PGRMC1 Antibody (7G11G8) - BSA Free

Images

 
Western Blot: PGRMC1 Antibody (7G11G8) [NBP2-61779] - Analysis using PGRMC1 mAb against human PGRMC1 (AA: 1-195)-hIgGFc recombinant protein. (Expected MW is 47.6 kDa)
Immunocytochemistry/ Immunofluorescence: PGRMC1 Antibody (7G11G8) [NBP2-61779] - Analysis of SK-OV-3 cells using PGRMC1 mouse mAb (green). Blue: DRAQ5 fluorescent DNA dye. Red: Actin filaments have been labeled with ...read more
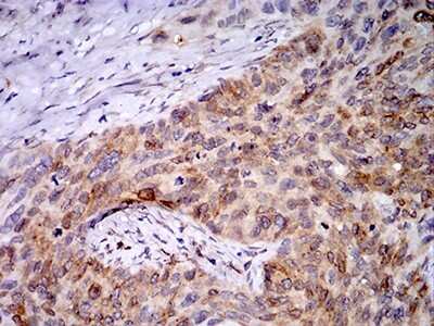
Immunohistochemistry: PGRMC1 Antibody (7G11G8) [NBP2-61779] - Analysis of paraffin-embedded breast cancer tissues using PGRMC1 mouse mAb with DAB staining.
Flow Cytometry: PGRMC1 Antibody (7G11G8) [NBP2-61779] - Analysis of A549 cells using PGRMC1 mouse mAb (green) and negative control (red).
Western Blot: PGRMC1 Antibody (7G11G8) [NBP2-61779] - Analysis using PGRMC1 mAb against HEK293 (1) and PGRMC1 (AA: 1-195)-hIgGFc transfected HEK293 (2) cell lysate.
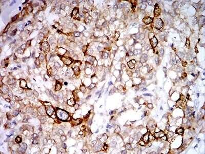
Immunohistochemistry: PGRMC1 Antibody (7G11G8) [NBP2-61779] - Analysis of paraffin-embedded cervical cancer tissues using PGRMC1 mouse mAb with DAB staining.
ELISA: PGRMC1 Antibody (7G11G8) [NBP2-61779] - Black line: Control Antigen (100 ng);Purple line: Antigen (10ng); Blue line: Antigen (50 ng); Red line:Antigen (100 ng)

Product Details

Summary
Reactivity HuSpecies Glossary
Applications WB, ELISA, Flow, ICC/IF, IHC
Clone
7G11G8
Clonality
Monoclonal
Host
Mouse
Conjugate
Unconjugated
Format
BSA Free
Concentration
1 mg/ml

Order Details

View Available Formulations
Catalog# & Formulation Size Price

PGRMC1 Antibody (7G11G8) - BSA Free Summary

Description
Novus Biologicals Mouse PGRMC1 Antibody (7G11G8) - BSA Free (NBP2-61779) is a monoclonal antibody validated for use in IHC, WB, ELISA, Flow and ICC/IF. All Novus Biologicals antibodies are covered by our 100% guarantee.
Immunogen
Purified recombinant fragment of human PGRMC1 (AA: 1-195) expressed in E. Coli.
Isotype
IgG1
Clonality
Monoclonal
Host
Mouse
Gene
PGRMC1
Purity
Protein G purified
Innovator's Reward
Test in a species/application not listed above to receive a full credit towards a future purchase.

Applications/Dilutions

Dilutions
  • ELISA 1:10000
  • Flow Cytometry 1:200-1:400
  • Immunocytochemistry/ Immunofluorescence 1:200-1:1000
  • Immunohistochemistry 1:200-1:1000
  • Immunohistochemistry-Paraffin 1:200-1:1000
  • Western Blot 1:500-1:2000
Theoretical MW
21.7 kDa.
Disclaimer note: The observed molecular weight of the protein may vary from the listed predicted molecular weight due to post translational modifications, post translation cleavages, relative charges, and other experimental factors.

Packaging, Storage & Formulations

Storage
Store at 4C short term. Aliquot and store at -20C long term. Avoid freeze-thaw cycles.
Buffer
PBS
Preservative
0.05% Sodium Azide
Concentration
1 mg/ml
Purity
Protein G purified

Alternate Names for PGRMC1 Antibody (7G11G8) - BSA Free

  • HPR6.6
  • HPR6.6PGRMC
  • membrane-associated progesterone receptor component 1
  • MPR
  • PGRMC1
  • Progesterone Binding Protein
  • progesterone receptor membrane component 1

Background

This gene encodes a putative membrane-associated progesterone steroid receptor. The protein is expressed predominantly in the liver and kidney.;

Limitations

This product is for research use only and is not approved for use in humans or in clinical diagnosis. Primary Antibodies are guaranteed for 1 year from date of receipt.

Customers Who Viewed This Item Also Viewed...

AF5415
Species: Hu
Applications: ICC, IHC, Simple Western, WB
H00005555-P01
Species: Hu
Applications: ELISA, AP, PA, PAGE, WB
NBP2-47602
Species: Hu
Applications: ICC/IF, IHC,  IHC-P
NBP1-32870
Species: Ch, Hu
Applications: IHC,  IHC-P, IP, KD, WB
H00201780-P01
Species: Hu
Applications: ELISA, AP, PA, WB
NBP2-45861
Species: Hu, Mu, Rt
Applications: Flow, ICC/IF, IHC,  IHC-P, WB
NBP2-92773
Species: Hu, Mu, Rt
Applications: IHC,  IHC-P, WB
292-G2
Species: Hu
Applications: BA
NB600-1397
Species: Bv, Ca, Hu, Pm, Mu, Rb
Applications: CyTOF-ready, Flow-IC, Flow, ICC/IF, IHC,  IHC-P, IP, MiAr, WB
H00010424-M04
Species: Hu, Pm, Mu, Rt
Applications: ELISA, ICC/IF, IHC, IHC-Fr,  IHC-P, S-ELISA, WB
NB300-514
Species: Bv, Hu, Mu, Pm, Rt
Applications: CyTOF-ready, ELISA, Flow, ICC/IF, IHC,  IHC-P, IP, WB
H00026135-M01
Species: Hu, Rt
Applications: ELISA, ICC/IF, WB
AF5320
Species: Hu
Applications: WB
DRP300
Species: Hu
Applications: ELISA
NBP2-34294
Species: Hu, Mu, Rt
Applications: Flow, IHC,  IHC-P
NB400-156
Species: Hu, Mu, Rt
Applications: CyTOF-ready, Dual ISH-IHC, ELISA, Flow, ICC/IF, IHC, IP, Simple Western, WB
NBP2-22203
Species: Hu, Pm, Mu, Rt
Applications: ELISA, Flow, ICC/IF, IHC,  IHC-P, WB
AF1029
Species: Mu
Applications: ICC, IHC, IP, WB

Publications for PGRMC1 Antibody (NBP2-61779) (0)

There are no publications for PGRMC1 Antibody (NBP2-61779).
By submitting your publication information earn gift cards and discounts for future purchases.

Reviews for PGRMC1 Antibody (NBP2-61779) (0)

There are no reviews for PGRMC1 Antibody (NBP2-61779). By submitting a review you will receive an Amazon e-Gift Card or Novus Product Discount.
  • Review with no image -- $10/€7/£6/$10 CAD/¥70 Yuan/¥1110 Yen
  • Review with an image -- $25/€18/£15/$25 CAD/¥150 Yuan/¥2500 Yen

Product General Protocols

Find general support by application which include: protocols, troubleshooting, illustrated assays, videos and webinars.

Video Protocols

WB Video Protocol
ICC/IF Video Protocol

FAQs for PGRMC1 Antibody (NBP2-61779) (0)

There are no specific FAQs related to this product. Read our general customer & technical service FAQs.

Secondary Antibodies

 

Isotype Controls

Additional PGRMC1 Products

Research Areas for PGRMC1 Antibody (NBP2-61779)

Find related products by research area.

Blogs on PGRMC1

There are no specific blogs for PGRMC1, but you can read our latest blog posts.

Customers Who Bought This Also Bought

Contact Information

Product PDFs

Calculators

Concentration Calculator

The concentration calculator allows you to quickly calculate the volume, mass or concentration of your vial. Simply enter your mass, volume, or concentration values for your reagent and the calculator will determine the rest.

=
÷

Review this Product

Be the first to review our PGRMC1 Antibody (7G11G8) - BSA Free and receive a gift card or discount.

Bioinformatics

Gene Symbol PGRMC1