Occludin Antibody (CL1555) - Azide and BSA Free

Images

 
Lane 1: Marker [kDa]Lane 2: Human cell line CACO-2Lane 3: Human cell line U-87
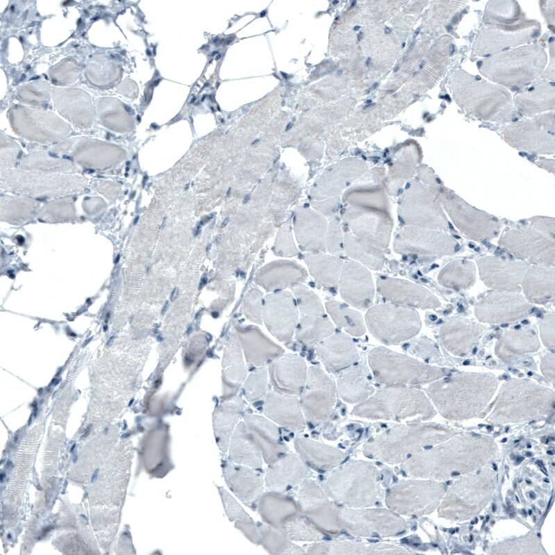
Orthogonal Strategies: Analysis in human stomach and skeletal muscle tissues using NBP3-43902 antibody. Corresponding Occludin RNA-seq data are presented for the same tissues.
Staining of CACO-2 cells using the Anti-Occludin monoclonal antibody) .
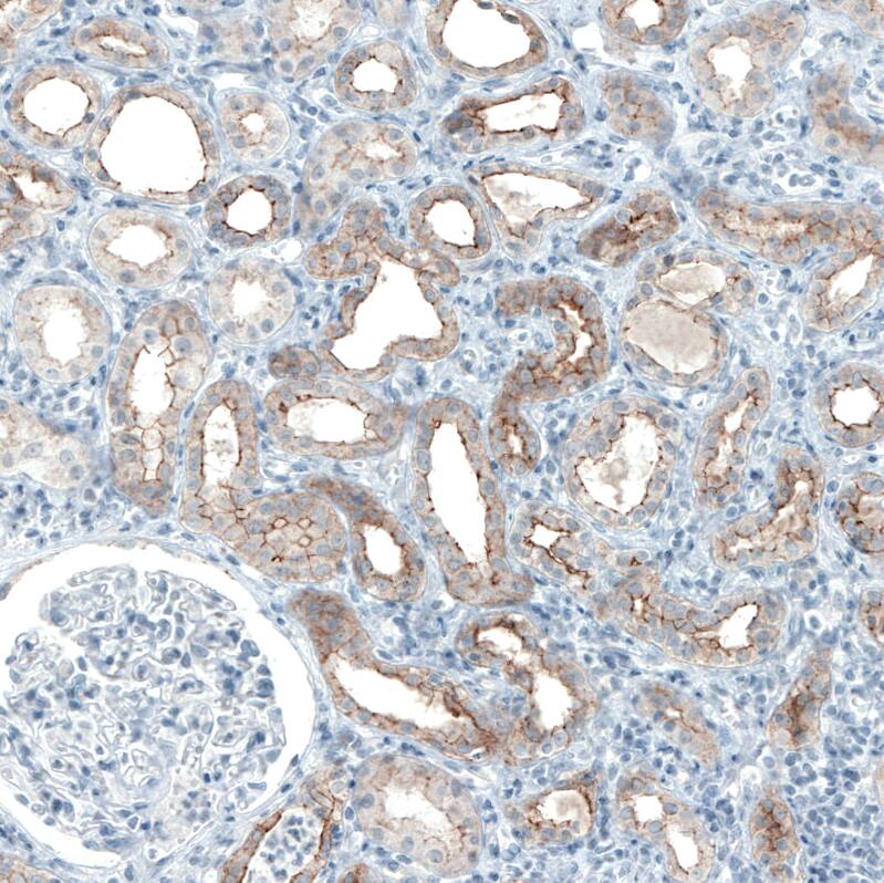
Staining of human kidney shows moderate to strong positivity in apical membrane in cells in tubules.
Staining of human liver shows membranous immunoreactivity in hepatocytes.
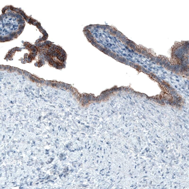
Staining of human fallopian tube shows strong positivity in apical membrane in glandular cells.
Staining of human colon shows strong membranous positivity in glandular cells.
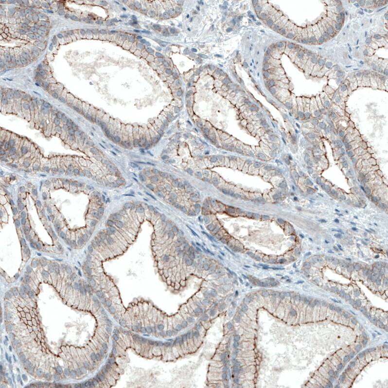
Staining of human prostate cancer shows strong apical membrane positivity in tumor cells.
Staining of human skeletal muscle shows no positivity in myocytes as expected.
Staining of human stomach shows strong positivity in apical membrane in glandular cells.

Product Details

Summary
Reactivity HuSpecies Glossary
Applications WB, ICC/IF, IHC
Clone
CL1555
Clonality
Monoclonal
Host
Mouse
Conjugate
Unconjugated
Format
Azide and BSA Free
Concentration
LYOPH
Validated by:
       

Orthogonal Strategies

 

Order Details

Occludin Antibody (CL1555) - Azide and BSA Free Summary

Description
Novus Biologicals Mouse Occludin Antibody (CL1555) - Azide and BSA Free (NBP2-52971) is a monoclonal antibody validated for use in IHC, WB and ICC/IF. All Novus Biologicals antibodies are covered by our 100% guarantee.
Immunogen
This antibody was generated using a recombinant protein sequence of Q16625, with the exact immunogen sequence remaining proprietary.
Isotype
IgG2a
Clonality
Monoclonal
Host
Mouse
Gene
OCLN
Purity
Protein A purified
Innovator's Reward
Test in a species/application not listed above to receive a full credit towards a future purchase.

Applications/Dilutions

Dilutions
  • Immunocytochemistry/ Immunofluorescence 2-10 ug/ml
  • Immunohistochemistry-Paraffin 1:1000 - 1:2500
  • Western Blot 1 ug/ml
Application Notes
For IHC-Paraffin, HIER pH 6 retrieval is recommended. Immunocytochemistry/ Immunofluorescence/IF Fixation/Permeabilization: PFA/Triton X-100.

Packaging, Storage & Formulations

Storage
Store at 4C short term. Aliquot and store at -20C long term. Avoid freeze-thaw cycles.
Buffer
Lyophilized from a 0.2 um filtered solution in PBS with Trehalose
Preservative
No Preservative
Concentration
LYOPH
Purity
Protein A purified
Reconstitution Instructions
Centrifuge the vial of lyophilized antibody at 12,000 x g for 20 seconds. Reconstitute by adding sterile, distilled water to achieve a final antibody concentration of 1mg/ml.

Alternate Names for Occludin Antibody (CL1555) - Azide and BSA Free

  • BLCPMG
  • Occludin
  • OCLN

Background

The Occludin gene encodes an integral membrane protein which is located at tight junctions. This protein may be involved in the formation and maintenance of the tight junction.

Limitations

This product is for research use only and is not approved for use in humans or in clinical diagnosis. Primary Antibodies are guaranteed for 1 year from date of receipt.

Customers Who Viewed This Item Also Viewed...

NBP1-85047
Species: Hu, Mu, Po, Rt
Applications: ICC/IF, IHC,  IHC-P, WB
H00009076-M01
Species: Hu, Pm, Mu
Applications: ELISA, Flow, ICC/IF, IHC,  IHC-P, IP, WB
NBP2-92405
Species: Hu, Mu, Rt
Applications: WB
NBP2-92846
Species: Hu, Mu, Rt
Applications: ELISA, ICC/IF, IHC,  IHC-P, WB
MAB4219
Species: Hu
Applications: CyTOF-ready, Flow
AF748
Species: Hu, Mu
Applications: CyTOF-ready, Dual ISH-IHC, Flow, ICC, IHC, Simple Western, WB
NBP3-18555
Species: Hu
Applications: ICC/IF, IHC,  IHC-P, WB
DVE00
Species: Hu
Applications: ELISA
AF1329
Species: Hu, Mu, Rt
Applications: ChIP, CyTOF-ready, ICC, IHC, ICFlow, Simple Western, WB
NBP2-49230
Species: Hu
Applications: ICC/IF, IHC,  IHC-P, WB
DMP900
Species: Hu
Applications: ELISA
NB100-74633
Species: Hu
Applications: ICC/IF, IHC, IHC-Fr, IP, WB
AF1230
Species: Hu, Mu, Rt
Applications: IHC, KO, WB
NB100-524
Species: Hu, Mu
Applications: Flow-IC, Flow, ICC/IF, IHC, IHC-Fr,  IHC-P, IP, WB
7268-CT
Species: Hu
Applications: BA
NBP2-79843
Species: Hu
Applications: CyTOF-ready, ELISA, Flow, ICC/IF, IHC,  IHC-P, PA, WB
NBP1-86850
Species: Hu, Mu
Applications: ICC/IF, IHC,  IHC-P, IP, WB

Publications for Occludin Antibody (NBP3-43902) (0)

There are no publications for Occludin Antibody (NBP3-43902).
By submitting your publication information earn gift cards and discounts for future purchases.

Reviews for Occludin Antibody (NBP3-43902) (0)

There are no reviews for Occludin Antibody (NBP3-43902). By submitting a review you will receive an Amazon e-Gift Card or Novus Product Discount.
  • Review with no image -- $10/€7/£6/$10 CAD/¥70 Yuan/¥1110 Yen
  • Review with an image -- $25/€18/£15/$25 CAD/¥150 Yuan/¥2500 Yen

Product General Protocols

Find general support by application which include: protocols, troubleshooting, illustrated assays, videos and webinars.

Video Protocols

WB Video Protocol
ICC/IF Video Protocol

FAQs for Occludin Antibody (NBP3-43902) (0)

There are no specific FAQs related to this product. Read our general customer & technical service FAQs.

Secondary Antibodies

 

Isotype Controls

Additional Occludin Products

Research Areas for Occludin Antibody (NBP3-43902)

Find related products by research area.

Blogs on Occludin

There are no specific blogs for Occludin, but you can read our latest blog posts.

Customers Who Bought This Also Bought

Contact Information

Product PDFs

Calculators

Concentration Calculator

The concentration calculator allows you to quickly calculate the volume, mass or concentration of your vial. Simply enter your mass, volume, or concentration values for your reagent and the calculator will determine the rest.

=
÷

Review this Product

Be the first to review our Occludin Antibody (CL1555) - Azide and BSA Free and receive a gift card or discount.

Bioinformatics

Gene Symbol OCLN