Peroxiredoxin 2 Antibody (7F2)

Images

 
Western Blot: Peroxiredoxin 2 Antibody (7F2) [NBP2-75613] - Analysis of Peroxiredoxin 2 on PC-3M (1) and MCF-7 (2) using anti-Peroxiredoxin 2 antibody at 1/2,000 dilution.
Immunohistochemistry-Paraffin: Peroxiredoxin 2 Antibody (7F2) [NBP2-75613] - Analysis of paraffin-embedded human placenta tissue using anti- Peroxiredoxin 2 antibody. Counter stained with hematoxylin.
Flow Cytometry: Peroxiredoxin 2 Antibody (7F2) [NBP2-75613] - Analysis of Jurkat cells with Peroxiredoxin 2 antibody at 1/100 dilution (red) compared with an unlabelled control (cells without incubation with primary ...read more
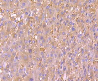
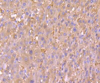
Immunohistochemistry-Paraffin: Peroxiredoxin 2 Antibody (7F2) [NBP2-75613] - Analysis of paraffin-embedded human liver cancer tissue using anti- Peroxiredoxin 2 antibody. Counter stained with hematoxylin.
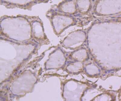
Immunohistochemistry-Paraffin: Peroxiredoxin 2 Antibody (7F2) [NBP2-75613] - Analysis of paraffin-embedded human thyroid gland tissue using anti- Peroxiredoxin 2 antibody. Counter stained with hematoxylin.
Immunohistochemistry-Paraffin: Peroxiredoxin 2 Antibody (7F2) [NBP2-75613] - Analysis of paraffin-embedded human prostate cancer tissue using anti- Peroxiredoxin 2 antibody. Counter stained with hematoxylin.
Immunohistochemistry-Paraffin: Peroxiredoxin 2 Antibody (7F2) [NBP2-75613] - Analysis of paraffin-embedded human kidney tissue using anti- Peroxiredoxin 2 antibody. Counter stained with hematoxylin.

Product Details

Summary
Product Discontinued
View other related Peroxiredoxin 2 Primary Antibodies

Order Details


    • Catalog Number
      NBP2-75613
    • Availability
      Product Discontinued

    Can't find what you are looking for? Use our Antibody Concierge Service & we will help you locate your antibody!

    Or feel free to contact us for alternative products.

Peroxiredoxin 2 Antibody (7F2) Summary

Immunogen
Recombinant full length protein of Human Peroxiredoxin 2. (SwissProt: P32119 Human)
Localization
Cytoplasm.
Isotype
IgG1
Clonality
Monoclonal
Host
Mouse
Gene
PRDX2
Purity
Protein G purified
Innovator's Reward
Test in a species/application not listed above to receive a full credit towards a future purchase.

Applications/Dilutions

Dilutions
  • Flow Cytometry 1:50-1:200
  • Immunohistochemistry
  • Immunohistochemistry-Paraffin 1:50-1:200
  • Western Blot 1:2000-1:5000
Theoretical MW
22 kDa.
Disclaimer note: The observed molecular weight of the protein may vary from the listed predicted molecular weight due to post translational modifications, post translation cleavages, relative charges, and other experimental factors.

Packaging, Storage & Formulations

Storage
Store at 4C short term. Aliquot and store at -20C long term. Avoid freeze-thaw cycles.
Buffer
PBS (pH7.4), 0.2% BSA, 50% Glycerol
Preservative
0.05% Sodium Azide
Concentration
2 mg/ml
Purity
Protein G purified

Alternate Names for Peroxiredoxin 2 Antibody (7F2)

  • EC 1.11.1
  • MGC4104
  • Natural killer cell-enhancing factor B
  • natural killer-enhancing factor B
  • NKEF-B
  • NKEFBNKEF-B
  • Peroxiredoxin 2
  • peroxiredoxin-2
  • PRDX2
  • PRPTDPX1
  • PRX2
  • PRXII
  • TDPX1
  • thiol-specific antioxidant 1
  • Thiol-specific antioxidant protein
  • Thioredoxin peroxidase 1
  • Thioredoxin-dependent peroxide reductase 1
  • torin
  • TPX1
  • TSA
  • TSAEC 1.11.1.15

Background

Peroxiredoxin 2 encodes a member of the peroxiredoxin family of antioxidant enzymes, which reduce hydrogen peroxide and alkyl hydroperoxides. The encoded protein may play an antioxidant protective role in cells, and may contribute to the antiviral activity of CD8(+) T-cells. This protein may have a proliferative effect and play a role in cancer development or progression. The crystal structure of this protein has been resolved to 2.7 angstroms. Transcript variants encoding distinct isoforms have been identified for this gene.

Limitations

This product is for research use only and is not approved for use in humans or in clinical diagnosis. Primary Antibodies are guaranteed for 1 year from date of receipt.

Customers Who Viewed This Item Also Viewed...

NB100-56605
Species: Av, Bv, Sh
Applications: WB
NBP2-03993
Species: Bv, Ca, Hu, Mu, Pm
Applications: WB
NBP2-81078
Species: Ha, Hu
Applications: ELISA, ICC/IF, IHC, IP, WB
NBP2-29463
Species: Pm, Hu, Pm, Mu
Applications: Flow, ICC/IF, IHC,  IHC-P, WB
NBP2-31928
Species: Hu
Applications: IHC,  IHC-P
NB100-56340
Species: Hu, Mu, Rt
Applications: IHC, IHC-Fr,  IHC-P, KO, Simple Western, WB
NBP2-07996
Species: Hu
Applications: WB
NBP2-52486
Species: Hu
Applications: CyTOF-ready, ELISA, Flow, ICC/IF, IHC,  IHC-P, WB
NBP2-13075
Species: Ba, Hu, Pm, Mu, Rt
Applications: DB, ELISA, IB, ICC/IF, IHC-FrFl, IHC, IHC-Fr,  IHC-P, IP, WB
DVE00
Species: Hu
Applications: ELISA
NBP2-34294
Species: Hu, Mu, Rt
Applications: Flow, IHC,  IHC-P
AF4928
Species: Hu
Applications: CyTOF-ready, Flow, WB
NBP2-02541
Species: Hu, Pm, Mu, Pm, Rt
Applications: ICC/IF, IHC,  IHC-P, WB
NB500-171
Species: Hu, I, Mu, Rt, Xp, Ye
Applications: ChIP, IB, ICC/IF, IHC,  IHC-P, Single-Cell Western, WB
NBP2-75513
Species: Hu, Mu, Rt
Applications: Flow, ICC/IF, IHC,  IHC-P, WB
NBP2-24653
Species: Hu, Mu, Rt
Applications: IHC,  IHC-P, WB
NBP1-82558
Species: Hu
Applications: ICC/IF, IHC,  IHC-P, WB
NBP2-75613
Species: Hu
Applications: WB, Flow, IHC

Publications for Peroxiredoxin 2 Antibody (NBP2-75613) (0)

There are no publications for Peroxiredoxin 2 Antibody (NBP2-75613).
By submitting your publication information earn gift cards and discounts for future purchases.

Reviews for Peroxiredoxin 2 Antibody (NBP2-75613) (0)

There are no reviews for Peroxiredoxin 2 Antibody (NBP2-75613). By submitting a review you will receive an Amazon e-Gift Card or Novus Product Discount.
  • Review with no image -- $10/€7/£6/$10 CAD/¥70 Yuan/¥1110 Yen
  • Review with an image -- $25/€18/£15/$25 CAD/¥150 Yuan/¥2500 Yen

Product General Protocols

Find general support by application which include: protocols, troubleshooting, illustrated assays, videos and webinars.

Video Protocols

WB Video Protocol

FAQs for Peroxiredoxin 2 Antibody (NBP2-75613) (0)

There are no specific FAQs related to this product. Read our general customer & technical service FAQs.

Secondary Antibodies

 

Isotype Controls

Additional Peroxiredoxin 2 Products

Research Areas for Peroxiredoxin 2 Antibody (NBP2-75613)

Find related products by research area.

Blogs on Peroxiredoxin 2

There are no specific blogs for Peroxiredoxin 2, but you can read our latest blog posts.

Contact Information

Product PDFs

Calculators

Concentration Calculator

The concentration calculator allows you to quickly calculate the volume, mass or concentration of your vial. Simply enter your mass, volume, or concentration values for your reagent and the calculator will determine the rest.

=
÷

Review this Product

Be the first to review our Peroxiredoxin 2 Antibody (7F2) and receive a gift card or discount.

Bioinformatics

Gene Symbol PRDX2