NOX1 Antibody

Images

 
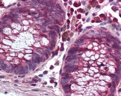
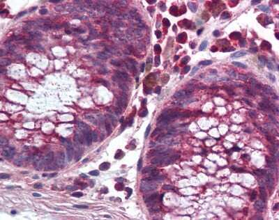
Immunohistochemistry-Paraffin: NOX1 Antibody [NBP1-28651] - Analysis of anti-NOX1 antibody with human colon at concentration 10 ug/ml.

Product Details

Summary
Product Discontinued
View other related NOX1 Primary Antibodies

Order Details


    • Catalog Number
      NBP1-28651
    • Availability
      Product Discontinued

    Can't find what you are looking for? Use our Antibody Concierge Service & we will help you locate your antibody!

    Or feel free to contact us for alternative products.

NOX1 Antibody Summary

Immunogen
Synthetic peptide from human NOX1.
Specificity
synthetic peptide corresponding to C-terminal residues of human NOX1 (NADPH oxidase homolog 1)
Isotype
IgG
Clonality
Polyclonal
Host
Rabbit
Gene
NOX1
Purity
Immunogen affinity purified
Innovator's Reward
Test in a species/application not listed above to receive a full credit towards a future purchase.

Applications/Dilutions

Dilutions
  • ELISA 1 ug/ml
  • Immunohistochemistry
  • Immunohistochemistry-Paraffin 10 ug/ml
  • Western Blot 1 ug/ml

Packaging, Storage & Formulations

Storage
Store at 4C short term. Aliquot and store at -20C long term. Avoid freeze-thaw cycles.
Buffer
PBS and 50% Glycerol
Preservative
0.01% Sodium Azide
Concentration
0.5 mg/ml
Purity
Immunogen affinity purified

Alternate Names for NOX1 Antibody

  • EC 1.6.3
  • GP91-2
  • Mitogenic oxidase 1
  • MOX-1
  • MOX1NADH/NADPH mitogenic oxidase subunit P65-MOX
  • NADPH oxidase 1
  • NADPH oxidase homolog-1
  • NOH1
  • NOH1mitogenic oxidase (pyridine nucleotide-dependent superoxide-generating)
  • NOH-1NADPH oxidase 1 variant NOH-1L
  • NOX1
  • NOX-1

Background

The NOX family NADPH protein oxidases are involved in transfer of electrons accross membranes to generate reactive oxygen species. There are 7 family members - NOX1-5, DUOX1 and DUOX2. Expression of NOX1 is highest in colon tissue; it is also found in vascular tissue and can also been induced by a variety of factors including PDGF. It requires interaction with NOXO1 and NOXA1 for superoxide generation.

Limitations

This product is for research use only and is not approved for use in humans or in clinical diagnosis. Primary Antibodies are guaranteed for 1 year from date of receipt.

Customers Who Viewed This Item Also Viewed...

NBP2-41291
Species: Hu, Mu, Rt
Applications: ELISA, ICC/IF, IHC,  IHC-P, WB
NB110-58849
Species: Bv, Hu, Mu, Po, Pm, Rb, Rt, Sh
Applications: IB, ICC/IF, IHC, IHC-Fr,  IHC-P, KD, WB
NB100-790
Species: Ba, Hu, Mu, Po
Applications: Flow, ICC/IF, IHC,  IHC-P, IP, PEP-ELISA, WB
NBP3-03403
Species: Hu, Mu, Rt
Applications: ICC/IF, WB
NB300-950
Species: Hu, Mu
Applications: IHC,  IHC-P, PEP-ELISA, WB
NBP1-30027
Species: Hu, Mu, Rt
Applications: ICC/IF, IHC,  IHC-P, WB
NB100-91266
Species: Hu, Mu, Rt
Applications: ICC/IF, IHC, IHC-Fr,  IHC-P, WB
AF887
Species: Hu, Mu, Rt
Applications: CyTOF-ready, IHC, ICFlow, Simple Western, WB
NBP2-94716
Species: Hu, Mu, Rt
Applications: ELISA, WB
MAB1904
Species: Hu
Applications: ICC, IHC, WB
NBP1-89163
Species: Hu
Applications: ICC/IF, IHC,  IHC-P
NBP2-22203
Species: Hu, Pm, Mu, Rt
Applications: ELISA, Flow, ICC/IF, IHC,  IHC-P, WB
NB100-1343
Species: Hu
Applications: Flow, ICC/IF, IHC,  IHC-P, PEP-ELISA, WB
NBP2-13677
Species: Hu
Applications: ICC/IF, IHC,  IHC-P, WB
AF5758
Species: Hu
Applications: ICC, IHC, WB
AF1230
Species: Hu, Mu, Rt
Applications: IHC, KO, WB
NBP1-52105
Species: Hu, Rt
Applications: Flow, IHC,  IHC-P, PEP-ELISA, WB
NBP1-33736
Species: Hu, Mu, Rt
Applications: ICC/IF, IHC,  IHC-P, IP, WB
NBP3-46613
Species: Hu, Mu, Rt, Ze
Applications: ELISA, ICC/IF, IHC, WB

Publications for NOX1 Antibody (NBP1-28651) (0)

There are no publications for NOX1 Antibody (NBP1-28651).
By submitting your publication information earn gift cards and discounts for future purchases.

Reviews for NOX1 Antibody (NBP1-28651) (0)

There are no reviews for NOX1 Antibody (NBP1-28651). By submitting a review you will receive an Amazon e-Gift Card or Novus Product Discount.
  • Review with no image -- $10/€7/£6/$10 CAD/¥70 Yuan/¥1110 Yen
  • Review with an image -- $25/€18/£15/$25 CAD/¥150 Yuan/¥2500 Yen

Product General Protocols

Find general support by application which include: protocols, troubleshooting, illustrated assays, videos and webinars.

Video Protocols

WB Video Protocol

FAQs for NOX1 Antibody (NBP1-28651) (0)

There are no specific FAQs related to this product. Read our general customer & technical service FAQs.

Secondary Antibodies

 

Isotype Controls

Additional NOX1 Products

Array NBP1-28651

Research Areas for NOX1 Antibody (NBP1-28651)

Find related products by research area.

Blogs on NOX1.

Toll-like receptors in the intestinal epithelial cells
By Jamshed Arslan, Pharm. D., PhD. Toll-like receptors (TLRs) are microbe-sensing proteins that act as first responders to danger signals. TLRs help the intestinal epithelial cells (IECs) recognize commensal bacteria ...  Read full blog post.

Contact Information

Product PDFs

Calculators

Concentration Calculator

The concentration calculator allows you to quickly calculate the volume, mass or concentration of your vial. Simply enter your mass, volume, or concentration values for your reagent and the calculator will determine the rest.

=
÷

Review this Product

Be the first to review our NOX1 Antibody and receive a gift card or discount.

Bioinformatics

Gene Symbol NOX1
Entrez
Uniprot