OGFOD1 Antibody (OTI1D9) - Azide and BSA Free

Images

 
Western Blot: OGFOD1 Antibody (OTI1D9) - Azide and BSA Free [NBP2-73145] - HEK293T cells were transfected with the pCMV6-ENTRY control (Left lane) or pCMV6-ENTRY OGFOD1 (Right lane) cDNA for 48 hrs and lysed. Equivalent ...read more
Immunocytochemistry/ Immunofluorescence: OGFOD1 Antibody (OTI1D9) - Azide and BSA Free [NBP2-73145] - Staining of COS7 cells transiently transfected by pCMV6-ENTRY OGFOD1.
Immunohistochemistry: OGFOD1 Antibody (OTI1D9) - Azide and BSA Free [NBP2-73145] - Staining of paraffin-embedded Human Kidney tissue using anti-OGFOD1 mouse monoclonal antibody.
Flow Cytometry: OGFOD1 Antibody (OTI1D9) - Azide and BSA Free [NBP2-73145] - Analysis of Jurkat cells, using anti-OGFOD1 antibody, (Red), compared to a nonspecific negative control antibody (Blue).
Immunocytochemistry/ Immunofluorescence: OGFOD1 Antibody (OTI1D9) - Azide and BSA Free [NBP2-73145] - Staining of HeLa cells using anti-OGFOD1 mouse monoclonal antibody.
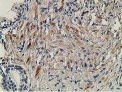
Immunohistochemistry: OGFOD1 Antibody (OTI1D9) - Azide and BSA Free [NBP2-73145] - Staining of paraffin-embedded Human prostate tissue using anti-OGFOD1 mouse monoclonal antibody.
Flow Cytometry: OGFOD1 Antibody (OTI1D9) - Azide and BSA Free [NBP2-73145] - Analysis of Hela cells, using anti-OGFOD1 antibody, (Red), compared to a nonspecific negative control antibody (Blue).

Product Details

Summary
Reactivity Hu, PmSpecies Glossary
Applications WB, Flow, ICC/IF, IHC, CyTOF-ready
Clone
OTI1D9
Clonality
Monoclonal
Host
Mouse
Conjugate
Unconjugated
Format
Azide and BSA Free
Concentration
LYOPH

Order Details

OGFOD1 Antibody (OTI1D9) - Azide and BSA Free Summary

Description
Novus Biologicals Mouse OGFOD1 Antibody (OTI1D9) - Azide and BSA Free (NBP2-00528) is a monoclonal antibody validated for use in IHC, WB, Flow and ICC/IF. All Novus Biologicals antibodies are covered by our 100% guarantee.
Immunogen
Full length human recombinant protein of human OGFOD1 (NP_060703) produced in HEK293T cell.
Isotype
IgG1
Clonality
Monoclonal
Host
Mouse
Gene
OGFOD1
Purity
Immunogen affinity purified
Innovator's Reward
Test in a species/application not listed above to receive a full credit towards a future purchase.

Applications/Dilutions

Dilutions
  • CyTOF-ready
  • Flow Cytometry 1:100
  • Immunocytochemistry/ Immunofluorescence 1:100
  • Immunohistochemistry 1:150
  • Immunohistochemistry-Paraffin
  • Western Blot 1:2000
Theoretical MW
63.1 kDa.
Disclaimer note: The observed molecular weight of the protein may vary from the listed predicted molecular weight due to post translational modifications, post translation cleavages, relative charges, and other experimental factors.

Packaging, Storage & Formulations

Storage
Store at -20C. Avoid freeze-thaw cycles.
Buffer
Lyophilized from PBS (pH 7.3) with 8% Trehalose
Preservative
No Preservative
Concentration
LYOPH
Purity
Immunogen affinity purified
Reconstitution Instructions
we recommend adding 100uL distilled water to a final antibody concentration of about 1 mg/mL. To use this carrier-free antibody for conjugation experiment, we strongly recommend performing another round of desalting process.

Alternate Names for OGFOD1 Antibody (OTI1D9) - Azide and BSA Free

  • 2-oxoglutarate and iron-dependent oxygenase domain containing 1,2-oxoglutarate and iron-dependent oxygenase domain-containing protein 1
  • EC 1.14.11
  • FLJ10826
  • KIAA1612TPA1, termination and polyadenylation 1, homolog
  • Termination and polyadenylation 1 homolog
  • TPA1EC 1.14.11.-

Limitations

This product is for research use only and is not approved for use in humans or in clinical diagnosis. Primary Antibodies are guaranteed for 1 year from date of receipt.

Customers Who Viewed This Item Also Viewed...

NBP3-46202
Species: Hu, Mu, Rt
Applications: ELISA, ICC/IF, IP, WB
NBP2-86906
Species: Hu
Applications: IHC,  IHC-P, WB
H00010146-M01
Species: Hu, Pm, Mu, Rt
Applications: ELISA, ICC/IF, IHC,  IHC-P, KD, WB
NBP1-83210
Species: Hu
Applications: ICC/IF, IHC,  IHC-P, WB
202-IL
Species: Hu
Applications: BA
NBP1-31113
Species: Hu, Mu, Rt
Applications: ICC/IF, IHC,  IHC-P, WB
AF5059
Species: Hu
Applications: IHC, WB
NBP1-32843
Species: Hu, Mu
Applications: IHC,  IHC-P, WB
NBP1-86037
Species: Hu
Applications: ICC/IF, IHC,  IHC-P, WB
NBP2-15524
Species: Hu
Applications: IHC,  IHC-P, WB
NBP2-22238
Species: Hu, Mu
Applications: IP, WB
NBP1-76907
Species: Hu, Mu, Rt
Applications: ELISA, ICC/IF, IHC,  IHC-P, WB
NBP2-13509
Species: Hu
Applications: ICC/IF, IHC,  IHC-P, WB
NBP1-81765
Species: Hu
Applications: IHC,  IHC-P
NB100-116
Species: Hu, Mu, Pm, Rt
Applications: ChIP, ELISA, GS, IB, ICC/IF, IHC, IHC-Fr,  IHC-P, IP, KD, PLA, Simple Western, WB
NB110-74569
Species: Hu, Mu, Rt
Applications: Flow, ICC/IF, IHC, IHC-Fr,  IHC-P, IP, WB
NBP2-02056
Species: Ca, Hu, Pm, Mu, Rt
Applications: IHC,  IHC-P, WB
201-LB
Species: Hu
Applications: BA
NBP2-52452
Species: Hu
Applications: CyTOF-ready, ELISA, Flow, IHC,  IHC-P, WB

Publications for OGFOD1 Antibody (NBP2-73145) (0)

There are no publications for OGFOD1 Antibody (NBP2-73145).
By submitting your publication information earn gift cards and discounts for future purchases.

Reviews for OGFOD1 Antibody (NBP2-73145) (0)

There are no reviews for OGFOD1 Antibody (NBP2-73145). By submitting a review you will receive an Amazon e-Gift Card or Novus Product Discount.
  • Review with no image -- $10/€7/£6/$10 CAD/¥70 Yuan/¥1110 Yen
  • Review with an image -- $25/€18/£15/$25 CAD/¥150 Yuan/¥2500 Yen

Product General Protocols

Find general support by application which include: protocols, troubleshooting, illustrated assays, videos and webinars.

Video Protocols

WB Video Protocol
ICC/IF Video Protocol

FAQs for OGFOD1 Antibody (NBP2-73145) (0)

There are no specific FAQs related to this product. Read our general customer & technical service FAQs.

Secondary Antibodies

 

Isotype Controls

Additional OGFOD1 Products

Research Areas for OGFOD1 Antibody (NBP2-73145)

Find related products by research area.

Blogs on OGFOD1

There are no specific blogs for OGFOD1, but you can read our latest blog posts.

Customers Who Bought This Also Bought

Contact Information

Product PDFs

Calculators

Concentration Calculator

The concentration calculator allows you to quickly calculate the volume, mass or concentration of your vial. Simply enter your mass, volume, or concentration values for your reagent and the calculator will determine the rest.

=
÷

Review this Product

Be the first to review our OGFOD1 Antibody (OTI1D9) - Azide and BSA Free and receive a gift card or discount.

Bioinformatics

Gene Symbol OGFOD1