OTP Antibody (CL11225) - Azide and BSA Free

Images

 
Staining of human hypothalamus shows strong nuclear positivity in a subset of neurons.
Staining of human fallopian tube shows no positivity in glandular cells as expected.
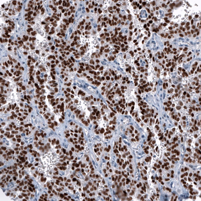
Staining of human lung tumor (typical carcinoid) shows strong nuclear positivity in tumor cells.
Staining of MCF7 cells using the Anti-OTP monoclonal antibody, showing specific staining in nuclear bodies and in the nucleoplasm in green. Microtubule and nuclear probes are visualized in red and blue, respectively.
Staining of human tonsil shows no positivity in non-germinal center cells as expected.
Staining of rat hypothalamus shows strong nuclear positivity in a subset of neurons.

Product Details

Summary
Reactivity Hu, RtSpecies Glossary
Applications ICC/IF, IHC
Clone
CL11225
Clonality
Monoclonal
Host
Mouse
Conjugate
Unconjugated
Format
Azide and BSA Free
Concentration
LYOPH

Order Details

OTP Antibody (CL11225) - Azide and BSA Free Summary

Description
Novus Biologicals Mouse OTP Antibody (CL11225) - Azide and BSA Free (NBP3-15136) is a monoclonal antibody validated for use in IHC and ICC/IF. All Novus Biologicals antibodies are covered by our 100% guarantee.
Immunogen
This antibody was generated using a recombinant protein sequence of Q5XKR4, with the exact immunogen sequence remaining proprietary.
Isotype
IgG1
Clonality
Monoclonal
Host
Mouse
Gene
OTP
Purity
Protein A purified
Innovator's Reward
Test in a species/application not listed above to receive a full credit towards a future purchase.

Applications/Dilutions

Dilutions
  • Immunocytochemistry/ Immunofluorescence 2-10 ug/ml
  • Immunohistochemistry-Paraffin 1:200 - 1:500
Application Notes
For IHC-Paraffin, HIER pH 6 retrieval is recommended. Immunocytochemistry/ Immunofluorescence/IF, PFA/Triton X-100 is recommended for fixation/permeabilization.

Packaging, Storage & Formulations

Storage
Store at 4C short term. Aliquot and store at -20C long term. Avoid freeze-thaw cycles.
Buffer
Lyophilized from a 0.2 um filtered solution in PBS with Trehalose
Preservative
No Preservative
Concentration
LYOPH
Purity
Protein A purified
Reconstitution Instructions
Centrifuge the vial of lyophilized antibody at 12,000 x g for 20 seconds. Reconstitute by adding sterile, distilled water to achieve a final antibody concentration of 1mg/ml.

Alternate Names for OTP Antibody (CL11225) - Azide and BSA Free

  • homeobox protein orthopedia
  • MGC3161
  • orthopedia homeobox
  • orthopedia homolog (Drosophila)
  • orthopedia homolog

Background

OTP encodes a member of the homeodomain (HD) family. HD family proteins are helix-turn-helix transcription factors that play key roles in the specification of cell fates. This protein may function during brain development. [provided by RefSeq]

Limitations

This product is for research use only and is not approved for use in humans or in clinical diagnosis. Primary Antibodies are guaranteed for 1 year from date of receipt.

Customers Who Viewed This Item Also Viewed...

NBP2-84260
Species: Mu
Applications: IHC,  IHC-P, WB
NB100-56467
Species: Ca, Hu, Pm
Applications: WB
NBP2-21585
Species: Pm, Hu, Mu, Rt
Applications: ChIP, ICC/IF, IHC, IHC-Fr,  IHC-P, IP, WB
NBP2-80261
Applications: ELISA
NBP2-44501
Species: Hu, Mu, Rt
Applications: Flow, ICC/IF, IF, IHC,  IHC-P
AF8150
Species: Hu
Applications: ICC, ICFlow, Simple Western, WB
MAB1980
Species: Hu
Applications: ICC, IP, Simple Western, WB
NBP2-37447
Species: Hu
Applications: CyTOF-ready, ELISA, Flow, ICC/IF, IHC,  IHC-P
AF009
Species: Hu
Applications: IHC, WB
AF1979
Species: Hu
Applications: ICC, IHC, Simple Western, WB
H00006496-M04
Species: Hu
Applications: ELISA, WB
H00001392-M02
Species: Hu
Applications: ELISA, IHC,  IHC-P, S-ELISA, WB
NBP2-34014
Species: Hu
Applications: IHC,  IHC-P
NBP3-47949
Species: Hu, Mu, Rt
Applications: ELISA, IHC, WB
AF1837
Species: Hu
Applications: ICC, IHC, Simple Western, WB
MAB1675
Species: Ch, Hu, Mu, Rt
Applications: ICC, IHC
NBP1-68864
Species: Mu
Applications: PEP-ELISA, WB
NBP2-57949
Species: Hu
Applications: ICC/IF
NBP3-44185
Species: Hu, Rt
Applications: ICC/IF, IHC

Publications for OTP Antibody (NBP3-44185) (0)

There are no publications for OTP Antibody (NBP3-44185).
By submitting your publication information earn gift cards and discounts for future purchases.

Reviews for OTP Antibody (NBP3-44185) (0)

There are no reviews for OTP Antibody (NBP3-44185). By submitting a review you will receive an Amazon e-Gift Card or Novus Product Discount.
  • Review with no image -- $10/€7/£6/$10 CAD/¥70 Yuan/¥1110 Yen
  • Review with an image -- $25/€18/£15/$25 CAD/¥150 Yuan/¥2500 Yen

Product General Protocols

Find general support by application which include: protocols, troubleshooting, illustrated assays, videos and webinars.

Video Protocols

ICC/IF Video Protocol

FAQs for OTP Antibody (NBP3-44185) (0)

There are no specific FAQs related to this product. Read our general customer & technical service FAQs.

Secondary Antibodies

 

Isotype Controls

Additional OTP Products

Array NBP3-44185

Research Areas for OTP Antibody (NBP3-44185)

Find related products by research area.

Blogs on OTP

There are no specific blogs for OTP, but you can read our latest blog posts.

Customers Who Bought This Also Bought

Contact Information

Product PDFs

Calculators

Concentration Calculator

The concentration calculator allows you to quickly calculate the volume, mass or concentration of your vial. Simply enter your mass, volume, or concentration values for your reagent and the calculator will determine the rest.

=
÷

Review this Product

Be the first to review our OTP Antibody (CL11225) - Azide and BSA Free and receive a gift card or discount.

Bioinformatics

Gene Symbol OTP