PKC beta Antibody (JM43-26)

Images

 
Western Blot: PKC beta Antibody (JM43-26) [NBP2-67062] - Analysis of PKC beta 1 on L929 cell using anti-PKC beta 1 antibody at 1/1,000 dilution.
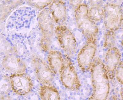
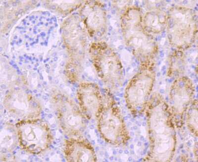
Immunohistochemistry-Paraffin: PKC beta Antibody (JM43-26) [NBP2-67062] - Analysis of paraffin-embedded mouse kidney tissue using anti-PKC beta 1 antibody. Counter stained with hematoxylin.
Flow Cytometry: PKC beta Antibody (JM43-26) [NBP2-67062] - Flow cytometric analysis of K562 cells with PKC beta antibody at 1/100 dilution (red) compared with an unlabeled control (cells without incubation with primary ...read more
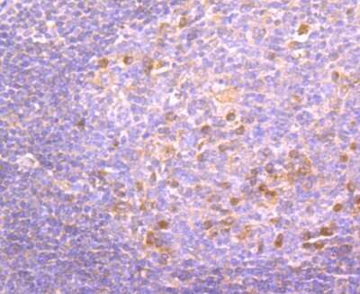
Immunohistochemistry-Paraffin: PKC beta Antibody (JM43-26) [NBP2-67062] - Analysis of paraffin-embedded human spleen tissue using anti-PKC beta 1 antibody. Counter stained with hematoxylin.
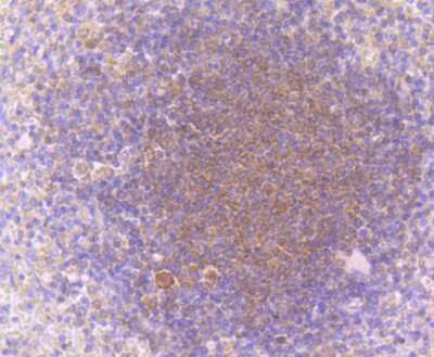
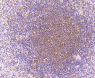
Immunohistochemistry-Paraffin: PKC beta Antibody (JM43-26) [NBP2-67062] - Analysis of paraffin-embedded human tonsil tissue using anti-PKC beta 1 antibody. Counter stained with hematoxylin.

Product Details

Summary
Product Discontinued
View other related PKC beta Primary Antibodies

Order Details


    • Catalog Number
      NBP2-67062
    • Availability
      Product Discontinued

    Can't find what you are looking for? Use our Antibody Concierge Service & we will help you locate your antibody!

    Or feel free to contact us for alternative products.

PKC beta Antibody (JM43-26) Summary

Additional Information
Recombinant Monoclonal Antibody.
Immunogen
Synthetic peptide within Human PKC beta aa 608-657 / 671. (SwissProt: P05771 Human; SwissProt: P68404 Mouse; SwissProt: P68403 Rat)
Localization
Cytoplasm. Nucleus. Membrane.
Isotype
IgG
Clonality
Monoclonal
Host
Rabbit
Gene
PRKCB
Purity
Protein A purified
Innovator's Reward
Test in a species/application not listed above to receive a full credit towards a future purchase.

Applications/Dilutions

Dilutions
  • Flow Cytometry 1:50-1:100
  • Immunohistochemistry
  • Immunohistochemistry-Paraffin 1:50-1:200
  • Western Blot 1:500

Packaging, Storage & Formulations

Storage
Store at 4C short term. Aliquot and store at -20C long term. Avoid freeze-thaw cycles.
Buffer
TBS (pH7.4), 0.05% BSA, 40% Glycerol
Preservative
0.05% Sodium Azide
Concentration
1 mg/ml
Purity
Protein A purified

Alternate Names for PKC beta Antibody (JM43-26)

  • EC 2.7.11
  • EC 2.7.11.13
  • MGC41878
  • PKC-B
  • PKC-beta
  • PKCBPRKCB2
  • PRKCB1protein kinase C beta 1
  • protein kinase C beta type
  • protein kinase C, beta 1 polypeptide
  • protein kinase C, beta 1
  • protein kinase C, beta

Background

PKCbetaII is a member of the serine/threonine protein kinase C (PKC) family (1) that includes 10 closely related isozymes classified as the

Limitations

This product is for research use only and is not approved for use in humans or in clinical diagnosis. Primary Antibodies are guaranteed for 1 year from date of receipt.

Customers Who Viewed This Item Also Viewed...

NBP2-82026
Species: Hu, Mu, Rt
Applications: ELISA, ICC/IF, IHC,  IHC-P, WB
NB600-201
Species: Pm, Bv, Ca, Ch, Fi, Hu, Pm, Mu, Po, Rb, Rt, Sh, Ze
Applications: ELISA, Flow, ICC/IF, IHC, IHC-Fr,  IHC-P, IP, RIA, WB
NBP1-87270
Species: Hu, Mu
Applications: ICC/IF, IHC,  IHC-P, WB
NBP1-32535
Species: Hu, Mu, Rt
Applications: IHC, IHC-Fr,  IHC-P, WB
DVE00
Species: Hu
Applications: ELISA
MAB1417
Species: Bv, Hu, Mu
Applications: ICC, IHC
AF887
Species: Hu, Mu, Rt
Applications: CyTOF-ready, IHC, ICFlow, Simple Western, WB
NBP2-67232
Species: Hu, Mu
Applications: ICC/IF, IHC,  IHC-P, WB
AF6868
Species: Hu
Applications: IHC, KO, WB
DYC1825-2
Species: Hu, Mu, Rt
Applications: ELISA
AF1230
Species: Hu, Mu, Rt
Applications: IHC, KO, WB
202-IL
Species: Hu
Applications: BA
AF5134
Species: Hu, Mu, Rt
Applications: IHC, Simple Western, WB
NBP2-50037
Species: Hu, Mu, Rt
Applications: ICC/IF, IHC, KO, WB
NBP1-90351
Species: Hu
Applications: ICC/IF, IHC,  IHC-P, WB
NB100-790
Species: Ba, Hu, Mu, Po
Applications: Flow, ICC/IF, IHC,  IHC-P, IP, PEP-ELISA, WB
NBP2-67471
Species: Hu, Mu, Rt
Applications: ICC/IF, IHC,  IHC-P, WB
NBP1-91258
Species: Bv, Ca, Eq, Fe, Hu, Mu, Po, Rt
Applications: ICC/IF, IHC, IHC-Fr,  IHC-P, Simple Western, WB
NBP2-67062
Species: Hu, Mu, Rt
Applications: WB, Flow, IHC

Publications for PKC beta Antibody (NBP2-67062) (0)

There are no publications for PKC beta Antibody (NBP2-67062).
By submitting your publication information earn gift cards and discounts for future purchases.

Reviews for PKC beta Antibody (NBP2-67062) (0)

There are no reviews for PKC beta Antibody (NBP2-67062). By submitting a review you will receive an Amazon e-Gift Card or Novus Product Discount.
  • Review with no image -- $10/€7/£6/$10 CAD/¥70 Yuan/¥1110 Yen
  • Review with an image -- $25/€18/£15/$25 CAD/¥150 Yuan/¥2500 Yen

Product General Protocols

Find general support by application which include: protocols, troubleshooting, illustrated assays, videos and webinars.

Video Protocols

WB Video Protocol

FAQs for PKC beta Antibody (NBP2-67062) (0)

There are no specific FAQs related to this product. Read our general customer & technical service FAQs.

Secondary Antibodies

 

Isotype Controls

Additional PKC beta Products

Research Areas for PKC beta Antibody (NBP2-67062)

Find related products by research area.

Blogs on PKC beta

There are no specific blogs for PKC beta, but you can read our latest blog posts.

Contact Information

Product PDFs

Calculators

Concentration Calculator

The concentration calculator allows you to quickly calculate the volume, mass or concentration of your vial. Simply enter your mass, volume, or concentration values for your reagent and the calculator will determine the rest.

=
÷

Review this Product

Be the first to review our PKC beta Antibody (JM43-26) and receive a gift card or discount.

Bioinformatics

Gene Symbol PRKCB