NPY5R Antibody

Images

 
Immunocytochemistry/ Immunofluorescence: NPY5R Antibody [NLS1077] - Analysis of anti-NPY5R antibody with transfected cells expressing target protein at 4 ug/ml.
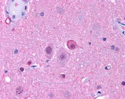
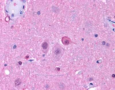
Immunohistochemistry-Paraffin: NPY5R Antibody [NLS1077] - Analysis of anti-NPY5R antibody with human brain, neurons and glia at 4 ug/ml.
Immunocytochemistry/ Immunofluorescence: NPY5R Antibody [NLS1077] - Analysis of anti-NPY5R antibody with transfection control.

Product Details

Summary
Product Discontinued
View other related NPY5R Primary Antibodies

Order Details


    • Catalog Number
      NLS1077
    • Availability
      Product Discontinued

    Can't find what you are looking for? Use our Antibody Concierge Service & we will help you locate your antibody!

    Or feel free to contact us for alternative products.

NPY5R Antibody Summary

Immunogen
Synthetic 17 amino acid peptide from 3rd cytoplasmic domain of human NPY5R.
Specificity
Human NPY5R. BLAST analysis of the peptide immunogen showed no homology with other human proteins.
Predicted Species
Primate (100%). Backed by our 100% Guarantee.
Isotype
IgG
Clonality
Polyclonal
Host
Rabbit
Gene
NPY5R
Purity
Immunogen affinity purified
Innovator's Reward
Test in a species/application not listed above to receive a full credit towards a future purchase.

Applications/Dilutions

Dilutions
  • Immunocytochemistry 4-6 ug/ml
  • Immunocytochemistry/ Immunofluorescence
  • Immunohistochemistry
  • Immunohistochemistry-Paraffin 4-8 ug/ml

Reactivity Notes

Predicted cross-reactivity based on sequence identity: Gorilla (100%), Gibbon (100%), Marmoset (88%), Bovine (88%), Canine (82%), Rabbit (82%), Porcine (82%).

Packaging, Storage & Formulations

Storage
Store at 4C short term. Aliquot and store at -20C long term. Avoid freeze-thaw cycles.
Buffer
PBS
Preservative
0.1% Sodium Azide
Concentration
1.0 mg/ml
Purity
Immunogen affinity purified

Alternate Names for NPY5R Antibody

  • neuropeptide Y receptor type 5
  • neuropeptide Y receptor Y5
  • NPY5R
  • NPYR5NPY5-R
  • NPY-Y5 receptor
  • NPYY5-R
  • Y5 receptor

Background

NPY5R, a Neuropeptide Receptor GPCR, has been suggested to be the main receptor mediating NPY-induced food intake in rats. NPY5R is expressed predominantly in the brain, and is found most highly in the hypothalamus (arcuate, paraventricular nuclei), midline thalamic nuclei, amygdala, and hippocampus. ESTs have been isolated from brain, kidney, and testis libraries.

Limitations

This product is for research use only and is not approved for use in humans or in clinical diagnosis. Primary Antibodies are guaranteed for 1 year from date of receipt.

Customers Who Viewed This Item Also Viewed...

NBP1-46535
Species: Hu, Mu, Rb, Rt, Xp
Applications: ICC/IF, IHC-FrFl, IHC, IHC-Fr,  IHC-P, WB
NBP2-93797
Species: Hu, Mu, Rt
Applications: ELISA, ICC/IF, IHC,  IHC-P, WB
NBP1-80865
Species: Hu
Applications: IHC,  IHC-P
H00005696-M01
Species: Hu
Applications: ELISA, ICC/IF, IHC,  IHC-P, IP, WB
NB100-1793
Species: Hu, Pm, Mu, Rt
Applications: Flow, IB, ICC/IF, IHC, IHC-Fr,  IHC-P, PEP-ELISA
NBP3-14425
Species: Hu
Applications: IHC,  IHC-P
NB100-1533
Species: Hu, Mu, Po, Rt, Sh
Applications: Flow, ICC/IF, IHC,  IHC-P, PEP-ELISA, WB
DLP00
Species: Hu
Applications: ELISA
NBP1-31348
Species: Hu, Mu, Rt
Applications: ICC/IF, IHC,  IHC-P, WB
MAB1417
Species: Bv, Hu, Mu
Applications: ICC, IHC
NBP1-59008
Species: Hu, Mu
Applications: IHC,  IHC-P, WB
AF2185
Species: Hu, Mu, Rt
Applications: IP, WB
AF1180
Species: Hu
Applications: ICC, IHC, Simple Western, WB
DYC1825-2
Species: Hu, Mu, Rt
Applications: ELISA
PP-H4417-00
Species: Hu
Applications: DirELISA, IP, WB
NBP2-20383
Species: Hu, Mu
Applications: ICC/IF, IHC,  IHC-P, WB
H00006890-M04
Species: Hu
Applications: ELISA, Flow, ICC/IF, WB
NLS1077
Species: Hu, Pm, Pm
Applications: ICC/IF, IHC, ICC/IF

Publications for NPY5R Antibody (NLS1077) (0)

There are no publications for NPY5R Antibody (NLS1077).
By submitting your publication information earn gift cards and discounts for future purchases.

Reviews for NPY5R Antibody (NLS1077) (0)

There are no reviews for NPY5R Antibody (NLS1077). By submitting a review you will receive an Amazon e-Gift Card or Novus Product Discount.
  • Review with no image -- $10/€7/£6/$10 CAD/¥70 Yuan/¥1110 Yen
  • Review with an image -- $25/€18/£15/$25 CAD/¥150 Yuan/¥2500 Yen

Product General Protocols

View specific protocols for NPY5R Antibody (NLS1077): Find general support by application which include: protocols, troubleshooting, illustrated assays, videos and webinars.

Video Protocols

ICC/IF Video Protocol

FAQs for NPY5R Antibody (NLS1077) (0)

There are no specific FAQs related to this product. Read our general customer & technical service FAQs.

Secondary Antibodies

 

Isotype Controls

Additional NPY5R Products

Research Areas for NPY5R Antibody (NLS1077)

Find related products by research area.

Blogs on NPY5R

There are no specific blogs for NPY5R, but you can read our latest blog posts.

Contact Information

Product PDFs

Calculators

Concentration Calculator

The concentration calculator allows you to quickly calculate the volume, mass or concentration of your vial. Simply enter your mass, volume, or concentration values for your reagent and the calculator will determine the rest.

=
÷

Review this Product

Be the first to review our NPY5R Antibody and receive a gift card or discount.

Bioinformatics

Gene Symbol NPY5R
Entrez
Uniprot