Peroxiredoxin 1 Antibody (JF0945)

Images

 
Western Blot: Peroxiredoxin 1 Antibody (JF0945) [NBP2-67042] - Analysis of Peroxiredoxin 1 on different lysates using anti-Peroxiredoxin 1 antibody at 1/1,000 dilution. Positive control: Lane 1: Hela Lane 2: A431
Immunocytochemistry/ Immunofluorescence: Peroxiredoxin 1 Antibody (JF0945) [NBP2-67042] - Staining Peroxiredoxin 1 in HepG2 cells (green). The nuclear counter stain is DAPI (blue). Cells were fixed in paraformaldehyde, ...read more
Immunohistochemistry-Paraffin: Peroxiredoxin 1 Antibody (JF0945) [NBP2-67042] - Analysis of paraffin-embedded human liver cancer tissue using anti-Peroxiredoxin 1 antibody. Counter stained with hematoxylin.
Flow Cytometry: Peroxiredoxin 1 Antibody (JF0945) [NBP2-67042] - Analysis of Hela cells with Peroxiredoxin 1 antibody at 1/50 dilution (red) compared with an unlabelled control (cells without incubation with primary ...read more
Immunocytochemistry/ Immunofluorescence: Peroxiredoxin 1 Antibody (JF0945) [NBP2-67042] - Staining Peroxiredoxin 1 in Hela cells (green). The nuclear counter stain is DAPI (blue). Cells were fixed in paraformaldehyde, ...read more
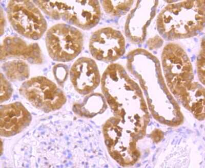
Immunohistochemistry-Paraffin: Peroxiredoxin 1 Antibody (JF0945) [NBP2-67042] - Analysis of paraffin-embedded human kidney tissue using anti-Peroxiredoxin 1 antibody. Counter stained with hematoxylin.

Product Details

Summary
Product Discontinued
View other related Peroxiredoxin 1 Primary Antibodies

Order Details


    • Catalog Number
      NBP2-67042
    • Availability
      Product Discontinued

    Can't find what you are looking for? Use our Antibody Concierge Service & we will help you locate your antibody!

    Or feel free to contact us for alternative products.

Peroxiredoxin 1 Antibody (JF0945) Summary

Additional Information
Recombinant Monoclonal Antibody.
Immunogen
Synthetic peptide within N-terminal human Peroxiredoxin 1. (SwissProt: Q06830 Human; SwissProt: P35700 Mouse)
Localization
Cytoplasm, Melanosome.
Isotype
IgG
Clonality
Monoclonal
Host
Rabbit
Gene
PRDX1
Purity
Protein A purified
Innovator's Reward
Test in a species/application not listed above to receive a full credit towards a future purchase.

Applications/Dilutions

Dilutions
  • Flow Cytometry 1:50-1:100
  • Immunocytochemistry/ Immunofluorescence 1:100-1:500
  • Immunohistochemistry
  • Immunohistochemistry-Paraffin 1:50-1:200
  • Western Blot 1:1000-1:5000

Packaging, Storage & Formulations

Storage
Store at 4C short term. Aliquot and store at -20C long term. Avoid freeze-thaw cycles.
Buffer
TBS (pH7.4), 0.05% BSA, 40% Glycerol
Preservative
0.05% Sodium Azide
Concentration
1 mg/ml
Purity
Protein A purified

Alternate Names for Peroxiredoxin 1 Antibody (JF0945)

  • EC 1.11.1
  • EC 1.11.1.15
  • Natural killer cell-enhancing factor A
  • natural killer-enhancing factor A
  • NKEFA
  • NKEF-A
  • PAG
  • PAGAMSP23
  • PAGB
  • Peroxiredoxin 1
  • peroxiredoxin-1
  • PRDX1
  • proliferation-associated gene A
  • Proliferation-associated gene protein
  • PRX1
  • PRXI
  • TDPX2
  • Thioredoxin peroxidase 2
  • Thioredoxin-dependent peroxide reductase 2

Background

Peroxiredoxin 1 encodes a member of the peroxiredoxin family of antioxidant enzymes, which reduce hydrogen peroxide and alkyl hydroperoxides. The encoded protein may play an antioxidant protective role in cells, and may contribute to the antiviral activity of CD8(+) T-cells. This protein may have a proliferative effect and play a role in cancer development or progression. Three transcript variants encoding the same protein have been identified for this gene. [provided by RefSeq]

Limitations

This product is for research use only and is not approved for use in humans or in clinical diagnosis. Primary Antibodies are guaranteed for 1 year from date of receipt.

Customers Who Viewed This Item Also Viewed...

AF3398
Species: Hu, Mu, Rt
Applications: ICC, KO, Simple Western, WB
NBP1-86616
Species: Hu
Applications: IHC,  IHC-P, WB
NBP2-58917
Species: Hu
Applications: IHC,  IHC-P, WB
H00009588-M01
Species: Bv, Hu
Applications: DB, ELISA, WB
NBP2-50037
Species: Hu, Mu, Rt
Applications: ICC/IF, IHC, KO, WB
H00007001-M01
Species: Hu
Applications: ELISA, ICC/IF, IHC,  IHC-P, KD, WB
NB500-487
Species: Bv, Hu, Mu, Rt
Applications: IHC,  IHC-P, IP, WB
NB100-1533
Species: Hu, Mu, Po, Rt, Sh
Applications: Flow, ICC/IF, IHC,  IHC-P, PEP-ELISA, WB
NB100-56414
Species: Hu, Mu
Applications: IHC,  IHC-P, WB
NBP2-33903
Species: Hu
Applications: IHC,  IHC-P
NBP1-32822
Species: Al, Av, Hu, Mu, Pl, Rt, Ze
Applications: ChIP, Flow, ICC/IF, IHC,  IHC-P, IP, KD, Simple Western, WB
NBP1-89766
Species: Hu, Mu, Rt
Applications: ICC/IF, IHC,  IHC-P, WB
NBP2-52983
Species: Hu, Mu
Applications: Flow, ICC/IF, IHC,  IHC-P, WB
MAB4375
Species: Hu, Mu, Rt
Applications: IHC
NBP1-80893
Species: Hu
Applications: ChIP-EXO-SEQ, IHC,  IHC-P
NBP2-19777
Species: Hu, Mu
Applications: ICC/IF, IHC,  IHC-P, KO, WB
NBP1-06067
Species: Hu, Mu
Applications: ICC/IF, IHC,  IHC-P, PEP-ELISA, WB
NBP3-32740
Species: Hu, Mu, Rt
Applications: Flow, ICC/IF, IHC,  IHC-P, IP, WB
NB110-41404
Species: Bv, Hu, Mu, Rt
Applications: ICC/IF, IHC, WB
NBP2-67042
Species: Hu, Mu
Applications: WB, Flow, ICC/IF, IHC

Publications for Peroxiredoxin 1 Antibody (NBP2-67042) (0)

There are no publications for Peroxiredoxin 1 Antibody (NBP2-67042).
By submitting your publication information earn gift cards and discounts for future purchases.

Reviews for Peroxiredoxin 1 Antibody (NBP2-67042) (0)

There are no reviews for Peroxiredoxin 1 Antibody (NBP2-67042). By submitting a review you will receive an Amazon e-Gift Card or Novus Product Discount.
  • Review with no image -- $10/€7/£6/$10 CAD/¥70 Yuan/¥1110 Yen
  • Review with an image -- $25/€18/£15/$25 CAD/¥150 Yuan/¥2500 Yen

Product General Protocols

Find general support by application which include: protocols, troubleshooting, illustrated assays, videos and webinars.

Video Protocols

WB Video Protocol
ICC/IF Video Protocol

FAQs for Peroxiredoxin 1 Antibody (NBP2-67042) (0)

There are no specific FAQs related to this product. Read our general customer & technical service FAQs.

Secondary Antibodies

 

Isotype Controls

Additional Peroxiredoxin 1 Products

Research Areas for Peroxiredoxin 1 Antibody (NBP2-67042)

Find related products by research area.

Blogs on Peroxiredoxin 1

There are no specific blogs for Peroxiredoxin 1, but you can read our latest blog posts.

Contact Information

Product PDFs

Calculators

Concentration Calculator

The concentration calculator allows you to quickly calculate the volume, mass or concentration of your vial. Simply enter your mass, volume, or concentration values for your reagent and the calculator will determine the rest.

=
÷

Review this Product

Be the first to review our Peroxiredoxin 1 Antibody (JF0945) and receive a gift card or discount.

Bioinformatics

Gene Symbol PRDX1