OCIL/CLEC2d Antibody (4C7) - Azide and BSA Free

Images

 
Western Blot: OCIL/CLEC2d Antibody (4C7) [H00029121-M01] - Analysis of CLEC2D expression in transfected 293T cell line by CLEC2D monoclonal antibody (M01), clone 4C7.Lane 1: CLEC2D transfected lysate(21.8 KDa).Lane 2: ...read more
Immunohistochemistry-Paraffin: OCIL/CLEC2d Antibody (4C7) [H00029121-M01] - Analysis of monoclonal antibody to CLEC2D on formalin-fixed paraffin-embedded human salivary gland. Antibody concentration 3 ug/ml.
ELISA: OCIL/CLEC2d Antibody (4C7) [H00029121-M01] - Detection limit for recombinant GST tagged CLEC2D is 0.1 ng/ml as a capture antibody.
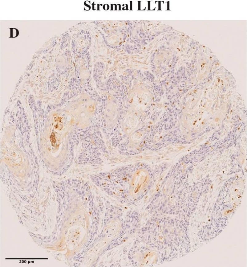
Immunohistochemical analysis of LLT1 in OSCC tissue specimens. Representative images of tumors showing (A) negative LLT1 expression (score = 0); two examples of tumoral LLT1 expression showing (B) weak (score = 1) and ...read more

Product Details

Summary
Reactivity HuSpecies Glossary
Applications WB, ELISA, Flow, ICC/IF, IHC
Clone
4C7
Clonality
Monoclonal
Host
Mouse
Conjugate
Unconjugated
Format
Azide and BSA Free

Order Details

OCIL/CLEC2d Antibody (4C7) - Azide and BSA Free Summary

Description
Novus Biologicals Mouse OCIL/CLEC2d Antibody (4C7) - Azide and BSA Free (H00029121-M01) is a monoclonal antibody validated for use in IHC, WB, ELISA, Flow and ICC/IF. Anti-OCIL/CLEC2d Antibody: Cited in 9 publications. All Novus Biologicals antibodies are covered by our 100% guarantee.
Immunogen
CLEC2D (AAH19883, 1 a.a. ~ 154 a.a) full-length recombinant protein with GST tag. MW of the GST tag alone is 26 KDa. MHDSNNVEKDITPSELPANPGCVHSKEHSIKATLIWRLFFLIMFLTIIVCGMVAALSAIRANCHQEPSVCLQAACPESWIGFQRKCFYFSDDTKNWTSSQRFCDSQDADLAQVESFQELNFLLRYKGPSDHWIGLSREQGQPWKWINGTEWTRQ
Specificity
CLEC2D - C-type lectin superfamily 2, member D
Isotype
IgG1 Kappa
Clonality
Monoclonal
Host
Mouse
Gene
CLEC2D
Purity
IgG purified
Innovator's Reward
Test in a species/application not listed above to receive a full credit towards a future purchase.

Applications/Dilutions

Dilutions
  • ELISA
  • Flow Cytometry
  • Immunocytochemistry/ Immunofluorescence
  • Immunohistochemistry
  • Immunohistochemistry-Paraffin
  • Western Blot 1:500
Application Notes
Antibody Reactive against Recombinant Protein with GST tag on ELISA and Western Blot. GST tag alone is used as a negative control. It has also been used for Immunohistochemistry (Paraffin). Use in Immunocytochemistry/immunofluorescence reported in scientific literature (PMID 24352438)
Publications
Read Publications using
H00029121-M01 in the following applications:

Packaging, Storage & Formulations

Storage
Aliquot and store at -20C or -80C. Avoid freeze-thaw cycles.
Buffer
In 1x PBS, pH 7.4
Preservative
No Preservative
Purity
IgG purified

Notes

This product is produced by and distributed for Abnova, a company based in Taiwan.

Alternate Names for OCIL/CLEC2d Antibody (4C7) - Azide and BSA Free

  • CLAXLLT-1
  • CLEC2D
  • C-type lectin domain family 2 member D
  • C-type lectin domain family 2, member D
  • C-type lectin related f
  • Lectin-like NK cell receptor
  • Lectin-like transcript 1
  • LLT1
  • LLT1Osteoclast inhibitory lectin
  • OCIL
  • OCILmember D

Background

This gene encodes a member of the natural killer cell receptor C-type lectin family. The encoded protein inhibits osteoclast formation and contains a transmembrane domain near the N-terminus as well as the C-type lectin-like extracellular domain. Several alternatively spliced transcript variants have been identified, but the full-length nature of every transcript has not been defined.

Limitations

This product is for research use only and is not approved for use in humans or in clinical diagnosis. Primary Antibodies are guaranteed for 1 year from date of receipt.

Customers Who Viewed This Item Also Viewed...

NBP2-14845
Species: Hu
Applications: IHC,  IHC-P, WB
462-TEC
Species: Mu
Applications: BA
DY805
Species: Hu
Applications: ELISA
NBP2-25236
Species: Hu
Applications: IHC,  IHC-P, WB
9059-CL
Species: Hu
Applications: BA
MAB1058
Species: Hu
Applications: Block, CyTOF-ready, Flow
NB100-524
Species: Hu, Mu
Applications: Flow-IC, Flow, ICC/IF, IHC, IHC-Fr,  IHC-P, IP, WB
NB120-6405
Species: Rt
Applications: B/N, CyTOF-ready, EM, ELISA, Flow-IC, Flow, ICC/IF, IHC, IHC-Fr,  IHC-P, IP
485-MI
Species: Mu
Applications: BA
NB600-1441
Species: Ca, Hu, Mu, Po
Applications: Flow, ICC/IF, IHC, IHC-Fr,  IHC-P, KD
MAB1059
Species: Hu
Applications: CyTOF-ready, Flow
NB100-56508
Species: Av, Hu, Mu, Rt
Applications: CyTOF-ready, Flow-IC, Flow, IHC,  IHC-P, WB
DY421
Species: Mu
Applications: ELISA
NBP2-79843
Species: Hu
Applications: CyTOF-ready, ELISA, Flow, ICC/IF, IHC,  IHC-P, PA, WB
MAB7665
Species: Hu
Applications: IHC, WB
7268-CT
Species: Hu
Applications: BA
NBP1-49045
Species: Mu, Rt
Applications: Cell Depl, CyTOF-ready, Flow, ICC/IF, IHC, IHC-Fr,  IHC-P, IP, InhibTFunc
H00029121-M01
Species: Hu
Applications: WB, ELISA, Flow, ICC/IF, IHC

Publications for OCIL/CLEC2d Antibody (H00029121-M01)(9)

We have publications tested in 1 confirmed species: Human.

We have publications tested in 2 applications: ICC/IF, IHC-P.


Filter By Application
ICC/IF
(1)
IHC-P
(1)
All Applications
Filter By Species
Human
(2)
All Species
Showing Publications 1 - 9 of 9.
Publications using H00029121-M01 Applications Species
Juan C. de Vicente, Paloma Lequerica-Fernández, Juan P. Rodrigo, Tania Rodríguez-Santamarta, Verónica Blanco-Lorenzo, Llara Prieto-Fernández, Daniela Corte-Torres, Aitana Vallina, Francisco Domínguez-Iglesias, Saúl Álvarez-Teijeiro, Juana M. García-Pedrero, Eric Parkinson Lectin-like Transcript-1 (LLT1) Expression in Oral Squamous Cell Carcinomas: Prognostic Significance and Relationship with the Tumor Immune Microenvironment International Journal of Molecular Sciences 2024-04-13 [PMID: 38673902]
Sanchez-Canteli M, Hermida-Prado F, Sordo-Bahamonde C et al. Lectin-Like Transcript 1 (LLT1) Checkpoint: A Novel Independent Prognostic Factor in HPV-Negative Oropharyngeal Squamous Cell Carcinoma Biomedicines 2020-11-25 [PMID: 33255617] (IHC-P, Human) IHC-P Human
Williams KJ, Eaton HE, Jones L et al. Vaccinia Virus WR induces rapid surface expression of a host molecule detected by the antibody 4C7 that is distinct from CLEC2D. Microbiol Immunol 2016-11-01 [PMID: 27862195]
Chalan P, Bijzet J, Huitema MG et al. Expression of Lectin-Like Transcript 1, the Ligand for CD161, in Rheumatoid Arthritis. PLoS One. 2015-07-06 [PMID: 26147876]
Satkunanathan S, Kumar N, Bajorek M et al. Respiratory syncytial virus infection, TLR3 ligands and pro-inflammatory cytokines induce CD161 ligand LLT1 expression on the respiratory epithelium. J Virol 2013-12-18 [PMID: 24352438] (ICC/IF, Human) ICC/IF Human
Germain C, Meier A, Jensen T et al. Induction of LLT1 cell surface expression by pathogens and IFN-{gamma} contributes to modulate immune responses. J Biol Chem. 2011-09-19 [PMID: 21930700]
Germain C, Bihl F, Zahn S et al. Characterization of alternatively spliced transcript variants of CLEC2D gene. J Biol Chem 285(46):36207-15. 2010-11-12 [PMID: 20843815]
Rosen DB, Cao W, Avery DT et al. Functional Consequences of Interactions between Human NKR-P1A Its Lig LLT1 Expressed on Activated Dendritic Cells B Cells. J Immunol;180(10):6508-17. 2008-05-15 [PMID: 18453569]
Roth P, Mittelbronn M, Wick W et al. Malignant Glioma Cells Counteract Antitumor Immune Responses through Expression of Lectin-Like Transcript-1. Cancer Res;67(8):3540-4. 2007-04-15 [PMID: 17440061]

Reviews for OCIL/CLEC2d Antibody (H00029121-M01) (0)

There are no reviews for OCIL/CLEC2d Antibody (H00029121-M01). By submitting a review you will receive an Amazon e-Gift Card or Novus Product Discount.
  • Review with no image -- $10/€7/£6/$10 CAD/¥70 Yuan/¥1110 Yen
  • Review with an image -- $25/€18/£15/$25 CAD/¥150 Yuan/¥2500 Yen

Product General Protocols

Find general support by application which include: protocols, troubleshooting, illustrated assays, videos and webinars.

Video Protocols

WB Video Protocol
ICC/IF Video Protocol

FAQs for OCIL/CLEC2d Antibody (H00029121-M01) (0)

There are no specific FAQs related to this product. Read our general customer & technical service FAQs.

Secondary Antibodies

 

Isotype Controls

Additional OCIL/CLEC2d Products

Research Areas for OCIL/CLEC2d Antibody (H00029121-M01)

Find related products by research area.

Blogs on OCIL/CLEC2d

There are no specific blogs for OCIL/CLEC2d, but you can read our latest blog posts.

Customers Who Bought This Also Bought

Contact Information

Product PDFs

Calculators

Concentration Calculator

The concentration calculator allows you to quickly calculate the volume, mass or concentration of your vial. Simply enter your mass, volume, or concentration values for your reagent and the calculator will determine the rest.

=
÷

Review this Product

Be the first to review our OCIL/CLEC2d Antibody (4C7) - Azide and BSA Free and receive a gift card or discount.

Bioinformatics

Gene Symbol CLEC2D
Entrez
OMIM
Uniprot