PAX8 Antibody (CL7834) - Azide and BSA Free

Images

 
Staining of EFO-21 cells using the Anti-PAX8 monoclonal antibody) .
Staining of human Fallopian tube shows moderate to strong nuclear positivity in glandular cells.
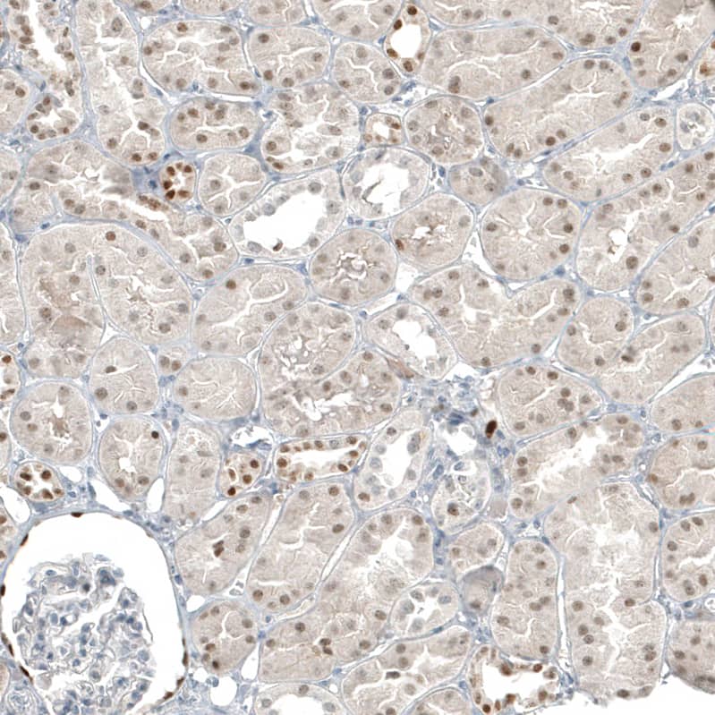
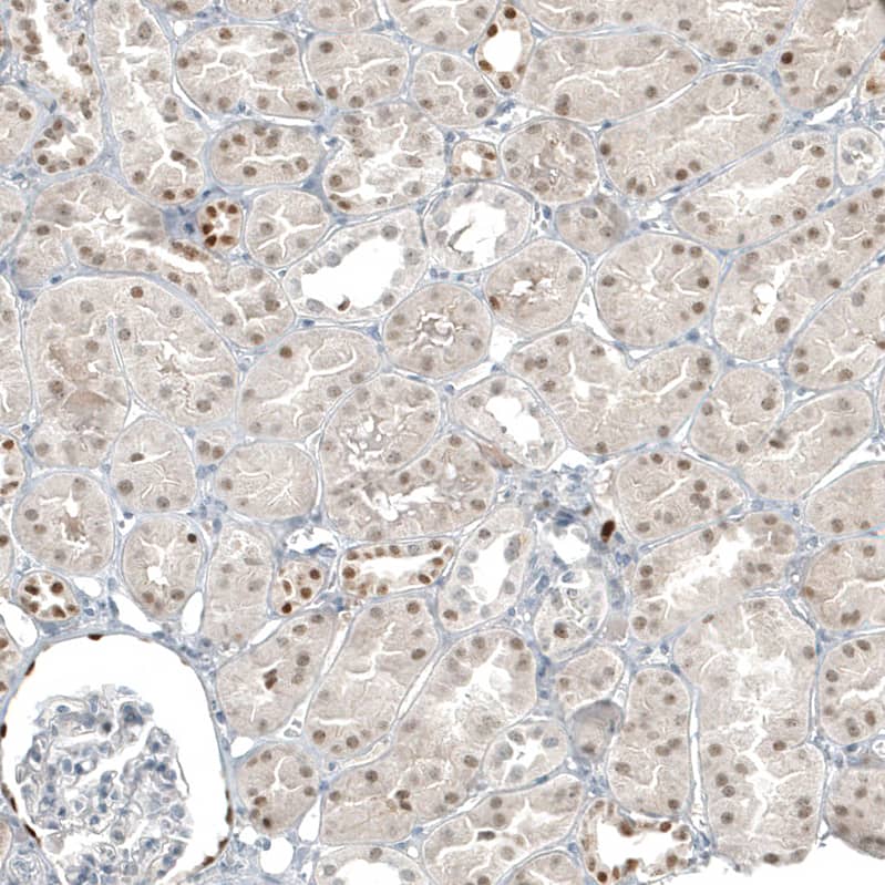
Staining of human kidney shows weak to moderate nuclear positivity in cells in tubules.
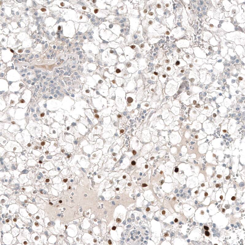
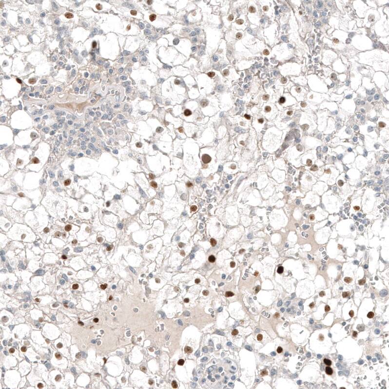
Staining of human renal cancer shows moderate to strong nuclear positivity in tumor cells.
Analysis in human cell line EFO-21.
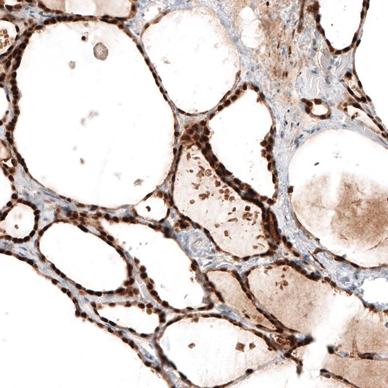
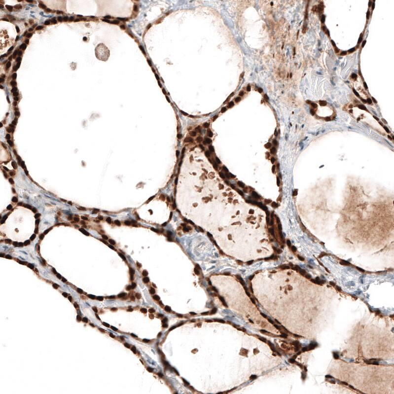
Staining of human thyroid gland shows strong nuclear positivity in glandular cells.

Product Details

Summary
Reactivity HuSpecies Glossary
Applications WB, ICC/IF, IHC
Clone
CL7834
Clonality
Monoclonal
Host
Mouse
Conjugate
Unconjugated
Format
Azide and BSA Free
Concentration
LYOPH

Order Details

PAX8 Antibody (CL7834) - Azide and BSA Free Summary

Description
Novus Biologicals Mouse PAX8 Antibody (CL7834) - Azide and BSA Free (NBP3-21161) is a monoclonal antibody validated for use in IHC, WB and ICC/IF. All Novus Biologicals antibodies are covered by our 100% guarantee.
Immunogen
This antibody was generated using a synthetic peptide of Q06710, with the exact immunogen sequence remaining proprietary.
Isotype
IgG1
Clonality
Monoclonal
Host
Mouse
Gene
PAX8
Purity
Protein A purified
Innovator's Reward
Test in a species/application not listed above to receive a full credit towards a future purchase.

Applications/Dilutions

Dilutions
  • Immunocytochemistry/ Immunofluorescence 2-10 ug/ml
  • Immunohistochemistry-Paraffin 1:200 - 1:500
  • Western Blot 1 ug/ml
Application Notes
Immunocytochemistry/ Immunofluorescence/IF Fixation Permeabilization: Use PFA/Triton X-100. For IHC-Paraffin, HIER pH 6 retrieval is recommended.

Packaging, Storage & Formulations

Storage
Store at 4C short term. Aliquot and store at -20C long term. Avoid freeze-thaw cycles.
Buffer
Lyophilized from a 0.2 um filtered solution in PBS with Trehalose
Preservative
No Preservative
Concentration
LYOPH
Purity
Protein A purified
Reconstitution Instructions
Centrifuge the vial of lyophilized antibody at 12,000 x g for 20 seconds. Reconstitute by adding sterile, distilled water to achieve a final antibody concentration of 1mg/ml.

Alternate Names for PAX8 Antibody (CL7834) - Azide and BSA Free

  • paired box 8
  • paired box gene 8
  • paired box protein Pax-8
  • paired domain gene 8

Background

PAX8 is a member of the paired box (PAX) family of transcription factors, typically containing a paired box domain, an octapeptide, and a paired-type homeodomain. This family plays critical roles during fetal development and cancer growth. The specific function of the PAX8 is unknown but it may involve kidney cell differentiation, thyroid development, or thyroid dysgenesis. Alternative splicing in the gene by inclusion or exclusion of exons 7 and/or 8 has produced several known products but the biological significance of the variants is unknown. Several other splice variants have been proposed but the full nature of these products has not been described.

Limitations

This product is for research use only and is not approved for use in humans or in clinical diagnosis. Primary Antibodies are guaranteed for 1 year from date of receipt.

Customers Who Viewed This Item Also Viewed...

NBP2-44501
Species: Hu, Mu, Rt
Applications: Flow, ICC/IF, IF, IHC,  IHC-P
NBP2-34294
Species: Hu, Mu, Rt
Applications: Flow, IHC,  IHC-P
NBP2-22106
Species: Hu, Mu, Rt
Applications: IHC,  IHC-P, IP, WB
NBP1-80670
Species: Hu
Applications: IHC,  IHC-P, WB
AF3364
Species: Hu
Applications: ICC, IHC, WB
NBP3-27122
Species: Hu
Applications: ELISA, Flow, ICC/IF, IHC,  IHC-P, WB
AF482
Species: Mu
Applications: IHC, WB
NB100-1271
Species: Hu
Applications: IHC,  IHC-P, PEP-ELISA
MAB41051
Species: Hu, Mu
Applications: WB
MAB6534
Species: Hu
Applications: ELISA, WB
NBP1-47668
Species: Hu, Pm, Mu, Rt
Applications: Flow, ICC/IF, IHC,  IHC-P, IP, WB
NBP1-85351
Species: Hu, Mu, Rt
Applications: ICC/IF, IHC,  IHC-P, WB
NBP1-33581
Species: Hu, Mu, Rt
Applications: ELISA, ICC/IF, IHC,  IHC-P, WB
NBP2-33711
Species: Hu
Applications: IHC,  IHC-P
MAB3487
Species: Hu, Mu
Applications: Flow, ICC, IHC, mIF, Simple Western, WB
288-TPN/CF
Species: Hu
Applications: BA

Publications for PAX8 Antibody (NBP3-44319) (0)

There are no publications for PAX8 Antibody (NBP3-44319).
By submitting your publication information earn gift cards and discounts for future purchases.

Reviews for PAX8 Antibody (NBP3-44319) (0)

There are no reviews for PAX8 Antibody (NBP3-44319). By submitting a review you will receive an Amazon e-Gift Card or Novus Product Discount.
  • Review with no image -- $10/€7/£6/$10 CAD/¥70 Yuan/¥1110 Yen
  • Review with an image -- $25/€18/£15/$25 CAD/¥150 Yuan/¥2500 Yen

Product General Protocols

Find general support by application which include: protocols, troubleshooting, illustrated assays, videos and webinars.

Video Protocols

WB Video Protocol
ICC/IF Video Protocol

FAQs for PAX8 Antibody (NBP3-44319) (0)

There are no specific FAQs related to this product. Read our general customer & technical service FAQs.

Secondary Antibodies

 

Isotype Controls

Additional PAX8 Products

Research Areas for PAX8 Antibody (NBP3-44319)

Find related products by research area.

Blogs on PAX8

There are no specific blogs for PAX8, but you can read our latest blog posts.

Customers Who Bought This Also Bought

Contact Information

Product PDFs

Calculators

Concentration Calculator

The concentration calculator allows you to quickly calculate the volume, mass or concentration of your vial. Simply enter your mass, volume, or concentration values for your reagent and the calculator will determine the rest.

=
÷

Review this Product

Be the first to review our PAX8 Antibody (CL7834) - Azide and BSA Free and receive a gift card or discount.

Bioinformatics

Gene Symbol PAX8