Pax7 Antibody

Images

 
Western Blot: Pax7 Antibody [NBP1-31224] - Mouse tissue extract (50 ug) was separated by 10% SDS-PAGE, and the membrane was blotted with PAX7 antibody [C3], C-term diluted at 1:1000.
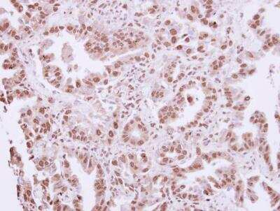
Immunohistochemistry-Paraffin: Pax7 Antibody [NBP1-31224] - Paraffin-embedded Lung AdCA, using antibody at 1:250 dilution.
Western Blot: Pax7 Antibody [NBP1-31224] - A:Hep G2.

Product Details

Summary
Product Discontinued
View other related Pax7 Primary Antibodies

Order Details


    • Catalog Number
      NBP1-31224
    • Availability
      Product Discontinued

    Can't find what you are looking for? Use our Antibody Concierge Service & we will help you locate your antibody!

    Or feel free to contact us for alternative products.

Pax7 Antibody Summary

Immunogen
Carrier-protein conjugated synthetic peptide encompassing a sequence within the C-terminus region of human PAX7. The exact sequence is proprietary.
Localization
Nucleus
Isotype
IgG
Clonality
Polyclonal
Host
Rabbit
Gene
PAX7
Purity
Immunogen affinity purified
Innovator's Reward
Test in a species/application not listed above to receive a full credit towards a future purchase.

Applications/Dilutions

Dilutions
  • Immunohistochemistry 1:100-1:1000
  • Immunohistochemistry-Paraffin 1:100-1:1000
  • Western Blot 1:500-1:3000
Theoretical MW
57 kDa.
Disclaimer note: The observed molecular weight of the protein may vary from the listed predicted molecular weight due to post translational modifications, post translation cleavages, relative charges, and other experimental factors.

Packaging, Storage & Formulations

Storage
Aliquot and store at -20C or -80C. Avoid freeze-thaw cycles.
Buffer
0.1M Tris (pH 7), 0.1M Glycine, 10% Glycerol
Preservative
0.01% Thimerosal
Purity
Immunogen affinity purified

Alternate Names for Pax7 Antibody

  • FLJ37460
  • HUP1
  • paired box 7
  • paired box gene 7
  • paired box homeotic gene 7
  • paired box protein Pax-7
  • paired domain gene 7
  • PAX7 transcriptional factor
  • Pax7
  • PAX7B
  • RMS2

Background

This gene is a member of the paired box (PAX) family of transcription factors. Members of this gene family typically contain a paired box domain, an octapeptide, and a paired-type homeodomain. These genes play critical roles during fetal development and cancer growth. The specific function of the paired box 7 gene is unknown but speculated to involve tumor suppression since fusion of this gene with a forkhead domain family member has been associated with alveolar rhabdomyosarcoma. Alternative splicing in this gene has produced two known products but the biological significance of the variants is unknown.

Limitations

This product is for research use only and is not approved for use in humans or in clinical diagnosis. Primary Antibodies are guaranteed for 1 year from date of receipt.

Customers Who Viewed This Item Also Viewed...

MAB2457
Species: Hu, Mu
Applications: CyTOF-ready, ICC, ICFlow, WB
NB100-56511
Species: Hu, Mu
Applications: Flow, ICC/IF, IHC, IHC-Fr,  IHC-P, IP, KD, KO, WB
MAB66861
Species: Hu
Applications: ICC, WB
NBP2-31376
Species: Hu, Mu, Rt
Applications: Flow, ICC/IF, IHC,  IHC-P, Simple Western, WB
NBP2-44245
Species: Hu, Mu, Rt
Applications: IHC,  IHC-P, WB
AF3844
Species: Hu, Mu
Applications: IHC
NBP2-20486
Species: Hu, Mu
Applications: ICC/IF, IHC,  IHC-P, IP, WB
AF8150
Species: Hu
Applications: ICC, ICFlow, Simple Western, WB
AF4928
Species: Hu
Applications: CyTOF-ready, Flow, WB
788-G8/CF
Species: Hu, Mu, Rt
Applications: BA
NBP1-89953
Species: Hu, Mu
Applications: IHC,  IHC-P
AF4117
Species: Rt
Applications: IHC, WB
294-HG
Species: Hu
Applications: BA
NBP1-88995
Species: Hu
Applications: ICC/IF, IHC,  IHC-P, WB
M6000B
Species: Mu
Applications: ELISA
291-G1
Species: Hu
Applications: BA
NB500-106
Species: Ch, Dr, Fi, Hu, Mar, Mu, Po, Pm, Rb, Rt, Ye, Ze
Applications: ChIP, ChIP, ELISA, Flow, ICC/IF, IHC-FrFl, IHC, IHC-Fr,  IHC-P, IP, Simple Western, WB
AF114
Species: Mu
Applications: CyTOF-ready, Flow, ICC, IHC, WB
NBP1-31224
Species: Hu, Mu
Applications: WB, IHC
⚠ WARNING: This product can expose you to chemicals including mercury, which is known to the State of California to cause reproductive toxicity with developmental effects.  For more information go to www.P65Warnings.ca.gov.

Publications for Pax7 Antibody (NBP1-31224) (0)

There are no publications for Pax7 Antibody (NBP1-31224).
By submitting your publication information earn gift cards and discounts for future purchases.

Reviews for Pax7 Antibody (NBP1-31224) (0)

There are no reviews for Pax7 Antibody (NBP1-31224). By submitting a review you will receive an Amazon e-Gift Card or Novus Product Discount.
  • Review with no image -- $10/€7/£6/$10 CAD/¥70 Yuan/¥1110 Yen
  • Review with an image -- $25/€18/£15/$25 CAD/¥150 Yuan/¥2500 Yen

Product General Protocols

Find general support by application which include: protocols, troubleshooting, illustrated assays, videos and webinars.

Video Protocols

WB Video Protocol

FAQs for Pax7 Antibody (NBP1-31224) (0)

There are no specific FAQs related to this product. Read our general customer & technical service FAQs.

Secondary Antibodies

 

Isotype Controls

Additional Pax7 Products

Research Areas for Pax7 Antibody (NBP1-31224)

Find related products by research area.

Blogs on Pax7

There are no specific blogs for Pax7, but you can read our latest blog posts.

Contact Information

Product PDFs

Calculators

Concentration Calculator

The concentration calculator allows you to quickly calculate the volume, mass or concentration of your vial. Simply enter your mass, volume, or concentration values for your reagent and the calculator will determine the rest.

=
÷

Review this Product

Be the first to review our Pax7 Antibody and receive a gift card or discount.

Bioinformatics

Gene Symbol PAX7