PATZ Antibody

Images

 
Western Blot: PATZ Antibody [NBP2-19709] - Sample (30 ug of whole cell lysate) A: A549 B: Hela 7. 5% SDS PAGE gel, diluted at 1:1000.
Immunocytochemistry/ Immunofluorescence: PATZ Antibody [NBP2-19709] - Analysis of paraformaldehyde-fixed HeLa, using antibody at 1:200 dilution.
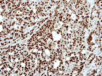
Immunohistochemistry-Paraffin: PATZ Antibody [NBP2-19709] - Immunohistochemical analysis of paraffin-embedded N87 xenograft, using antibody at 1:500 dilution.

Product Details

Summary
Product Discontinued
View other related PATZ Primary Antibodies

Order Details


    • Catalog Number
      NBP2-19709
    • Availability
      Product Discontinued

    Can't find what you are looking for? Use our Antibody Concierge Service & we will help you locate your antibody!

    Or feel free to contact us for alternative products.

PATZ Antibody Summary

Immunogen
Recombinant protein encompassing a sequence within the center region of human PATZ. The exact sequence is proprietary.
Localization
Nucleus
Isotype
IgG
Clonality
Polyclonal
Host
Rabbit
Gene
PATZ1
Purity
Antigen Affinity-purified
Innovator's Reward
Test in a species/application not listed above to receive a full credit towards a future purchase.

Applications/Dilutions

Dilutions
  • Immunocytochemistry/ Immunofluorescence 1:100-1:1000
  • Immunohistochemistry 1:100-1:1000
  • Immunohistochemistry-Paraffin 1:100-1:1000
  • Western Blot 1:500-1:3000
Theoretical MW
74 kDa.
Disclaimer note: The observed molecular weight of the protein may vary from the listed predicted molecular weight due to post translational modifications, post translation cleavages, relative charges, and other experimental factors.

Packaging, Storage & Formulations

Storage
Aliquot and store at -20C or -80C. Avoid freeze-thaw cycles.
Buffer
0.1M Tris (pH 7), 0.1M Glycine, 20% Glycerol
Preservative
0.01% Thimerosal
Purity
Antigen Affinity-purified

Alternate Names for PATZ Antibody

  • dJ400N23
  • MAZRPOZ-, AT hook-, and zinc finger-containing protein 1
  • PATZZinc finger and BTB domain-containing protein 19
  • POZ (BTB) and AT hook containing zinc finger 1
  • Protein kinase A RI subunit alpha-associated protein
  • RIAZBTB/POZ domain zinc finger transcription factor
  • ZBTB19BTB-POZ domain zinc finger transcription factor
  • Zinc finger protein 278Zinc finger sarcoma gene protein
  • ZNF278POZ-AT hook-zinc finger protein
  • ZSGMAZ-related factor

Background

The protein encoded by this gene contains an A-T hook DNA binding motif which usually binds to other DNA binding structures to play an important role in chromatin modeling and transcription regulation. Its Poz domain is thought to function as a site for protein-protein interaction and is required for transcriptional repression, and the zinc-fingers comprise the DNA binding domain. Since the encoded protein has typical features of a transcription factor, it is postulated to be a repressor of gene expression. In small round cell sarcoma, this gene is fused to EWS by a small inversion of 22q, then the hybrid is thought to be translocated (t(1;22)(p36.1;q12). The rearrangement of chromosome 22 involves intron 8 of EWS and exon 1 of this gene creating a chimeric sequence containing the transactivation domain of EWS fused to zinc finger domain of this protein. This is a distinct example of an intra-chromosomal rearrangement of chromosome 22. Four alternatively spliced transcript variants are described for this gene. [provided by RefSeq]

Limitations

This product is for research use only and is not approved for use in humans or in clinical diagnosis. Primary Antibodies are guaranteed for 1 year from date of receipt.

Customers Who Viewed This Item Also Viewed...

NB200-182
Species: Hu, Mu
Applications: IHC,  IHC-P, IP, Simple Western, WB
NB100-56603
Species: Ca, Hu, Mu, Pm, Rt
Applications: IHC,  IHC-P, WB
H00006047-A01
Species: Hu
Applications: ELISA, IP, WB
NB600-302
Species: Bv, Dr, Hu, Mu
Applications: ChIP, ELISA, Flow-IC, Flow, IB, ICC/IF, IHC, IHC-Fr,  IHC-P, IP, PLA, S-ELISA, Simple Western, WB
NBP1-93442
Species: Hu
Applications: IHC,  IHC-P
NBP2-59786
Species: Hu
Applications: ICC/IF, IHC,  IHC-P, Simple Western
NBP3-16379
Species: Hu, Mu, Rt
Applications: ChIP, ELISA, ICC/IF, IHC,  IHC-P, WB
MAB7185
Species: Hu
Applications: Simple Western, WB
NB100-836
Species: Hu
Applications: IHC,  IHC-P, PEP-ELISA, WB
NBP1-49045
Species: Mu
Applications: Cell Depl, CyTOF-ready, Flow, ICC/IF, IHC, IHC-Fr,  IHC-P, IP, InhibTFunc
NB100-86984
Species: Hu, Mu
Applications: ChIP, IHC,  IHC-P, IP, KD, WB
NB600-1335
Species: Hu, Mu, Pm, Rt
Applications: ChIP, ELISA, Flow, GS, ICC/IF, IHC,  IHC-P, IP, KD, Simple Western, WB
NBP2-15108
Species: Hu, Mu, Rt
Applications: ChIP, IHC,  IHC-P, WB
NBP2-14345
Species: Hu
Applications: IHC,  IHC-P, WB
NBP2-38530
Species: Hu
Applications: ICC/IF, IHC,  IHC-P, WB
NBP1-87866
Species: Hu
Applications: ICC/IF, IHC,  IHC-P, WB
NBP3-23927
Species: Hu
Applications:  IHC-P
AF1759
Species: Hu, Mu
Applications: ChIP, ICC, IP, Simple Western, WB
NBP1-85525
Species: Hu
Applications: IHC,  IHC-P, WB
NBP2-19709
Species: Hu
Applications: WB, ICC/IF, IHC
⚠ WARNING: This product can expose you to chemicals including mercury, which is known to the State of California to cause reproductive toxicity with developmental effects.  For more information go to www.P65Warnings.ca.gov.

Publications for PATZ Antibody (NBP2-19709) (0)

There are no publications for PATZ Antibody (NBP2-19709).
By submitting your publication information earn gift cards and discounts for future purchases.

Reviews for PATZ Antibody (NBP2-19709) (0)

There are no reviews for PATZ Antibody (NBP2-19709). By submitting a review you will receive an Amazon e-Gift Card or Novus Product Discount.
  • Review with no image -- $10/€7/£6/$10 CAD/¥70 Yuan/¥1110 Yen
  • Review with an image -- $25/€18/£15/$25 CAD/¥150 Yuan/¥2500 Yen

Product General Protocols

Find general support by application which include: protocols, troubleshooting, illustrated assays, videos and webinars.

Video Protocols

WB Video Protocol
ICC/IF Video Protocol

FAQs for PATZ Antibody (NBP2-19709) (0)

There are no specific FAQs related to this product. Read our general customer & technical service FAQs.

Contact Information

Product PDFs

Calculators

Concentration Calculator

The concentration calculator allows you to quickly calculate the volume, mass or concentration of your vial. Simply enter your mass, volume, or concentration values for your reagent and the calculator will determine the rest.

=
÷

Review this Product

Be the first to review our PATZ Antibody and receive a gift card or discount.

Bioinformatics

Gene Symbol PATZ1
Uniprot