lysophospholipids. PLA2G12B belongs to the PLA2 family, but it is catalytically inactive due to an amino acid change in its active site and has altered phospholipid-binding properties (Rouault et al., 2003 [PubMed 14516201]).[supplied by OMIM]

Limitations

This product is for research use only and is not approved for use in humans or in clinical diagnosis. Primary Antibodies are guaranteed for 1 year from date of receipt.

Customers Who Viewed This Item Also Viewed...

NBP2-37255
Species: Hu
Applications: CyTOF-ready, ELISA, Flow, IHC,  IHC-P, WB
NBP2-94062
Species: Hu, Mu, Rt
Applications: ICC/IF, IHC,  IHC-P, WB
NBP2-67150
Species: Hu, Mu, Rt
Applications: IHC, IHC-Fr,  IHC-P, IP, WB
NBP3-17255
Species: Hu
Applications: ICC/IF, WB
NBP1-59069
Species: Hu
Applications: ICC/IF, IHC,  IHC-P, WB
NBP3-41287
Species: Hu
Applications: IHC,  IHC-P, WB
NBP1-83367
Species: Hu
Applications: IHC,  IHC-P, WB
AF4925
Species: Mu
Applications: IHC, Simple Western, WB
NBP1-87457
Species: Hu
Applications: ICC/IF, IHC,  IHC-P
NBP3-04784
Species: Hu, Mu, Rt
Applications: ELISA, ICC/IF, IHC,  IHC-P, WB
NB500-201
Species: Ca, Fe, Gp, Ha, Hu, Mu, Rt
Applications: ChIP, Dual ISH-IHC, ELISA, Flow, ICC/IF, IHC, IHC-Fr,  IHC-P, IP, KD, Simple Western, WB
DPLG70
Species: Hu
Applications: ELISA
NBP1-88899
Species: Hu
Applications: IHC,  IHC-P
NB600-717
Species: Bv
Applications: ELISA, ICC/IF, IHC, IHC-Fr,  IHC-P, RIA, RI, WB
NBP1-51843
Species: Hu, Mu
Applications: ICC/IF, IHC,  IHC-P, Simple Western, WB
AF2307
Species: Hu
Applications: ELISA(Cap), ELISA(Det), ELISA(Sta), WB
NBP2-50248
Species: Hu
Applications: CyTOF-ready, ELISA, Flow, ICC/IF, IHC, WB
MAB5018
Species: Hu
Applications: IP, WB
4776-SE
Species: Hu
Applications: EnzAct
NBP2-31685
Species: Hu, Rt
Applications: IHC

Publications for PLA2G12B Antibody (NBP2-31685) (0)

There are no publications for PLA2G12B Antibody (NBP2-31685).
By submitting your publication information earn gift cards and discounts for future purchases.

Reviews for PLA2G12B Antibody (NBP2-31685) (0)

There are no reviews for PLA2G12B Antibody (NBP2-31685). By submitting a review you will receive an Amazon e-Gift Card or Novus Product Discount.
  • Review with no image -- $10/€7/£6/$10 CAD/¥70 Yuan/¥1110 Yen
  • Review with an image -- $25/€18/£15/$25 CAD/¥150 Yuan/¥2500 Yen

Product General Protocols

Find general support by application which include: protocols, troubleshooting, illustrated assays, videos and webinars.

FAQs for PLA2G12B Antibody (NBP2-31685) (0)

There are no specific FAQs related to this product. Read our general customer & technical service FAQs.

Secondary Antibodies

 

Isotype Controls

Additional PLA2G12B Products

Research Areas for PLA2G12B Antibody (NBP2-31685)

Find related products by research area.

Blogs on PLA2G12B

There are no specific blogs for PLA2G12B, but you can read our latest blog posts.

Customers Who Bought This Also Bought

Contact Information

Product PDFs

Calculators

Concentration Calculator

The concentration calculator allows you to quickly calculate the volume, mass or concentration of your vial. Simply enter your mass, volume, or concentration values for your reagent and the calculator will determine the rest.

=
÷

Review this Product

Be the first to review our PLA2G12B Antibody - BSA Free and receive a gift card or discount.

Bioinformatics

Gene Symbol PLA2G12B
Uniprot