PAK2 Antibody (JB41-84)

Images

 
Western Blot: PAK2 Antibody (JB41-84) [NBP2-75607] - Analysis of PAK2 on mouse thymus tissue (1) and MCF-7 cell (2) lysate using anti-PAK2 antibody at 1/500 dilution.
Immunocytochemistry/ Immunofluorescence: PAK2 Antibody (JB41-84) [NBP2-75607] - Staining PAK2 in SiHa cells (green). The nuclear counter stain is DAPI (blue). Cells were fixed in paraformaldehyde, permeabilised with ...read more
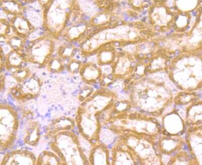
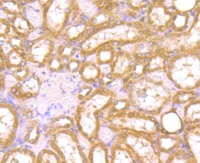
Immunohistochemistry-Paraffin: PAK2 Antibody (JB41-84) [NBP2-75607] - Analysis of paraffin-embedded rat kidney tissue using anti-PAK2 antibody. Counter stained with hematoxylin.
Flow Cytometry: PAK2 Antibody (JB41-84) [NBP2-75607] - Analysis of A431 cells with PAK2 antibody at 1/100 dilution (red) compared with an unlabelled control (cells without incubation with primary antibody; black). ...read more
Immunocytochemistry/ Immunofluorescence: PAK2 Antibody (JB41-84) [NBP2-75607] - Staining PAK2 in A431 cells (green). The nuclear counter stain is DAPI (blue). Cells were fixed in paraformaldehyde, permeabilised with ...read more
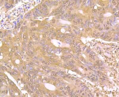
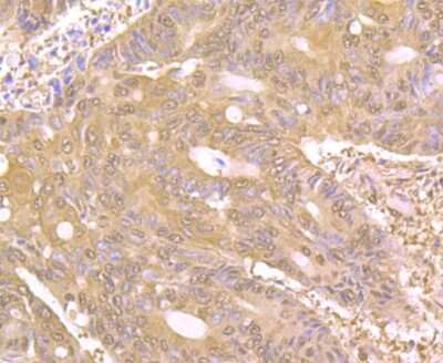
Immunohistochemistry-Paraffin: PAK2 Antibody (JB41-84) [NBP2-75607] - Analysis of paraffin-embedded human colon cancer tissue using anti-PAK2 antibody. Counter stained with hematoxylin.
Immunohistochemistry-Paraffin: PAK2 Antibody (JB41-84) [NBP2-75607] - Analysis of paraffin-embedded human liver tissue using anti-PAK2 antibody. Counter stained with hematoxylin.

Product Details

Summary
Product Discontinued
View other related PAK2 Primary Antibodies

Order Details


    • Catalog Number
      NBP2-75607
    • Availability
      Product Discontinued

    Can't find what you are looking for? Use our Antibody Concierge Service & we will help you locate your antibody!

    Or feel free to contact us for alternative products.

PAK2 Antibody (JB41-84) Summary

Additional Information
Recombinant Monoclonal Antibody.
Immunogen
Synthetic peptide within N-terminal Human PAK2. (SwissProt: Q13177 Human; SwissProt: Q8CIN4 Mouse; SwissProt: Q64303 Rat)
Localization
Cytoplasm, Membrane, Nucleus.
Isotype
IgG
Clonality
Monoclonal
Host
Rabbit
Gene
PAK2
Purity
Protein A purified
Innovator's Reward
Test in a species/application not listed above to receive a full credit towards a future purchase.

Applications/Dilutions

Dilutions
  • Flow Cytometry 1:50-1:100
  • Immunocytochemistry/ Immunofluorescence 1:100-1:500
  • Immunohistochemistry-Paraffin 1:100-1:500
  • Western Blot 1:500-1:1000
Theoretical MW
58 kDa.
Disclaimer note: The observed molecular weight of the protein may vary from the listed predicted molecular weight due to post translational modifications, post translation cleavages, relative charges, and other experimental factors.

Packaging, Storage & Formulations

Storage
Store at 4C short term. Aliquot and store at -20C long term. Avoid freeze-thaw cycles.
Buffer
TBS (pH7.4), 0.05% BSA, 40% Glycerol
Preservative
0.05% Sodium Azide
Concentration
1 mg/ml
Purity
Protein A purified

Alternate Names for PAK2 Antibody (JB41-84)

  • EC 2.7.11
  • gamma-PAK
  • p21 (CDKN1A)-activated kinase 2
  • p21 protein (Cdc42/Rac)-activated kinase 2
  • p21-activated kinase 2
  • p58
  • PAK2
  • PAK-2
  • PAK65
  • PAK65EC 2.7.11.1
  • PAKgamma
  • S6/H4 Kinase
  • serine/threonine-protein kinase PAK 2

Background

p21-activated kinase 2 (PAK2) is a member of a family of serine/threonine protein kinase defined by their interaction with the small GTPases, Cdc42 and Rac (1-2). The PAK proteins can be essentially divided into two categories, groups I (PAK1, PAK2 and PAK3) and group II (PAK4, PAK5 and PAK6), based on their structures (3). All six PAKs play an important role in diverse cellular processes, including cytoskeletal dynamics, growth/apoptotic signal transduction through MAP kinases, and regulation of transcription factors (4). The ubiquitous PAK-2 is unique among the PAK isoforms because it is also activated through proteolytic cleavage by caspases or caspase-like proteases (5). Full-length PAK-2 is localized in the cytoplasm, whereas the proteolytic PAK-2p34 fragment translocates to the nucleus. Activation of full-length PAK-2 stimulates cell survival, whereas proteolytic activation of PAK-2p34 is involved in programmed cell death (6).

Limitations

This product is for research use only and is not approved for use in humans or in clinical diagnosis. Primary Antibodies are guaranteed for 1 year from date of receipt.

Customers Who Viewed This Item Also Viewed...

NBP2-67895
Species: Hu, Mu, Rt
Applications: Flow, IHC,  IHC-P, IP, WB
NB100-56159
Species: Ca, Hu, Mu, Rt
Applications: IHC,  IHC-P, IP, WB
AF887
Species: Hu, Mu, Rt
Applications: CyTOF-ready, IHC, ICFlow, Simple Western, WB
NBP1-85802
Species: Hu, Mu, Rt
Applications: ICC/IF, IHC,  IHC-P, WB
AF1230
Species: Hu, Mu, Rt
Applications: IHC, KO, WB
NBP1-88650
Species: Hu
Applications: IHC,  IHC-P, KD, WB
NBP2-48704
Species: Hu
Applications: ICC/IF, IHC,  IHC-P, WB
NB100-91266
Species: Hu, Mu, Rt
Applications: ICC/IF, IHC, IHC-Fr,  IHC-P, WB
NBP2-61871
Species: Hu
Applications: ELISA, Flow, ICC/IF, IHC,  IHC-P, WB
NBP1-48284
Species: Hu, Mu, Rt
Applications: ICC/IF, IHC,  IHC-P, WB
NBP2-67471
Species: Hu, Mu, Rt
Applications: ICC/IF, IHC,  IHC-P, WB
NBP2-03381
Species: Ca, Hu, Pm, Mu, Pm, Rt
Applications: Flow, ICC/IF, IHC,  IHC-P, WB
MAB2014
Species: Hu
Applications: CyTOF-reported, Flow
NBP2-29463
Species: Pm, Hu, Pm, Mu
Applications: Flow, ICC/IF, IHC,  IHC-P, WB
MAB1058
Species: Hu
Applications: Block, CyTOF-ready, Flow
NBP1-90149
Species: Hu, Mu, Rt
Applications: IHC,  IHC-P, WB
AF6897
Species: Hu, Mu
Applications: IHC, Simple Western, WB
MAB1980
Species: Hu
Applications: ICC, IP, Simple Western, WB
NBP2-75607
Species: Hu, Mu, Rt
Applications: WB, Flow, ICC/IF, IHC

Publications for PAK2 Antibody (NBP2-75607) (0)

There are no publications for PAK2 Antibody (NBP2-75607).
By submitting your publication information earn gift cards and discounts for future purchases.

Reviews for PAK2 Antibody (NBP2-75607) (0)

There are no reviews for PAK2 Antibody (NBP2-75607). By submitting a review you will receive an Amazon e-Gift Card or Novus Product Discount.
  • Review with no image -- $10/€7/£6/$10 CAD/¥70 Yuan/¥1110 Yen
  • Review with an image -- $25/€18/£15/$25 CAD/¥150 Yuan/¥2500 Yen

Product General Protocols

Find general support by application which include: protocols, troubleshooting, illustrated assays, videos and webinars.

Video Protocols

WB Video Protocol
ICC/IF Video Protocol

FAQs for PAK2 Antibody (NBP2-75607) (0)

There are no specific FAQs related to this product. Read our general customer & technical service FAQs.

Secondary Antibodies

 

Isotype Controls

Additional PAK2 Products

Array NBP2-75607

Research Areas for PAK2 Antibody (NBP2-75607)

Find related products by research area.

Blogs on PAK2

There are no specific blogs for PAK2, but you can read our latest blog posts.

Contact Information

Product PDFs

Calculators

Concentration Calculator

The concentration calculator allows you to quickly calculate the volume, mass or concentration of your vial. Simply enter your mass, volume, or concentration values for your reagent and the calculator will determine the rest.

=
÷

Review this Product

Be the first to review our PAK2 Antibody (JB41-84) and receive a gift card or discount.

Bioinformatics

Gene Symbol PAK2