Oct-3/4 Antibody (SD0750)

Images

 
Western Blot: Oct-3/4 Antibody (SD0750) [NBP2-67748] - Analysis of Oct-3/4 on F9 cell lysates with Rabbit anti-Oct-3/4 antibody at 1/1,000 dilution. Lysates/proteins at 10 ug/Lane. Predicted band size: 39 kDa Observed ...read more
Immunocytochemistry/ Immunofluorescence: Oct-3/4 Antibody (SD0750) [NBP2-67748] - Staining Oct4 in N2A cells (green). The nuclear counter stain is DAPI (blue). Cells were fixed in paraformaldehyde, permeabilised with ...read more
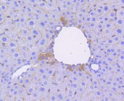
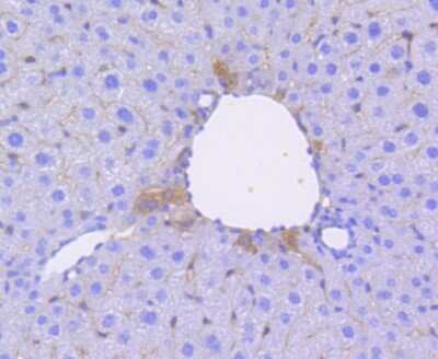
Immunohistochemistry-Paraffin: Oct-3/4 Antibody (SD0750) [NBP2-67748] - Analysis of paraffin-embedded mouse liver tissue using anti-Oct4 antibody. Counter stained with hematoxylin.
Western Blot: Oct-3/4 Antibody (SD0750) [NBP2-67748] - Analysis of Oct4 on different lysates. Proteins were transferred to a PVDF membrane and blocked with 5% BSA in PBS for 1 hour at room temperature. The primary ...read more
Western Blot: Oct-3/4 Antibody (SD0750) [NBP2-67748] - Analysis of Oct-3/4 on different lysates with Rabbit anti-Oct-3/4 antibody at 1/500 dilution. Lane 1: HES cell lysate Lane 2: NCCIT cell lysate Lysates/proteins at ...read more
Immunocytochemistry/ Immunofluorescence: Oct-3/4 Antibody (SD0750) [NBP2-67748] - Staining Oct4 in MCF-7 cells (green). The nuclear counter stain is DAPI (blue). Cells were fixed in paraformaldehyde, permeabilised with ...read more

Product Details

Summary
Product Discontinued
View other related Oct-3/4 Primary Antibodies

Order Details


    • Catalog Number
      NBP2-67748
    • Availability
      Product Discontinued

    Can't find what you are looking for? Use our Antibody Concierge Service & we will help you locate your antibody!

    Or feel free to contact us for alternative products.

Oct-3/4 Antibody (SD0750) Summary

Additional Information
Recombinant Monoclonal Antibody.
Immunogen
Synthetic peptide within human Oct-3/4 aa 20-60. (SwissProt: Q01860 Human; SwissProt: P20263 Mouse)
Localization
Nucleus, Cytoplasm.
Isotype
IgG
Clonality
Monoclonal
Host
Rabbit
Gene
POU5F1
Purity
Protein A purified
Innovator's Reward
Test in a species/application not listed above to receive a full credit towards a future purchase.

Applications/Dilutions

Dilutions
  • Chromatin Immunoprecipitation
  • Immunocytochemistry/ Immunofluorescence 1:50-1:200
  • Immunohistochemistry
  • Immunohistochemistry-Paraffin 1:50-1:4000
  • Immunoprecipitation
  • Western Blot 1:500-1:2000

Packaging, Storage & Formulations

Storage
Store at 4C short term. Aliquot and store at -20C long term. Avoid freeze-thaw cycles.
Buffer
TBS (pH7.4), 0.05% BSA, 40% Glycerol
Preservative
0.05% Sodium Azide
Concentration
1 mg/ml
Purity
Protein A purified

Alternate Names for Oct-3/4 Antibody (SD0750)

  • 3-Oct
  • Oct-3/4
  • OCT3;Oct-3;OCT4;Oct-4;OCT4;Oct3/4;OTF3;OTF-3;OTF4;POU domain protein;POU domain, class 5, transcription factor 1;POU5F1
  • Oct4
  • Otf3g
  • Otf4
  • Pou5f1

Limitations

This product is for research use only and is not approved for use in humans or in clinical diagnosis. Primary Antibodies are guaranteed for 1 year from date of receipt.

Customers Who Viewed This Item Also Viewed...

AF1997
Species: Hu
Applications: ChIP, ICC, IHC, Simple Western, WB
H00388112-B01P
Species: Hu
Applications: WB
AF2018
Species: Hu, Mu, Rt
Applications: ChIP, ICC, IHC, Simple Western, WB
NB600-302
Species: Bv, Dr, Hu, Mu
Applications: ChIP, ELISA, Flow-IC, Flow, IB, ICC/IF, IHC, IHC-Fr,  IHC-P, IP, PLA, S-ELISA, Simple Western, WB
AF3158
Species: Mu
Applications: ChIP, ICC, IHC, WB
7734-LF
Species: Hu
Applications: BA
NBP2-37357
Species: Hu, Mu
Applications: CyTOF-ready, ELISA, Flow, IHC,  IHC-P, WB
MAB1259
Species: Hu
Applications: CyTOF-reported, ICC, ICFlow
AF1356
Species: Hu, Mu
Applications: CyTOF-ready, Dual ISH-IHC, Flow, IHC, Simple Western, WB
235-F4
Species: Hu
Applications: BA
NBP1-90095
Species: Hu
Applications: IHC,  IHC-P
AF1759
Species: Hu, Mu
Applications: ChIP, ICC, IP, Simple Western, WB
AF3757
Species: Hu
Applications: ICC, Simple Western, WB
NB120-16518
Species: Hu, Mu, Po, Rt
Applications: ChIP, ELISA, Flow, ICC/IF, IHC, IHC-Fr,  IHC-P, WB
BBA10
Species: Hu
Applications: CyTOF-ready, Flow, IHC, IP, KO, Simple Western, WB
233-FB
Species: Hu
Applications: BA
7268-CT
Species: Hu
Applications: BA
NBP2-79843
Species: Hu
Applications: CyTOF-ready, ELISA, Flow, ICC/IF, IHC,  IHC-P, PA, WB

Publications for Oct-3/4 Antibody (NBP2-67748) (0)

There are no publications for Oct-3/4 Antibody (NBP2-67748).
By submitting your publication information earn gift cards and discounts for future purchases.

Reviews for Oct-3/4 Antibody (NBP2-67748) (0)

There are no reviews for Oct-3/4 Antibody (NBP2-67748). By submitting a review you will receive an Amazon e-Gift Card or Novus Product Discount.
  • Review with no image -- $10/€7/£6/$10 CAD/¥70 Yuan/¥1110 Yen
  • Review with an image -- $25/€18/£15/$25 CAD/¥150 Yuan/¥2500 Yen

Product General Protocols

Video Protocols

WB Video Protocol
ChIP Webinar
ChIP Video Protocol
ICC/IF Video Protocol

FAQs for Oct-3/4 Antibody (NBP2-67748) (0)

There are no specific FAQs related to this product. Read our general customer & technical service FAQs.

Contact Information

Product PDFs

Calculators

Concentration Calculator

The concentration calculator allows you to quickly calculate the volume, mass or concentration of your vial. Simply enter your mass, volume, or concentration values for your reagent and the calculator will determine the rest.

=
÷

Review this Product

Be the first to review our Oct-3/4 Antibody (SD0750) and receive a gift card or discount.

Bioinformatics

Gene Symbol POU5F1